Suppr超能文献

儿童下颌骨骨母细胞瘤:一例报告

Osteoblastoma of Mandible in Child: A Case Report.

作者信息

Gonuguntla Sudhir, Nama Ravikiran, Vanajakshi C N, Mandadi Sharan Reddy, Madireddy Jhansi Reddy

机构信息

Department of Oral Pathology, Malla Reddy Institute of Dental Sciences, Hyderabad, Telangana, India.

Department of Pediatric and Preventive Dentistry, Osmania Dental College, Hyderabad, Telangana, India.

出版信息

J Pharm Bioallied Sci. 2020 Aug;12(Suppl 1):S640-S643. doi: 10.4103/jpbs.JPBS_100_20. Epub 2020 Aug 28.

Abstract

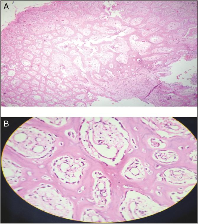
Osteoblastoma is considered as a bone tumor, which is benign and arises from non-odontogenic epithelium. This condition is quite rare in children and very few cases of osteoblastoma are reported. The case report describes osteoblastoma affecting mandible in an 8-year-old boy. It was noticed that the lesion began to show gradual enlargement and was painful. An excisional biopsy was carried out. Histopathological examination revealed eosinophilic bony trabeculae, lined by osteoblasts, with osteocytes within lacunae. Intertwining connective tissue showed delicate collagen fibers, numerous vascular channels, and extravasated RBCs. It was finally diagnosed as osteoblastoma based on the features of clinical, histological, and radiographic appearance.

摘要

骨母细胞瘤被认为是一种骨肿瘤,它是良性的,起源于非牙源性上皮。这种情况在儿童中相当罕见,报道的骨母细胞瘤病例很少。该病例报告描述了一名8岁男孩下颌骨发生的骨母细胞瘤。注意到病变开始逐渐增大且疼痛。进行了切除活检。组织病理学检查显示嗜酸性骨小梁,有成骨细胞排列,骨陷窝内有骨细胞。交织的结缔组织显示出纤细的胶原纤维、众多血管通道和外渗的红细胞。根据临床、组织学和影像学表现的特征,最终诊断为骨母细胞瘤。

https://cdn.ncbi.nlm.nih.gov/pmc/blobs/610d/7595502/e0e3bd4ef398/JPBS-12-640-g001.jpg

文献AI研究员

20分钟写一篇综述,助力文献阅读效率提升50倍。

立即体验

用中文搜PubMed

大模型驱动的PubMed中文搜索引擎

马上搜索

文档翻译

学术文献翻译模型,支持多种主流文档格式。

立即体验