• 文献检索
  • 文档翻译
  • 深度研究
  • 学术资讯
  • Suppr Zotero 插件Zotero 插件
  • 邀请有礼
  • 套餐&价格
  • 历史记录
应用&插件
Suppr Zotero 插件Zotero 插件浏览器插件Mac 客户端Windows 客户端微信小程序
定价
高级版会员购买积分包购买API积分包
服务
文献检索文档翻译深度研究API 文档MCP 服务
关于我们
关于 Suppr公司介绍联系我们用户协议隐私条款
关注我们

Suppr 超能文献

核心技术专利:CN118964589B侵权必究
粤ICP备2023148730 号-1Suppr @ 2026

文献检索

告别复杂PubMed语法,用中文像聊天一样搜索,搜遍4000万医学文献。AI智能推荐,让科研检索更轻松。

立即免费搜索

文件翻译

保留排版,准确专业,支持PDF/Word/PPT等文件格式,支持 12+语言互译。

免费翻译文档

深度研究

AI帮你快速写综述,25分钟生成高质量综述,智能提取关键信息,辅助科研写作。

立即免费体验

产后孤立性天然肺动脉瓣耐甲氧西林感染性心内膜炎合并盆腔脓肿、锁骨骨髓炎和多关节化脓性关节炎。

Postpartum-Isolated Native Pulmonic Valve Methicillin-Resistant Infective Endocarditis Complicated by Pelvic Abscess, Clavicle Osteomyelitis, and Polyarticular Septic Arthritis.

作者信息

Navarrete Daniela, Hannibal David, Patil Sachin M, Patel Tarang Pankaj, Roland William

机构信息

Department of Medicine and Pediatrics, PGY4 Resident, University of Missouri Hospital and Clinic, 1 Hospital Dr, Columbia, MO 65212, USA.

University of Missouri School of Medicine, MS 4, University of Missouri Hospital and Clinic, 1 Hospital Dr, Columbia, MO 65212, USA.

出版信息

Case Rep Infect Dis. 2020 Nov 6;2020:8850340. doi: 10.1155/2020/8850340. eCollection 2020.

DOI:10.1155/2020/8850340
PMID:33204549
原文链接:https://pmc.ncbi.nlm.nih.gov/articles/PMC7666633/
Abstract

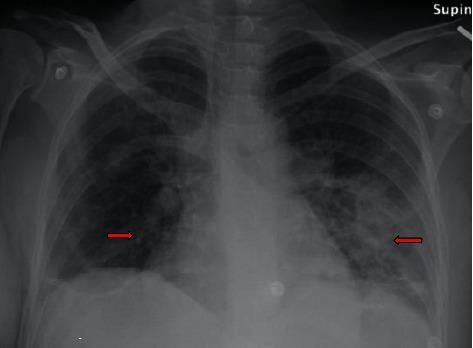
Isolated native pulmonic valve infective endocarditis (IE) is a rare occurrence. The most commonly involved valves in injection drug users are the tricuspid valve followed by mitral and then aortic valves. Most reported cases of methicillin-resistant (MRSA) IE involve multiple valves. Isolated involvement of the pulmonic valve in IE is infrequent, especially in intravenous drug users or patients with indwelling catheters, prosthetic valves, or implantable cardiac devices. Here, we report a young postpartum female patient with isolated native pulmonic valve MRSA IE with MRSA bacteremia and history of active injection drug use. A PubMed literature review revealed a single described prior case report in a postpartum female. The patient's clinical course was complicated by a large native pulmonic valve vegetation, septic pulmonary emboli, pelvic abscess, polyarticular septic arthritis, and clavicular osteomyelitis. The patient underwent bioprosthetic pulmonic valve replacement and finished six weeks of intravenous vancomycin for complete recovery.

摘要

孤立性天然肺动脉瓣感染性心内膜炎(IE)较为罕见。注射吸毒者中最常受累的瓣膜是三尖瓣,其次是二尖瓣和主动脉瓣。大多数报道的耐甲氧西林金黄色葡萄球菌(MRSA)感染性心内膜炎病例累及多个瓣膜。肺动脉瓣在感染性心内膜炎中单独受累的情况并不常见,尤其是在静脉吸毒者或有留置导管、人工瓣膜或植入式心脏装置的患者中。在此,我们报告一名年轻的产后女性患者,患有孤立性天然肺动脉瓣MRSA感染性心内膜炎伴MRSA菌血症,并有活跃的注射吸毒史。一项PubMed文献综述显示,此前仅有一篇关于产后女性病例的报道。患者临床过程复杂,伴有巨大的天然肺动脉瓣赘生物、脓毒性肺栓塞、盆腔脓肿、多关节脓毒性关节炎和锁骨骨髓炎。患者接受了生物人工肺动脉瓣置换术,并完成了六周的静脉注射万古霉素治疗以实现完全康复。

https://cdn.ncbi.nlm.nih.gov/pmc/blobs/b26f/7666633/52a109c827a4/CRIID2020-8850340.004.jpg
https://cdn.ncbi.nlm.nih.gov/pmc/blobs/b26f/7666633/6cb98a5f2c01/CRIID2020-8850340.001.jpg
https://cdn.ncbi.nlm.nih.gov/pmc/blobs/b26f/7666633/1ea783586b2d/CRIID2020-8850340.002.jpg
https://cdn.ncbi.nlm.nih.gov/pmc/blobs/b26f/7666633/9c3f706180f2/CRIID2020-8850340.003.jpg
https://cdn.ncbi.nlm.nih.gov/pmc/blobs/b26f/7666633/52a109c827a4/CRIID2020-8850340.004.jpg
https://cdn.ncbi.nlm.nih.gov/pmc/blobs/b26f/7666633/6cb98a5f2c01/CRIID2020-8850340.001.jpg
https://cdn.ncbi.nlm.nih.gov/pmc/blobs/b26f/7666633/1ea783586b2d/CRIID2020-8850340.002.jpg
https://cdn.ncbi.nlm.nih.gov/pmc/blobs/b26f/7666633/9c3f706180f2/CRIID2020-8850340.003.jpg
https://cdn.ncbi.nlm.nih.gov/pmc/blobs/b26f/7666633/52a109c827a4/CRIID2020-8850340.004.jpg

相似文献

1
Postpartum-Isolated Native Pulmonic Valve Methicillin-Resistant Infective Endocarditis Complicated by Pelvic Abscess, Clavicle Osteomyelitis, and Polyarticular Septic Arthritis.产后孤立性天然肺动脉瓣耐甲氧西林感染性心内膜炎合并盆腔脓肿、锁骨骨髓炎和多关节化脓性关节炎。
Case Rep Infect Dis. 2020 Nov 6;2020:8850340. doi: 10.1155/2020/8850340. eCollection 2020.
2
Methicillin-resistant Staphylococcus aureus prosthetic aortic valve endocarditis with paravalvular abscess treated with daptomycin.用达托霉素治疗的耐甲氧西林金黄色葡萄球菌人工主动脉瓣心内膜炎合并瓣周脓肿
Heart Lung. 2005 Jan-Feb;34(1):69-71. doi: 10.1016/j.hrtlng.2004.07.009.
3
Methicillin-resistant Staphylococcus aureus (MRSA) mitral valve acute bacterial endocarditis (ABE) in a patient with Job's syndrome (hyperimmunoglobulin E syndrome) successfully treated with linezolid and high-dose daptomycin.患有乔布综合征(高免疫球蛋白E综合征)的患者发生耐甲氧西林金黄色葡萄球菌(MRSA)二尖瓣急性细菌性心内膜炎(ABE),经利奈唑胺和高剂量达托霉素成功治疗。
Heart Lung. 2008 Jan-Feb;37(1):72-5. doi: 10.1016/j.hrtlng.2007.04.003.
4
Native Aortic Valve Infective Endocarditis Secondary to Community-Acquired Methicillin-Resistant Staphylococcus aureus: A Case Report and Literature Review.社区获得性耐甲氧西林金黄色葡萄球菌所致原发性主动脉瓣感染性心内膜炎:一例报告及文献复习
Cureus. 2024 Mar 1;16(3):e55341. doi: 10.7759/cureus.55341. eCollection 2024 Mar.
5
Native Tricuspid Valve Infective Endocarditis After Breast Skin Abscess.乳腺皮肤脓肿后发生的原发性三尖瓣感染性心内膜炎。
Cureus. 2023 Oct 6;15(10):e46607. doi: 10.7759/cureus.46607. eCollection 2023 Oct.
6
Simultaneous Tricuspid and Pulmonic Valve Replacement Due to Infective Endocarditis.感染性心内膜炎所致三尖瓣与肺动脉瓣同期置换术
Cureus. 2022 Nov 26;14(11):e31902. doi: 10.7759/cureus.31902. eCollection 2022 Nov.
7
Pulmonic Valve Repair in a Patient with Isolated Pulmonic Valve Endocarditis and Sickle Cell Disease.孤立性肺动脉瓣心内膜炎合并镰状细胞病患者的肺动脉瓣修复术
Case Rep Cardiol. 2015;2015:732073. doi: 10.1155/2015/732073. Epub 2015 Jun 23.
8
Multiresistant-MRSA tricuspid valve infective endocarditis with ancient osteomyelitis locus.多重耐药性耐甲氧西林金黄色葡萄球菌三尖瓣感染性心内膜炎合并陈旧性骨髓炎病灶。
BMC Infect Dis. 2006 Jul 26;6:124. doi: 10.1186/1471-2334-6-124.
9
Infective Endocarditis: Patient Pathways.感染性心内膜炎:患者诊疗路径
JACC Case Rep. 2021 Nov 15;4(1):1-12. doi: 10.1016/j.jaccas.2021.10.002. eCollection 2022 Jan 5.
10
Pneumococcal endocarditis involving the pulmonic valve in a patient with HIV.一名艾滋病患者发生的累及肺动脉瓣的肺炎球菌性心内膜炎。
Proc (Bayl Univ Med Cent). 2021 Jun 7;34(5):627-628. doi: 10.1080/08998280.2021.1930926. eCollection 2021 Sep.

引用本文的文献

1
MRSA-positive sternoclavicular septic arthritis mimicking mediastinal malignancy in a patient with multiple injection history: a rare case report.有多次注射史的患者中,表现为纵隔恶性肿瘤的耐甲氧西林金黄色葡萄球菌阳性胸锁关节化脓性关节炎:一例罕见病例报告
Ann Med Surg (Lond). 2025 Feb 7;87(3):1733-1737. doi: 10.1097/MS9.0000000000003042. eCollection 2025 Mar.
2
Septic arthritis of the acromioclavicular joint secondary to methicillin-resistant infection.耐甲氧西林感染继发的肩锁关节化脓性关节炎。
BMJ Case Rep. 2021 Jun 21;14(6):e241648. doi: 10.1136/bcr-2021-241648.

本文引用的文献

1
Pulmonary endarteritis and endocarditis complicated with septic embolism: a case report and review of the literature.肺动脉炎和心内膜炎并发感染性栓塞:病例报告及文献复习。
BMC Infect Dis. 2020 Mar 12;20(1):212. doi: 10.1186/s12879-020-4925-z.
2
Isolated Pulmonic Valve Endocarditis: Case Report and Review of Existing Literature on Diagnosis and Therapy.孤立性肺动脉瓣心内膜炎:病例报告及关于诊断与治疗的现有文献综述
CASE (Phila). 2019 Jul 19;3(5):227-230. doi: 10.1016/j.case.2019.05.003. eCollection 2019 Oct.
3
Clinical features of patients with septic arthritis and echocardiographic findings of infective endocarditis.
感染性心内膜炎患者的临床特征与超声心动图表现。
Infection. 2019 Oct;47(5):771-779. doi: 10.1007/s15010-019-01302-9. Epub 2019 May 23.
4
Isolated pulmonary valve endocarditis: A case report and review of literature.孤立性肺动脉瓣心内膜炎:一例病例报告及文献综述。
J Cardiol Cases. 2013 Sep 28;8(5):161-163. doi: 10.1016/j.jccase.2013.07.007. eCollection 2013 Nov.
5
Isolated pulmonary valve endocarditis: truth or myth?孤立性肺动脉瓣心内膜炎:事实还是虚构?
J Community Hosp Intern Med Perspect. 2017 Oct 18;7(5):329-331. doi: 10.1080/20009666.2017.1374808. eCollection 2017.
6
Diagnostic value of imaging in infective endocarditis: a systematic review.影像学在感染性心内膜炎诊断中的价值:系统综述。
Lancet Infect Dis. 2017 Jan;17(1):e1-e14. doi: 10.1016/S1473-3099(16)30141-4. Epub 2016 Oct 18.
7
Isolated Pulmonary Valve Endocarditis Complicated With Septic Emboli to the Lung Causing Pneumothorax, Pneumonia, and Sepsis in an Intravenous Drug Abuser.孤立性肺动脉瓣心内膜炎合并肺脓毒性栓子,导致一名静脉药物滥用者发生气胸、肺炎和脓毒症。
J Investig Med High Impact Case Rep. 2013 Nov 28;1(4):2324709613514566. doi: 10.1177/2324709613514566. eCollection 2013 Oct-Dec.
8
Infective endocarditis.感染性心内膜炎。
Lancet. 2016 Feb 27;387(10021):882-93. doi: 10.1016/S0140-6736(15)00067-7. Epub 2015 Sep 1.
9
Trends in infective endocarditis incidence, microbiology, and valve replacement in the United States from 2000 to 2011.美国 2000 年至 2011 年感染性心内膜炎发病率、微生物学和瓣膜置换的趋势。
J Am Coll Cardiol. 2015 May 19;65(19):2070-6. doi: 10.1016/j.jacc.2015.03.518.
10
Pregnancy and postpartum infective endocarditis: a systematic review.妊娠和产后感染性心内膜炎:系统评价。
Mayo Clin Proc. 2014 Aug;89(8):1143-52. doi: 10.1016/j.mayocp.2014.04.024. Epub 2014 Jul 1.