Suppr超能文献

钠-葡萄糖协同转运蛋白2抑制剂通过Toll样受体9与Beclin 1和线粒体沉默信息调节因子3结合来保护心脏免受阿霉素毒性作用。

TLR9 Binding to Beclin 1 and Mitochondrial SIRT3 by a Sodium-Glucose Co-Transporter 2 Inhibitor Protects the Heart from Doxorubicin Toxicity.

作者信息

Wang Chao-Yung, Chen Chun-Chi, Lin Mei-Hsiu, Su Hui-Ting, Ho Ming-Yun, Yeh Jih-Kai, Tsai Ming-Lung, Hsieh I-Chang, Wen Ming-Shien

机构信息

Department of Cardiology, Chang Gung Memorial Hospital, and Chang Gung University College of Medicine, Taoyuan City 333, Taiwan.

Institute of Cellular and System Medicine, National Health Research Institutes, Zhunan 350, Taiwan.

出版信息

Biology (Basel). 2020 Oct 29;9(11):369. doi: 10.3390/biology9110369.

Abstract

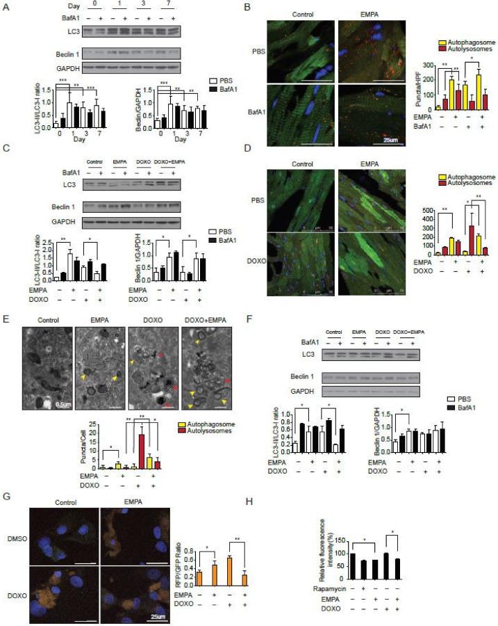
Large cardiovascular outcome trials have reported favorable effects of sodium-glucose co-transporter 2 (SGLT2) inhibitors on heart failure. To study the potential mechanism of the SGLT2 inhibition in heart failure, we used the murine doxorubicin-induced cardiomyopathy model and identified the toll-like receptor 9 (TLR9), NAD-dependent deacetylase sirtuin-3 (SIRT3), and Beclin 1, acting in a complex together in response to empagliflozin treatment. The interactions and implications in mitochondrial function were evaluated with deficient, deficient, haplodeficient, and autophagy reporter mice and confirmed in a patient with SIRT3 point mutation and reduced enzymatic activity. The SGLT2 inhibitor, empagliflozin, protects the heart from doxorubicin cardiomyopathy in mice, by acting through a novel Beclin 1-toll-like receptor (TLR) 9-sirtuin-(SIRT) 3 axis. TLR9 and SIRT3 were both essential for the protective effects of empagliflozin. The dilated cardiomyopathy patient with SIRT3 point mutation and reduced enzymatic activity is associated with reduced TLR9 activation and the absence of mitochondrial responses in the heart after the SGLT2 inhibitor treatment. Our data indicate a dynamic communication between autophagy and Beclin 1-TLR9-SIRT3 complexes in the mitochondria in response to empagliflozin that may serve as a potential treatment strategy for heart failure.

摘要

大型心血管结局试验报告了钠-葡萄糖协同转运蛋白2(SGLT2)抑制剂对心力衰竭的有益作用。为了研究SGLT2抑制在心力衰竭中的潜在机制,我们使用了小鼠阿霉素诱导的心肌病模型,并确定了Toll样受体9(TLR9)、烟酰胺腺嘌呤二核苷酸依赖性脱乙酰酶sirtuin-3(SIRT3)和Beclin 1,它们在接受恩格列净治疗时共同形成一个复合物发挥作用。我们使用基因缺陷、基因敲除、单倍体缺陷和自噬报告基因小鼠评估了它们在线粒体功能中的相互作用和影响,并在一名SIRT3点突变且酶活性降低的患者中得到了证实。SGLT2抑制剂恩格列净通过一种新的Beclin 1-Toll样受体(TLR)9-沉默调节蛋白(SIRT)3轴发挥作用,保护小鼠心脏免受阿霉素诱导的心肌病影响。TLR9和SIRT3对恩格列净的保护作用均至关重要。SIRT3点突变且酶活性降低的扩张型心肌病患者,在接受SGLT2抑制剂治疗后,其TLR9激活降低,心脏中也没有线粒体反应。我们的数据表明,在对恩格列净的反应中,自噬与线粒体中的Beclin 1-TLR9-SIRT3复合物之间存在动态通讯,这可能是心力衰竭的一种潜在治疗策略。

https://cdn.ncbi.nlm.nih.gov/pmc/blobs/aeef/7693736/998e17168d00/biology-09-00369-g001.jpg

文献检索

告别复杂PubMed语法,用中文像聊天一样搜索,搜遍4000万医学文献。AI智能推荐,让科研检索更轻松。

立即免费搜索

文件翻译

保留排版,准确专业,支持PDF/Word/PPT等文件格式,支持 12+语言互译。

免费翻译文档

深度研究

AI帮你快速写综述,25分钟生成高质量综述,智能提取关键信息,辅助科研写作。

立即免费体验