Suppr超能文献

在计算机断层扫描上鉴别胰腺良性囊肿与恶性囊肿

Differentiating benign from malignant pancreatic cysts on computed tomography.

作者信息

Yadav Rajesh Kumar, Jiang Xinhua, Chen Jianyu

机构信息

Second Affiliated Hospital, Department of Radiology, Sun Yat-sen University, Guangzhou 510000, China.

Department of Radiology, Sun Yat-sen University Cancer Center, Guangzhou 510060, China.

出版信息

Eur J Radiol Open. 2020 Nov 1;7:100278. doi: 10.1016/j.ejro.2020.100278. eCollection 2020.

Abstract

PURPOSE

It is important to identify features on computed tomography (CT) that can distinguish between benign and premalignant or malignant pancreatic cysts to avoid unnecessary surgeries. This study investigated the preoperative diagnostic evaluation of cystic pancreatic lesions to determine how advanced imaging and clinical factors should guide management.

METHODS

In total, 53 patients with 27 benign and 26 premalignant or malignant cysts were enrolled. CT features of the cysts were compared using univariate and multivariate analyses.

RESULTS

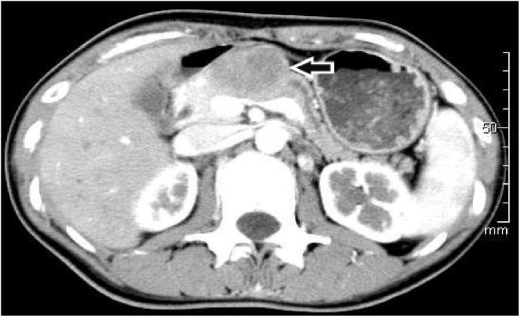
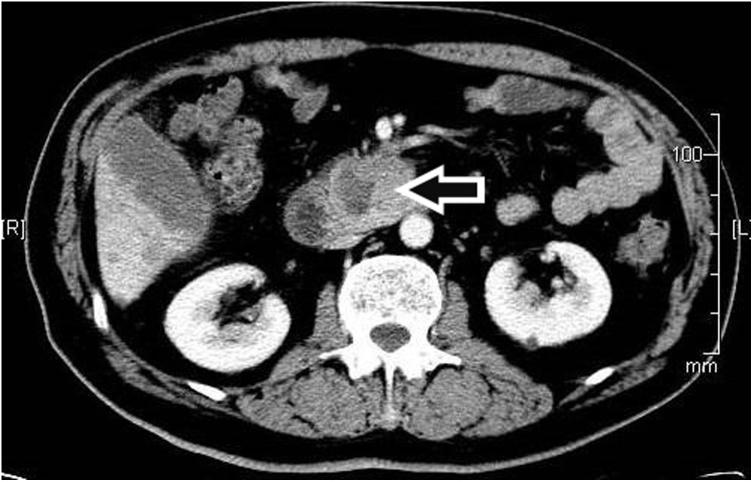
On univariate analysis, a solid component (p < 0.01), septation (p < 0.01), location (p < 0.01), border (p < 0.01), wall enhancement (p = 0.01), lesion margins (p < 0.01), pancreatic atrophy (p = 0.04), and a cystic wall (p < 0.01) were all significantly different between benign and premalignant or malignant cysts. On multivariate analysis, only a solid component (p < 0.01) and septation (p < 0.01) were significant.

CONCLUSION

A thin cystic wall, uniform homogeneity, a clear border, the presence of septation, pancreatic atrophy, and the absence of both wall enhancements and solid components were more frequently seen in benign cysts. A thick wall, lack of homogeneity, the presence of wall enhancements and solid components, absence of septation, only a small degree of pancreatic atrophy, and unclear borders were more frequent among premalignant or malignant cysts. The only CT features to differentiate benign from premalignant or malignant cysts were a solid component and septation.

摘要

目的

识别计算机断层扫描(CT)上能够区分良性与癌前或恶性胰腺囊肿的特征,对于避免不必要的手术至关重要。本研究调查了胰腺囊性病变的术前诊断评估,以确定先进的影像学和临床因素应如何指导治疗。

方法

总共纳入了53例患者,其中有27个良性囊肿和26个癌前或恶性囊肿。使用单因素和多因素分析比较囊肿的CT特征。

结果

单因素分析显示,实性成分(p<0.01)、分隔(p<0.01)、位置(p<0.01)、边界(p<0.01)、壁强化(p=0.01)、病变边缘(p<0.01)、胰腺萎缩(p=0.04)和囊壁(p<0.01)在良性囊肿与癌前或恶性囊肿之间均存在显著差异。多因素分析显示,只有实性成分(p<0.01)和分隔(p<0.01)具有显著性。

结论

良性囊肿更常表现为薄壁、均匀一致、边界清晰、存在分隔、胰腺萎缩,且无壁强化和实性成分。癌前或恶性囊肿更常表现为厚壁、不均匀、存在壁强化和实性成分、无分隔、仅有轻度胰腺萎缩以及边界不清。区分良性囊肿与癌前或恶性囊肿的唯一CT特征是实性成分和分隔。

https://cdn.ncbi.nlm.nih.gov/pmc/blobs/673d/7607418/b363da45fac0/gr1.jpg

文献检索

告别复杂PubMed语法,用中文像聊天一样搜索,搜遍4000万医学文献。AI智能推荐,让科研检索更轻松。

立即免费搜索

文件翻译

保留排版,准确专业,支持PDF/Word/PPT等文件格式,支持 12+语言互译。

免费翻译文档

深度研究

AI帮你快速写综述,25分钟生成高质量综述,智能提取关键信息,辅助科研写作。

立即免费体验