• 文献检索
  • 文档翻译
  • 深度研究
  • 学术资讯
  • Suppr Zotero 插件Zotero 插件
  • 邀请有礼
  • 套餐&价格
  • 历史记录
应用&插件
Suppr Zotero 插件Zotero 插件浏览器插件Mac 客户端Windows 客户端微信小程序
定价
高级版会员购买积分包购买API积分包
服务
文献检索文档翻译深度研究API 文档MCP 服务
关于我们
关于 Suppr公司介绍联系我们用户协议隐私条款
关注我们

Suppr 超能文献

核心技术专利:CN118964589B侵权必究
粤ICP备2023148730 号-1Suppr @ 2026

文献检索

告别复杂PubMed语法,用中文像聊天一样搜索,搜遍4000万医学文献。AI智能推荐,让科研检索更轻松。

立即免费搜索

文件翻译

保留排版,准确专业,支持PDF/Word/PPT等文件格式,支持 12+语言互译。

免费翻译文档

深度研究

AI帮你快速写综述,25分钟生成高质量综述,智能提取关键信息,辅助科研写作。

立即免费体验

循环肿瘤DNA助力同步性尿路上皮癌和非小细胞肺癌患者的诊断:病例报告

ctDNA facilitated the diagnosis of a patient with synchronous urothelial carcinoma and non-small cell lung cancer: case report.

作者信息

Qian Chengyuan, Dai Nan, Xu Mingfang, Luo Hao, Feng Yan, Zhang Min, Chen Rongrong, Wang Dong

机构信息

Department of Cancer Center, Daping Hospital & Army Medical Center of the PLA, Chongqing, China.

Geneplus-Beijing, Beijing, China.

出版信息

Ann Transl Med. 2020 Oct;8(20):1323. doi: 10.21037/atm-20-6552.

DOI:10.21037/atm-20-6552
PMID:33209903
原文链接:https://pmc.ncbi.nlm.nih.gov/articles/PMC7661894/
Abstract

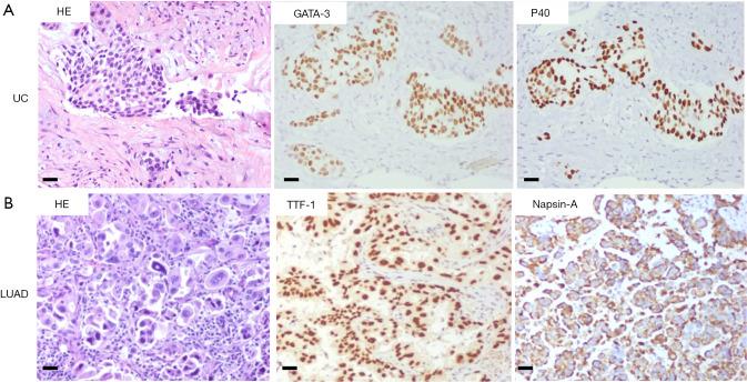
The diagnosis and treatment for multiple primary cancers have been a great challenge in clinical practice. Circulating tumor DNA (ctDNA) is tumor-derived fragmented DNA that circulates in the blood. Herein we report a case that ctDNA facilitated the diagnosis of synchronous urothelial carcinoma (UC) and lung adenocarcinoma. A 58-year-old male patient was diagnosed with UC initially. Computed tomography (CT) revealed multiple metastases without the brain after surgery and adjuvant chemotherapy. However, the patient had a progressively worsened headache symbol during system therapy. We explored the genome variations using next-generation sequencing (NGS). and mutations were detected from UC surgical tissue and postoperative ctDNA. Unexpectedly, the epidermal growth factor receptor () exon 19 deletion (19del) mutation, which is common in non-small cell lung cancer (NSCLC), was also identified in ctDNA. Pathological analysis of a neck lymph node confirmed adenocarcinoma derived from the lung. Meanwhile, 19del was detected in neck lymph node biopsy. The ctDNA contained both UC and lung adenocarcinoma-derived mutations. Thus, the diagnosis was modified into synchronous UC and lung adenocarcinoma. Interestingly, the lung adenocarcinoma-derived lesions responded well to osimertinib (80mg, once daily), while the UC did not. His headache rapidly subsided and disappeared. This case demonstrates that ctDNA analysis may better capture the molecular heterogeneity harbored by multiple primary tumors in a patient and can facilitate the diagnosis and therapy of patients with simultaneous cancers.

摘要

多原发性癌症的诊断和治疗一直是临床实践中的巨大挑战。循环肿瘤DNA(ctDNA)是肿瘤来源的片段化DNA,存在于血液中循环。在此,我们报告一例ctDNA有助于同步性尿路上皮癌(UC)和肺腺癌诊断的病例。一名58岁男性患者最初被诊断为UC。计算机断层扫描(CT)显示术后及辅助化疗后出现多处转移,但无脑部转移。然而,该患者在系统治疗期间头痛症状逐渐加重。我们使用下一代测序(NGS)探索基因组变异。在UC手术组织和术后ctDNA中检测到了 和 突变。出乎意料的是,在ctDNA中还发现了非小细胞肺癌(NSCLC)中常见的表皮生长因子受体()外显子19缺失(19del)突变。颈部淋巴结病理分析证实为肺源性腺癌。同时,在颈部淋巴结活检中检测到19del。ctDNA中同时含有UC和肺腺癌来源的突变。因此,诊断修正为同步性UC和肺腺癌。有趣的是,肺腺癌来源的病灶对奥希替尼(80mg,每日一次)反应良好,而UC则不然。他的头痛迅速缓解并消失。该病例表明,ctDNA分析可能更好地捕捉患者多种原发性肿瘤所具有的分子异质性,并有助于同时患有多种癌症患者的诊断和治疗。

https://cdn.ncbi.nlm.nih.gov/pmc/blobs/34a8/7661894/9a172d7aaeb5/atm-08-20-1323-fS.1.jpg
https://cdn.ncbi.nlm.nih.gov/pmc/blobs/34a8/7661894/9626e49ea42c/atm-08-20-1323-f1.jpg
https://cdn.ncbi.nlm.nih.gov/pmc/blobs/34a8/7661894/092c2eab4a00/atm-08-20-1323-f2.jpg
https://cdn.ncbi.nlm.nih.gov/pmc/blobs/34a8/7661894/9a172d7aaeb5/atm-08-20-1323-fS.1.jpg
https://cdn.ncbi.nlm.nih.gov/pmc/blobs/34a8/7661894/9626e49ea42c/atm-08-20-1323-f1.jpg
https://cdn.ncbi.nlm.nih.gov/pmc/blobs/34a8/7661894/092c2eab4a00/atm-08-20-1323-f2.jpg
https://cdn.ncbi.nlm.nih.gov/pmc/blobs/34a8/7661894/9a172d7aaeb5/atm-08-20-1323-fS.1.jpg

相似文献

1
ctDNA facilitated the diagnosis of a patient with synchronous urothelial carcinoma and non-small cell lung cancer: case report.循环肿瘤DNA助力同步性尿路上皮癌和非小细胞肺癌患者的诊断:病例报告
Ann Transl Med. 2020 Oct;8(20):1323. doi: 10.21037/atm-20-6552.
2
[Detection of circulating tumor DNA in epidermal growth factor receptor-TKI relapsed non-small cell lung cancer patients using next-generation sequencing and an analysis of the resistant mechanisms].[利用二代测序检测表皮生长因子受体-酪氨酸激酶抑制剂复发的非小细胞肺癌患者循环肿瘤DNA并分析耐药机制]
Zhonghua Bing Li Xue Za Zhi. 2018 Dec 8;47(12):904-909. doi: 10.3760/cma.j.issn.0529-5807.2018.12.002.
3
Circulating tumor DNA accurately predicts disease progression and genotype alterations in postoperative adjuvant EGFR-TKI resistance: a case report.循环肿瘤DNA准确预测术后辅助性表皮生长因子受体酪氨酸激酶抑制剂耐药中的疾病进展和基因型改变:一例报告
Transl Lung Cancer Res. 2022 Sep;11(9):1961-1966. doi: 10.21037/tlcr-22-562.
4
Detection of circulating tumor DNA from non-small cell lung cancer brain metastasis in cerebrospinal fluid samples.检测非小细胞肺癌脑转移患者脑脊液样本中的循环肿瘤 DNA。
Thorac Cancer. 2020 Mar;11(3):588-593. doi: 10.1111/1759-7714.13300. Epub 2020 Jan 13.
5
The Landscape of Actionable Genomic Alterations by Next-Generation Sequencing in Tumor Tissue Versus Circulating Tumor DNA in Chinese Patients With Non-Small Cell Lung Cancer.中国非小细胞肺癌患者肿瘤组织与循环肿瘤DNA中可操作基因组改变的二代测序图谱
Front Oncol. 2022 Feb 22;11:751106. doi: 10.3389/fonc.2021.751106. eCollection 2021.
6
Comparative study on the mutation spectrum of tissue DNA and blood ctDNA in patients with non-small cell lung cancer.非小细胞肺癌患者组织DNA与血液循环肿瘤DNA(ctDNA)突变谱的比较研究
Transl Cancer Res. 2022 May;11(5):1245-1254. doi: 10.21037/tcr-22-970.
7
Osimertinib Quantitative and Gene Variation Analyses in Cerebrospinal Fluid and Plasma of a Non-small Cell Lung Cancer Patient with Leptomeningeal Metastases.奥希替尼在非小细胞肺癌伴脑膜转移患者脑脊液和血浆中的定量和基因变异分析。
Curr Cancer Drug Targets. 2019;19(8):666-673. doi: 10.2174/1568009618666181017114111.
8
Cell-free circulating tumor DNA supplementing tissue biopsies for identification of targetable mutations: Implications for precision medicine and considerations for reconciling results.游离循环肿瘤DNA补充组织活检用于识别可靶向突变:对精准医学的意义及结果协调的考量
Lung Cancer. 2017 Sep;111:135-138. doi: 10.1016/j.lungcan.2017.06.015. Epub 2017 Jun 23.
9
Target-based genomic profiling of ctDNA from Chinese non-small cell lung cancer patients: a result of real-world data.中国非小细胞肺癌患者 ctDNA 的基于靶点的基因组分析:真实世界数据的结果。
J Cancer Res Clin Oncol. 2020 Jul;146(7):1867-1876. doi: 10.1007/s00432-020-03192-z. Epub 2020 Mar 27.
10
Detection of epidermal growth factor receptor () mutations from preoperative circulating tumor DNA (ctDNA) as a prognostic predictor for stage I-III non-small cell lung cancer (NSCLC) patients with baseline tissue mutations.从术前循环肿瘤DNA(ctDNA)检测表皮生长因子受体()突变,作为基线组织有突变的I-III期非小细胞肺癌(NSCLC)患者的预后预测指标。
Transl Lung Cancer Res. 2021 Jul;10(7):3213-3225. doi: 10.21037/tlcr-21-530.

引用本文的文献

1
The Correlation between Plasma Circulating Tumor DNA and Radiographic Tumor Burden.血浆循环肿瘤 DNA 与影像学肿瘤负担的相关性。
J Mol Diagn. 2024 Nov;26(11):952-961. doi: 10.1016/j.jmoldx.2024.07.001. Epub 2024 Aug 22.
2
Immune cell-lipoprotein imbalance as a marker for early diagnosis of non-small cell lung cancer metastasis.免疫细胞-脂蛋白失衡作为非小细胞肺癌转移早期诊断的标志物
Front Oncol. 2022 Oct 24;12:942964. doi: 10.3389/fonc.2022.942964. eCollection 2022.
3
Circulating Tumor DNA Testing Supports Rapid Therapeutic Decision-Making in Metastatic Melanoma: A Case Report.

本文引用的文献

1
The role of avelumab in advanced urothelial carcinoma in the context of a dynamic treatment landscape.在动态治疗格局背景下,阿维鲁单抗在晚期尿路上皮癌中的作用。
Transl Cancer Res. 2019 Mar;8(Suppl 2):S130-S132. doi: 10.21037/tcr.2018.12.04.
2
Erdafitinib in Locally Advanced or Metastatic Urothelial Carcinoma.厄达替尼治疗局部晚期或转移性尿路上皮癌。
N Engl J Med. 2019 Jul 25;381(4):338-348. doi: 10.1056/NEJMoa1817323.
3
Analysis of Plasma Cell-Free DNA by Ultradeep Sequencing in Patients With Stages I to III Colorectal Cancer.
循环肿瘤DNA检测助力转移性黑色素瘤的快速治疗决策:一例报告
Front Oncol. 2022 Jun 10;12:846187. doi: 10.3389/fonc.2022.846187. eCollection 2022.
I至III期结直肠癌患者血浆游离DNA的深度测序分析
JAMA Oncol. 2019 Aug 1;5(8):1124-1131. doi: 10.1001/jamaoncol.2019.0528.
4
Pembrolizumab for all PD-L1-positive NSCLC.帕博利珠单抗用于所有PD-L1阳性非小细胞肺癌。
Lancet. 2019 May 4;393(10183):1776-1778. doi: 10.1016/S0140-6736(18)32559-5. Epub 2019 Apr 4.
5
Randomized Phase 1 Trial of Pembrolizumab with Sequential Versus Concomitant Stereotactic Body Radiotherapy in Metastatic Urothelial Carcinoma.帕博利珠单抗序贯与同步立体定向放疗治疗转移性尿路上皮癌的随机 1 期临床试验。
Eur Urol. 2019 May;75(5):707-711. doi: 10.1016/j.eururo.2019.01.009. Epub 2019 Jan 19.
6
Cancer statistics, 2019.癌症统计数据,2019 年。
CA Cancer J Clin. 2019 Jan;69(1):7-34. doi: 10.3322/caac.21551. Epub 2019 Jan 8.
7
Application of Cell-free DNA Analysis to Cancer Treatment.游离DNA分析在癌症治疗中的应用。
N Engl J Med. 2018 Nov 1;379(18):1754-1765. doi: 10.1056/NEJMra1706174.
8
The current role and future directions of circulating tumor cells and circulating tumor DNA in urothelial carcinoma of the bladder.循环肿瘤细胞和循环肿瘤 DNA 在膀胱癌中的当前作用和未来方向。
World J Urol. 2019 Sep;37(9):1785-1799. doi: 10.1007/s00345-018-2543-9. Epub 2018 Oct 26.
9
Detection and differential diagnosis of cancer relapse using circulating tumor DNA profiling in a patient with synchronous breast and rectal cancer.利用循环肿瘤 DNA 谱分析在一名同时患有乳腺癌和直肠癌的患者中检测和鉴别癌症复发。
Cancer Biol Ther. 2019;20(2):141-144. doi: 10.1080/15384047.2018.1523850. Epub 2018 Sep 26.
10
Comprehensive Characterization of Cancer Driver Genes and Mutations.全面描绘癌症驱动基因和突变。
Cell. 2018 Apr 5;173(2):371-385.e18. doi: 10.1016/j.cell.2018.02.060.