• 文献检索
  • 文档翻译
  • 深度研究
  • 学术资讯
  • Suppr Zotero 插件Zotero 插件
  • 邀请有礼
  • 套餐&价格
  • 历史记录
应用&插件
Suppr Zotero 插件Zotero 插件浏览器插件Mac 客户端Windows 客户端微信小程序
定价
高级版会员购买积分包购买API积分包
服务
文献检索文档翻译深度研究API 文档MCP 服务
关于我们
关于 Suppr公司介绍联系我们用户协议隐私条款
关注我们

Suppr 超能文献

核心技术专利:CN118964589B侵权必究
粤ICP备2023148730 号-1Suppr @ 2026

文献检索

告别复杂PubMed语法,用中文像聊天一样搜索,搜遍4000万医学文献。AI智能推荐,让科研检索更轻松。

立即免费搜索

文件翻译

保留排版,准确专业,支持PDF/Word/PPT等文件格式,支持 12+语言互译。

免费翻译文档

深度研究

AI帮你快速写综述,25分钟生成高质量综述,智能提取关键信息,辅助科研写作。

立即免费体验

一名儿科患者患先天性脂肪瘤过度生长伴血管畸形、表皮痣和骨骼/脊柱异常综合征的独特病例。

Unique Case of Congenital Lipomatous Overgrowth With Vascular Malformations, Epidermal Nevi, and Skeletal/Spinal Anomalies Syndrome in a Pediatric Patient.

作者信息

Quinn Kirby E, Infante Juan, Thorson Willa, Thorson Chad M

机构信息

Dewitt-Daughtry Family Department of Surgery, Division of Pediatric Surgery, University of Miami Miller School of Medicine, Miami, USA.

Department of Radiology, University of Miami Miller School of Medicine, Miami, USA.

出版信息

Cureus. 2020 Sep 30;12(9):e10737. doi: 10.7759/cureus.10737.

DOI:10.7759/cureus.10737
PMID:33145141
原文链接:https://pmc.ncbi.nlm.nih.gov/articles/PMC7599052/
Abstract

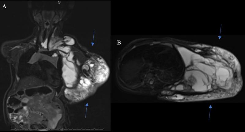
Vascular malformations are being increasingly identified with associated syndromes caused by sporadically occurring, non-heritable somatic mutations. CLOVES syndrome is a newly recognized constellation of congenital lipomatous overgrowth with vascular malformations, epidermal nevi, and skeletal/spinal anomalies. We report the unique case of CLOVES syndrome diagnosed in a pediatric patient five years after the initial surgical resection of an extensive venolymphatic malformation involving the chest, neck, axilla, and posterior trunk. The lipomatous overgrowths were successfully resected, and subsequent genetic analysis revealed a heterozygous, pathogenic, somatic variant in the PIK3CA gene, confirming our suspicion of CLOVES syndrome.

摘要

血管畸形越来越多地被发现与由散发的、非遗传性体细胞突变引起的相关综合征有关。CLOVES综合征是一种新认识的先天性脂肪瘤过度生长伴血管畸形、表皮痣和骨骼/脊柱异常的综合征。我们报告了一例独特的CLOVES综合征病例,该病例是在一名儿科患者首次手术切除累及胸部、颈部、腋窝和后躯干的广泛静脉淋巴管畸形五年后被诊断出来的。脂肪瘤过度生长被成功切除,随后的基因分析显示PIK3CA基因存在杂合性、致病性体细胞变异,证实了我们对CLOVES综合征的怀疑。

https://cdn.ncbi.nlm.nih.gov/pmc/blobs/e853/7599052/cefd50ffae2f/cureus-0012-00000010737-i02.jpg
https://cdn.ncbi.nlm.nih.gov/pmc/blobs/e853/7599052/0f5e88a14f04/cureus-0012-00000010737-i01.jpg
https://cdn.ncbi.nlm.nih.gov/pmc/blobs/e853/7599052/cefd50ffae2f/cureus-0012-00000010737-i02.jpg
https://cdn.ncbi.nlm.nih.gov/pmc/blobs/e853/7599052/0f5e88a14f04/cureus-0012-00000010737-i01.jpg
https://cdn.ncbi.nlm.nih.gov/pmc/blobs/e853/7599052/cefd50ffae2f/cureus-0012-00000010737-i02.jpg

相似文献

1
Unique Case of Congenital Lipomatous Overgrowth With Vascular Malformations, Epidermal Nevi, and Skeletal/Spinal Anomalies Syndrome in a Pediatric Patient.一名儿科患者患先天性脂肪瘤过度生长伴血管畸形、表皮痣和骨骼/脊柱异常综合征的独特病例。
Cureus. 2020 Sep 30;12(9):e10737. doi: 10.7759/cureus.10737.
2
-Related Overgrowth Spectrum相关过度生长谱系
3
[CLOVES syndrome: a malformational syndrome closely resembling Proteus syndrome].CLOVES综合征:一种与变形综合征极为相似的畸形综合征
Ann Dermatol Venereol. 2014 Aug-Sep;141(8-9):507-13. doi: 10.1016/j.annder.2014.04.119. Epub 2014 Jun 2.
4
Ultrasound diagnosis of syndromic cases with vascular malformations and soft tissue overgrowth: A rare case of CLOVES syndrome.伴有血管畸形和软组织过度生长的综合征病例的超声诊断:一例罕见的CLOVES综合征病例
Ultrasound. 2022 Nov;30(4):339-345. doi: 10.1177/1742271X221091714. Epub 2022 May 9.
5
Prenatal diagnosis of CLOVES syndrome confirmed by detection of a mosaic PIK3CA mutation in cultured amniocytes.通过检测培养羊水中的镶嵌性PIK3CA突变确诊CLOVES综合征的产前诊断。
Am J Med Genet A. 2014 Oct;164A(10):2633-7. doi: 10.1002/ajmg.a.36672. Epub 2014 Jul 14.
6
Gastrointestinal Manifestations of CLOVES Syndrome.CLOVES综合征的胃肠道表现
ACG Case Rep J. 2023 May 10;10(5):e01050. doi: 10.14309/crj.0000000000001050. eCollection 2023 May.
7
CLOVES syndrome: review of a PIK3CA-related overgrowth spectrum (PROS).CLOVES综合征:PIK3CA相关过度生长谱系(PROS)综述。
Clin Genet. 2017 Jan;91(1):14-21. doi: 10.1111/cge.12832. Epub 2016 Aug 3.
8
Alpelisib Treatment for Genital Vascular Malformation in a Patient with Congenital Lipomatous Overgrowth, Vascular Malformations, Epidermal Nevi, and Spinal/Skeletal Anomalies and/or Scoliosis (CLOVES) Syndrome.阿哌利西治疗患有先天性脂肪瘤过度生长、血管畸形、表皮痣以及脊柱/骨骼异常和/或脊柱侧弯(CLOVES)综合征患者的生殖器血管畸形
J Pediatr Adolesc Gynecol. 2019 Dec;32(6):648-650. doi: 10.1016/j.jpag.2019.07.003. Epub 2019 Jul 19.
9
A Review on Cutaneous and Musculoskeletal Manifestations of CLOVES Syndrome.CLOVES综合征的皮肤和肌肉骨骼表现综述
Clin Cosmet Investig Dermatol. 2022 Apr 13;15:621-630. doi: 10.2147/CCID.S351637. eCollection 2022.
10
A Neonate with CLOVES Syndrome.一名患有CLOVES综合征的新生儿。
Case Rep Pediatr. 2014;2014:845074. doi: 10.1155/2014/845074. Epub 2014 Oct 22.

引用本文的文献

1
A Review on Cutaneous and Musculoskeletal Manifestations of CLOVES Syndrome.CLOVES综合征的皮肤和肌肉骨骼表现综述
Clin Cosmet Investig Dermatol. 2022 Apr 13;15:621-630. doi: 10.2147/CCID.S351637. eCollection 2022.

本文引用的文献

1
Rheumatoid Arthritis and CLOVES Syndrome: A Tricky Diagnosis.类风湿关节炎与CLOVES综合征:一个棘手的诊断
Diagnostics (Basel). 2020 Jul 9;10(7):467. doi: 10.3390/diagnostics10070467.
2
CLOVES syndrome: Treatment with oral Rapamycin. Report of two cases.CLOVES综合征:口服雷帕霉素治疗。两例报告。
Rev Chil Pediatr. 2019 Dec;90(6):662-667. doi: 10.32641/rchped.v90i6.1025.
3
CLOVES Syndrome in a Nine-month-old Infant.一名9个月大婴儿的CLOVES综合征
Cureus. 2019 Sep 26;11(9):e5772. doi: 10.7759/cureus.5772.
4
Alpelisib Treatment for Genital Vascular Malformation in a Patient with Congenital Lipomatous Overgrowth, Vascular Malformations, Epidermal Nevi, and Spinal/Skeletal Anomalies and/or Scoliosis (CLOVES) Syndrome.阿哌利西治疗患有先天性脂肪瘤过度生长、血管畸形、表皮痣以及脊柱/骨骼异常和/或脊柱侧弯(CLOVES)综合征患者的生殖器血管畸形
J Pediatr Adolesc Gynecol. 2019 Dec;32(6):648-650. doi: 10.1016/j.jpag.2019.07.003. Epub 2019 Jul 19.
5
Pulmonary thromboembolic events in patients with congenital lipomatous overgrowth, vascular malformations, epidermal nevi, and spinal/skeletal abnormalities and Klippel-Trénaunay syndrome.先天性脂肪过多症、血管畸形、表皮痣、脊柱/骨骼异常和 Klippel-Trénaunay 综合征患者的肺血栓栓塞事件。
J Vasc Surg Venous Lymphat Disord. 2018 Jul;6(4):511-516. doi: 10.1016/j.jvsv.2018.01.015.
6
Causal somatic mutations in urine DNA from persons with the CLOVES subgroup of the PIK3CA-related overgrowth spectrum.CLOVES 亚群的 PIK3CA 相关过度生长谱患者尿液 DNA 中的因果体突变。
Clin Genet. 2018 May;93(5):1075-1080. doi: 10.1111/cge.13195. Epub 2018 Jan 25.
7
Complex Truncal Masses in the Setting of CLOVES Syndrome: Aesthetic and Functional Implications.CLOVES综合征背景下的复杂躯干肿物:美学与功能影响
Aesthetic Plast Surg. 2017 Jun;41(3):591-599. doi: 10.1007/s00266-016-0771-1. Epub 2016 Dec 28.
8
A Neonate with CLOVES Syndrome.一名患有CLOVES综合征的新生儿。
Case Rep Pediatr. 2014;2014:845074. doi: 10.1155/2014/845074. Epub 2014 Oct 22.
9
CLOVES syndrome.CLOVES综合征。
J Hand Surg Am. 2013 Dec;38(12):2508-12. doi: 10.1016/j.jhsa.2013.08.120. Epub 2013 Oct 23.
10
Somatic mosaic activating mutations in PIK3CA cause CLOVES syndrome.PIK3CA 体细胞镶嵌激活突变导致 CLOVES 综合征。
Am J Hum Genet. 2012 Jun 8;90(6):1108-15. doi: 10.1016/j.ajhg.2012.05.006. Epub 2012 May 31.