• 文献检索
  • 文档翻译
  • 深度研究
  • 学术资讯
  • Suppr Zotero 插件Zotero 插件
  • 邀请有礼
  • 套餐&价格
  • 历史记录
应用&插件
Suppr Zotero 插件Zotero 插件浏览器插件Mac 客户端Windows 客户端微信小程序
定价
高级版会员购买积分包购买API积分包
服务
文献检索文档翻译深度研究API 文档MCP 服务
关于我们
关于 Suppr公司介绍联系我们用户协议隐私条款
关注我们

Suppr 超能文献

核心技术专利:CN118964589B侵权必究
粤ICP备2023148730 号-1Suppr @ 2026

文献检索

告别复杂PubMed语法,用中文像聊天一样搜索,搜遍4000万医学文献。AI智能推荐,让科研检索更轻松。

立即免费搜索

文件翻译

保留排版,准确专业,支持PDF/Word/PPT等文件格式,支持 12+语言互译。

免费翻译文档

深度研究

AI帮你快速写综述,25分钟生成高质量综述,智能提取关键信息,辅助科研写作。

立即免费体验

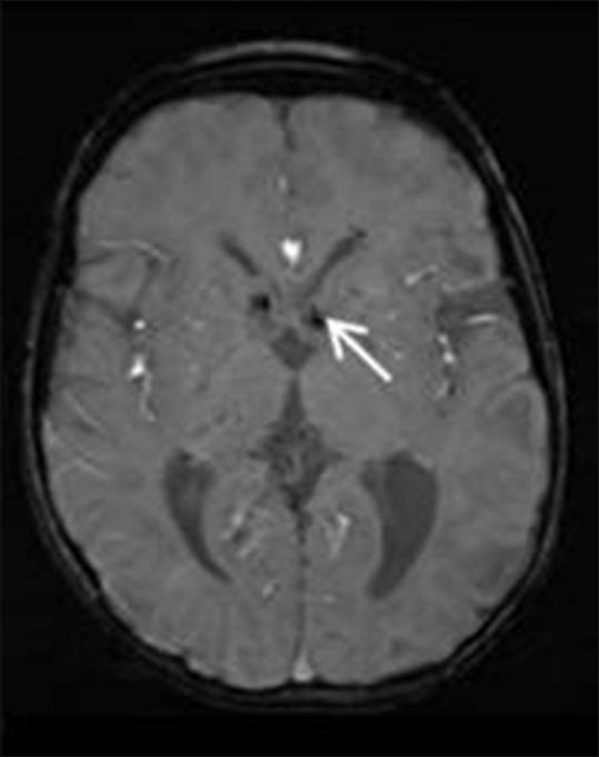
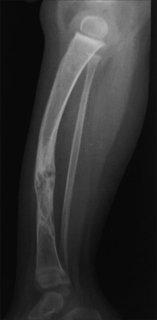
phakomatoses:图文综述。

Phakomatoses: A pictorial review.

作者信息

Swarup M Sarthak, Gupta Swati, Singh Sapna, Prakash Anjali, Mehndiratta Anurag, Garg Anju

机构信息

Department of Radiology, Maulana Azad Medical College and Lok Nayak Hospital, New Delhi, India.

出版信息

Indian J Radiol Imaging. 2020 Apr-Jun;30(2):195-205. doi: 10.4103/ijri.IJRI_497_19. Epub 2020 Jul 13.

DOI:10.4103/ijri.IJRI_497_19
PMID:33100689
原文链接:https://pmc.ncbi.nlm.nih.gov/articles/PMC7546286/
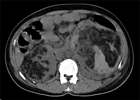
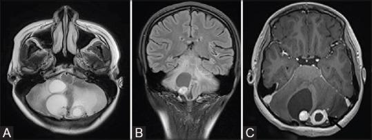
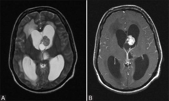
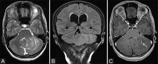
Abstract

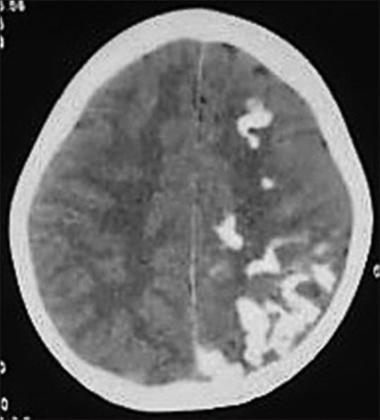
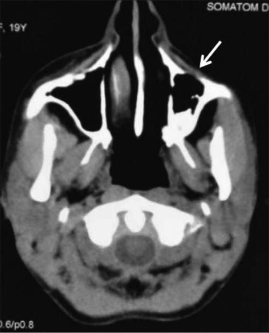
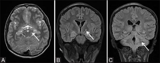
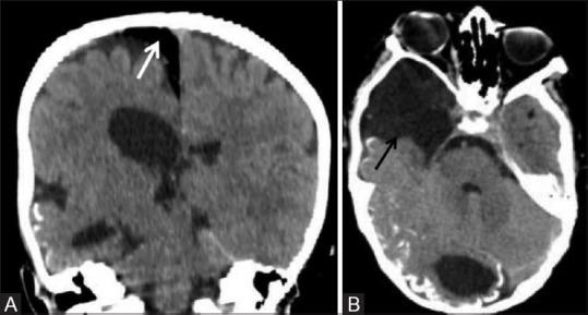
Phakomatoses or Neurocutaneous syndromes are a heterogeneous group of disorders and have variable inheritance pattern. Currently, more than 30 entities are included in this group. These disorders primarily affect the central nervous system; however, skin, viscera, and other connective tissues can also be involved with variable clinical presentation. We will describe and illustrate the various radiological findings of the common entities through the iconography of the cases presented to our department.

摘要

phakomatoses或神经皮肤综合征是一组异质性疾病,具有可变的遗传模式。目前,该组包括30多种疾病。这些疾病主要影响中枢神经系统;然而,皮肤、内脏和其他结缔组织也可能受累,临床表现各异。我们将通过提交至我科病例的影像学表现来描述和说明常见疾病的各种放射学表现。

https://cdn.ncbi.nlm.nih.gov/pmc/blobs/4eb2/7546286/1a534e1069fc/IJRI-30-195-g026.jpg
https://cdn.ncbi.nlm.nih.gov/pmc/blobs/4eb2/7546286/b4010d86d2c2/IJRI-30-195-g001.jpg
https://cdn.ncbi.nlm.nih.gov/pmc/blobs/4eb2/7546286/ca73180f523a/IJRI-30-195-g002.jpg
https://cdn.ncbi.nlm.nih.gov/pmc/blobs/4eb2/7546286/e366967e3d3f/IJRI-30-195-g003.jpg
https://cdn.ncbi.nlm.nih.gov/pmc/blobs/4eb2/7546286/6667885c166f/IJRI-30-195-g004.jpg
https://cdn.ncbi.nlm.nih.gov/pmc/blobs/4eb2/7546286/fd8fe09a041d/IJRI-30-195-g005.jpg
https://cdn.ncbi.nlm.nih.gov/pmc/blobs/4eb2/7546286/44fd726c2ad0/IJRI-30-195-g006.jpg
https://cdn.ncbi.nlm.nih.gov/pmc/blobs/4eb2/7546286/aa14350b1c50/IJRI-30-195-g007.jpg
https://cdn.ncbi.nlm.nih.gov/pmc/blobs/4eb2/7546286/d1755b0a16b1/IJRI-30-195-g008.jpg
https://cdn.ncbi.nlm.nih.gov/pmc/blobs/4eb2/7546286/c836c84e79d6/IJRI-30-195-g009.jpg
https://cdn.ncbi.nlm.nih.gov/pmc/blobs/4eb2/7546286/beaf95ef0e70/IJRI-30-195-g010.jpg
https://cdn.ncbi.nlm.nih.gov/pmc/blobs/4eb2/7546286/1a78dac1451d/IJRI-30-195-g011.jpg
https://cdn.ncbi.nlm.nih.gov/pmc/blobs/4eb2/7546286/54611f52bdac/IJRI-30-195-g012.jpg
https://cdn.ncbi.nlm.nih.gov/pmc/blobs/4eb2/7546286/21f4b73a8ea2/IJRI-30-195-g013.jpg
https://cdn.ncbi.nlm.nih.gov/pmc/blobs/4eb2/7546286/e3a4c8629b5e/IJRI-30-195-g014.jpg
https://cdn.ncbi.nlm.nih.gov/pmc/blobs/4eb2/7546286/43d71ccaa043/IJRI-30-195-g015.jpg
https://cdn.ncbi.nlm.nih.gov/pmc/blobs/4eb2/7546286/17c098b3993e/IJRI-30-195-g016.jpg
https://cdn.ncbi.nlm.nih.gov/pmc/blobs/4eb2/7546286/536648dcd871/IJRI-30-195-g017.jpg
https://cdn.ncbi.nlm.nih.gov/pmc/blobs/4eb2/7546286/c740857f89c7/IJRI-30-195-g018.jpg
https://cdn.ncbi.nlm.nih.gov/pmc/blobs/4eb2/7546286/7f9be4288451/IJRI-30-195-g019.jpg
https://cdn.ncbi.nlm.nih.gov/pmc/blobs/4eb2/7546286/bae420402c7a/IJRI-30-195-g020.jpg
https://cdn.ncbi.nlm.nih.gov/pmc/blobs/4eb2/7546286/caaa57c28fe1/IJRI-30-195-g021.jpg
https://cdn.ncbi.nlm.nih.gov/pmc/blobs/4eb2/7546286/4a97a44151f9/IJRI-30-195-g022.jpg
https://cdn.ncbi.nlm.nih.gov/pmc/blobs/4eb2/7546286/133d3736ff2e/IJRI-30-195-g023.jpg
https://cdn.ncbi.nlm.nih.gov/pmc/blobs/4eb2/7546286/cb3ec089494b/IJRI-30-195-g024.jpg
https://cdn.ncbi.nlm.nih.gov/pmc/blobs/4eb2/7546286/284f8411a894/IJRI-30-195-g025.jpg
https://cdn.ncbi.nlm.nih.gov/pmc/blobs/4eb2/7546286/1a534e1069fc/IJRI-30-195-g026.jpg
https://cdn.ncbi.nlm.nih.gov/pmc/blobs/4eb2/7546286/b4010d86d2c2/IJRI-30-195-g001.jpg
https://cdn.ncbi.nlm.nih.gov/pmc/blobs/4eb2/7546286/ca73180f523a/IJRI-30-195-g002.jpg
https://cdn.ncbi.nlm.nih.gov/pmc/blobs/4eb2/7546286/e366967e3d3f/IJRI-30-195-g003.jpg
https://cdn.ncbi.nlm.nih.gov/pmc/blobs/4eb2/7546286/6667885c166f/IJRI-30-195-g004.jpg
https://cdn.ncbi.nlm.nih.gov/pmc/blobs/4eb2/7546286/fd8fe09a041d/IJRI-30-195-g005.jpg
https://cdn.ncbi.nlm.nih.gov/pmc/blobs/4eb2/7546286/44fd726c2ad0/IJRI-30-195-g006.jpg
https://cdn.ncbi.nlm.nih.gov/pmc/blobs/4eb2/7546286/aa14350b1c50/IJRI-30-195-g007.jpg
https://cdn.ncbi.nlm.nih.gov/pmc/blobs/4eb2/7546286/d1755b0a16b1/IJRI-30-195-g008.jpg
https://cdn.ncbi.nlm.nih.gov/pmc/blobs/4eb2/7546286/c836c84e79d6/IJRI-30-195-g009.jpg
https://cdn.ncbi.nlm.nih.gov/pmc/blobs/4eb2/7546286/beaf95ef0e70/IJRI-30-195-g010.jpg
https://cdn.ncbi.nlm.nih.gov/pmc/blobs/4eb2/7546286/1a78dac1451d/IJRI-30-195-g011.jpg
https://cdn.ncbi.nlm.nih.gov/pmc/blobs/4eb2/7546286/54611f52bdac/IJRI-30-195-g012.jpg
https://cdn.ncbi.nlm.nih.gov/pmc/blobs/4eb2/7546286/21f4b73a8ea2/IJRI-30-195-g013.jpg
https://cdn.ncbi.nlm.nih.gov/pmc/blobs/4eb2/7546286/e3a4c8629b5e/IJRI-30-195-g014.jpg
https://cdn.ncbi.nlm.nih.gov/pmc/blobs/4eb2/7546286/43d71ccaa043/IJRI-30-195-g015.jpg
https://cdn.ncbi.nlm.nih.gov/pmc/blobs/4eb2/7546286/17c098b3993e/IJRI-30-195-g016.jpg
https://cdn.ncbi.nlm.nih.gov/pmc/blobs/4eb2/7546286/536648dcd871/IJRI-30-195-g017.jpg
https://cdn.ncbi.nlm.nih.gov/pmc/blobs/4eb2/7546286/c740857f89c7/IJRI-30-195-g018.jpg
https://cdn.ncbi.nlm.nih.gov/pmc/blobs/4eb2/7546286/7f9be4288451/IJRI-30-195-g019.jpg
https://cdn.ncbi.nlm.nih.gov/pmc/blobs/4eb2/7546286/bae420402c7a/IJRI-30-195-g020.jpg
https://cdn.ncbi.nlm.nih.gov/pmc/blobs/4eb2/7546286/caaa57c28fe1/IJRI-30-195-g021.jpg
https://cdn.ncbi.nlm.nih.gov/pmc/blobs/4eb2/7546286/4a97a44151f9/IJRI-30-195-g022.jpg
https://cdn.ncbi.nlm.nih.gov/pmc/blobs/4eb2/7546286/133d3736ff2e/IJRI-30-195-g023.jpg
https://cdn.ncbi.nlm.nih.gov/pmc/blobs/4eb2/7546286/cb3ec089494b/IJRI-30-195-g024.jpg
https://cdn.ncbi.nlm.nih.gov/pmc/blobs/4eb2/7546286/284f8411a894/IJRI-30-195-g025.jpg
https://cdn.ncbi.nlm.nih.gov/pmc/blobs/4eb2/7546286/1a534e1069fc/IJRI-30-195-g026.jpg

相似文献

1
Phakomatoses: A pictorial review.phakomatoses:图文综述。
Indian J Radiol Imaging. 2020 Apr-Jun;30(2):195-205. doi: 10.4103/ijri.IJRI_497_19. Epub 2020 Jul 13.
2
Neuroimaging in pediatric phakomatoses. An educational review.小儿错构瘤病的神经影像学。一篇教育性综述。
Clujul Med. 2016;89(1):56-64. doi: 10.15386/cjmed-417. Epub 2016 Jan 15.
3
The Rare Neurocutaneous Disorders: Update on Clinical, Molecular, and Neuroimaging Features.罕见神经皮肤疾病:临床、分子及神经影像学特征的最新进展
Top Magn Reson Imaging. 2018 Dec;27(6):433-462. doi: 10.1097/RMR.0000000000000185.
4
The Forgotten Phacomatoses: A Neuroimaging Review of Rare Neurocutaneous Disorders.被遗忘的神经皮肤综合征:罕见神经皮肤疾病的神经影像学综述。
Curr Probl Diagn Radiol. 2022 Sep-Oct;51(5):747-758. doi: 10.1067/j.cpradiol.2021.07.002. Epub 2021 Aug 28.
5
Neuroimaging of phakomatoses.错构瘤病的神经影像学
Semin Pediatr Neurol. 2006 Mar;13(1):48-62. doi: 10.1016/j.spen.2006.01.011.
6
Renal involvement in genetic neurocutaneous syndromes.遗传性神经皮肤综合征的肾脏受累。
Clin Nephrol. 2024 Dec;102(6):351-369. doi: 10.5414/CN111425.
7
Neurocutaneous Disorders.神经皮肤疾病
Continuum (Minneap Minn). 2018 Feb;24(1, Child Neurology):96-129. doi: 10.1212/CON.0000000000000562.
8
Intra-cranial manifestations of the neurocutaneous syndromes.神经皮肤综合征的颅内表现
Clin Radiol. 2000 Feb;55(2):82-98. doi: 10.1053/crad.1999.0328.
9
Neuroimaging of phakomatoses: overview and advances.神经皮肤综合征的神经影像学:概述与进展
Pediatr Radiol. 2015 Sep;45 Suppl 3:S433-42. doi: 10.1007/s00247-015-3282-3. Epub 2015 Sep 7.
10
Phakomatoses.斑痣病。
Dermatol Clin. 2019 Oct;37(4):583-606. doi: 10.1016/j.det.2019.05.015.

引用本文的文献

1
Epigenetic Mechanisms in Neurofibromatosis Types 1 and 2.1型和2型神经纤维瘤病中的表观遗传机制
Epigenomes. 2025 Aug 14;9(3):30. doi: 10.3390/epigenomes9030030.
2
Pathophysiology in Brain Arteriovenous Malformations: Focus on Endothelial Dysfunctions and Endothelial-to-Mesenchymal Transition.脑动静脉畸形的病理生理学:聚焦于内皮功能障碍和内皮-间充质转化
Biomedicines. 2024 Aug 7;12(8):1795. doi: 10.3390/biomedicines12081795.
3
Advancements in Dermatological Imaging Modalities.皮肤成像技术的进展。

本文引用的文献

1
The Rare Neurocutaneous Disorders: Update on Clinical, Molecular, and Neuroimaging Features.罕见神经皮肤疾病:临床、分子及神经影像学特征的最新进展
Top Magn Reson Imaging. 2018 Dec;27(6):433-462. doi: 10.1097/RMR.0000000000000185.
2
Imaging of tuberous sclerosis complex: a pictorial review.结节性硬化症的影像学:图文综述
Radiol Bras. 2017 Jan-Feb;50(1):48-54. doi: 10.1590/0100-3984.2016.0020.
3
Comprehensive imaging manifestations of tuberous sclerosis.结节性硬化症的综合影像学表现。
Indian Dermatol Online J. 2024 Feb 28;15(2):278-292. doi: 10.4103/idoj.idoj_852_23. eCollection 2024 Mar-Apr.
4
Exploring the Skin Brain Link: Biomarkers in the Skin with Implications for Aging Research and Alzheimer's Disease Diagnostics.探索皮肤-大脑关联:皮肤中的生物标志物对衰老研究和阿尔茨海默病诊断的意义。
Int J Mol Sci. 2023 Aug 28;24(17):13309. doi: 10.3390/ijms241713309.
AJR Am J Roentgenol. 2015 May;204(5):933-43. doi: 10.2214/AJR.13.12235.
4
Case 175: Testicular lipomatosis in Cowden disease.病例175:考登病中的睾丸脂肪瘤病。
Radiology. 2011 Nov;261(2):654-8. doi: 10.1148/radiol.11091151.
5
Case 144: Dysplastic cerebellar gangliocytoma (Lhermitte-Duclos disease).病例144:发育异常性小脑神经节细胞瘤(勒米特-迪克洛病)。
Radiology. 2009 Apr;251(1):298-303. doi: 10.1148/radiol.2511071390.
6
Pictorial review of tuberous sclerosis in various organs.各器官结节性硬化症的影像学综述。
Radiographics. 2008 Nov-Dec;28(7):e32. doi: 10.1148/rg.e32. Epub 2008 Sep 4.
7
Imaging features of von Hippel-Lindau disease.冯·希佩尔-林道病的影像学特征。
Radiographics. 2008 Jan-Feb;28(1):65-79; quiz 323. doi: 10.1148/rg.281075052.
8
Neuroimaging of phakomatoses.错构瘤病的神经影像学
Semin Pediatr Neurol. 2006 Mar;13(1):48-62. doi: 10.1016/j.spen.2006.01.011.
9
Neuroimaging findings in neurofibromatosis type 1 and 2.1型和2型神经纤维瘤病的神经影像学表现。
Neuroimaging Clin N Am. 2004 May;14(2):149-70, vii. doi: 10.1016/j.nic.2004.03.004.
10
Malignant peripheral nerve sheath tumours in neurofibromatosis 1.1型神经纤维瘤病中的恶性外周神经鞘瘤
J Med Genet. 2002 May;39(5):311-4. doi: 10.1136/jmg.39.5.311.