• 文献检索
  • 文档翻译
  • 深度研究
  • 学术资讯
  • Suppr Zotero 插件Zotero 插件
  • 邀请有礼
  • 套餐&价格
  • 历史记录
应用&插件
Suppr Zotero 插件Zotero 插件浏览器插件Mac 客户端Windows 客户端微信小程序
定价
高级版会员购买积分包购买API积分包
服务
文献检索文档翻译深度研究API 文档MCP 服务
关于我们
关于 Suppr公司介绍联系我们用户协议隐私条款
关注我们

Suppr 超能文献

核心技术专利:CN118964589B侵权必究
粤ICP备2023148730 号-1Suppr @ 2026

文献检索

告别复杂PubMed语法,用中文像聊天一样搜索,搜遍4000万医学文献。AI智能推荐,让科研检索更轻松。

立即免费搜索

文件翻译

保留排版,准确专业,支持PDF/Word/PPT等文件格式,支持 12+语言互译。

免费翻译文档

深度研究

AI帮你快速写综述,25分钟生成高质量综述,智能提取关键信息,辅助科研写作。

立即免费体验

环状 CBFB 通过上调 p66Shc 来破坏 APAP 诱导的肝损伤中的线粒体动态。

circ-CBFB upregulates p66Shc to perturb mitochondrial dynamics in APAP-induced liver injury.

机构信息

Department of Pharmacology, Dalian Medical University, 116044, Dalian, China.

Department of General Surgery, The Second Affiliated Hospital of Dalian Medical University, 116023, Dalian, China.

出版信息

Cell Death Dis. 2020 Nov 6;11(11):953. doi: 10.1038/s41419-020-03160-y.

DOI:10.1038/s41419-020-03160-y
PMID:33159035
原文链接:https://pmc.ncbi.nlm.nih.gov/articles/PMC7648761/
Abstract

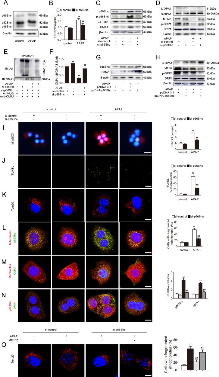
p66Shc, a master regulator of mitochondrial reactive oxygen species (mtROS), is a crucial mediator of hepatocyte oxidative stress. However, its functional contribution to acetaminophen (APAP)-induced liver injury and the mechanism by which it is modulated remain unknown. Here, we aimed to assess the effect of p66Shc on APAP-induced liver injury and to evaluate if circular RNA (circRNA) functions as a competitive endogenous RNA (ceRNA) to mediate p66Shc in APAP-induced liver injury. p66Shc-, miR-185-5p-, and circ-CBFB-silenced mice were injected with APAP. AML12 cells were transfected with p66Shc, miR-185-5p, and circ-CBFB silencing or overexpression plasmids or siRNAs prior to APAP stimulation. p66Shc was upregulated in liver tissues in response to APAP, and p66Shc silencing in vivo protected mice from APAP-induced mitochondrial dynamics perturbation and liver injury. p66Shc knockdown in vitro attenuated mitochondrial dynamics and APAP-induced hepatocyte injury. Mechanically, p66Shc perturbs mitochondrial dynamics partially by inhibiting OMA1 ubiquitination. miR-185-5p, which directly suppressed p66Shc translation, was identified by microarray and bioinformatics analyses, and its overexpression attenuated mitochondrial dynamics and hepatocyte injury in vitro. Furthermore, luciferase, pull-down and RNA immunoprecipitation assays demonstrated that circ-CBFB acts as a miRNA sponge of miR-185-5p to mediate p66Shc in APAP-induced liver injury. circ-CBFB knockdown also alleviated APAP-induced mitochondrial dynamics perturbation and hepatocyte injury. More importantly, we found that the protective effects of circ-CBFB knockdown on p66Shc, mitochondrial dynamics and liver injury were abolished by miR-185-5p inhibition both in vivo and in vitro. In conclusion, p66Shc is a key regulator of APAP-induced liver injury that acts by triggering mitochondrial dynamics perturbation. circ-CBFB functions as a ceRNA to regulate p66Shc during APAP-induced liver injury, which may provide a potential therapeutic target.

摘要

p66Shc 是线粒体活性氧(mtROS)的主要调节因子,是肝细胞氧化应激的关键介质。然而,其在对乙酰氨基酚(APAP)诱导的肝损伤中的功能贡献及其调节机制尚不清楚。在这里,我们旨在评估 p66Shc 对 APAP 诱导的肝损伤的影响,并评估环状 RNA(circRNA)是否作为一种竞争性内源性 RNA(ceRNA)来调节 p66Shc 在 APAP 诱导的肝损伤中的作用。p66Shc-、miR-185-5p-和 circ-CBFB 沉默的小鼠注射了 APAP。在 APAP 刺激前,AML12 细胞转染了 p66Shc、miR-185-5p 和 circ-CBFB 沉默或过表达质粒或 siRNA。APAP 反应中肝组织中 p66Shc 上调,体内 p66Shc 沉默可保护小鼠免受 APAP 诱导的线粒体动力学紊乱和肝损伤。体外 p66Shc 敲低可减弱线粒体动力学和 APAP 诱导的肝细胞损伤。机制上,p66Shc 通过抑制 OMA1 泛素化来破坏线粒体动力学。通过微阵列和生物信息学分析鉴定出 miR-185-5p,它可以直接抑制 p66Shc 的翻译,其过表达可减弱体外的线粒体动力学和肝细胞损伤。此外,荧光素酶、下拉和 RNA 免疫沉淀测定表明,circ-CBFB 作为 miR-185-5p 的 miRNA 海绵,在 APAP 诱导的肝损伤中调节 p66Shc。circ-CBFB 敲低也减轻了 APAP 诱导的线粒体动力学紊乱和肝细胞损伤。更重要的是,我们发现,circ-CBFB 敲低对 p66Shc、线粒体动力学和肝损伤的保护作用在体内和体外均被 miR-185-5p 抑制所消除。总之,p66Shc 是 APAP 诱导的肝损伤的关键调节因子,通过触发线粒体动力学紊乱起作用。circ-CBFB 作为 ceRNA 在 APAP 诱导的肝损伤中调节 p66Shc,这可能为提供潜在的治疗靶点。

https://cdn.ncbi.nlm.nih.gov/pmc/blobs/a03d/7648761/3239f263d950/41419_2020_3160_Fig8_HTML.jpg
https://cdn.ncbi.nlm.nih.gov/pmc/blobs/a03d/7648761/b4e2e0eb2003/41419_2020_3160_Fig1_HTML.jpg
https://cdn.ncbi.nlm.nih.gov/pmc/blobs/a03d/7648761/d0273447014d/41419_2020_3160_Fig2_HTML.jpg
https://cdn.ncbi.nlm.nih.gov/pmc/blobs/a03d/7648761/de9c6a663644/41419_2020_3160_Fig3_HTML.jpg
https://cdn.ncbi.nlm.nih.gov/pmc/blobs/a03d/7648761/276687c3a34c/41419_2020_3160_Fig4_HTML.jpg
https://cdn.ncbi.nlm.nih.gov/pmc/blobs/a03d/7648761/08be5a57bc94/41419_2020_3160_Fig5_HTML.jpg
https://cdn.ncbi.nlm.nih.gov/pmc/blobs/a03d/7648761/9d71a243270d/41419_2020_3160_Fig6_HTML.jpg
https://cdn.ncbi.nlm.nih.gov/pmc/blobs/a03d/7648761/9ec3f94bf09c/41419_2020_3160_Fig7_HTML.jpg
https://cdn.ncbi.nlm.nih.gov/pmc/blobs/a03d/7648761/3239f263d950/41419_2020_3160_Fig8_HTML.jpg
https://cdn.ncbi.nlm.nih.gov/pmc/blobs/a03d/7648761/b4e2e0eb2003/41419_2020_3160_Fig1_HTML.jpg
https://cdn.ncbi.nlm.nih.gov/pmc/blobs/a03d/7648761/d0273447014d/41419_2020_3160_Fig2_HTML.jpg
https://cdn.ncbi.nlm.nih.gov/pmc/blobs/a03d/7648761/de9c6a663644/41419_2020_3160_Fig3_HTML.jpg
https://cdn.ncbi.nlm.nih.gov/pmc/blobs/a03d/7648761/276687c3a34c/41419_2020_3160_Fig4_HTML.jpg
https://cdn.ncbi.nlm.nih.gov/pmc/blobs/a03d/7648761/08be5a57bc94/41419_2020_3160_Fig5_HTML.jpg
https://cdn.ncbi.nlm.nih.gov/pmc/blobs/a03d/7648761/9d71a243270d/41419_2020_3160_Fig6_HTML.jpg
https://cdn.ncbi.nlm.nih.gov/pmc/blobs/a03d/7648761/9ec3f94bf09c/41419_2020_3160_Fig7_HTML.jpg
https://cdn.ncbi.nlm.nih.gov/pmc/blobs/a03d/7648761/3239f263d950/41419_2020_3160_Fig8_HTML.jpg

相似文献

1
circ-CBFB upregulates p66Shc to perturb mitochondrial dynamics in APAP-induced liver injury.环状 CBFB 通过上调 p66Shc 来破坏 APAP 诱导的肝损伤中的线粒体动态。
Cell Death Dis. 2020 Nov 6;11(11):953. doi: 10.1038/s41419-020-03160-y.
2
circ-PRKCB acts as a ceRNA to regulate p66Shc-mediated oxidative stress in intestinal ischemia/reperfusion.环状 PRKCB 通过充当 ceRNA 调节 p66Shc 介导的肠缺血/再灌注中的氧化应激。
Theranostics. 2020 Aug 29;10(23):10680-10696. doi: 10.7150/thno.44250. eCollection 2020.
3
MiR-122-5p knockdown protects against APAP-mediated liver injury through up-regulating NDRG3.微小RNA-122-5p敲低通过上调NDRG3来预防对乙酰氨基酚介导的肝损伤。
Mol Cell Biochem. 2021 Feb;476(2):1257-1267. doi: 10.1007/s11010-020-03988-0. Epub 2020 Nov 28.
4
M1 muscarinic receptors modify oxidative stress response to acetaminophen-induced acute liver injury.M1毒蕈碱受体调节对乙酰氨基酚诱导的急性肝损伤的氧化应激反应。
Free Radic Biol Med. 2015 Jan;78:66-81. doi: 10.1016/j.freeradbiomed.2014.09.032. Epub 2014 Oct 31.
5
LncRNA KCNQ1OT1 ameliorates the liver injury induced by acetaminophen through the regulation of miR-122-5p/CES2 axis.长链非编码 RNA KCNQ1OT1 通过调控 miR-122-5p/CES2 轴改善对乙酰氨基酚诱导的肝损伤。
Mol Cell Biochem. 2020 Dec;475(1-2):107-118. doi: 10.1007/s11010-020-03863-y. Epub 2020 Aug 10.
6
p66Shc Contributes to Liver Fibrosis through the Regulation of Mitochondrial Reactive Oxygen Species.p66Shc 通过调节线粒体活性氧参与肝纤维化。
Theranostics. 2019 Feb 20;9(5):1510-1522. doi: 10.7150/thno.29620. eCollection 2019.
7
Circular RNA_0062582 promotes osteogenic differentiation of human bone marrow mesenchymal stem cells via regulation of microRNA-145/CBFB axis.环状 RNA_0062582 通过调控 microRNA-145/CBFB 轴促进人骨髓间充质干细胞成骨分化。
Bioengineered. 2021 Dec;12(1):1952-1963. doi: 10.1080/21655979.2021.1921553.
8
CHOP is a critical regulator of acetaminophen-induced hepatotoxicity.CHOP 是对乙酰氨基酚诱导的肝毒性的关键调节因子。
J Hepatol. 2013 Sep;59(3):495-503. doi: 10.1016/j.jhep.2013.04.024. Epub 2013 May 9.
9
Neutrophil extracellular traps promote acetaminophen-induced acute liver injury in mice via AIM2.中性粒细胞胞外诱捕网通过 AIM2 促进小鼠对乙酰氨基酚诱导的急性肝损伤。
Acta Pharmacol Sin. 2024 Aug;45(8):1660-1672. doi: 10.1038/s41401-024-01239-2. Epub 2024 Apr 8.
10
Circ-CBFB exacerbates hypoxia/reoxygenation-triggered cardiomyocyte injury via regulating miR-495-3p in a VDAC1-dependent manner.环状 CBFB 通过调控 VDAC1 依赖性 miR-495-3p 加剧低氧/复氧诱导的心肌细胞损伤。
J Biochem Mol Toxicol. 2022 Nov;36(11):e23189. doi: 10.1002/jbt.23189. Epub 2022 Aug 3.

引用本文的文献

1
Pathophysiological Mechanisms of Diabetes-Induced Macrovascular and Microvascular Complications: The Role of Oxidative Stress.糖尿病诱导的大血管和微血管并发症的病理生理机制:氧化应激的作用
Med Sci (Basel). 2025 Jul 2;13(3):87. doi: 10.3390/medsci13030087.
2
The Role of p66Shc in Cancer: Molecular Mechanisms and Therapeutic Implications.p66Shc在癌症中的作用:分子机制与治疗意义
J Cell Mol Med. 2025 Jul;29(14):e70737. doi: 10.1111/jcmm.70737.
3
Ancestral retrovirus envelope protein ERVWE1 upregulates circ_0001810, a potential biomarker for schizophrenia, and induces neuronal mitochondrial dysfunction via activating AK2.

本文引用的文献

1
Circular RNA circTRIM33-12 acts as the sponge of MicroRNA-191 to suppress hepatocellular carcinoma progression.环状 RNA circTRIM33-12 作为 MicroRNA-191 的海绵体抑制肝癌进展。
Mol Cancer. 2019 Jun 1;18(1):105. doi: 10.1186/s12943-019-1031-1.
2
p66Shc Contributes to Liver Fibrosis through the Regulation of Mitochondrial Reactive Oxygen Species.p66Shc 通过调节线粒体活性氧参与肝纤维化。
Theranostics. 2019 Feb 20;9(5):1510-1522. doi: 10.7150/thno.29620. eCollection 2019.
3
p53 Up-regulated Modulator of Apoptosis Induction Mediates Acetaminophen-Induced Necrosis and Liver Injury in Mice.
祖传逆转录病毒包膜蛋白ERVWE1上调circ_0001810(一种精神分裂症的潜在生物标志物),并通过激活AK2诱导神经元线粒体功能障碍。
Cell Biosci. 2024 Nov 14;14(1):138. doi: 10.1186/s13578-024-01318-1.
4
Inhibition of mitochondrial OMA1 ameliorates osteosarcoma tumorigenesis.抑制线粒体 OMA1 可改善骨肉瘤的肿瘤发生。
Cell Death Dis. 2024 Nov 1;15(11):786. doi: 10.1038/s41419-024-07127-1.
5
The Roles of CircRNAs in Mitochondria.环状RNA在线粒体中的作用
J Cancer. 2024 Mar 17;15(9):2759-2769. doi: 10.7150/jca.92111. eCollection 2024.
6
Ethanol Extract of Ameliorates Acetaminophen-Induced Liver Injury via Upregulating Sirt1 and Subsequent Potentiation of LKB1/AMPK/Nrf2 Cascade in Hepatocytes.乙醇提取物通过上调 Sirt1 并随后增强肝细胞中 LKB1/AMPK/Nrf2 级联反应来改善对乙酰氨基酚诱导的肝损伤。
Molecules. 2023 Oct 28;28(21):7307. doi: 10.3390/molecules28217307.
7
Salvianolic Acid A Protects against Acetaminophen-Induced Hepatotoxicity via Regulation of the miR-485-3p/SIRT1 Pathway.丹酚酸A通过调控miR-485-3p/SIRT1通路减轻对乙酰氨基酚诱导的肝毒性。
Antioxidants (Basel). 2023 Apr 3;12(4):870. doi: 10.3390/antiox12040870.
8
Non-coding RNAs regulating mitochondrial function in cardiovascular diseases.非编码 RNA 调控心血管疾病中线粒体功能。
J Mol Med (Berl). 2023 May;101(5):501-526. doi: 10.1007/s00109-023-02305-8. Epub 2023 Apr 4.
9
Non-Coding RNAs Regulating Mitochondrial Functions and the Oxidative Stress Response as Putative Targets against Age-Related Macular Degeneration (AMD).非编码 RNA 调控线粒体功能和氧化应激反应作为对抗年龄相关性黄斑变性 (AMD) 的潜在靶点。
Int J Mol Sci. 2023 Jan 30;24(3):2636. doi: 10.3390/ijms24032636.
10
Grape seed proanthocyanidin extract targets p66Shc to regulate mitochondrial biogenesis and dynamics in diabetic kidney disease.葡萄籽原花青素提取物靶向p66Shc以调节糖尿病肾病中的线粒体生物合成和动力学。
Front Pharmacol. 2023 Jan 6;13:1035755. doi: 10.3389/fphar.2022.1035755. eCollection 2022.
p53 上调凋亡诱导调节剂介导乙酰氨基酚诱导的小鼠坏死和肝损伤。
Hepatology. 2019 May;69(5):2164-2179. doi: 10.1002/hep.30422. Epub 2019 Mar 11.
4
Adeno-Associated Virus Production, Purification, and Titering.腺相关病毒的生产、纯化及滴度测定。
Curr Protoc Mouse Biol. 2018 Dec;8(4):e56. doi: 10.1002/cpmo.56. Epub 2018 Nov 29.
5
Circular RNA BCRC-3 suppresses bladder cancer proliferation through miR-182-5p/p27 axis.环状 RNA BCRC-3 通过 miR-182-5p/p27 轴抑制膀胱癌增殖。
Mol Cancer. 2018 Oct 3;17(1):144. doi: 10.1186/s12943-018-0892-z.
6
Evolving Concepts of Mitochondrial Dynamics.线粒体动态的演变概念。
Annu Rev Physiol. 2019 Feb 10;81:1-17. doi: 10.1146/annurev-physiol-020518-114358. Epub 2018 Sep 26.
7
Selective killing of human T-ALL cells: an integrated approach targeting redox homeostasis and the OMA1/OPA1 axis.选择性杀伤人类 T-ALL 细胞:一种靶向氧化还原平衡和 OMA1/OPA1 轴的综合方法。
Cell Death Dis. 2018 Aug 1;9(8):822. doi: 10.1038/s41419-018-0870-9.
8
Control of SUMO and Ubiquitin by ROS: Signaling and disease implications.活性氧(ROS)对 SUMO 和泛素的调控:信号转导与疾病关联。
Mol Aspects Med. 2018 Oct;63:3-17. doi: 10.1016/j.mam.2018.07.002. Epub 2018 Aug 4.
9
The Biogenesis, Functions, and Challenges of Circular RNAs.环状 RNA 的生成、功能和挑战。
Mol Cell. 2018 Aug 2;71(3):428-442. doi: 10.1016/j.molcel.2018.06.034. Epub 2018 Jul 26.
10
Mitochondrial dynamics in adaptive and maladaptive cellular stress responses.细胞应激反应中的适应性和失调性线粒体动态变化。
Nat Cell Biol. 2018 Jul;20(7):755-765. doi: 10.1038/s41556-018-0133-0. Epub 2018 Jun 27.