• 文献检索
  • 文档翻译
  • 深度研究
  • 学术资讯
  • Suppr Zotero 插件Zotero 插件
  • 邀请有礼
  • 套餐&价格
  • 历史记录
应用&插件
Suppr Zotero 插件Zotero 插件浏览器插件Mac 客户端Windows 客户端微信小程序
定价
高级版会员购买积分包购买API积分包
服务
文献检索文档翻译深度研究API 文档MCP 服务
关于我们
关于 Suppr公司介绍联系我们用户协议隐私条款
关注我们

Suppr 超能文献

核心技术专利:CN118964589B侵权必究
粤ICP备2023148730 号-1Suppr @ 2026

文献检索

告别复杂PubMed语法,用中文像聊天一样搜索,搜遍4000万医学文献。AI智能推荐,让科研检索更轻松。

立即免费搜索

文件翻译

保留排版,准确专业,支持PDF/Word/PPT等文件格式,支持 12+语言互译。

免费翻译文档

深度研究

AI帮你快速写综述,25分钟生成高质量综述,智能提取关键信息,辅助科研写作。

立即免费体验

伪装的埃布斯坦畸形:循线索可做出诊断。

Ebstein's Anomaly in Disguise: Follow the Cues and the Diagnosis Can Be Made.

作者信息

Sharma Tanya, Habash Fuad, Mounsey John, Baker Chris, Lopez Candales Angel

机构信息

Internal Medicine, University of Arkansas for Medical Sciences, Little Rock, USA.

Cardiology, University of Arkansas for Medical Sciences, Little Rock, USA.

出版信息

Cureus. 2020 Oct 2;12(10):e10773. doi: 10.7759/cureus.10773.

DOI:10.7759/cureus.10773
PMID:33154844
原文链接:https://pmc.ncbi.nlm.nih.gov/articles/PMC7606194/
Abstract

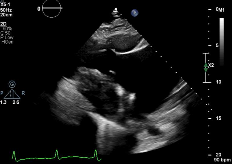
Ebstein's anomaly is a congenital defect, which is rarely present in adults with arrhythmias and right heart failure with tricuspid regurgitation. The diagnosis is made by non-invasive cardiac imaging with transthoracic echocardiography or cardiac magnetic resonance imaging. However, mild and atypical anatomical variants require a more specific investigation to make the diagnosis and differentiate it from other pathologies which have a similar presentation, including Arrhythmogenic Right Ventricular Cardiomyopathy (ARVC). We present the case of a 66-year-old gentleman with a history of recurrent admissions due to decompensated heart failure exacerbations, now presenting with gradually worsening dyspnea. An echocardiogram was obtained, showing a thin-walled, dilated, and dysfunctional right ventricle (RV) with severe tricuspid regurgitation due to poor coaptation of the tricuspid leaflets. Although a very distinctive epsilon wave was seen on his electrocardiogram, highly suggestive of arrhythmogenic RV cardiomyopathy (ARVC), which would be enough to explain his presentation and initial echocardiogram; an off-axis plane of the tricuspid valve without any RV aneurysm or dilation of the RV outflow tract was incongruent with this diagnosis. Additional echocardiographic images were determinant to demonstrate both apical displacement and tethering of the septal tricuspid leaflet with an abnormally long anterior tricuspid leaflet, suggestive of Ebstein's anomaly. This diagnosis was confirmed with cardiac magnetic resonance imaging. Mild variants of Ebstein's anomaly, especially in the presence of confounding findings require focused imaging to ascertain the diagnosis. We review these non-traditional findings in trying to differentiate Ebstein's from ARVC.

摘要

埃布斯坦畸形是一种先天性缺陷,在患有心律失常、右心衰竭伴三尖瓣反流的成年人中很少见。通过经胸超声心动图或心脏磁共振成像等非侵入性心脏成像进行诊断。然而,轻度和非典型的解剖变异需要更具体的检查来进行诊断,并将其与其他表现相似的病理情况区分开来,包括致心律失常性右室心肌病(ARVC)。我们报告一例66岁男性患者,有因失代偿性心力衰竭加重而反复住院的病史,现出现逐渐加重的呼吸困难。进行了超声心动图检查,显示右心室壁薄、扩张且功能障碍,由于三尖瓣叶对合不良导致严重三尖瓣反流。尽管在他的心电图上看到了一个非常独特的ε波,高度提示致心律失常性右室心肌病(ARVC),这足以解释他的表现和最初的超声心动图结果;但三尖瓣的离轴平面且无任何右室动脉瘤或右室流出道扩张与该诊断不一致。额外的超声心动图图像对于显示间隔三尖瓣叶的尖部移位和附着以及异常长的前三尖瓣叶具有决定性作用,提示埃布斯坦畸形。心脏磁共振成像证实了这一诊断。埃布斯坦畸形的轻度变异,尤其是在存在混淆性发现的情况下,需要重点成像来确定诊断。我们回顾这些非传统发现,试图将埃布斯坦畸形与ARVC区分开来。

https://cdn.ncbi.nlm.nih.gov/pmc/blobs/640a/7606194/7e79ab01578d/cureus-0012-00000010773-i04.jpg
https://cdn.ncbi.nlm.nih.gov/pmc/blobs/640a/7606194/3c2361695852/cureus-0012-00000010773-i01.jpg
https://cdn.ncbi.nlm.nih.gov/pmc/blobs/640a/7606194/96bc0b4e3056/cureus-0012-00000010773-i02.jpg
https://cdn.ncbi.nlm.nih.gov/pmc/blobs/640a/7606194/ff2c70c9c39a/cureus-0012-00000010773-i03.jpg
https://cdn.ncbi.nlm.nih.gov/pmc/blobs/640a/7606194/7e79ab01578d/cureus-0012-00000010773-i04.jpg
https://cdn.ncbi.nlm.nih.gov/pmc/blobs/640a/7606194/3c2361695852/cureus-0012-00000010773-i01.jpg
https://cdn.ncbi.nlm.nih.gov/pmc/blobs/640a/7606194/96bc0b4e3056/cureus-0012-00000010773-i02.jpg
https://cdn.ncbi.nlm.nih.gov/pmc/blobs/640a/7606194/ff2c70c9c39a/cureus-0012-00000010773-i03.jpg
https://cdn.ncbi.nlm.nih.gov/pmc/blobs/640a/7606194/7e79ab01578d/cureus-0012-00000010773-i04.jpg

相似文献

1
Ebstein's Anomaly in Disguise: Follow the Cues and the Diagnosis Can Be Made.伪装的埃布斯坦畸形:循线索可做出诊断。
Cureus. 2020 Oct 2;12(10):e10773. doi: 10.7759/cureus.10773.
2
Mimics of Ebstein's anomaly.埃布斯坦畸形的模仿者。
Am Heart J. 1997 Sep;134(3):508-13. doi: 10.1016/s0002-8703(97)70088-7.
3
A Rare Manifestation of Asymptomatic Ebstein's Anomaly with Tricuspid Valve Endocarditis.无症状性埃布斯坦畸形合并三尖瓣心内膜炎的罕见表现。
Case Rep Cardiol. 2017;2017:7630915. doi: 10.1155/2017/7630915. Epub 2017 Oct 25.
4
Current Management of Ebstein's Anomaly in the Adult.成人埃布斯坦畸形的当前管理
Curr Treat Options Cardiovasc Med. 2016 Sep;18(9):56. doi: 10.1007/s11936-016-0478-2.
5
Echocardiographic study of Ebstein's anomaly.埃布斯坦畸形的超声心动图研究。
Changgeng Yi Xue Za Zhi. 1994 Dec;17(4):333-8.
6
Narrative review of Ebstein's anomaly beyond childhood: Imaging, surgery, and future perspectives.儿童期后埃布斯坦畸形的叙述性综述:影像学、手术及未来展望
Cardiovasc Diagn Ther. 2021 Dec;11(6):1310-1323. doi: 10.21037/cdt-20-771.
7
The long-term impact of various techniques for tricuspid repair in Ebstein's anomaly.三尖瓣修复术在Ebstein 畸形中的各种技术的长期影响。
J Thorac Cardiovasc Surg. 2015 Nov;150(5):1212-9. doi: 10.1016/j.jtcvs.2015.08.036. Epub 2015 Aug 14.
8
The functional right ventricle and tricuspid regurgitation in Ebstein's anomaly.Ebstein 畸形中的功能性右心室和三尖瓣反流。
Int J Cardiol. 2013 Jul 15;167(1):258-61. doi: 10.1016/j.ijcard.2011.12.081. Epub 2012 Jan 24.
9
Neurological, Extracardiac, and Cardiac Manifestations of Ebstein's Anomaly Along With its Genetics, Diagnostic Techniques, Treatment Updates, and the Future Ahead.埃布斯坦畸形的神经、心外及心脏表现及其遗传学、诊断技术、治疗进展与未来展望
Cureus. 2023 Feb 17;15(2):e35115. doi: 10.7759/cureus.35115. eCollection 2023 Feb.
10
Displacement of the anterior leaflet of the tricuspid valve: Rare variant of Ebstein's anomaly.三尖瓣前叶移位:埃布斯坦畸形的罕见变异型。
Pediatr Int. 2016 Aug;58(8):775-7. doi: 10.1111/ped.12962. Epub 2016 Jun 21.

引用本文的文献

1
From ECG to Imaging: Challenges in the Diagnosis of Adult Congenital Heart Diseases.从心电图到影像学:成人先天性心脏病诊断中的挑战
J Clin Med. 2024 Aug 18;13(16):4865. doi: 10.3390/jcm13164865.
2
The Role of Echocardiography in the Diagnosis of Cardiac Involvement in a Rare Systemic Condition: The Carcinoid Heart Disease: A Case Report and Review of Literature.超声心动图在一种罕见全身性疾病(类癌性心脏病)心脏受累诊断中的作用:一例病例报告及文献综述
Diagnostics (Basel). 2022 Nov 24;12(12):2929. doi: 10.3390/diagnostics12122929.

本文引用的文献

1
Carcinoid Heart Disease: A Guide for Clinicians.类癌心脏病:临床医生指南。
Cardiol Clin. 2019 Nov;37(4):497-503. doi: 10.1016/j.ccl.2019.07.014.
2
Ebstein's Anomaly.埃布斯坦畸形
Methodist Debakey Cardiovasc J. 2019 Apr-Jun;15(2):138-144. doi: 10.14797/mdcj-15-2-138.
3
Secondary tricuspid regurgitation: Do we understand what we would like to treat?继发性三尖瓣反流:我们是否了解我们想要治疗的内容?
Arch Cardiovasc Dis. 2019 Oct;112(10):642-651. doi: 10.1016/j.acvd.2019.04.010. Epub 2019 Jul 24.
4
Cardiovascular magnetic resonance evidence of myocardial fibrosis and its clinical significance in adolescent and adult patients with Ebstein's anomaly.心血管磁共振证据表明心肌纤维化及其在青少年和成年埃布斯坦畸形患者中的临床意义。
J Cardiovasc Magn Reson. 2018 Sep 27;20(1):69. doi: 10.1186/s12968-018-0488-1.
5
Epsilon waves: Milestones in the discovery and progress.ε波:发现与进展中的里程碑
Ann Noninvasive Electrocardiol. 2018 Nov;23(6):e12571. doi: 10.1111/anec.12571. Epub 2018 Jul 5.
6
Clinical aspects of myocardial fibrosis in adults with Ebstein's anomaly.埃布斯坦畸形成年患者心肌纤维化的临床特征
Heart Vessels. 2018 Sep;33(9):1076-1085. doi: 10.1007/s00380-018-1141-5. Epub 2018 Feb 21.
7
Cardiac imaging in Ebstein anomaly.埃布斯坦畸形的心脏成像
Trends Cardiovasc Med. 2018 Aug;28(6):403-409. doi: 10.1016/j.tcm.2018.01.002. Epub 2018 Jan 12.
8
Genetic Variants in Isolated Ebstein Anomaly Implicated in Myocardial Development Pathways.孤立性埃布斯坦畸形中的基因变异与心肌发育途径有关。
PLoS One. 2016 Oct 27;11(10):e0165174. doi: 10.1371/journal.pone.0165174. eCollection 2016.
9
Epsilon Waves Aid in the Prognosis and Risk Stratification of Patients With ARVC/D.ε波有助于致心律失常性右室心肌病/发育异常(ARVC/D)患者的预后评估和危险分层。
J Cardiovasc Electrophysiol. 2015 Nov;26(11):1211-1212. doi: 10.1111/jce.12775. Epub 2015 Sep 16.
10
Recurrence of congenital heart disease in cases with familial risk screened prenatally by echocardiography.经超声心动图产前筛查有家族风险的先天性心脏病病例的复发情况。
J Pregnancy. 2011;2011:368067. doi: 10.1155/2011/368067. Epub 2011 Oct 1.