• 文献检索
  • 文档翻译
  • 深度研究
  • 学术资讯
  • Suppr Zotero 插件Zotero 插件
  • 邀请有礼
  • 套餐&价格
  • 历史记录
应用&插件
Suppr Zotero 插件Zotero 插件浏览器插件Mac 客户端Windows 客户端微信小程序
定价
高级版会员购买积分包购买API积分包
服务
文献检索文档翻译深度研究API 文档MCP 服务
关于我们
关于 Suppr公司介绍联系我们用户协议隐私条款
关注我们

Suppr 超能文献

核心技术专利:CN118964589B侵权必究
粤ICP备2023148730 号-1Suppr @ 2026

文献检索

告别复杂PubMed语法,用中文像聊天一样搜索,搜遍4000万医学文献。AI智能推荐,让科研检索更轻松。

立即免费搜索

文件翻译

保留排版,准确专业,支持PDF/Word/PPT等文件格式,支持 12+语言互译。

免费翻译文档

深度研究

AI帮你快速写综述,25分钟生成高质量综述,智能提取关键信息,辅助科研写作。

立即免费体验

WOX 基因在黑杨主根次生结构形成新侧根过程中的表达。

WOX genes expression during the formation of new lateral roots from secondary structures in Populus nigra (L.) taproot.

机构信息

Department of Biotechnology and Life Science, University of Insubria, Via Dunant, 3, 21100, Varese, VA, Italy.

Department of Chemistry and Biology 'A. Zambelli', University of Salerno, Via Giovanni Paolo II, 132, 84084, Fisciano, SA, Italy.

出版信息

Sci Rep. 2020 Nov 3;10(1):18890. doi: 10.1038/s41598-020-75150-1.

DOI:10.1038/s41598-020-75150-1
PMID:33144589
原文链接:https://pmc.ncbi.nlm.nih.gov/articles/PMC7641218/
Abstract

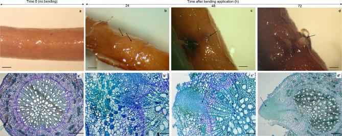
Despite the large amounts of data available on lateral root formation, little is known about their initiation from secondary structures. In the present work, we applied a bending treatment to Populus nigra (L.) woody taproots to induce the formation of new lateral roots. The development of lateral roots was monitored by stereomicroscopic examination of cross-sections. Tissues were sampled from the bending zone in the proximity of the vascular cambium before (time 0) and after the application of bending at three different time points (24, 48, and 72 h) and analyzed for the expression of P. nigra WOX homologs. The initiation of new lateral roots was observed to originate from the vascular cambium zone and was followed by primordium formation and root emergence. PnWOX4a, PnWOX4b, PnWOX5a, PnWOX5b, PnWOX11/12a, and PnWOX11/12b were shown to be expressed during the formation of new lateral roots at different developmental stages. The mechanical stress simulated by bending treatment was shown to activate the molecular mechanism leading to the expression of WOX genes, which are hypothesized to control SLR formation in the cambium zone of poplar taproot.

摘要

尽管已经有大量关于侧根形成的数据,但对于它们从次生结构中起始的过程仍知之甚少。在本研究中,我们对欧洲黑杨木质主根进行了弯曲处理,以诱导新侧根的形成。通过对横切面上的立体显微镜检查,对侧根的发育进行了监测。在弯曲处理前(时间 0)和弯曲处理后 3 个不同时间点(24、48 和 72 h),从靠近维管束形成层的弯曲区域取样,并分析 P. nigra WOX 同源物的表达。观察到新侧根的起始起源于维管束形成层区域,随后是原基形成和根的出现。在新侧根形成的不同发育阶段,PnWOX4a、PnWOX4b、PnWOX5a、PnWOX5b、PnWOX11/12a 和 PnWOX11/12b 被证明表达。弯曲处理模拟的机械应力激活了导致 WOX 基因表达的分子机制,这些基因被假设控制杨树主根维管束形成层中的 SLR 形成。

https://cdn.ncbi.nlm.nih.gov/pmc/blobs/8202/7641218/9026e011ad51/41598_2020_75150_Fig2_HTML.jpg
https://cdn.ncbi.nlm.nih.gov/pmc/blobs/8202/7641218/a7dfb0cc87c1/41598_2020_75150_Fig1_HTML.jpg
https://cdn.ncbi.nlm.nih.gov/pmc/blobs/8202/7641218/9026e011ad51/41598_2020_75150_Fig2_HTML.jpg
https://cdn.ncbi.nlm.nih.gov/pmc/blobs/8202/7641218/a7dfb0cc87c1/41598_2020_75150_Fig1_HTML.jpg
https://cdn.ncbi.nlm.nih.gov/pmc/blobs/8202/7641218/9026e011ad51/41598_2020_75150_Fig2_HTML.jpg

相似文献

1
WOX genes expression during the formation of new lateral roots from secondary structures in Populus nigra (L.) taproot.WOX 基因在黑杨主根次生结构形成新侧根过程中的表达。
Sci Rep. 2020 Nov 3;10(1):18890. doi: 10.1038/s41598-020-75150-1.
2
The proteome of Populus nigra woody root: response to bending.黑杨木质根的蛋白质组:对弯曲的响应。
Ann Bot. 2012 Jul;110(2):415-32. doi: 10.1093/aob/mcs040. Epub 2012 Mar 20.
3
WUSCHEL-related Homeobox genes in Populus tomentosa: diversified expression patterns and a functional similarity in adventitious root formation.毛白杨中与WUSCHEL相关的同源异型盒基因:多样的表达模式及在不定根形成中的功能相似性
BMC Genomics. 2014 Apr 21;15:296. doi: 10.1186/1471-2164-15-296.
4
WUSCHEL-RELATED HOMEOBOX genes are crucial for normal vascular organization and wood formation in poplar.WUSCHEL 相关同源框基因对于杨树正常的血管组织和木质形成至关重要。
Plant Sci. 2024 Sep;346:112138. doi: 10.1016/j.plantsci.2024.112138. Epub 2024 May 31.
5
The Populus class III HD ZIP, popREVOLUTA, influences cambium initiation and patterning of woody stems.杨树 III 类 HD-ZIP,popREVOLUTA,影响形成层起始和木质茎的木质部模式形成。
Plant Physiol. 2011 Mar;155(3):1214-25. doi: 10.1104/pp.110.167007. Epub 2010 Dec 29.
6
PtrHB7, a class III HD-Zip gene, plays a critical role in regulation of vascular cambium differentiation in Populus.PtrHB7,一个 III 类 HD-Zip 基因,在杨树形成层分化的调控中起着关键作用。
Mol Plant. 2013 Jul;6(4):1331-43. doi: 10.1093/mp/sss164. Epub 2013 Jan 2.
7
MicroRNAs expression patterns in the response of poplar woody root to bending stress.杨树木质根对弯曲应力响应中的微小RNA表达模式
Planta. 2015 Jul;242(1):339-51. doi: 10.1007/s00425-015-2311-7. Epub 2015 May 12.
8
WUSCHEL-RELATED HOMEOBOX4 (WOX4)-like genes regulate cambial cell division activity and secondary growth in Populus trees.WUSCHEL-RELATED HOMEOBOX4(WOX4)样基因调节杨属树木中形成层细胞的分裂活性和次生生长。
New Phytol. 2017 Jul;215(2):642-657. doi: 10.1111/nph.14631. Epub 2017 Jun 13.
9
A HD-ZIP III gene, PtrHB4, is required for interfascicular cambium development in Populus.一个 HD-ZIP III 基因,PtrHB4,是杨树维管束形成层发育所必需的。
Plant Biotechnol J. 2018 Mar;16(3):808-817. doi: 10.1111/pbi.12830. Epub 2017 Nov 18.
10
Transcription factors PRE3 and WOX11 are involved in the formation of new lateral roots from secondary growth taproot in A. thaliana.转录因子 PRE3 和 WOX11 参与了拟南芥次生生长主根中侧根的形成。
Plant Biol (Stuttg). 2018 May;20(3):426-432. doi: 10.1111/plb.12711. Epub 2018 Mar 25.

引用本文的文献

1
Global Analysis of the WOX Transcription Factor Family in .. 中WOX转录因子家族的全局分析
Curr Issues Mol Biol. 2023 Dec 19;46(1):11-24. doi: 10.3390/cimb46010002.
2
Meristem genes are essential for the vegetative reproduction of .分生组织基因对于……的营养繁殖至关重要。 (原文中“of”后面缺少具体内容)
Front Plant Sci. 2023 May 8;14:1157619. doi: 10.3389/fpls.2023.1157619. eCollection 2023.
3
Long Non-Coding RNA Suppresses Adventitious Root Formation of Poplar by Regulating the Expression of .长非编码 RNA 通过调控. 的表达抑制杨树不定根形成

本文引用的文献

1
Reprogramming of the cambium regulators during adventitious root development upon wounding of storage tap roots in radish ( L.).萝卜(L.)贮藏主根受伤后不定根发育过程中形成层调节因子的重编程。
Biol Open. 2019 Mar 12;8(3):bio039677. doi: 10.1242/bio.039677.
2
The evolution of root branching: increasing the level of plasticity.根系分枝的进化:提高可塑性水平。
J Exp Bot. 2019 Feb 5;70(3):785-793. doi: 10.1093/jxb/ery409.
3
Transcription factors PRE3 and WOX11 are involved in the formation of new lateral roots from secondary growth taproot in A. thaliana.
Int J Mol Sci. 2023 Mar 17;24(6):5766. doi: 10.3390/ijms24065766.
4
WOX11: the founder of plant organ regeneration.WOX11:植物器官再生的奠基者。
Cell Regen. 2023 Jan 4;12(1):1. doi: 10.1186/s13619-022-00140-9.
5
Formation and Development of Taproots in Deciduous Tree Species.落叶树种主根的形成与发育
Front Plant Sci. 2021 Dec 2;12:772567. doi: 10.3389/fpls.2021.772567. eCollection 2021.
6
Meristematic Connectome: A Cellular Coordinator of Plant Responses to Environmental Signals?分生组织连接组:植物响应环境信号的细胞协调者?
Cells. 2021 Sep 26;10(10):2544. doi: 10.3390/cells10102544.
转录因子 PRE3 和 WOX11 参与了拟南芥次生生长主根中侧根的形成。
Plant Biol (Stuttg). 2018 May;20(3):426-432. doi: 10.1111/plb.12711. Epub 2018 Mar 25.
4
Regulatory networks controlling the development of the root system and the formation of lateral roots: a comparative analysis of the roles of pericycle and vascular cambium.调控根系发育和侧根形成的调控网络:中柱和维管形成层作用的比较分析。
Ann Bot. 2018 Nov 3;122(5):697-710. doi: 10.1093/aob/mcy003.
5
The WUSCHEL-related homeobox 5a (PtoWOX5a) is involved in adventitious root development in poplar.WUSCHEL 相关同源框 5a(PtoWOX5a)参与杨树不定根的发育。
Tree Physiol. 2018 Jan 1;38(1):139-153. doi: 10.1093/treephys/tpx118.
6
WUSCHEL-RELATED HOMEOBOX4 (WOX4)-like genes regulate cambial cell division activity and secondary growth in Populus trees.WUSCHEL-RELATED HOMEOBOX4(WOX4)样基因调节杨属树木中形成层细胞的分裂活性和次生生长。
New Phytol. 2017 Jul;215(2):642-657. doi: 10.1111/nph.14631. Epub 2017 Jun 13.
7
Transcription Factors WOX11/12 Directly Activate WOX5/7 to Promote Root Primordia Initiation and Organogenesis.转录因子WOX11/12直接激活WOX5/7以促进根原基起始和器官发生。
Plant Physiol. 2016 Dec;172(4):2363-2373. doi: 10.1104/pp.16.01067. Epub 2016 Oct 26.
8
Poplar woody taproot under bending stress: the asymmetric response of the convex and concave sides.杨树主根在弯曲应力下:凸侧和凹侧的不对称响应。
Ann Bot. 2016 Oct 1;118(4):865-883. doi: 10.1093/aob/mcw159.
9
Quiescent center initiation in the Arabidopsis lateral root primordia is dependent on the SCARECROW transcription factor.拟南芥侧根原基中静止中心的起始依赖于 scarecrow 转录因子。
Development. 2016 Sep 15;143(18):3363-71. doi: 10.1242/dev.135319. Epub 2016 Aug 10.
10
Stem Cell Regulation by Arabidopsis WOX Genes.拟南芥 WOX 基因对干细胞的调控
Mol Plant. 2016 Jul 6;9(7):1028-39. doi: 10.1016/j.molp.2016.04.007. Epub 2016 Apr 19.