Suppr超能文献

甲状腺癌中等风险患者甲状腺切除及放射性碘治疗后未刺激血清甲状腺球蛋白水平并非总是淋巴结复发的可靠标志物:病例报告及给临床医生的启示

Unstimulated Serum Thyroglobulin Levels after Thyroidectomy and Radioiodine Therapy for Intermediate-Risk Thyroid Cancer Are Not Always a Reliable Marker of Lymph Node Recurrence: Case Report and a Lesson for Clinicians.

作者信息

Foppiani Luca, Sola Simona, Cabria Manlio, Bottoni Gianluca, Piccardo Arnoldo

机构信息

Internal Medicine, Galliera Hospital, Genoa, Italy.

Department of Pathology, Galliera Hospital, Genoa, Italy.

出版信息

Case Rep Endocrinol. 2020 Oct 8;2020:8827503. doi: 10.1155/2020/8827503. eCollection 2020.

Abstract

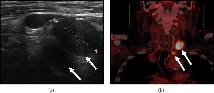
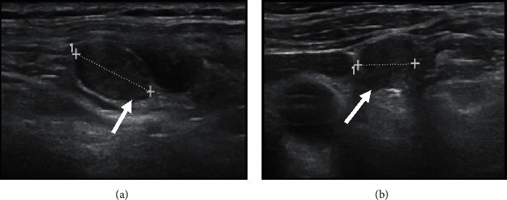
Over 50% of patients with papillary thyroid carcinoma (PTC) have cervical lymph-node metastasis on diagnosis, and up to 30% show nodal recurrence after surgery plus radioactive iodine (131I) (RAI) therapy. The combination of ultrasonography (US) and fine-needle aspiration cytology (FNAC) and the measurement of thyroglobulin (Tg) in washout fluid are cornerstones in the diagnosis of nodal metastasis. In the absence of anti-Tg antibodies, unstimulated serum thyroglobulin (Tg) levels are generally a reliable marker of recurrent disease, and 18F-FDG positron emission tomography (PET)/computed tomography (CT) plays an important role in the imaging work-up. We report the case of a 65-year-old man evaluated for a large multinodular goitre which caused compressive symptoms; the dominant nodule in the left lobe presented suspicious features on US. Thyroid function showed subclinical hypothyroidism, calcitonin was normal, serum thyroglobulin levels were low, and anti-thyroid antibodies were absent. The prevalent left nodule showed an intense uptake on 18F-FDG PET/CT but proved benign at FNAC. On the basis of the suspicious clinical and imaging features, total thyroidectomy was performed. Histology revealed a tall-cell variant of PTC with scattered expression of Tg and diffuse high expression of cytokeratin (CK) 19; RAI therapy was performed. Within 6 years of surgery, left laterocervical lymph-node recurrence was twice detected (first at levels II and III, then at levels IV and VI) by US and 18F-FDG-PET/CT and was confirmed by FNAC. Tg levels in the washout fluid proved clearly diagnostic of metastasis only in the second, larger, recurrence, whereas serum Tg levels (in the absence of anti-Tg antibodies) always remained undetectable on L-thyroxine therapy. Surgery was performed on both recurrences, and histology confirmed lymph-node metastasis of PTC. Immunohistochemical expression of Tg and CK 19 was similar to that of the primary tumour. No further relapses have occurred to date. Posttherapy (surgery and RAI) unstimulated serum Tg levels may not be a reliable marker of nodal recurrence in patients with differentiated thyroid cancer (DTC) that produces low amounts of Tg.

摘要

超过50%的甲状腺乳头状癌(PTC)患者在诊断时已有颈部淋巴结转移,高达30%的患者在手术加放射性碘(131I)(RAI)治疗后出现淋巴结复发。超声检查(US)、细针穿刺细胞学检查(FNAC)以及冲洗液中甲状腺球蛋白(Tg)的检测相结合,是诊断淋巴结转移的基石。在不存在抗Tg抗体的情况下,未刺激血清甲状腺球蛋白(Tg)水平通常是复发疾病的可靠标志物,18F-FDG正电子发射断层扫描(PET)/计算机断层扫描(CT)在影像学检查中发挥着重要作用。我们报告了一例65岁男性患者,因巨大结节性甲状腺肿出现压迫症状而接受评估;左叶的优势结节在超声检查中呈现可疑特征。甲状腺功能显示亚临床甲状腺功能减退,降钙素正常,血清甲状腺球蛋白水平低,且无抗甲状腺抗体。优势的左侧结节在18F-FDG PET/CT上显示摄取增强,但在FNAC检查中被证明为良性。基于可疑的临床和影像学特征,进行了全甲状腺切除术。组织学检查显示为PTC的高细胞变体,Tg呈散在表达,细胞角蛋白(CK)19呈弥漫性高表达;进行了RAI治疗。在手术后6年内,通过超声检查和18F-FDG-PET/CT两次检测到左侧颈外侧淋巴结复发(首次在Ⅱ区和Ⅲ区,随后在Ⅳ区和Ⅵ区),并经FNAC证实。冲洗液中的Tg水平仅在第二次较大的复发中明确诊断为转移,而在左甲状腺素治疗期间,血清Tg水平(在不存在抗Tg抗体的情况下)始终未被检测到。对两次复发均进行了手术,组织学检查证实为PTC的淋巴结转移。Tg和CK 19的免疫组化表达与原发肿瘤相似。迄今为止未再发生复发。在分化型甲状腺癌(DTC)产生少量Tg的患者中,治疗后(手术和RAI)未刺激血清Tg水平可能不是淋巴结复发的可靠标志物。

https://cdn.ncbi.nlm.nih.gov/pmc/blobs/cbb1/7568143/cacdc6938fa0/CRIE2020-8827503.001.jpg

文献检索

告别复杂PubMed语法,用中文像聊天一样搜索,搜遍4000万医学文献。AI智能推荐,让科研检索更轻松。

立即免费搜索

文件翻译

保留排版,准确专业,支持PDF/Word/PPT等文件格式,支持 12+语言互译。

免费翻译文档

深度研究

AI帮你快速写综述,25分钟生成高质量综述,智能提取关键信息,辅助科研写作。

立即免费体验