Suppr超能文献

基因型决定表型-相关视网膜营养不良的临床特征和遗传谱。

Genotypes Predispose Phenotypes-Clinical Features and Genetic Spectrum of -Associated Retinal Dystrophies.

机构信息

Department of Medical Education, National Taiwan University Hospital, Taipei 100, Taiwan.

Department of Ophthalmology, National Taiwan University Hospital, Taipei 100, Taiwan.

出版信息

Genes (Basel). 2020 Nov 27;11(12):1421. doi: 10.3390/genes11121421.

Abstract

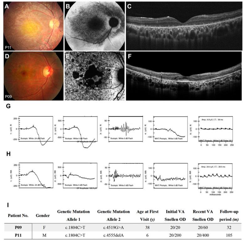
The gene is one of the most common disease-causing genes of inherited retinal degeneration. In this study, we report different phenotypes of -associated retinal dystrophies in the Taiwanese population, its clinical progression, and its relationship with genetic characteristics. Thirty-seven subjects were recruited and all patients underwent serial ophthalmic examinations at a single medical center. Fundus autofluorescence (FAF) images were quantified for clinical evaluation, and panel-based next-generation sequencing testing was performed for genetic diagnosis. Visual preservation, disease progression, and genotype-phenotype correlation were analyzed. In this cohort, -associated retinal degeneration presented as Stargardt disease 1 (STGD1, 62.16%), retinitis pigmentosa (32.43%), and cone-rod dystrophy (5.41%). STGD1 could be further divided into central and dispersed types. In each phenotype, the lesion areas quantified by FAF increased with age ( < 0.01) and correlated with poorer visual acuity. However, three patients had the foveal sparing phenotype and had relatively preserved visual acuity. Forty-two variants were identified as disease-causing, with c.1804C>T (p.Arg602Trp) the most frequent (37.84%). Patients with a combination of severe/null variants could have more extensive phenotypes, such as arRP and dispersed STGD1. This is the first cohort study of -associated retinal degeneration in Taiwan with wide spectrums of both genotypic and phenotypic characteristics. An extremely high prevalence of c.1804C>T, which has not been reported in East Asia before, was noted. The extensiveness of retinal involvement might be regarded as a spectrum of -associated retinal dystrophies. Different types of genetic variations could lead to distinctive phenotypes, according to the coding impact of variants.

摘要

该基因是遗传性视网膜变性最常见的致病基因之一。本研究报告了台湾人群中与相关的视网膜营养不良的不同表型、其临床进展及其与遗传特征的关系。招募了 37 名受试者,所有患者均在单一医疗中心接受了连续的眼科检查。对眼底自发荧光(FAF)图像进行量化以进行临床评估,并进行基于面板的下一代测序测试以进行基因诊断。分析了视力保存、疾病进展和基因型-表型相关性。在本队列中,与相关的视网膜变性表现为斯塔加德特病 1 型(STGD1,62.16%)、色素性视网膜炎(32.43%)和 Cone-Rod 营养不良(5.41%)。STGD1 可进一步分为中央型和弥散型。在每种表型中,FAF 量化的病变面积随年龄增加而增加(<0.01),并与视力下降相关。然而,有 3 名患者具有黄斑保留表型,视力相对较好。共鉴定出 42 个致病变异,最常见的是 c.1804C>T(p.Arg602Trp)(37.84%)。严重/无义变异组合的患者可能具有更广泛的表型,如 ARRP 和弥散性 STGD1。这是台湾首例与相关的视网膜变性的队列研究,具有广泛的基因型和表型特征。值得注意的是,我们观察到东亚以前未报道过的极高 c.1804C>T 发生率。视网膜受累的广泛程度可能被视为与相关的视网膜营养不良的一种谱。根据变异的编码影响,不同类型的遗传变异可能导致不同的表型。

https://cdn.ncbi.nlm.nih.gov/pmc/blobs/0c06/7759801/2f6411e00353/genes-11-01421-g001.jpg

文献AI研究员

20分钟写一篇综述,助力文献阅读效率提升50倍。

立即体验

用中文搜PubMed

大模型驱动的PubMed中文搜索引擎

马上搜索

文档翻译

学术文献翻译模型,支持多种主流文档格式。

立即体验