Nishimura Nobutaka, Hori Shunta, Omori Chihiro, Miyake Makito, Anai Satoshi, Torimoto Kazumasa, Aoki Katsuya, Tanaka Nobumichi, Yoneda Tatsuo, Fujimoto Kiyohide
Department of Urology Nara Medical University Nara Japan.
IJU Case Rep. 2020 Jul 27;3(6):244-247. doi: 10.1002/iju5.12205. eCollection 2020 Nov.
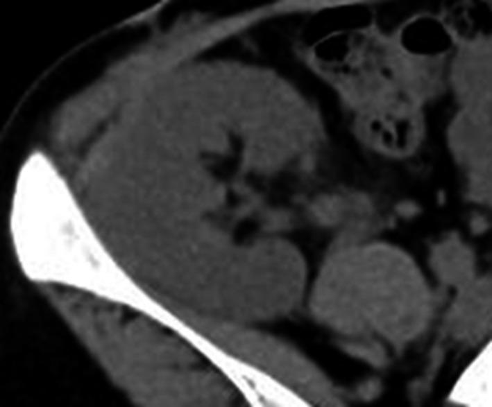
Hypoparathyroidism, sensorineural deafness, and renal dysplasia syndrome is an autosomal dominant rare genetic disease. Some patients with hypoparathyroidism, sensorineural deafness, and renal dysplasia syndrome may present with renal calcification (nephrocalcinosis) and disorder. We report the first case of living-donor kidney transplantation for a patient with hypoparathyroidism, sensorineural deafness, and renal dysplasia syndrome.
This case pertains to a 26-year-old woman who was diagnosed with congenital hypoparathyroidism 1 month after birth, following which vitamin D supplementation was initiated. In 20XX, she developed nephrocalcinosis and was confirmed to have a mutation; hence, she was diagnosed with hypoparathyroidism, sensorineural deafness, and renal dysplasia syndrome. In 20XX + 7, ABO-incompatible living-donor kidney transplantation was performed. Her renal function improved, and graft calcification was not observed.
Over intake of vitamin D caused nephrocalcinosis. The renal function was improved after living-donor kidney transplantation and the patient's serum calcium levels normalized without vitamin D supplementation. Therefore, kidney transplantation should be considered a treatment option for patients with hypoparathyroidism, sensorineural deafness, and renal dysplasia syndrome.
甲状旁腺功能减退、感音神经性耳聋和肾发育不良综合征是一种常染色体显性罕见遗传病。一些患有甲状旁腺功能减退、感音神经性耳聋和肾发育不良综合征的患者可能会出现肾钙化(肾钙质沉着症)及功能紊乱。我们报告了首例为患有甲状旁腺功能减退、感音神经性耳聋和肾发育不良综合征的患者进行活体供肾移植的病例。
该病例为一名26岁女性,出生后1个月被诊断为先天性甲状旁腺功能减退,随后开始补充维生素D。在20XX年,她出现了肾钙质沉着症,并被证实存在一种突变;因此,她被诊断为甲状旁腺功能减退、感音神经性耳聋和肾发育不良综合征。在20XX + 7年,进行了ABO血型不相容的活体供肾移植。她的肾功能得到改善,且未观察到移植肾钙化。
维生素D摄入过量导致肾钙质沉着症。活体供肾移植后肾功能得到改善,患者血清钙水平在未补充维生素D的情况下恢复正常。因此,对于患有甲状旁腺功能减退、感音神经性耳聋和肾发育不良综合征的患者,应考虑将肾移植作为一种治疗选择。