• 文献检索
  • 文档翻译
  • 深度研究
  • 学术资讯
  • Suppr Zotero 插件Zotero 插件
  • 邀请有礼
  • 套餐&价格
  • 历史记录
应用&插件
Suppr Zotero 插件Zotero 插件浏览器插件Mac 客户端Windows 客户端微信小程序
定价
高级版会员购买积分包购买API积分包
服务
文献检索文档翻译深度研究API 文档MCP 服务
关于我们
关于 Suppr公司介绍联系我们用户协议隐私条款
关注我们

Suppr 超能文献

核心技术专利:CN118964589B侵权必究
粤ICP备2023148730 号-1Suppr @ 2026

文献检索

告别复杂PubMed语法,用中文像聊天一样搜索,搜遍4000万医学文献。AI智能推荐,让科研检索更轻松。

立即免费搜索

文件翻译

保留排版,准确专业,支持PDF/Word/PPT等文件格式,支持 12+语言互译。

免费翻译文档

深度研究

AI帮你快速写综述,25分钟生成高质量综述,智能提取关键信息,辅助科研写作。

立即免费体验

口服阿昔洛韦药物成功治疗亚洲象幼崽的象内皮嗜性疱疹病毒感染:病例报告

Successful treatment of elephant endotheliotropic herpesvirus infection in an Asian elephant (Elephas maximus) calf by oral acyclovir medication: Case report.

作者信息

Khammesri Siripat, Mathura Yaoprapa, Boonprasert Khajohnpat, Ampasavate Chadarat, Hongwiset Darunee, Brown Janine L, Thitaram Chatchote

机构信息

Graduate Program in Veterinary Science, Faculty of Veterinary Medicine, Chiang Mai University, 155, Mae Hia, Muang, Chiang Mai, 50100, Thailand.

Center of Elephant and Wildlife Research, Faculty of Veterinary Medicine, Chiang Mai University, 155, Mae Hia, Muang, Chiang Mai, 50100, Thailand.

出版信息

J Vet Med Sci. 2021 Jan 14;83(1):125-129. doi: 10.1292/jvms.20-0375. Epub 2020 Nov 25.

DOI:10.1292/jvms.20-0375
PMID:33239478
原文链接:https://pmc.ncbi.nlm.nih.gov/articles/PMC7870404/
Abstract

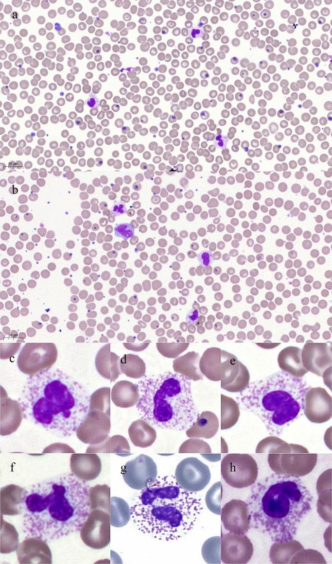
Elephant endotheliotropic herpesvirus (EEHV) is a major cause of death in Asian elephant (Elephas maximus) calves. A 2-year, 11-month-old female, captive Asian elephant presented with facial edema and a mild fever. Blood samples were collected and showed EEHV1A positivity with a high viral load by real time PCR. Heterophil toxicity also was reported for the first time in this case. The calf was treated orally with acyclovir, 45 mg/kg tid for 28 days, which reduced the EEHV1A viral load to undetectable levels within 9 days and the calf survived. A successful outcome with oral acyclovir administration provides another and affordable option to treat EEHV hemorrhagic disease in Asian elephants, and one that is easier to administer in untrained calves.

摘要

大象内皮嗜性疱疹病毒(EEHV)是亚洲象(Elephas maximus)幼崽死亡的主要原因。一头2岁11个月大的圈养亚洲象雌性幼崽出现面部水肿和低热。采集血样,通过实时PCR检测显示EEHV1A呈阳性且病毒载量高。该病例还首次报告了异嗜性毒性。给这头幼象口服阿昔洛韦进行治疗,剂量为45毫克/千克,每日3次,持续28天,这使得EEHV1A病毒载量在9天内降至检测不到的水平,幼象存活下来。口服阿昔洛韦治疗取得成功,为治疗亚洲象的EEHV出血性疾病提供了另一种经济实惠的选择,而且在未经训练的幼象中更易于给药。

https://cdn.ncbi.nlm.nih.gov/pmc/blobs/a653/7870404/536860414264/jvms-83-125-g002.jpg
https://cdn.ncbi.nlm.nih.gov/pmc/blobs/a653/7870404/a4a2cb95ae27/jvms-83-125-g001.jpg
https://cdn.ncbi.nlm.nih.gov/pmc/blobs/a653/7870404/536860414264/jvms-83-125-g002.jpg
https://cdn.ncbi.nlm.nih.gov/pmc/blobs/a653/7870404/a4a2cb95ae27/jvms-83-125-g001.jpg
https://cdn.ncbi.nlm.nih.gov/pmc/blobs/a653/7870404/536860414264/jvms-83-125-g002.jpg

相似文献

1
Successful treatment of elephant endotheliotropic herpesvirus infection in an Asian elephant (Elephas maximus) calf by oral acyclovir medication: Case report.口服阿昔洛韦药物成功治疗亚洲象幼崽的象内皮嗜性疱疹病毒感染:病例报告
J Vet Med Sci. 2021 Jan 14;83(1):125-129. doi: 10.1292/jvms.20-0375. Epub 2020 Nov 25.
2
SUCCESSFUL TREATMENT OF A CLINICAL ELEPHANT ENDOTHELIOTROPIC HERPESVIRUS INFECTION: THE DYNAMICS OF VIRAL LOAD, GENOTYPE ANALYSIS, AND TREATMENT WITH ACYCLOVIR.临床大象嗜内皮性疱疹病毒感染的成功治疗:病毒载量动态、基因型分析及阿昔洛韦治疗
J Zoo Wildl Med. 2017 Dec;48(4):1254-1259. doi: 10.1638/2016-0141R1.1.
3
ELEPHANT ENDOTHELIOTROPIC HERPESVIRUS ASSOCIATED WITH CLOSTRIDIUM PERFRINGENS INFECTION IN TWO ASIAN ELEPHANT ( ELEPHAS MAXIMUS) CALVES.亚洲象(Elephas maximus)幼崽中与产气荚膜梭菌感染相关的大象内皮嗜性疱疹病毒
J Zoo Wildl Med. 2018 Mar;49(1):178-182. doi: 10.1638/2017-0001R1.1.
4
IDENTIFICATION OF TWO LETHAL CASES OF ELEPHANT ENDOTHELIOTROPIC HERPESVIRUS HEMORRHAGIC DISEASE IN SUMATRAN ELEPHANT CALVES IN INDONESIA.印度尼西亚苏门答腊幼象中两例致命性内皮细胞疱疹病毒出血性疾病的鉴定。
J Zoo Wildl Med. 2021 Jan;51(4):985-993. doi: 10.1638/2020-0003.
5
NOVEL DIAGNOSTIC AND THERAPEUTIC APPROACHES TO ELEPHANT ENDOTHELIOTROPIC HERPESVIRUS 1A HEMORRHAGIC DISEASE IN A CAPTIVE JUVENILE ASIAN ELEPHANT ().新型诊断和治疗方法用于治疗圈养亚洲幼象中内皮嗜性疱疹病毒 1A 出血性疾病()。
J Zoo Wildl Med. 2022 Mar;53(1):232-240. doi: 10.1638/2021-0096.
6
Clinical characteristics of elephant endotheliotropic herpesvirus (EEHV) cases in Asian elephants () in Thailand during 2006-2019.2006-2019 年期间泰国亚洲象()中感染象疱疹病毒(EEHV)的临床特征。
Vet Q. 2021 Dec;41(1):268-279. doi: 10.1080/01652176.2021.1980633.
7
The occurrence of elephant endotheliotropic herpesvirus in captive Asian elephants (Elephas maximus): first case of EEHV4 in Asia.圈养亚洲象(Elephas maximus)中象内皮嗜性疱疹病毒的出现:亚洲首例EEHV4感染病例。
J Zoo Wildl Med. 2013 Mar;44(1):100-4. doi: 10.1638/1042-7260-44.1.100.
8
Effects of between and within Herd Moves on Elephant Endotheliotropic Herpesvirus (EEHV) Recrudescence and Shedding in Captive Asian Elephants ().畜群迁移的内外因素对圈养亚洲象内皮细胞疱疹病毒(EEHV)复发和脱落的影响()。
Viruses. 2022 Jan 24;14(2):229. doi: 10.3390/v14020229.
9
THE IMPACT OF ELEPHANT ENDOTHELIOTROPIC HERPESVIRUS ON THE CAPTIVE ASIAN ELEPHANT (ELEPHAS MAXIMUS) POPULATION OF THE UNITED KINGDOM AND IRELAND (1995-2013).大象嗜内皮细胞性疱疹病毒对英国和爱尔兰圈养亚洲象(印度象)种群的影响(1995 - 2013年)
J Zoo Wildl Med. 2016 Jun;47(2):405-18. doi: 10.1638/2015-0217.1.
10
CLINICAL INFECTION OF CAPTIVE ASIAN ELEPHANTS (ELEPHAS MAXIMUS) WITH ELEPHANT ENDOTHELIOTROPIC HERPESVIRUS 4.圈养亚洲象(印度象)感染大象嗜内皮细胞性疱疹病毒4的临床感染情况
J Zoo Wildl Med. 2016 Mar;47(1):311-8. doi: 10.1638/2015-0072.1.

引用本文的文献

1
Multi-Antigen Elephant Endotheliotropic Herpesvirus (EEHV) mRNA Vaccine Induces Humoral and Cell-Mediated Responses in Mice.多抗原象内皮嗜性疱疹病毒(EEHV)mRNA疫苗在小鼠中诱导体液和细胞介导的免疫反应。
Vaccines (Basel). 2024 Dec 18;12(12):1429. doi: 10.3390/vaccines12121429.
2
Characterizations of Elephant Endotheliotropic Herpesvirus Type 1A and 4 Co-Infections in Asian Elephant () Calves.亚洲象幼崽中1A 型和4型大象嗜内皮性疱疹病毒共感染的特征
Vet Sci. 2024 Mar 25;11(4):147. doi: 10.3390/vetsci11040147.
3
Pharmacokinetics and analytical determination of acyclovir in Asian elephant calves ().

本文引用的文献

1
Retest positive for SARS-CoV-2 RNA of "recovered" patients with COVID-19: Persistence, sampling issues, or re-infection?新冠肺炎“康复”患者的 SARS-CoV-2 RNA 复测阳性:持续性、采样问题还是再感染?
J Med Virol. 2020 Nov;92(11):2263-2265. doi: 10.1002/jmv.26114. Epub 2020 Jun 9.
2
The antiviral properties of vitamin C.维生素C的抗病毒特性。
Expert Rev Anti Infect Ther. 2020 Feb;18(2):99-101. doi: 10.1080/14787210.2020.1706483. Epub 2019 Dec 23.
3
Immunomodulatory and Antimicrobial Effects of Vitamin C.维生素C的免疫调节和抗菌作用。
亚洲象幼崽中阿昔洛韦的药代动力学及分析测定()。
Vet Anim Sci. 2021 Dec 24;15:100227. doi: 10.1016/j.vas.2021.100227. eCollection 2022 Mar.
4
The first reported cases of elephant endotheliotropic herpesvirus infectious haemorrhagic disease in Malaysia: case report.马来西亚首例报告的大象内皮疱疹病毒传染性出血热病例:病例报告。
Virol J. 2021 Nov 24;18(1):231. doi: 10.1186/s12985-021-01694-x.
5
Clinical characteristics of elephant endotheliotropic herpesvirus (EEHV) cases in Asian elephants () in Thailand during 2006-2019.2006-2019 年期间泰国亚洲象()中感染象疱疹病毒(EEHV)的临床特征。
Vet Q. 2021 Dec;41(1):268-279. doi: 10.1080/01652176.2021.1980633.
Eur J Microbiol Immunol (Bp). 2019 Aug 16;9(3):73-79. doi: 10.1556/1886.2019.00016. eCollection 2019 Oct 3.
4
Survival analysis of confirmed elephant endotheliotropic herpes virus cases in Thailand from 2006 - 2018.2006-2018 年泰国确诊大象内皮疱疹病毒病例的生存分析。
PLoS One. 2019 Jul 5;14(7):e0219288. doi: 10.1371/journal.pone.0219288. eCollection 2019.
5
USING IN-HOUSE HEMATOLOGY TO DIRECT DECISION-MAKING IN THE SUCCESSFUL TREATMENT AND MONITORING OF A CLINICAL AND SUBSEQUENTLY SUBCLINICAL CASE OF ELEPHANT ENDOTHELIOTROPIC HERPESVIRUS 1B.利用内部血液学指导大象嗜内皮性疱疹病毒1B临床及后续亚临床病例的成功治疗与监测决策。
J Zoo Wildl Med. 2019 Jun 13;50(2):498-502. doi: 10.1638/2018-0096.
6
SUCCESSFUL TREATMENT OF A CLINICAL ELEPHANT ENDOTHELIOTROPIC HERPESVIRUS INFECTION: THE DYNAMICS OF VIRAL LOAD, GENOTYPE ANALYSIS, AND TREATMENT WITH ACYCLOVIR.临床大象嗜内皮性疱疹病毒感染的成功治疗:病毒载量动态、基因型分析及阿昔洛韦治疗
J Zoo Wildl Med. 2017 Dec;48(4):1254-1259. doi: 10.1638/2016-0141R1.1.
7
First report of changes in leukocyte morphology in response to inflammatory conditions in Asian and African elephants (Elephas maximus and Loxodonta africana).亚洲象(印度象)和非洲象(非洲草原象)白细胞形态对炎症反应变化的首次报告
PLoS One. 2017 Sep 21;12(9):e0185277. doi: 10.1371/journal.pone.0185277. eCollection 2017.
8
Surviving and fatal Elephant Endotheliotropic Herpesvirus-1A infections in juvenile Asian elephants - lessons learned and recommendations on anti-herpesviral therapy.幼年亚洲象中大象嗜内皮细胞性疱疹病毒1A感染的存活与致死情况——经验教训及抗疱疹病毒治疗建议
BMC Vet Res. 2016 Aug 27;12(1):178. doi: 10.1186/s12917-016-0806-5.
9
Association of Presence of Band Cells and Toxic Neutrophils with Systemic Inflammatory Response Syndrome and Outcome in Horses with Acute Disease.杆状核细胞和中毒性中性粒细胞的存在与患有急性疾病马匹的全身炎症反应综合征及预后的相关性
J Vet Intern Med. 2016 Jul;30(4):1284-92. doi: 10.1111/jvim.13968. Epub 2016 May 23.
10
Review of Elephant Endotheliotropic Herpesviruses and Acute Hemorrhagic Disease.大象嗜内皮细胞疱疹病毒与急性出血性疾病综述
ILAR J. 2016;56(3):283-96. doi: 10.1093/ilar/ilv041.