Suppr超能文献

不同硬质小麦品种的 gluten 引发乳糜泻的多样性潜力:一种多层次的体外、离体和体内研究方法。

The Diverse Potential of Gluten from Different Durum Wheat Varieties in Triggering Celiac Disease: A Multilevel In Vitro, Ex Vivo and In Vivo Approach.

机构信息

Gastroenterology and Endoscopy Unit, University Hospital of Parma, University of Parma, via Gramsci 14, 43126 Parma, Italy.

Interdepartmental Center Biopharmanet-tec, Parco Area delle Scienze, University of Parma, 43124 Parma, Italy.

出版信息

Nutrients. 2020 Nov 20;12(11):3566. doi: 10.3390/nu12113566.

Abstract

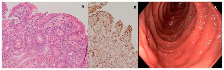
The reasons behind the increasing prevalence of celiac disease (CD) worldwide are still not fully understood. This study adopted a multilevel approach (in vitro, ex vivo, in vivo) to assess the potential of gluten from different wheat varieties in triggering CD. Peptides triggering CD were identified and quantified in mixtures generated from simulated gastrointestinal digestion of wheat varieties ( = 82). Multivariate statistics enabled the discrimination of varieties generating low impact on CD (e.g., Saragolla) and high impact (e.g., Cappelli). Enrolled subjects ( = 46) were: 19 healthy subjects included in the control group; 27 celiac patients enrolled for the in vivo phase. Celiacs were divided into a gluten-free diet group (CD-GFD), and a GFD with Saragolla-based pasta group (CD-Sar). The diet was followed for 3 months. Data were compared between CD-Sar and CD-GFD before and after the experimental diet, demonstrating a limited ability of Saragolla to trigger immunity, although not comparable to a GFD. Ex vivo studies showed that Saragolla and Cappelli activated immune responses, although with great variability among patients. The diverse potential of durum wheat varieties in triggering CD immune response was demonstrated. Saragolla is not indicated for celiacs, yet it has a limited potential to trigger adverse immune response.

摘要

乳糜泻(CD)在全球范围内的患病率不断上升的原因仍不完全清楚。本研究采用多水平方法(体外、离体、体内)来评估来自不同小麦品种的麸质引发 CD 的潜力。从不同小麦品种的模拟胃肠道消化混合物中鉴定和定量了触发 CD 的肽。多元统计分析能够区分产生低影响(例如,Saragolla)和高影响(例如,Cappelli)的品种。纳入的受试者(n=46)为:19 名健康受试者纳入对照组;27 名乳糜泻患者纳入体内阶段。乳糜泻患者分为无麸质饮食组(CD-GFD)和以 Saragolla 为基础的意大利面饮食组(CD-Sar)。饮食遵循 3 个月。在实验饮食前后比较 CD-Sar 和 CD-GFD 之间的数据,尽管与无麸质饮食相比,Saragolla 引发免疫的能力有限。离体研究表明,Saragolla 和 Cappelli 激活了免疫反应,但患者之间存在很大的变异性。证明了硬粒小麦品种在引发 CD 免疫反应方面的不同潜力。Saragolla 不适合乳糜泻患者,但它引发不良免疫反应的潜力有限。

https://cdn.ncbi.nlm.nih.gov/pmc/blobs/2ac2/7699868/b429c8c655e9/nutrients-12-03566-g001.jpg

文献检索

告别复杂PubMed语法,用中文像聊天一样搜索,搜遍4000万医学文献。AI智能推荐,让科研检索更轻松。

立即免费搜索

文件翻译

保留排版,准确专业,支持PDF/Word/PPT等文件格式,支持 12+语言互译。

免费翻译文档

深度研究

AI帮你快速写综述,25分钟生成高质量综述,智能提取关键信息,辅助科研写作。

立即免费体验