• 文献检索
  • 文档翻译
  • 深度研究
  • 学术资讯
  • Suppr Zotero 插件Zotero 插件
  • 邀请有礼
  • 套餐&价格
  • 历史记录
应用&插件
Suppr Zotero 插件Zotero 插件浏览器插件Mac 客户端Windows 客户端微信小程序
定价
高级版会员购买积分包购买API积分包
服务
文献检索文档翻译深度研究API 文档MCP 服务
关于我们
关于 Suppr公司介绍联系我们用户协议隐私条款
关注我们

Suppr 超能文献

核心技术专利:CN118964589B侵权必究
粤ICP备2023148730 号-1Suppr @ 2026

文献检索

告别复杂PubMed语法,用中文像聊天一样搜索,搜遍4000万医学文献。AI智能推荐,让科研检索更轻松。

立即免费搜索

文件翻译

保留排版,准确专业,支持PDF/Word/PPT等文件格式,支持 12+语言互译。

免费翻译文档

深度研究

AI帮你快速写综述,25分钟生成高质量综述,智能提取关键信息,辅助科研写作。

立即免费体验

原发性肾血管肉瘤酷似尿路上皮癌——1例报告及文献复习

Primary renal angiosarcoma mimicking urothelial carcinoma - A case report and literature reviews.

作者信息

Chang Che-Wei, Chien Chu-Chun, Juan Yung-Shun, Chueh Kuang-Shun

机构信息

Department of Urology, Kaohsiung Municipal Siaogang Hospital, Kaohsiung, Taiwan.

Department of Urology, College of Medicine, Kaohsiung Medical University, Kaohsiung, Taiwan.

出版信息

Urol Case Rep. 2020 Sep 9;34:101407. doi: 10.1016/j.eucr.2020.101407. eCollection 2021 Jan.

DOI:10.1016/j.eucr.2020.101407
PMID:33145170
原文链接:https://pmc.ncbi.nlm.nih.gov/articles/PMC7596193/
Abstract

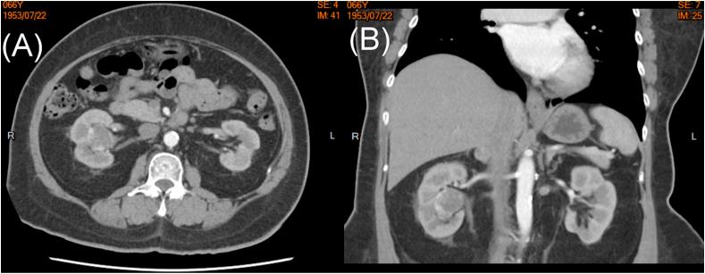
Angiosarcoma (AS) is a rare aggressive tumor originating from endothelial cells. We reported a 66-year-old female with primary renal angiosarcoma (PRA) who presented as urothelial carcinoma with hematuria and dysuria. Based on ureterorenoscopic tumor biopsy, the initial diagnosis suggested low-grade non-invasive urothelial carcinoma. However, the specimen retrieved from nephroureterectomy confirmed the diagnosis of primary renal angiosarcoma. Primary renal angiosarcoma could uncommonly present as urothelial carcinoma in renal pelvis. Surgical resection remains to be the most effective therapy but there is no consensus about adjuvant therapies. The overall prognosis of primary renal angiosarcoma is dismal.

摘要

血管肉瘤(AS)是一种起源于内皮细胞的罕见侵袭性肿瘤。我们报告了一名66岁的原发性肾血管肉瘤(PRA)女性患者,其表现为血尿和排尿困难的尿路上皮癌。根据输尿管肾镜肿瘤活检,初步诊断为低级别非侵袭性尿路上皮癌。然而,肾输尿管切除术获取的标本确诊为原发性肾血管肉瘤。原发性肾血管肉瘤很少表现为肾盂尿路上皮癌。手术切除仍然是最有效的治疗方法,但关于辅助治疗尚无共识。原发性肾血管肉瘤的总体预后不佳。

https://cdn.ncbi.nlm.nih.gov/pmc/blobs/d969/7596193/7b6aa5f8a032/gr3.jpg
https://cdn.ncbi.nlm.nih.gov/pmc/blobs/d969/7596193/1ee8cd1bfcd2/gr1.jpg
https://cdn.ncbi.nlm.nih.gov/pmc/blobs/d969/7596193/813dc7aa6eb2/gr2.jpg
https://cdn.ncbi.nlm.nih.gov/pmc/blobs/d969/7596193/7b6aa5f8a032/gr3.jpg
https://cdn.ncbi.nlm.nih.gov/pmc/blobs/d969/7596193/1ee8cd1bfcd2/gr1.jpg
https://cdn.ncbi.nlm.nih.gov/pmc/blobs/d969/7596193/813dc7aa6eb2/gr2.jpg
https://cdn.ncbi.nlm.nih.gov/pmc/blobs/d969/7596193/7b6aa5f8a032/gr3.jpg

相似文献

1
Primary renal angiosarcoma mimicking urothelial carcinoma - A case report and literature reviews.原发性肾血管肉瘤酷似尿路上皮癌——1例报告及文献复习
Urol Case Rep. 2020 Sep 9;34:101407. doi: 10.1016/j.eucr.2020.101407. eCollection 2021 Jan.
2
Carcinosarcoma of the upper urinary tract with an aggressive angiosarcoma component.具有侵袭性血管肉瘤成分的上尿路癌肉瘤
Cancer Biol Ther. 2016;17(3):233-6. doi: 10.1080/15384047.2016.1139237. Epub 2016 Feb 18.
3
Primary Renal Angiosarcoma Mimicking Renal Cell Carcinoma: A Case Report.原发性肾血管肉瘤酷似肾细胞癌:一例报告
Cureus. 2019 Jan 7;11(1):e3841. doi: 10.7759/cureus.3841.
4
Epithelioid Angiosarcoma of the Bladder: A Series of 9 Cases.膀胱上皮样血管肉瘤:9例病例系列
Am J Surg Pathol. 2015 Oct;39(10):1377-82. doi: 10.1097/PAS.0000000000000444.
5
[Port-Site Metastasis of an Urothelial Carcinoma after Laparoscopic Nephroureterectomy : A Case Report].[腹腔镜肾输尿管切除术后尿路上皮癌的切口转移:一例报告]
Hinyokika Kiyo. 2017 Oct;63(10):399-402. doi: 10.14989/ActaUrolJap_63_10_399.
6
Transitional cell carcinoma with extension of the renal vein and IVC tumor thrombus: report of three cases and literature review.伴有肾静脉及下腔静脉肿瘤血栓延伸的移行细胞癌:三例报告及文献复习
World J Surg Oncol. 2016 Dec 28;14(1):309. doi: 10.1186/s12957-016-1041-z.
7
Multicentric Primary Angiosarcoma of Bone Mimicking Metastasis on (18)F-FDG PET/CT in a Patient with a History of Sigmoid Colon Cancer: a Case Report.一名有乙状结肠癌病史的患者,骨多中心原发性血管肉瘤在(18)F-FDG PET/CT上表现类似转移:病例报告
Nucl Med Mol Imaging. 2015 Dec;49(4):321-4. doi: 10.1007/s13139-015-0353-1. Epub 2015 Jul 24.
8
[A Case of Primary Renal Angiosarcoma with a Rapidly Worsening Course].
Hinyokika Kiyo. 2021 Sep;67(9):413-417. doi: 10.14989/ActaUrolJap_67_9_413.
9
Sarcomatoid carcinoma of the renal pelvis: A case report.肾盂肉瘤样癌:一例报告。
Oncol Lett. 2014 Sep;8(3):1208-1210. doi: 10.3892/ol.2014.2240. Epub 2014 Jun 11.
10
Primary Colonic Angiosarcoma Seen in a Patient on Calcium Channel Blocker: A Case Report with Summary Analysis of 32 Other Cases from the Literature.钙通道阻滞剂治疗患者中出现的原发性结肠血管肉瘤:1例报告及文献中其他32例病例的汇总分析
Am J Case Rep. 2018 Mar 7;19:254-261. doi: 10.12659/ajcr.907287.

引用本文的文献

1
Primary vascular tumours of the kidney.肾脏原发性血管肿瘤
World J Clin Oncol. 2021 Dec 24;12(12):1157-1168. doi: 10.5306/wjco.v12.i12.1157.

本文引用的文献

1
Primary renal angiosarcoma: A case report and a short review of literature.原发性肾血管肉瘤:一例报告及文献综述
Indian J Pathol Microbiol. 2020 Feb;63(Supplement):S44-S46. doi: 10.4103/IJPM.IJPM_66_19.
2
Clinical and Pathologic Features of Primary Angiosarcoma of the Kidney.肾原发性血管肉瘤的临床及病理特征
Curr Urol Rep. 2018 Jan 31;19(2):4. doi: 10.1007/s11934-018-0755-6.
3
Clinicopathological features of primary angiosarcoma of the kidney: a review of 62 cases.肾原发性血管肉瘤的临床病理特征:62例病例回顾
Transl Androl Urol. 2015 Aug;4(4):464-73. doi: 10.3978/j.issn.2223-4683.2015.05.04.
4
Epithelioid angiosarcoma of the kidney: A case report and literature review.肾上皮样血管肉瘤:一例报告并文献复习
Oncol Lett. 2014 Sep;8(3):1155-1158. doi: 10.3892/ol.2014.2292. Epub 2014 Jun 26.
5
Clinical and pathological features of primary renal angiosarcoma.原发性肾血管肉瘤的临床和病理特征
Can Urol Assoc J. 2014 Mar;8(3-4):E223-6. doi: 10.5489/cuaj.1585.