Suppr超能文献

乳香酸与低剂量电离辐射协同作用,通过抑制JNK/ERK/c-Fos信号通路调节双酚诱导的大鼠肺毒性。

Boswellic Acid Synergizes With Low-Level Ionizing Radiation to Modulate Bisphenol Induced-Lung Toxicity in Rats by Inhibiting JNK/ERK/c-Fos Pathway.

作者信息

Mansour Somya Z, Moawed Fatma S M, Badawy Monda M M, Mohamed Hebatallah E

机构信息

Department of Radiation Biology, National Center for Radiation Research and Technology, (NCRRT), Egyptian Atomic Energy Authority (EAEA), Egypt.

Department of Health Radiation Research, National Center for Radiation Research and Technology (NCRRT), Egyptian Atomic Energy Authority (EAEA), Egypt.

出版信息

Dose Response. 2020 Oct 30;18(4):1559325820969597. doi: 10.1177/1559325820969597. eCollection 2020 Oct-Dec.

Abstract

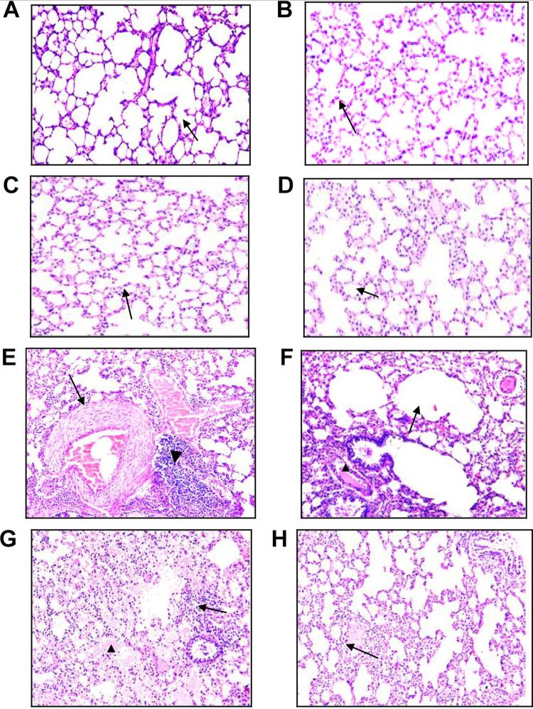
Bisphenol A (BPA) is a low molecular weight chemical compound that has a deleterious effect on the endocrine system. It was used in plastics manufacturing with injurious effects on different body systems. Occupational exposure to low-level ionizing radiation (<1 Gy) is shown to attenuate an established inflammatory process and therefore enhance cell protection. Therefore, the objective of this study was to investigate the protective effect of boswellic acid (BA) accompanied by whole-body low-dose gamma radiation (γ-R) against BPA-induced lung toxicity in male albino rats. BPA intoxication induced with 500 mg/kg BW. Rats received 50 mg BA/kg BW by gastric gavage concomitant with 0.5 Gy γ-R over 4 weeks. The immunoblotting and biochemical results revealed that BA and/or γ-R inhibited BPA-induced lung toxicity by reducing oxidative damage biomolecules; (MDA and NADPH oxidase gene expression), inflammatory indices (MPO, TNF-α, IL-6, and gene expression of CXCR-4). Moreover, BA and or/γ-R ameliorated the lung inflammation regulation of the JNK/ERK/c-Fos and Nrf2/ HO-1 signaling pathways. Interestingly, our data demonstrated that BA in synergistic interaction with γ-R is efficacious control against BPA-induced lung injury anti-oxidant mediated anti-inflammatory activities.

摘要

双酚A(BPA)是一种低分子量化合物,对内分泌系统有有害影响。它曾被用于塑料制造,对不同身体系统产生有害作用。职业性暴露于低水平电离辐射(<1 Gy)可减轻已有的炎症过程,从而增强细胞保护作用。因此,本研究的目的是探讨乳香酸(BA)联合全身低剂量γ射线辐射(γ-R)对雄性白化大鼠BPA诱导的肺毒性的保护作用。以500 mg/kg体重诱导BPA中毒。大鼠通过胃管给予50 mg BA/kg体重,同时在4周内给予0.5 Gy γ-R。免疫印迹和生化结果显示,BA和/或γ-R通过减少氧化损伤生物分子(丙二醛和NADPH氧化酶基因表达)、炎症指标(髓过氧化物酶、肿瘤坏死因子-α、白细胞介素-6和CXCR-4基因表达)来抑制BPA诱导的肺毒性。此外,BA和/或γ-R改善了JNK/ERK/c-Fos和Nrf2/HO-1信号通路的肺炎症调节。有趣的是,我们的数据表明,BA与γ-R协同作用可有效控制BPA诱导的肺损伤,具有抗氧化介导的抗炎活性。

https://cdn.ncbi.nlm.nih.gov/pmc/blobs/58c6/7607778/63b10ad9fff3/10.1177_1559325820969597-fig1.jpg

文献检索

告别复杂PubMed语法,用中文像聊天一样搜索,搜遍4000万医学文献。AI智能推荐,让科研检索更轻松。

立即免费搜索

文件翻译

保留排版,准确专业,支持PDF/Word/PPT等文件格式,支持 12+语言互译。

免费翻译文档

深度研究

AI帮你快速写综述,25分钟生成高质量综述,智能提取关键信息,辅助科研写作。

立即免费体验