Suppr超能文献

射波刀治疗包括Dorello管在内的颅底岩斜区转移瘤:10例报告

CyberKnife Radiotherapy for Skull Base Petroclival Metastases Including Dorello's Canal: Report of 10 Cases.

作者信息

Miyazaki Shinichiro, Harada Yuko, Sasaki Yusuke, Fukushima Takanori

机构信息

CyberKnife Center, Shin-Yurigaoka General Hospital, Kawasaki, JPN.

Neurosurgery, Tokyo General Hospital, Tokyo, JPN.

出版信息

Cureus. 2020 Sep 28;12(9):e10692. doi: 10.7759/cureus.10692.

Abstract

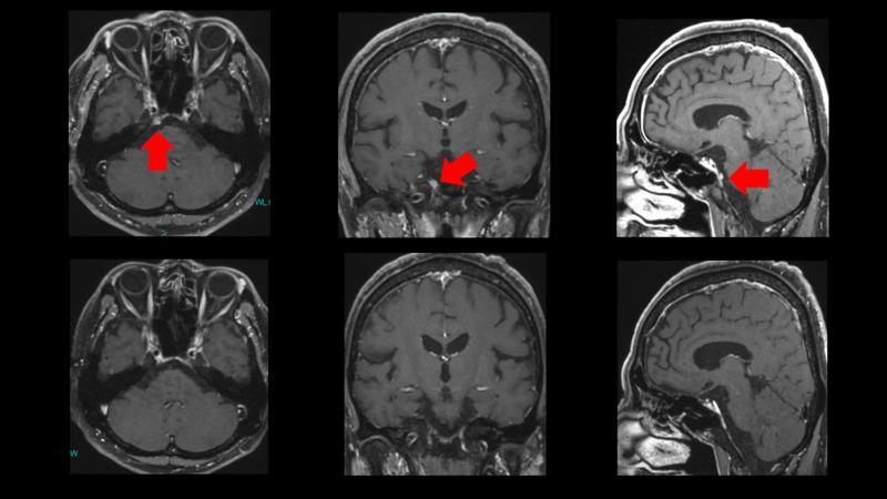
Skull base petroclival metastases cause diplopia due to abducens nerve palsy. Diplopia is visually disabling, and skull base metastasis is extremely difficult to treat even with microscopic surgery. However, stereotactic radiotherapy with CyberKnife (Accuray Incorporated, Sunnyvale, California) has been very successful in 10 cases. As the abducens nerve runs through Dorello's canal in the skull base, the radiation dose and fraction were adjusted to avoid damage to the nerve. Since these metastases are not located inside the brain but in the skull base, contrast magnetic resonance imaging (MRI) combined with fluorodeoxyglucose-positron emission tomography (FDG-PET) was essential to detect the cancers.

摘要

颅底岩斜区转移瘤可因展神经麻痹导致复视。复视会导致视力障碍,即便采用显微手术,颅底转移瘤也极难治疗。然而,使用射波刀(Accuray Incorporated,加利福尼亚州桑尼维尔)进行立体定向放射治疗已在10例患者中取得了非常成功的效果。由于展神经穿过颅底的Dorello管,因此需调整放射剂量和分割方式以避免损伤该神经。由于这些转移瘤并非位于脑内而是在颅底,因此对比磁共振成像(MRI)联合氟脱氧葡萄糖正电子发射断层扫描(FDG-PET)对于检测癌症至关重要。

https://cdn.ncbi.nlm.nih.gov/pmc/blobs/efc3/7593206/33264d5b9848/cureus-0012-00000010692-i01.jpg

相似文献

3
A new look at an old canal.
Skull Base. 2011 Jan;21(1):53-8. doi: 10.1055/s-0030-1263282.
4
Sixth nerve palsy associated with obstruction in Dorello's canal, accompanied by nodular type muscular sarcoidosis.
J Neurol Sci. 2014 Aug 15;343(1-2):203-5. doi: 10.1016/j.jns.2014.05.055. Epub 2014 Jun 2.
5
Dorello's Canal for Laymen: A Lego-Like Presentation.
J Neurol Surg B Skull Base. 2012 Jun;73(3):183-9. doi: 10.1055/s-0032-1311753.
6
Microanatomical architecture of Dorello's canal and its clinical implications.
Neurosurgery. 2007 Feb;60(2 Suppl 1):ONS1-7; discussion ONS7-8. doi: 10.1227/01.NEU.0000249229.89988.4D.
8
Abducens nerve palsy due to inferior petrosal sinus thrombosis.
J Clin Neurosci. 2017 Jun;40:69-71. doi: 10.1016/j.jocn.2017.02.018. Epub 2017 Feb 24.
10
Dorello's canal: a microanatomical study.
J Neurosurg. 1991 Aug;75(2):294-8. doi: 10.3171/jns.1991.75.2.0294.

引用本文的文献

本文引用的文献

2
[Classification of Clinical Syndromes Associated with Skull-Base Metastasis in the MR Era].
No Shinkei Geka. 2018 Oct;46(10):865-873. doi: 10.11477/mf.1436203829.
5
Dorello's Canal and Gruber's Ligament: Historical Perspective.
J Neurol Surg B Skull Base. 2012 Dec;73(6):430-3. doi: 10.1055/s-0032-1329628. Epub 2012 Nov 6.
7
Management of skull base metastases.
Neurosurg Clin N Am. 2011 Jan;22(1):61-6, vi-ii. doi: 10.1016/j.nec.2010.08.005.
9
Metastasis to the base of the skull: clinical findings in 43 patients.
Neurology. 1981 May;31(5):530-7. doi: 10.1212/wnl.31.5.530.

文献AI研究员

20分钟写一篇综述,助力文献阅读效率提升50倍。

立即体验

用中文搜PubMed

大模型驱动的PubMed中文搜索引擎

马上搜索

文档翻译

学术文献翻译模型,支持多种主流文档格式。

立即体验