Suppr超能文献

自发性肾动脉血栓形成:急性胁腹痛的罕见病因。

Spontaneous renal artery thrombosis: A rare cause of acute flank pain.

作者信息

Lim Hee Joong, Hwang Jung Han, Kim Jeong Ho, Park Suyoung, Lee Ki Hyun, Park So Hyun

机构信息

Department of Radiology, Gil Medical Center, Gachon University College of Medicine, 21, Namdong-daero 774beon-gil, Namdong-gu, Incheon 21565, Republic of Korea.

出版信息

Radiol Case Rep. 2020 Oct 28;16(1):9-12. doi: 10.1016/j.radcr.2020.10.027. eCollection 2021 Jan.

Abstract

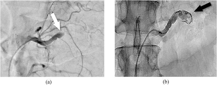
Spontaneous renal artery thrombosis is a rare cause of flank pain and can have fatal consequences. We report a case of acute renal artery thrombosis in a 61-year-old man who experienced flank pain and had no medical history. A contrast-enhanced computed tomography scan revealed total thrombotic occlusion of the left renal artery. The patient was taken to interventional radiology, and an urgent catheter-directed thrombolysis of the renal artery was performed. The procedure was successful, with the subsequent arteriogram demonstrating a substantial decrease of the thrombus extent and the recanalization of the left renal artery. This case highlights that emergency renal artery thrombolysis is an effective and safe treatment for acute occlusion of the renal artery.

摘要

自发性肾动脉血栓形成是引起胁腹疼痛的罕见原因,且可能导致致命后果。我们报告一例61岁男性急性肾动脉血栓形成病例,该患者出现胁腹疼痛且无病史。增强计算机断层扫描显示左肾动脉完全血栓闭塞。患者被送往介入放射科,紧急进行了肾动脉导管直接溶栓术。手术成功,随后的血管造影显示血栓范围大幅减小,左肾动脉再通。该病例表明,急诊肾动脉溶栓术是治疗肾动脉急性闭塞的一种有效且安全的方法。

https://cdn.ncbi.nlm.nih.gov/pmc/blobs/97eb/7596017/2c61f68cf9bb/gr1.jpg

文献AI研究员

20分钟写一篇综述,助力文献阅读效率提升50倍。

立即体验

用中文搜PubMed

大模型驱动的PubMed中文搜索引擎

马上搜索

文档翻译

学术文献翻译模型,支持多种主流文档格式。

立即体验