Suppr超能文献

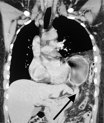
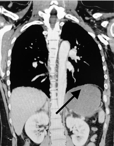
Woman with nausea and abdominal pain after a motor vehicle collision.

作者信息

Genco Benjamin J, Yoo Michael J, Belcher Christopher N

机构信息

Department of Emergency Medicine San Antonio Uniformed Services Health Education Consortium Fort Sam Houston Texas USA.

出版信息

J Am Coll Emerg Physicians Open. 2020 Jul 2;1(5):1121-1122. doi: 10.1002/emp2.12180. eCollection 2020 Oct.

Abstract
摘要
https://cdn.ncbi.nlm.nih.gov/pmc/blobs/3633/7593495/df30f42ed737/EMP2-1-1121-g001.jpg

文献检索

告别复杂PubMed语法,用中文像聊天一样搜索,搜遍4000万医学文献。AI智能推荐,让科研检索更轻松。

立即免费搜索

文件翻译

保留排版,准确专业,支持PDF/Word/PPT等文件格式,支持 12+语言互译。

免费翻译文档

深度研究

AI帮你快速写综述,25分钟生成高质量综述,智能提取关键信息,辅助科研写作。

立即免费体验