• 文献检索
  • 文档翻译
  • 深度研究
  • 学术资讯
  • Suppr Zotero 插件Zotero 插件
  • 邀请有礼
  • 套餐&价格
  • 历史记录
应用&插件
Suppr Zotero 插件Zotero 插件浏览器插件Mac 客户端Windows 客户端微信小程序
定价
高级版会员购买积分包购买API积分包
服务
文献检索文档翻译深度研究API 文档MCP 服务
关于我们
关于 Suppr公司介绍联系我们用户协议隐私条款
关注我们

Suppr 超能文献

核心技术专利:CN118964589B侵权必究
粤ICP备2023148730 号-1Suppr @ 2026

文献检索

告别复杂PubMed语法,用中文像聊天一样搜索,搜遍4000万医学文献。AI智能推荐,让科研检索更轻松。

立即免费搜索

文件翻译

保留排版,准确专业,支持PDF/Word/PPT等文件格式,支持 12+语言互译。

免费翻译文档

深度研究

AI帮你快速写综述,25分钟生成高质量综述,智能提取关键信息,辅助科研写作。

立即免费体验

输尿管镜碎石术疗效的输尿管及肾脏形态学研究:输尿管结石嵌顿部位输尿管壁最大厚度的关键作用。

Study of ureteral and renal morphometry on the outcome of ureterorenoscopic lithotripsy: The critical role of maximum ureteral wall thickness at the site of ureteral stone impaction.

作者信息

Mishra Amit Kumar, Kumar Santosh, Dorairajan Lalgudi Narayan, Manikandan Ramanitharan, Ramkumar G, Sreerag K S, Mittal Jayesh Kumar

机构信息

Department of Urology, IKDRC-ITS, Ahmedabad, Gujarat, India.

Department of Urology, JIPMER, Puducherry, India.

出版信息

Urol Ann. 2020 Jul-Sep;12(3):212-219. doi: 10.4103/UA.UA_95_19. Epub 2020 Jun 10.

DOI:10.4103/UA.UA_95_19
PMID:33100744
原文链接:https://pmc.ncbi.nlm.nih.gov/articles/PMC7546072/
Abstract

PURPOSE

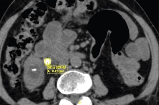
The purpose is to study the association of stone, ureteral, and renal morphometric parameters with the relevant outcome variables, i.e., complication rate, stone-free rate (SFR), and operating time of ureterorenoscopic lithotripsy. Although a safe procedure, it still occasionally has major complications. Computed tomography (CT) scan is often performed to diagnose ureteral calculi, providing opportunities for ureteral morphometry that may have a bearing on the outcome of the procedure.

MATERIALS AND METHODS

Ureteric, renal, and stone morphometric parameters were measured from CT of the abdomen and pelvis of the 110 patients with ureteral calculi who underwent ureteroscopic lithotripsy (URSL). Data were collected retrospectively in 25 patients and prospectively in 85 patients. Association of these parameters with the outcome variables of the procedure mentioned above was studied.

RESULTS

On univariate analysis, body mass index, stone size, and maximum ureteral wall thickness (MUWT) were found to have a significant association with URSL complications, SFR, and duration of surgery. On multivariable analysis, only MUWT was found to be an independent risk factor for URSL complications. In 90% of total patients with residual stones, MUWT was found to be >4.8 mm.

CONCLUSION

Ureteral wall thickness of >4.8 mm is associated with prolonged duration of surgery and lower SFR. Patients with ureteral wall thickness of >4.8 mm at the site of ureteral stone who are planned for URSL must be counseled about the higher chances of residual stones and the need for additional procedure.

摘要

目的

本研究旨在探讨结石、输尿管及肾脏形态学参数与相关结局变量之间的关联,即输尿管镜碎石术的并发症发生率、结石清除率(SFR)及手术时间。尽管该手术较为安全,但仍偶尔会出现严重并发症。计算机断层扫描(CT)常用于诊断输尿管结石,这为输尿管形态测量提供了机会,而输尿管形态测量可能与手术结局相关。

材料与方法

对110例行输尿管镜碎石术(URSL)的输尿管结石患者的腹部和盆腔CT进行测量,获取输尿管、肾脏及结石的形态学参数。回顾性收集25例患者的数据,前瞻性收集85例患者的数据。研究这些参数与上述手术结局变量之间的关联。

结果

单因素分析显示,体重指数、结石大小及最大输尿管壁厚度(MUWT)与URSL并发症、SFR及手术时长显著相关。多因素分析发现,只有MUWT是URSL并发症的独立危险因素。在所有残留结石患者中,90%的患者MUWT>4.8mm。

结论

输尿管壁厚度>4.8mm与手术时间延长及SFR降低相关。对于计划行URSL且输尿管结石部位输尿管壁厚度>4.8mm的患者,必须告知其残留结石的可能性更高以及可能需要额外的手术。

https://cdn.ncbi.nlm.nih.gov/pmc/blobs/73fe/7546072/723638301003/UA-12-212-g003.jpg
https://cdn.ncbi.nlm.nih.gov/pmc/blobs/73fe/7546072/68ae25bb1ac1/UA-12-212-g001.jpg
https://cdn.ncbi.nlm.nih.gov/pmc/blobs/73fe/7546072/ada5a3dbed00/UA-12-212-g002.jpg
https://cdn.ncbi.nlm.nih.gov/pmc/blobs/73fe/7546072/723638301003/UA-12-212-g003.jpg
https://cdn.ncbi.nlm.nih.gov/pmc/blobs/73fe/7546072/68ae25bb1ac1/UA-12-212-g001.jpg
https://cdn.ncbi.nlm.nih.gov/pmc/blobs/73fe/7546072/ada5a3dbed00/UA-12-212-g002.jpg
https://cdn.ncbi.nlm.nih.gov/pmc/blobs/73fe/7546072/723638301003/UA-12-212-g003.jpg

相似文献

1
Study of ureteral and renal morphometry on the outcome of ureterorenoscopic lithotripsy: The critical role of maximum ureteral wall thickness at the site of ureteral stone impaction.输尿管镜碎石术疗效的输尿管及肾脏形态学研究:输尿管结石嵌顿部位输尿管壁最大厚度的关键作用。
Urol Ann. 2020 Jul-Sep;12(3):212-219. doi: 10.4103/UA.UA_95_19. Epub 2020 Jun 10.
2
Outcomes of primary ureteroscopic lithotripsy: The role of maximum ureteral wall thickness at the site of stone impaction.原发性输尿管镜碎石术的结果:结石嵌顿部位输尿管壁最大厚度的作用。
Urologia. 2024 Feb;91(1):117-124. doi: 10.1177/03915603231189618. Epub 2023 Jul 25.
3
Comparison between extracorporeal shock wave lithotripsy and semirigid ureterorenoscope with holmium:YAG laser lithotripsy for treating large proximal ureteral stones.体外冲击波碎石术与钬激光联合半硬性输尿管肾镜治疗近端输尿管大结石的比较。
J Urol. 2004 Nov;172(5 Pt 1):1899-902. doi: 10.1097/01.ju.0000142848.43880.b3.
4
Value of preoperative ureteral wall thickness in prediction of impaction of ureteric stones stratified by size in laser ureteroscopic lithotripsy.术前输尿管壁厚度对激光输尿管镜碎石术分层大小输尿管结石嵌顿的预测价值。
BMC Urol. 2023 Jan 6;23(1):3. doi: 10.1186/s12894-022-01168-4.
5
Management of Proximal Ureteric Stones: Extracorporeal Shock Wave Lithotripsy (ESWL) Versus Ureterorenoscopic Lithotripsy (URSL).近端输尿管结石的治疗:体外冲击波碎石术(ESWL)与输尿管镜碎石术(URSL)的对比
Kathmandu Univ Med J (KUMJ). 2017;15(60):343-346.
6
[The predictive value of ureteral wall area for impacted ureteral stones].[输尿管壁面积对嵌顿性输尿管结石的预测价值]
Zhonghua Yi Xue Za Zhi. 2021 Nov 30;101(44):3637-3642. doi: 10.3760/cma.j.cn112137-20210325-00742.
7
Ureteral Wall Thickness as a Preoperative Indicator of Impacted Stones in Patients With Ureteral Stones Undergoing Ureteroscopic Lithotripsy.输尿管壁厚度作为输尿管结石患者行输尿管镜碎石术前结石嵌顿的指标
Urology. 2017 Aug;106:45-49. doi: 10.1016/j.urology.2017.04.047. Epub 2017 May 9.
8
Ureteroscopic lithotripsy in the Trendelenburg position for extracting obstructive upper ureteral obstruction stones: a prospective, randomized, comparative trial.头低脚高位输尿管镜碎石术治疗上尿路梗阻性输尿管上段结石:一项前瞻性、随机、对照试验
Scand J Urol. 2018 Aug;52(4):291-295. doi: 10.1080/21681805.2018.1492966. Epub 2018 Oct 18.
9
Computed tomography-based novel prediction model for the stone-free rate of ureteroscopic lithotripsy.基于计算机断层扫描的输尿管镜碎石术无结石率新型预测模型。
Urolithiasis. 2014 Feb;42(1):75-9. doi: 10.1007/s00240-013-0609-0. Epub 2013 Oct 27.
10
Optimal timing of ureteroscopic lithotripsy after the initial drainage treatment and risk factors for postoperative febrile urinary tract infection in patients with obstructive pyelonephritis: a retrospective study.初始引流治疗后输尿管镜碎石术的最佳时机及梗阻性肾盂肾炎患者术后发热性尿路感染的危险因素:一项回顾性研究。
BMC Urol. 2021 Jan 15;21(1):10. doi: 10.1186/s12894-020-00754-8.

引用本文的文献

1
Ureteric wall thickness as a novel predictor for failed retrograde ureteric stent placement.输尿管壁厚度作为逆行输尿管支架置入失败的一种新预测指标。
Can Urol Assoc J. 2024 Oct;18(10):349-352. doi: 10.5489/cuaj.8845.
2
Value of preoperative ureteral wall thickness in prediction of impaction of ureteric stones stratified by size in laser ureteroscopic lithotripsy.术前输尿管壁厚度对激光输尿管镜碎石术分层大小输尿管结石嵌顿的预测价值。
BMC Urol. 2023 Jan 6;23(1):3. doi: 10.1186/s12894-022-01168-4.
3
Effect of rapid rehabilitation nursing on improvement of quality of life after super-miniPCNL and risk analysis for postoperative complications.

本文引用的文献

1
Ureteral wall thickness at the impacted ureteral stone site: a critical predictor for success rates after SWL.输尿管结石嵌顿部位的输尿管壁厚度:体外冲击波碎石术后成功率的关键预测指标。
Urolithiasis. 2015 Feb;43(1):83-8. doi: 10.1007/s00240-014-0724-6. Epub 2014 Nov 25.
2
Impact of gender on success and complication rates after ureteroscopy.性别对输尿管镜检查术后成功率及并发症发生率的影响。
World J Urol. 2015 Sep;33(9):1297-302. doi: 10.1007/s00345-014-1435-x. Epub 2014 Nov 12.
3
Intraoperative complications after 8150 semirigid ureteroscopies for ureteral lithiasis: risk analysis and management.
快速康复护理对超微经皮肾镜取石术后生活质量改善的影响及术后并发症风险分析
Am J Transl Res. 2022 Jul 15;14(7):5146-5154. eCollection 2022.
4
Predicting narrow ureters before ureteroscopic lithotripsy with a neural network: a retrospective bicenter study.利用神经网络预测输尿管镜碎石术前的输尿管狭窄:一项回顾性的双中心研究。
Urolithiasis. 2022 Oct;50(5):599-610. doi: 10.1007/s00240-022-01341-2. Epub 2022 Jun 23.
8150例输尿管结石半硬性输尿管镜检查术后的术中并发症:风险分析与处理
Chirurgia (Bucur). 2014 May-Jun;109(3):369-74.
4
Differences in ureteroscopic stone treatment and outcomes for distal, mid-, proximal, or multiple ureteral locations: the Clinical Research Office of the Endourological Society ureteroscopy global study.经输尿管镜碎石术治疗输尿管不同部位(远端、中段、上段或多处)结石的效果比较:经自然腔道内镜协会经输尿管镜全球研究临床研究办公室。
Eur Urol. 2014 Jul;66(1):102-9. doi: 10.1016/j.eururo.2014.01.011. Epub 2014 Jan 23.
5
Antibiotic prophylaxis in retrograde ureteroscopy: what strategy should we adopt?逆行输尿管镜检查中的抗生素预防:我们应采取何种策略?
Germs. 2013 Dec 1;3(4):115-21. doi: 10.11599/germs.2013.1045.
6
Computed tomography-based novel prediction model for the stone-free rate of ureteroscopic lithotripsy.基于计算机断层扫描的输尿管镜碎石术无结石率新型预测模型。
Urolithiasis. 2014 Feb;42(1):75-9. doi: 10.1007/s00240-013-0609-0. Epub 2013 Oct 27.
7
A nomogram predicting severe adverse events after ureteroscopic lithotripsy: 12  372 patients in a Japanese national series.预测输尿管镜碎石术后严重不良事件的列线图:日本全国系列中的 12372 例患者。
BJU Int. 2013 Mar;111(3):459-66. doi: 10.1111/j.1464-410X.2012.11594.x. Epub 2012 Dec 18.
8
Impact of obesity on retrograde ureteroscopic approach.肥胖对逆行输尿管镜检查方法的影响。
J Med Life. 2012 Jun 12;5(2):222-5. Epub 2012 Jun 18.
9
Retrograde ureteroscopic treatment for upper ureteral stones: a 5-year retrospective study.逆行输尿管镜治疗输尿管上段结石:一项 5 年回顾性研究。
J Endourol. 2010 Nov;24(11):1753-7. doi: 10.1089/end.2009.0611. Epub 2010 Sep 19.
10
Semirigid ureteroscopy for ureteral stones: a multivariate analysis of unfavorable results.半硬性输尿管镜治疗输尿管结石:不良结果的多因素分析
J Urol. 2009 Mar;181(3):1158-62. doi: 10.1016/j.juro.2008.10.167. Epub 2009 Jan 18.