• 文献检索
  • 文档翻译
  • 深度研究
  • 学术资讯
  • Suppr Zotero 插件Zotero 插件
  • 邀请有礼
  • 套餐&价格
  • 历史记录
应用&插件
Suppr Zotero 插件Zotero 插件浏览器插件Mac 客户端Windows 客户端微信小程序
定价
高级版会员购买积分包购买API积分包
服务
文献检索文档翻译深度研究API 文档MCP 服务
关于我们
关于 Suppr公司介绍联系我们用户协议隐私条款
关注我们

Suppr 超能文献

核心技术专利:CN118964589B侵权必究
粤ICP备2023148730 号-1Suppr @ 2026

文献检索

告别复杂PubMed语法,用中文像聊天一样搜索,搜遍4000万医学文献。AI智能推荐,让科研检索更轻松。

立即免费搜索

文件翻译

保留排版,准确专业,支持PDF/Word/PPT等文件格式,支持 12+语言互译。

免费翻译文档

深度研究

AI帮你快速写综述,25分钟生成高质量综述,智能提取关键信息,辅助科研写作。

立即免费体验

Prrx1 成纤维细胞代表了小鼠腹侧真皮中的促纤维化谱系。

Prrx1 Fibroblasts Represent a Pro-fibrotic Lineage in the Mouse Ventral Dermis.

机构信息

Hagey Laboratory for Pediatric Regenerative Medicine, Division of Plastic and Reconstructive Surgery, Department of Surgery, Stanford University School of Medicine, Stanford, CA 94305, USA; Institute for Stem Cell Biology and Regenerative Medicine, Stanford School of Medicine, Stanford, CA 94305, USA.

Center for Personal Dynamic Regulomes, Stanford University School of Medicine, Stanford, CA 94305, USA.

出版信息

Cell Rep. 2020 Nov 10;33(6):108356. doi: 10.1016/j.celrep.2020.108356.

DOI:10.1016/j.celrep.2020.108356
PMID:33176144
原文链接:https://pmc.ncbi.nlm.nih.gov/articles/PMC7742512/
Abstract

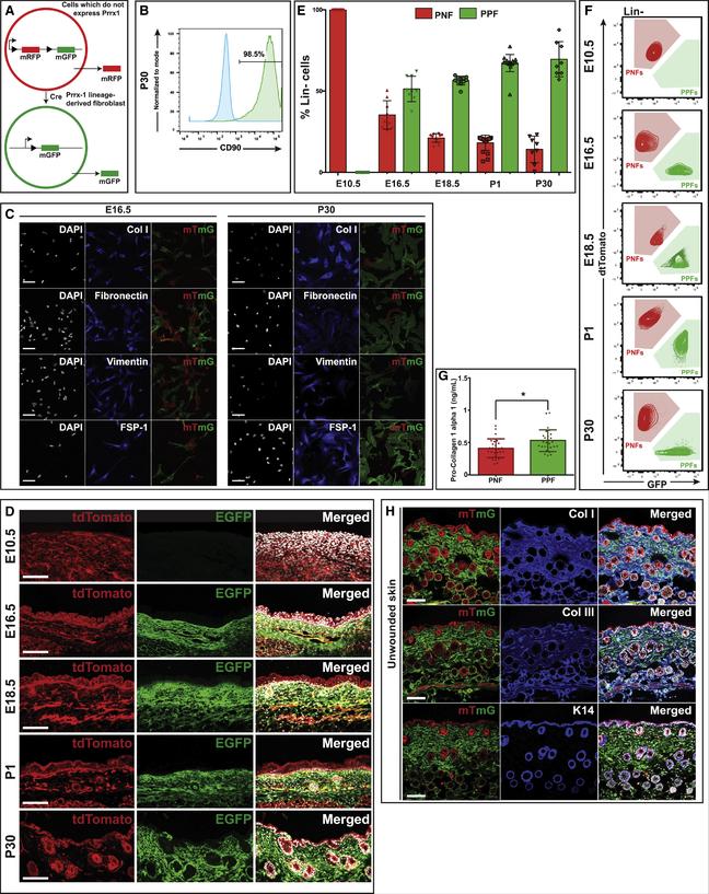
Fibroblast heterogeneity has been shown within the unwounded mouse dorsal dermis, with fibroblast subpopulations being identified according to anatomical location and embryonic lineage. Using lineage tracing, we demonstrate that paired related homeobox 1 (Prrx1)-expressing fibroblasts are responsible for acute and chronic fibroses in the ventral dermis. Single-cell transcriptomics further corroborated the inherent fibrotic characteristics of Prrx1 fibroblasts during wound repair. In summary, we identify and characterize a fibroblast subpopulation in the mouse ventral dermis with intrinsic scar-forming potential.

摘要

成纤维细胞异质性已在未受伤的小鼠背部真皮中显现,根据解剖位置和胚胎谱系鉴定出成纤维细胞亚群。通过谱系追踪,我们证明表达配对相关同源盒 1(Prrx1)的成纤维细胞负责腹侧真皮的急性和慢性纤维化。单细胞转录组学进一步证实了 Prrx1 成纤维细胞在伤口修复过程中的固有纤维化特征。总之,我们在小鼠腹侧真皮中鉴定和表征了具有内在瘢痕形成潜力的成纤维细胞亚群。

https://cdn.ncbi.nlm.nih.gov/pmc/blobs/8623/7742512/f3ebe236a9d0/nihms-1649532-f0005.jpg
https://cdn.ncbi.nlm.nih.gov/pmc/blobs/8623/7742512/bd0543b2679f/nihms-1649532-f0002.jpg
https://cdn.ncbi.nlm.nih.gov/pmc/blobs/8623/7742512/f20a18ac9709/nihms-1649532-f0003.jpg
https://cdn.ncbi.nlm.nih.gov/pmc/blobs/8623/7742512/c99981e9f9b0/nihms-1649532-f0004.jpg
https://cdn.ncbi.nlm.nih.gov/pmc/blobs/8623/7742512/f3ebe236a9d0/nihms-1649532-f0005.jpg
https://cdn.ncbi.nlm.nih.gov/pmc/blobs/8623/7742512/bd0543b2679f/nihms-1649532-f0002.jpg
https://cdn.ncbi.nlm.nih.gov/pmc/blobs/8623/7742512/f20a18ac9709/nihms-1649532-f0003.jpg
https://cdn.ncbi.nlm.nih.gov/pmc/blobs/8623/7742512/c99981e9f9b0/nihms-1649532-f0004.jpg
https://cdn.ncbi.nlm.nih.gov/pmc/blobs/8623/7742512/f3ebe236a9d0/nihms-1649532-f0005.jpg

相似文献

1
Prrx1 Fibroblasts Represent a Pro-fibrotic Lineage in the Mouse Ventral Dermis.Prrx1 成纤维细胞代表了小鼠腹侧真皮中的促纤维化谱系。
Cell Rep. 2020 Nov 10;33(6):108356. doi: 10.1016/j.celrep.2020.108356.
2
A positive feedback loop bi-stably activates fibroblasts.正反馈回路双稳激活成纤维细胞。
Nat Commun. 2018 Aug 1;9(1):3016. doi: 10.1038/s41467-018-05274-6.
3
Fibroblast heterogeneity: implications for human disease.成纤维细胞异质性:对人类疾病的影响。
J Clin Invest. 2018 Jan 2;128(1):26-35. doi: 10.1172/JCI93555.
4
Prrx1b restricts fibrosis and promotes Nrg1-dependent cardiomyocyte proliferation during zebrafish heart regeneration.Prrx1b 在斑马鱼心脏再生过程中限制纤维化并促进 Nrg1 依赖性心肌细胞增殖。
Development. 2021 Oct 1;148(19). doi: 10.1242/dev.198937. Epub 2021 Oct 4.
5
Understanding the impact of fibroblast heterogeneity on skin fibrosis.了解成纤维细胞异质性对皮肤纤维化的影响。
Dis Model Mech. 2020 Jun 15;13(6):dmm044164. doi: 10.1242/dmm.044164.
6
Spatial and Single-Cell Transcriptional Profiling Identifies Functionally Distinct Human Dermal Fibroblast Subpopulations.空间转录组和单细胞转录组分析鉴定功能不同的人真皮成纤维细胞亚群。
J Invest Dermatol. 2018 Apr;138(4):811-825. doi: 10.1016/j.jid.2018.01.016. Epub 2018 Jan 31.
7
Novel methods for the investigation of human hypertrophic scarring and other dermal fibrosis.研究人类肥厚性瘢痕及其他皮肤纤维化的新方法。
Methods Mol Biol. 2013;1037:203-31. doi: 10.1007/978-1-62703-505-7_11.
8
Primed inflammatory response by fibroblast subset is necessary for proper oral and cutaneous wound healing.成纤维细胞亚群的预激活炎症反应是口腔和皮肤伤口正常愈合所必需的。
Mol Oral Microbiol. 2024 Jun;39(3):113-124. doi: 10.1111/omi.12442. Epub 2023 Oct 30.
9
The paired-related homeobox protein 1 promotes cardiac fibrosis via the Twist1-Prrx1-tenascin-C loop.配对相关同源盒蛋白 1 通过 Twist1-Prrx1-腱糖蛋白 C 环促进心脏纤维化。
Cell Biol Int. 2023 Jan;47(1):167-177. doi: 10.1002/cbin.11944. Epub 2022 Oct 23.
10
Lineage tracing of Foxd1-expressing embryonic progenitors to assess the role of divergent embryonic lineages on adult dermal fibroblast function.对表达Foxd1的胚胎祖细胞进行谱系追踪,以评估不同胚胎谱系对成年真皮成纤维细胞功能的作用。
FASEB Bioadv. 2021 Mar 30;3(7):541-557. doi: 10.1096/fba.2020-00110. eCollection 2021 Jul.

引用本文的文献

1
Cell and tissue reprogramming: Unlocking a new era in medical drug discovery.细胞与组织重编程:开启药物研发的新时代。
Pharmacol Rev. 2025 Jun 26;77(5):100077. doi: 10.1016/j.pharmr.2025.100077.
2
Growth arrest specific-6 and angiotoxin receptor-like signaling drive oral regenerative wound repair.生长停滞特异性蛋白6和血管毒素受体样信号传导驱动口腔再生性伤口修复。
Sci Transl Med. 2025 Jul 2;17(805):eadk2101. doi: 10.1126/scitranslmed.adk2101.
3
Effects of embryonic origin, tissue cues and pathological signals on fibroblast diversity in humans.

本文引用的文献

1
Single-cell transcriptional diversity is a hallmark of developmental potential.单细胞转录组多样性是发育潜能的标志。
Science. 2020 Jan 24;367(6476):405-411. doi: 10.1126/science.aax0249.
2
The limb enhancer marks an adult subpopulation of injury-responsive dermal fibroblasts.肢体增强子标记了成年期对损伤有反应的真皮成纤维细胞亚群。
Biol Open. 2019 Jul 18;8(7):bio043711. doi: 10.1242/bio.043711.
3
Comprehensive Integration of Single-Cell Data.单细胞数据的综合整合。
胚胎起源、组织信号和病理信号对人类成纤维细胞多样性的影响。
Nat Cell Biol. 2025 May;27(5):720-735. doi: 10.1038/s41556-025-01638-5. Epub 2025 Apr 22.
4
Dual-Action flavonol carbonized polymer dots spray: Accelerating burn wound recovery through immune responses modulation and EMT induction.双功能黄酮醇碳化聚合物点喷雾剂:通过调节免疫反应和诱导上皮-间质转化促进烧伤创面愈合
Mater Today Bio. 2025 Feb 11;31:101572. doi: 10.1016/j.mtbio.2025.101572. eCollection 2025 Apr.
5
Active repression of cell fate plasticity by PROX1 safeguards hepatocyte identity and prevents liver tumorigenesis.PROX1对细胞命运可塑性的主动抑制可维护肝细胞特性并预防肝脏肿瘤发生。
Nat Genet. 2025 Mar;57(3):668-679. doi: 10.1038/s41588-025-02081-w. Epub 2025 Feb 13.
6
Receptor activity-modifying protein 1 regulates the differentiation of mouse skin fibroblasts by downregulating α-SMA expression via suppression of high mobility group AT-hook 1 to promote skin wound repair.受体活性修饰蛋白1通过抑制高迁移率族AT-钩蛋白1下调α-平滑肌肌动蛋白表达,从而调节小鼠皮肤成纤维细胞分化,促进皮肤伤口修复。
Burns Trauma. 2025 Jan 21;13:tkae068. doi: 10.1093/burnst/tkae068. eCollection 2025.
7
Fibroblast-Mediated Macrophage Recruitment Supports Acute Wound Healing.成纤维细胞介导的巨噬细胞募集促进急性伤口愈合。
J Invest Dermatol. 2024 Nov 22. doi: 10.1016/j.jid.2024.10.609.
8
Dynamic Evolution of Fibroblasts Revealed by Single-Cell RNA Sequencing of Human Pancreatic Cancer.通过人类胰腺癌单细胞RNA测序揭示的成纤维细胞动态演变
Cancer Res Commun. 2024 Dec 1;4(12):3049-3066. doi: 10.1158/2767-9764.CRC-23-0489.
9
Single-cell RNA transcriptomics in mice reveals embryonic origin of fibrosis due to maternal obesity.单细胞 RNA 转录组学在小鼠中揭示了母体肥胖导致纤维化的胚胎起源。
EBioMedicine. 2024 Nov;109:105421. doi: 10.1016/j.ebiom.2024.105421. Epub 2024 Oct 30.
10
Deep skin fibroblast-mediated macrophage recruitment supports acute wound healing.深层皮肤成纤维细胞介导的巨噬细胞募集有助于急性伤口愈合。
bioRxiv. 2024 Aug 10:2024.08.09.607357. doi: 10.1101/2024.08.09.607357.
Cell. 2019 Jun 13;177(7):1888-1902.e21. doi: 10.1016/j.cell.2019.05.031. Epub 2019 Jun 6.
4
Single-cell analysis reveals fibroblast heterogeneity and myeloid-derived adipocyte progenitors in murine skin wounds.单细胞分析揭示了小鼠皮肤创伤中的成纤维细胞异质性和髓系来源的脂肪细胞祖细胞。
Nat Commun. 2019 Feb 8;10(1):650. doi: 10.1038/s41467-018-08247-x.
5
Dimensionality reduction for visualizing single-cell data using UMAP.使用UMAP进行单细胞数据可视化的降维方法。
Nat Biotechnol. 2018 Dec 3. doi: 10.1038/nbt.4314.
6
Revitalizing Aging Skin through Diet.通过饮食焕发老化皮肤活力。
Cell. 2018 Nov 29;175(6):1461-1463. doi: 10.1016/j.cell.2018.11.016.
7
Myofibroblast proliferation and heterogeneity are supported by macrophages during skin repair.成肌纤维细胞增殖和异质性在皮肤修复过程中得到巨噬细胞的支持。
Science. 2018 Nov 23;362(6417). doi: 10.1126/science.aar2971.
8
Identity Noise and Adipogenic Traits Characterize Dermal Fibroblast Aging.身份噪声和脂肪生成特征表征真皮成纤维细胞衰老。
Cell. 2018 Nov 29;175(6):1575-1590.e22. doi: 10.1016/j.cell.2018.10.012. Epub 2018 Nov 8.
9
Positional Stability and Membrane Occupancy Define Skin Fibroblast Homeostasis In Vivo.位置稳定性和膜占据定义体内皮肤成纤维细胞的稳态。
Cell. 2018 Nov 29;175(6):1620-1633.e13. doi: 10.1016/j.cell.2018.10.013. Epub 2018 Nov 8.
10
Lineage Identity and Location within the Dermis Determine the Function of Papillary and Reticular Fibroblasts in Human Skin.真皮中的谱系身份和位置决定了人皮肤中乳头层和网状层成纤维细胞的功能。
J Invest Dermatol. 2019 Feb;139(2):342-351. doi: 10.1016/j.jid.2018.07.033. Epub 2018 Sep 1.