• 文献检索
  • 文档翻译
  • 深度研究
  • 学术资讯
  • Suppr Zotero 插件Zotero 插件
  • 邀请有礼
  • 套餐&价格
  • 历史记录
应用&插件
Suppr Zotero 插件Zotero 插件浏览器插件Mac 客户端Windows 客户端微信小程序
定价
高级版会员购买积分包购买API积分包
服务
文献检索文档翻译深度研究API 文档MCP 服务
关于我们
关于 Suppr公司介绍联系我们用户协议隐私条款
关注我们

Suppr 超能文献

核心技术专利:CN118964589B侵权必究
粤ICP备2023148730 号-1Suppr @ 2026

文献检索

告别复杂PubMed语法,用中文像聊天一样搜索,搜遍4000万医学文献。AI智能推荐,让科研检索更轻松。

立即免费搜索

文件翻译

保留排版,准确专业,支持PDF/Word/PPT等文件格式,支持 12+语言互译。

免费翻译文档

深度研究

AI帮你快速写综述,25分钟生成高质量综述,智能提取关键信息,辅助科研写作。

立即免费体验

早期诊断和在次优二次细胞减灭术中植入 125I 种子可改善复发性上皮性卵巢癌的预后:病例报告和文献复习。

Improved prognosis for recurrent epithelial ovarian cancer by early diagnosis and 125I seeds implantation during suboptimal secondary cytoreductive surgery: a case report and literature review.

机构信息

Department of Gynecology, the First Affiliated Hospital of Chongqing Medical University, Chongqing, 400016, China.

Department of Nuclear medicine, the First Affiliated Hospital of Chongqing Medical University, Chongqing, 400016, China.

出版信息

J Ovarian Res. 2020 Nov 30;13(1):141. doi: 10.1186/s13048-020-00744-2.

DOI:10.1186/s13048-020-00744-2
PMID:33250044
原文链接:https://pmc.ncbi.nlm.nih.gov/articles/PMC7702710/
Abstract

BACKGROUND

Epithelial ovarian cancer (EOC) has the worst prognosis in all of gynecologic malignant tumors because of its high recurrence and eventually chemo-resistance. Early diagnosis of recurrence is crucial to avoid diffuse dissemination. Failure of traditional treatment in recurrent epithelial ovarian cancer remains a challenge for clinicians. On the other hand, I brachytherapy has been accepted as a useful and hopeful treatment for multiple advanced cancers in recent years. However, its success in advanced epithelial ovarian cancer is limited. Here we report a case of recurrent ovarian cancer who had been early diagnosis of isolated recurrence and successfully treated with I seeds implantation during suboptimal cytoreductive surgery.

CASE PRESENTATION

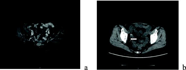
A 59-year-old woman presented with recurrent epithelial ovarian cancer who have had a history of ovarian cancer stage IIIB and an R0 resection had been achieved nearly 2 years before presented in our hospital. She underwent suboptimal secondary cytoreductive surgery after four cycles of chemotherapy with little effectiveness and severe chemotherapy-related side effects. Approximately 70% of the cancer-bulk was resected during surgery. For residual lesion which fixed around the right ureter and right external iliac vessel, I seeds implantation was performed. Postoperatively, the patient was treated with two cycles of combination chemotherapy with paclitaxel and carboplatin. The patient was free of disease at 26 months' follow-up period.

CONCLUSION

In recurrent EOC patients with unresectable isolated lesion, salvage 125I seeds implantation are feasible and may contribute to survival.

摘要

背景

上皮性卵巢癌(EOC)因其高复发率和最终的化疗耐药性,在所有妇科恶性肿瘤中预后最差。早期诊断复发对于避免广泛扩散至关重要。复发性上皮性卵巢癌的传统治疗失败仍然是临床医生面临的挑战。另一方面,近年来近距离放射治疗已被接受为多种晚期癌症的有用且有希望的治疗方法。然而,其在晚期上皮性卵巢癌中的成功有限。本文报告了一例复发性卵巢癌患者,该患者在不理想的细胞减灭术后成功接受了 I 种子植入治疗,从而早期诊断为孤立性复发。

病例介绍

一名 59 岁女性因复发性上皮性卵巢癌就诊,该患者曾患有 IIIB 期卵巢癌,在近 2 年前于我院行卵巢癌 R0 切除术。在接受了四个周期的化疗(效果不佳且伴有严重的化疗相关副作用)后,她接受了次优的二次细胞减灭术。手术切除了约 70%的肿瘤肿块。对于固定在右侧输尿管和右侧髂外血管周围的残留病变,进行了 I 种子植入术。术后,患者接受了两个周期的紫杉醇联合卡铂联合化疗。在 26 个月的随访期间,患者无疾病。

结论

对于无法切除的孤立性复发性上皮性卵巢癌患者,挽救性 125I 种子植入是可行的,并且可能有助于生存。

https://cdn.ncbi.nlm.nih.gov/pmc/blobs/c18e/7702710/1184e4fed67d/13048_2020_744_Fig4_HTML.jpg
https://cdn.ncbi.nlm.nih.gov/pmc/blobs/c18e/7702710/0541d73e89f8/13048_2020_744_Fig1_HTML.jpg
https://cdn.ncbi.nlm.nih.gov/pmc/blobs/c18e/7702710/9da1c7ade495/13048_2020_744_Fig2_HTML.jpg
https://cdn.ncbi.nlm.nih.gov/pmc/blobs/c18e/7702710/ec9cc253f8fa/13048_2020_744_Fig3_HTML.jpg
https://cdn.ncbi.nlm.nih.gov/pmc/blobs/c18e/7702710/1184e4fed67d/13048_2020_744_Fig4_HTML.jpg
https://cdn.ncbi.nlm.nih.gov/pmc/blobs/c18e/7702710/0541d73e89f8/13048_2020_744_Fig1_HTML.jpg
https://cdn.ncbi.nlm.nih.gov/pmc/blobs/c18e/7702710/9da1c7ade495/13048_2020_744_Fig2_HTML.jpg
https://cdn.ncbi.nlm.nih.gov/pmc/blobs/c18e/7702710/ec9cc253f8fa/13048_2020_744_Fig3_HTML.jpg
https://cdn.ncbi.nlm.nih.gov/pmc/blobs/c18e/7702710/1184e4fed67d/13048_2020_744_Fig4_HTML.jpg

相似文献

1
Improved prognosis for recurrent epithelial ovarian cancer by early diagnosis and 125I seeds implantation during suboptimal secondary cytoreductive surgery: a case report and literature review.早期诊断和在次优二次细胞减灭术中植入 125I 种子可改善复发性上皮性卵巢癌的预后:病例报告和文献复习。
J Ovarian Res. 2020 Nov 30;13(1):141. doi: 10.1186/s13048-020-00744-2.
2
[Analysis of prognosis and associated factors in multiple recurrent epithelial ovarian cancer with three times or more cytoreductive surgeries].[三次及以上减瘤手术的复发性上皮性卵巢癌预后及相关因素分析]
Zhonghua Fu Chan Ke Za Zhi. 2023 Mar 25;58(3):198-206. doi: 10.3760/cma.j.cn112141-20221225-00773.
3
Intraoperative implantation of 125I seeds improves prognosis in refractory stage IIIB cervical cancer: a case report and literature review.术中植入¹²⁵I粒子改善难治性ⅢB期宫颈癌预后:1例病例报告及文献复习
BMC Womens Health. 2024 Mar 2;24(1):153. doi: 10.1186/s12905-024-02997-1.
4
Incorporating robotic surgery into the management of ovarian cancer after neoadjuvant chemotherapy.将机器人手术纳入新辅助化疗后卵巢癌的治疗管理中。
Int J Gynecol Cancer. 2019 Nov;29(9):1341-1347. doi: 10.1136/ijgc-2019-000413. Epub 2019 Oct 9.
5
Secondary cytoreductive surgery in recurrent epithelial ovarian cancer: A prognostic analysis with 103 cases.复发性上皮性卵巢癌的二次细胞减灭术:103 例预后分析。
Int J Surg. 2017 Feb;38:61-66. doi: 10.1016/j.ijsu.2016.12.031. Epub 2016 Dec 24.
6
Survival outcomes after delayed cytoreduction surgery following neoadjuvant chemotherapy in advanced epithelial ovarian cancer.新辅助化疗后延迟细胞减灭术治疗晚期上皮性卵巢癌的生存结局。
Int J Gynecol Cancer. 2020 Dec;30(12):1935-1942. doi: 10.1136/ijgc-2020-001658. Epub 2020 Oct 29.
7
When should Surgery be used for Recurrent Ovarian Carcinoma?复发性卵巢癌何时应采用手术治疗?
Clin Oncol (R Coll Radiol). 2018 Aug;30(8):493-497. doi: 10.1016/j.clon.2018.04.006. Epub 2018 May 7.
8
Pancreatic Resection as Part of Cytoreductive Surgery in Advanced-stage and Recurrent Epithelial Ovarian Cancer--A Single-center Experience.胰腺癌切除术作为晚期和复发性上皮性卵巢癌细胞减灭术的一部分——单中心经验
Anticancer Res. 2015 Jul;35(7):4125-9.
9
Cytoreductive surgery and hyperthermic intraperitoneal chemotherapy for the treatment of advanced epithelial and recurrent ovarian carcinoma: a single center experience.细胞减灭术和腹腔内热灌注化疗治疗晚期上皮性和复发性卵巢癌:单中心经验。
Int J Hyperthermia. 2018 Aug;34(5):564-569. doi: 10.1080/02656736.2017.1371341. Epub 2017 Sep 7.
10
Prognostic factors for maximally or optimally cytoreduced stage III nonserous epithelial ovarian carcinoma treated with carboplatin/paclitaxel chemotherapy.接受卡铂/紫杉醇化疗的最大程度或最佳细胞减灭术的 III 期非浆液性上皮性卵巢癌的预后因素。
J Obstet Gynaecol Res. 2018 Jul;44(7):1284-1293. doi: 10.1111/jog.13663. Epub 2018 May 4.

引用本文的文献

1
Impaired splicing machinery in craniopharyngiomas unveils PRPF8 and RAVER1 as novel biomarkers and therapeutic targets.颅咽管瘤中剪接机制受损揭示PRPF8和RAVER1作为新型生物标志物和治疗靶点。
Acta Neuropathol Commun. 2025 Jun 28;13(1):142. doi: 10.1186/s40478-025-02040-w.
2
EML4-ALK-Positive Ovarian Cancer With Intracranial Metastasis Responds to Lorlatinib: A Case Report and Literature Review.EML4-ALK 阳性伴颅内转移的卵巢癌对劳拉替尼有反应:病例报告及文献综述
Clin Case Rep. 2025 Jan 7;13(1):e70043. doi: 10.1002/ccr3.70043. eCollection 2025 Jan.
3
Prediction of iodine-125 seed implantation efficacy in lung cancer using an enhanced CT-based nomogram model.

本文引用的文献

1
Tumor burden is a potential marker of PARP inhibitor effects in ovarian cancer: a head-to-head observational series.肿瘤负担是卵巢癌中 PARP 抑制剂作用的潜在标志物:一项头对头观察性研究系列。
J Ovarian Res. 2020 Mar 17;13(1):29. doi: 10.1186/s13048-020-00629-4.
2
A Large, Multicenter, Retrospective Study on Efficacy and Safety of Stereotactic Body Radiotherapy (SBRT) in Oligometastatic Ovarian Cancer (MITO RT1 Study): A Collaboration of MITO, AIRO GYN, and MaNGO Groups.一项关于立体定向体部放疗(SBRT)治疗寡转移卵巢癌疗效和安全性的大型、多中心、回顾性研究(MITO RT1 研究):MITO、AIRO GYN 和 MaNGO 小组的合作。
Oncologist. 2020 Feb;25(2):e311-e320. doi: 10.1634/theoncologist.2019-0309. Epub 2019 Oct 10.
3
基于增强 CT 的列线图模型预测肺癌碘 125 种子植入疗效。
PLoS One. 2024 Nov 15;19(11):e0313570. doi: 10.1371/journal.pone.0313570. eCollection 2024.
4
Therapy-induced secretion of spliceosomal components mediates pro-survival crosstalk between ovarian cancer cells.治疗诱导的剪接体成分分泌介导卵巢癌细胞间的促生存串扰。
Nat Commun. 2024 Jun 19;15(1):5237. doi: 10.1038/s41467-024-49512-6.
5
Intraoperative implantation of 125I seeds improves prognosis in refractory stage IIIB cervical cancer: a case report and literature review.术中植入¹²⁵I粒子改善难治性ⅢB期宫颈癌预后:1例病例报告及文献复习
BMC Womens Health. 2024 Mar 2;24(1):153. doi: 10.1186/s12905-024-02997-1.
6
Clinical efficacy of iodine-125 (I) seed implantation in patients with iodine-refractory differentiated thyroid cancer.碘-125(I)粒子植入治疗碘难治性分化型甲状腺癌患者的临床疗效
Am J Cancer Res. 2023 Oct 15;13(10):4794-4802. eCollection 2023.
7
Iodine-125 seed implantation in the treatment of malignant tumors.碘-125粒子植入治疗恶性肿瘤。
J Interv Med. 2023 Jul 22;6(3):111-115. doi: 10.1016/j.jimed.2023.07.006. eCollection 2023 Aug.
8
TAZ Regulates the Cisplatin Resistance of Epithelial Ovarian Cancer Cells via the ANGPTL4/SOX2 Axis.TAZ 通过 ANGPTL4/SOX2 轴调节上皮性卵巢癌细胞对顺铂的耐药性。
Anal Cell Pathol (Amst). 2022 Sep 22;2022:5632164. doi: 10.1155/2022/5632164. eCollection 2022.
Dose-dense chemotherapy with weekly paclitaxel and 3-weekly carboplatin for recurrent ovarian cancer.
每周使用紫杉醇和每3周使用卡铂进行剂量密集化疗用于复发性卵巢癌。
Taiwan J Obstet Gynecol. 2020 Jan;59(1):21-27. doi: 10.1016/j.tjog.2019.10.003.
4
Secondary Surgical Cytoreduction for Recurrent Ovarian Cancer.复发性卵巢癌的二次手术细胞减灭术。
N Engl J Med. 2019 Nov 14;381(20):1929-1939. doi: 10.1056/NEJMoa1902626.
5
Secondary cytoreductive surgery in platinum-sensitive recurrent ovarian cancer before olaparib maintenance: Still getting any benefit? A case-control study.奥拉帕利维持治疗前铂类敏感复发性卵巢癌的二次细胞减灭术:仍能获益吗?一项病例对照研究。
Gynecol Oncol. 2019 Dec;155(3):400-405. doi: 10.1016/j.ygyno.2019.09.020. Epub 2019 Oct 9.
6
Overall survival and updated progression-free survival outcomes in a randomized phase II study of combination cediranib and olaparib versus olaparib in relapsed platinum-sensitive ovarian cancer.在一项针对复发性铂类敏感卵巢癌的 Cediranib 和奥拉帕利联合用药与奥拉帕利单药治疗的随机 II 期研究中,总生存期和更新的无进展生存期结果。
Ann Oncol. 2019 Apr 1;30(4):551-557. doi: 10.1093/annonc/mdz018.
7
The safety and efficacy of interstitial I seed implantation brachytherapy for metastatic epidural spinal cord compression.间质碘-125粒子植入近距离放射治疗转移性硬膜外脊髓压迫症的安全性和有效性。
J Cancer Res Ther. 2018;14(7):1549-1555. doi: 10.4103/jcrt.JCRT_938_17.
8
Involved-field radiation therapy for recurrent ovarian cancer: Results of a multi-institutional prospective phase II trial.复发性卵巢癌的累及野放疗:多机构前瞻性 II 期试验结果。
Gynecol Oncol. 2018 Oct;151(1):39-45. doi: 10.1016/j.ygyno.2018.08.012. Epub 2018 Aug 24.
9
Imaging strategy in recurrent ovarian cancer: a practical review.复发性卵巢癌的影像学策略:实用综述。
Abdom Radiol (NY). 2019 Mar;44(3):1091-1102. doi: 10.1007/s00261-018-1677-y.
10
Expert consensus statement on computed tomography-guided I radioactive seeds permanent interstitial brachytherapy.计算机断层扫描引导下I放射性粒子永久性组织间近距离治疗专家共识声明
J Cancer Res Ther. 2018 Jan;14(1):12-17. doi: 10.4103/jcrt.JCRT_888_17.