Suppr超能文献

老年人膝关节置换术前和术后大脑内在活动及功能连接的改变:一项静息态功能磁共振成像研究

Altered Intrinsic Brain Activity and Functional Connectivity Before and After Knee Arthroplasty in the Elderly: A Resting-State fMRI Study.

作者信息

Lan Fei, Lin Guanwen, Cao Guanglei, Li Zheng, Ma Daqing, Liu Fangyan, Duan Mei, Fu Huiqun, Xiao Wei, Qi Zhigang, Wang Tianlong

机构信息

Department of Anesthesiology, Xuanwu Hospital, Capital Medical University, National Clinical Research Center for Geriatric Disorders, Beijing Institute for Brain Disorders, Beijing, China.

Department of Anesthesiology, Hainan General Hospital, Hainan Affiliated Hospital of Hainan Medical University, Haikou, China.

出版信息

Front Neurol. 2020 Sep 29;11:556028. doi: 10.3389/fneur.2020.556028. eCollection 2020.

Abstract

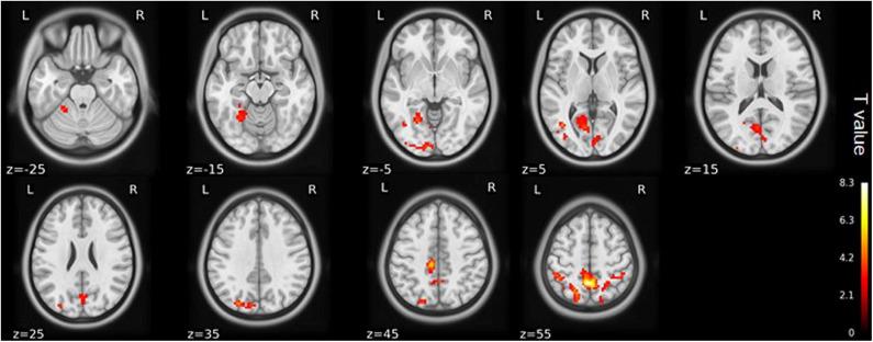
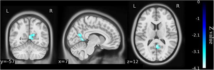
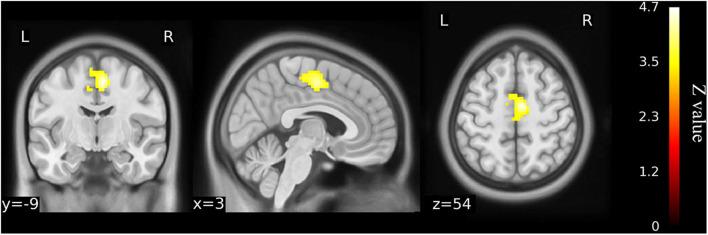
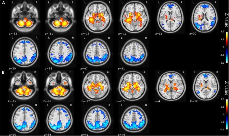
This study aimed to investigate the brain functional alterations with resting-state functional magnetic resonance imaging (rs-fMRI) in older patients with knee osteoarthritis (KOA) before and after total knee arthroplasty (TKA) and to assess the causal relationship of the brain function and neuropsychological changes. We performed rs-fMRI to investigate brain function of 23 patients aged ≥65 with KOA and 23 healthy matched controls. Of the KOA patients, 15 completed postoperative rs-fMRI examinations. Analyzes of the amplitude of low-frequency fluctuation (ALFF) and functional connectivity (FC) were used to estimate differences in brain functional parameters between KOA patients, postoperative patients, and the controls. The relationship between changes of pre- and post-surgical status in ALFF and neuropsychological test results was analyzed. Compared with the controls, all patients with KOA exhibited decreased ALFF in the default mode network (bilateral angular gyrus, precuneus gyrus, medial superior frontal gyrus) and increased ALFF in the bilateral amygdala and cerebellum posterior lobe before surgery ( < 0.001). Altered ALFF persisted in the same brain regions 1 week postoperatively. The decreased ALFF in the left precuneus gyrus and middle temporal gyrus was found after surgery when compared with preoperative data ( < 0.01). Preoperatively, the KOA patients exhibited increased FC between the left precuneus gyrus and the right supplementary motor area compared to the controls ( < 0.001), but this connectivity became no significant difference after TKA. The left Cerebelum_9 was found to have decreased FC with the right precuneus gyrus postoperatively ( < 0.001) although this was not significantly different before surgery. The significantly altered ALFF values were not correlated with changes in cognitive assessment scores. In older patients with end-stage KOA, functional alterations in important brain regions were detected with the persistence and further changes observed at an early stage after knee replacement. Our data further our understanding of brain functional abnormalities and cognitive impairment in older patients following knee replacement, which may provide therapeutic targets for preventive/treatment strategy to be developed. Clinical Trial Registration: http://www.chictr.org.cn/index.aspx, ChiCTR1800016437; Registered June 1, 2018.

摘要

本研究旨在通过静息态功能磁共振成像(rs-fMRI)调查老年膝骨关节炎(KOA)患者全膝关节置换术(TKA)前后的脑功能改变,并评估脑功能与神经心理变化之间的因果关系。我们对23例年龄≥65岁的KOA患者及23名匹配的健康对照者进行rs-fMRI以研究脑功能。其中15例KOA患者完成了术后rs-fMRI检查。采用低频振幅(ALFF)分析和功能连接(FC)分析来评估KOA患者、术后患者及对照者之间脑功能参数的差异。分析了手术前后ALFF变化与神经心理测试结果之间的关系。与对照组相比,所有KOA患者术前默认模式网络(双侧角回、楔前回、额上回中部)的ALFF均降低,双侧杏仁核和小脑后叶的ALFF增加(<0.001)。术后1周,相同脑区的ALFF改变持续存在。与术前数据相比,术后发现左侧楔前回和颞中回的ALFF降低(<0.01)。术前,与对照组相比,KOA患者左侧楔前回与右侧辅助运动区之间的FC增加(<0.001),但TKA术后这种连接性无显著差异。术后发现左侧小脑_9与右侧楔前回的FC降低(<0.001),尽管术前无显著差异。ALFF值的显著改变与认知评估评分的变化无关。在老年终末期KOA患者中,检测到重要脑区的功能改变,且在膝关节置换术后早期观察到这些改变持续存在并进一步变化。我们的数据进一步加深了我们对老年患者膝关节置换后脑功能异常和认知障碍的理解可能为制定预防/治疗策略提供治疗靶点。临床试验注册:http://www.chictr.org.cn/index.aspx,ChiCTR1800016437;2018年6月1日注册。

https://cdn.ncbi.nlm.nih.gov/pmc/blobs/02ca/7550714/8ac8292190ba/fneur-11-556028-g0001.jpg

文献AI研究员

20分钟写一篇综述,助力文献阅读效率提升50倍。

立即体验

用中文搜PubMed

大模型驱动的PubMed中文搜索引擎

马上搜索

文档翻译

学术文献翻译模型,支持多种主流文档格式。

立即体验