• 文献检索
  • 文档翻译
  • 深度研究
  • 学术资讯
  • Suppr Zotero 插件Zotero 插件
  • 邀请有礼
  • 套餐&价格
  • 历史记录
应用&插件
Suppr Zotero 插件Zotero 插件浏览器插件Mac 客户端Windows 客户端微信小程序
定价
高级版会员购买积分包购买API积分包
服务
文献检索文档翻译深度研究API 文档MCP 服务
关于我们
关于 Suppr公司介绍联系我们用户协议隐私条款
关注我们

Suppr 超能文献

核心技术专利:CN118964589B侵权必究
粤ICP备2023148730 号-1Suppr @ 2026

文献检索

告别复杂PubMed语法,用中文像聊天一样搜索,搜遍4000万医学文献。AI智能推荐,让科研检索更轻松。

立即免费搜索

文件翻译

保留排版,准确专业,支持PDF/Word/PPT等文件格式,支持 12+语言互译。

免费翻译文档

深度研究

AI帮你快速写综述,25分钟生成高质量综述,智能提取关键信息,辅助科研写作。

立即免费体验

一些端粒中(TCAGGG)重复序列的缺失,加上对 NR2F2 耗竭的可变反应,表明这种核受体在端粒的替代性延长中起间接作用。

The absence of (TCAGGG) repeats in some telomeres, combined with variable responses to NR2F2 depletion, suggest that this nuclear receptor plays an indirect role in the alternative lengthening of telomeres.

机构信息

Department of Genetics and Genome Biology, University of Leicester, Leicester, LE1 3HE, UK.

出版信息

Sci Rep. 2020 Nov 26;10(1):20597. doi: 10.1038/s41598-020-77606-w.

DOI:10.1038/s41598-020-77606-w
PMID:33244044
原文链接:https://pmc.ncbi.nlm.nih.gov/articles/PMC7691514/
Abstract

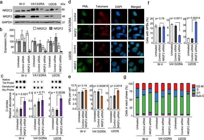
The alternative lengthening of telomeres (ALT) facilitates telomere lengthening by a DNA strand invasion and copying mechanism. The nuclear receptors (NRs), NR2F2 and NR2C2, can bind to (TCAGGG) variant repeats within telomeres and it has been proposed that this facilitates telomere interactions in ALT+ cells. Here we show that the frequency of cells with detectable NR2F2 and NR2C2 nuclear foci varies considerably between ALT+ cell lines and does not correlate with the level of protein expression. In addition, four of five ALT+ cell lines lack (TCAGGG) repeats in some telomeres, indicating that direct NR binding does not play a role in ALT at these telomeres. NR2F2-depletion altered the abundance of C-circles and APBs but the direction of the response was inconsistent between three ALT+ cell lines. Moreover, transcriptome analysis following NR2F2-depletion in the ALT+ cell lines revealed different very responses. For example, NR2F2-depletion down-regulated many genes in U2OS cells, consistent with the cell cycle arrest and changes to ALT markers, but these features were not shared by the other two ALT+ cell lines. Among 86 ALT-associated genes, only MND1 showed consistent down-regulation across three NR2F2-depleted ALT+ cell lines. Altogether our data suggest that NR2F2 does not play a direct role in ALT and we speculate about an alternative role for this NR in a DNA damage response at telomeres.

摘要

端粒的替代性延长(ALT)通过 DNA 链入侵和复制机制促进端粒的延长。核受体(NRs)NR2F2 和 NR2C2 可以与端粒内的(TCAGGG)变体重复序列结合,有人提出这有助于 ALT+细胞中的端粒相互作用。在这里,我们表明,具有可检测的 NR2F2 和 NR2C2 核焦点的细胞频率在 ALT+细胞系之间差异很大,并且与蛋白表达水平无关。此外,在五个 ALT+细胞系中的四个中,一些端粒中缺乏(TCAGGG)重复序列,这表明直接 NR 结合在这些端粒上不参与 ALT。NR2F2 耗竭改变了 C- 圈和 APBs 的丰度,但在三个 ALT+细胞系之间,反应的方向不一致。此外,在 ALT+细胞系中进行 NR2F2 耗竭后的转录组分析显示出不同的反应。例如,NR2F2 耗竭在 U2OS 细胞中下调了许多基因,这与细胞周期停滞和 ALT 标志物的变化一致,但这两个特征在其他两个 ALT+细胞系中并不共享。在 86 个与 ALT 相关的基因中,只有 MND1 在三个 NR2F2 耗尽的 ALT+细胞系中均表现出一致的下调。总的来说,我们的数据表明 NR2F2 不直接参与 ALT,我们推测这种 NR 在端粒的 DNA 损伤反应中具有替代作用。

https://cdn.ncbi.nlm.nih.gov/pmc/blobs/6679/7691514/71ebfa6a5e80/41598_2020_77606_Fig5_HTML.jpg
https://cdn.ncbi.nlm.nih.gov/pmc/blobs/6679/7691514/a1a19c06af61/41598_2020_77606_Fig1_HTML.jpg
https://cdn.ncbi.nlm.nih.gov/pmc/blobs/6679/7691514/02c1bcc104ef/41598_2020_77606_Fig2_HTML.jpg
https://cdn.ncbi.nlm.nih.gov/pmc/blobs/6679/7691514/2f68f58f491d/41598_2020_77606_Fig3_HTML.jpg
https://cdn.ncbi.nlm.nih.gov/pmc/blobs/6679/7691514/4efb43ecc928/41598_2020_77606_Fig4_HTML.jpg
https://cdn.ncbi.nlm.nih.gov/pmc/blobs/6679/7691514/71ebfa6a5e80/41598_2020_77606_Fig5_HTML.jpg
https://cdn.ncbi.nlm.nih.gov/pmc/blobs/6679/7691514/a1a19c06af61/41598_2020_77606_Fig1_HTML.jpg
https://cdn.ncbi.nlm.nih.gov/pmc/blobs/6679/7691514/02c1bcc104ef/41598_2020_77606_Fig2_HTML.jpg
https://cdn.ncbi.nlm.nih.gov/pmc/blobs/6679/7691514/2f68f58f491d/41598_2020_77606_Fig3_HTML.jpg
https://cdn.ncbi.nlm.nih.gov/pmc/blobs/6679/7691514/4efb43ecc928/41598_2020_77606_Fig4_HTML.jpg
https://cdn.ncbi.nlm.nih.gov/pmc/blobs/6679/7691514/71ebfa6a5e80/41598_2020_77606_Fig5_HTML.jpg

相似文献

1
The absence of (TCAGGG) repeats in some telomeres, combined with variable responses to NR2F2 depletion, suggest that this nuclear receptor plays an indirect role in the alternative lengthening of telomeres.一些端粒中(TCAGGG)重复序列的缺失,加上对 NR2F2 耗竭的可变反应,表明这种核受体在端粒的替代性延长中起间接作用。
Sci Rep. 2020 Nov 26;10(1):20597. doi: 10.1038/s41598-020-77606-w.
2
Variant repeats are interspersed throughout the telomeres and recruit nuclear receptors in ALT cells.变异重复序列散布于端粒各处,并在 ALT 细胞中募集核受体。
J Cell Biol. 2012 Dec 10;199(6):893-906. doi: 10.1083/jcb.201207189.
3
Single-molecule analysis of subtelomeres and telomeres in Alternative Lengthening of Telomeres (ALT) cells.端粒外延长(ALT)细胞中端粒和亚端粒的单分子分析。
BMC Genomics. 2020 Jul 15;21(1):485. doi: 10.1186/s12864-020-06901-7.
4
Nuclear receptors regulate alternative lengthening of telomeres through a novel noncanonical FANCD2 pathway.核受体通过一种新的非典型 FANCD2 途径调节端粒的非经典延长。
Sci Adv. 2019 Oct 9;5(10):eaax6366. doi: 10.1126/sciadv.aax6366. eCollection 2019 Oct.
5
ZBTB10 binds the telomeric variant repeat TTGGGG and interacts with TRF2.ZBTB10 结合端粒变体重复 TTGGGG 并与 TRF2 相互作用。
Nucleic Acids Res. 2019 Feb 28;47(4):1896-1907. doi: 10.1093/nar/gky1289.
6
PML induces compaction, TRF2 depletion and DNA damage signaling at telomeres and promotes their alternative lengthening.PML在端粒处诱导压缩、TRF2缺失和DNA损伤信号传导,并促进其替代延长。
J Cell Sci. 2015 May 15;128(10):1887-900. doi: 10.1242/jcs.148296. Epub 2015 Apr 23.
7
Telomerase suppresses formation of ALT-associated single-stranded telomeric C-circles.端粒酶抑制 ALT 相关的单链端粒 C 环的形成。
Mol Cancer Res. 2013 Jun;11(6):557-67. doi: 10.1158/1541-7786.MCR-13-0013. Epub 2013 Mar 15.
8
DNA methylation mediated up-regulation of TERRA non-coding RNA is coincident with elongated telomeres in the human placenta.DNA甲基化介导的TERRA非编码RNA上调与人胎盘端粒延长同时发生。
Mol Hum Reprod. 2016 Nov;22(11):791-799. doi: 10.1093/molehr/gaw053. Epub 2016 Sep 7.
9
A novel telomere structure in a human alternative lengthening of telomeres cell line.一种人类端粒延长替代细胞系中的新型端粒结构。
Cancer Res. 2005 Apr 1;65(7):2730-7. doi: 10.1158/0008-5472.CAN-04-2888.
10
Hyperextended telomeres promote formation of C-circle DNA in telomerase positive human cells.端粒过度延伸促进端粒酶阳性人细胞中环 DNA 的形成。
J Biol Chem. 2023 May;299(5):104665. doi: 10.1016/j.jbc.2023.104665. Epub 2023 Mar 30.

引用本文的文献

1
The Structure of Simple Satellite Variation in the Human Genome and Its Correlation With Centromere Ancestry.人类基因组中简单卫星变异的结构及其与着丝粒祖先的关系。
Genome Biol Evol. 2024 Aug 5;16(8). doi: 10.1093/gbe/evae153.
2
Distinct characteristics of two types of alternative lengthening of telomeres in mouse embryonic stem cells.两种不同的端粒延长方式在小鼠胚胎干细胞中的特征。
Nucleic Acids Res. 2023 Sep 22;51(17):9122-9143. doi: 10.1093/nar/gkad617.
3
Identification of Key Proteins from the Alternative Lengthening of Telomeres-Associated Promyelocytic Leukemia Nuclear Bodies Pathway.

本文引用的文献

1
Genomic footprints of activated telomere maintenance mechanisms in cancer.癌症中端粒激活维持机制的基因组足迹。
Nat Commun. 2020 Feb 5;11(1):733. doi: 10.1038/s41467-019-13824-9.
2
Nuclear receptors regulate alternative lengthening of telomeres through a novel noncanonical FANCD2 pathway.核受体通过一种新的非典型 FANCD2 途径调节端粒的非经典延长。
Sci Adv. 2019 Oct 9;5(10):eaax6366. doi: 10.1126/sciadv.aax6366. eCollection 2019 Oct.
3
The FANCM-BLM-TOP3A-RMI complex suppresses alternative lengthening of telomeres (ALT).FANCM-BLM-TOP3A-RMI 复合物抑制端粒的 ALT 延长。
从端粒替代延长相关早幼粒细胞白血病核体途径中鉴定关键蛋白
Biology (Basel). 2022 Jan 25;11(2):185. doi: 10.3390/biology11020185.
4
Telomere Maintenance Pathway Activity Analysis Enables Tissue- and Gene-Level Inferences.端粒维持途径活性分析有助于进行组织和基因水平的推断。
Front Genet. 2021 Apr 7;12:662464. doi: 10.3389/fgene.2021.662464. eCollection 2021.
5
ALT: A Multi-Faceted Phenomenon.ALT:一个多方面的现象。
Genes (Basel). 2020 Jan 27;11(2):133. doi: 10.3390/genes11020133.
Nat Commun. 2019 May 28;10(1):2252. doi: 10.1038/s41467-019-10180-6.
4
Strand break-induced replication fork collapse leads to C-circles, C-overhangs and telomeric recombination.链断裂诱导的复制叉崩溃导致 C 环、C 突出和端粒重组。
PLoS Genet. 2019 Feb 4;15(2):e1007925. doi: 10.1371/journal.pgen.1007925. eCollection 2019 Feb.
5
Alternative Lengthening of Telomeres through Two Distinct Break-Induced Replication Pathways.通过两种不同的断裂诱导复制途径来延长端粒。
Cell Rep. 2019 Jan 22;26(4):955-968.e3. doi: 10.1016/j.celrep.2018.12.102.
6
ZBTB10 binds the telomeric variant repeat TTGGGG and interacts with TRF2.ZBTB10 结合端粒变体重复 TTGGGG 并与 TRF2 相互作用。
Nucleic Acids Res. 2019 Feb 28;47(4):1896-1907. doi: 10.1093/nar/gky1289.
7
Shelterin-Mediated Telomere Protection.端粒保护的庇护体机制。
Annu Rev Genet. 2018 Nov 23;52:223-247. doi: 10.1146/annurev-genet-032918-021921. Epub 2018 Sep 12.
8
TERRA recruitment of polycomb to telomeres is essential for histone trymethylation marks at telomeric heterochromatin.TERRA 招募多梳蛋白到端粒对于端粒异染色质的组蛋白三甲基化标记是必不可少的。
Nat Commun. 2018 Apr 18;9(1):1548. doi: 10.1038/s41467-018-03916-3.
9
TERRA RNA Antagonizes ATRX and Protects Telomeres.端粒重复序列RNA(TERRA)拮抗ATRX并保护端粒。
Cell. 2017 Jun 29;170(1):86-101.e16. doi: 10.1016/j.cell.2017.06.017.
10
Break-induced telomere synthesis underlies alternative telomere maintenance.断裂诱导的端粒合成是替代性端粒维持的基础。
Nature. 2016 Nov 3;539(7627):54-58. doi: 10.1038/nature20099. Epub 2016 Oct 19.