• 文献检索
  • 文档翻译
  • 深度研究
  • 学术资讯
  • Suppr Zotero 插件Zotero 插件
  • 邀请有礼
  • 套餐&价格
  • 历史记录
应用&插件
Suppr Zotero 插件Zotero 插件浏览器插件Mac 客户端Windows 客户端微信小程序
定价
高级版会员购买积分包购买API积分包
服务
文献检索文档翻译深度研究API 文档MCP 服务
关于我们
关于 Suppr公司介绍联系我们用户协议隐私条款
关注我们

Suppr 超能文献

核心技术专利:CN118964589B侵权必究
粤ICP备2023148730 号-1Suppr @ 2026

文献检索

告别复杂PubMed语法,用中文像聊天一样搜索,搜遍4000万医学文献。AI智能推荐,让科研检索更轻松。

立即免费搜索

文件翻译

保留排版,准确专业,支持PDF/Word/PPT等文件格式,支持 12+语言互译。

免费翻译文档

深度研究

AI帮你快速写综述,25分钟生成高质量综述,智能提取关键信息,辅助科研写作。

立即免费体验

从胰腺癌内镜超声获取的组织中提取RNA是可行的,并能够对分子特征进行研究。

RNA Extraction from Endoscopic Ultrasound-Acquired Tissue of Pancreatic Cancer Is Feasible and Allows Investigation of Molecular Features.

作者信息

Archibugi Livia, Ruta Veronica, Panzeri Valentina, Redegalli Miriam, Testoni Sabrina Gloria Giulia, Petrone Maria Chiara, Rossi Gemma, Falconi Massimo, Reni Michele, Doglioni Claudio, Sette Claudio, Arcidiacono Paolo Giorgio, Capurso Gabriele

机构信息

Pancreato-Biliary Endoscopy and Endosonography Division, Pancreas Translational & Clinical Research Center, IRCCS San Raffaele Scientific Institute, 20132 Milan, Italy.

Department of Pathology, San Raffaele Scientific Institute IRCCS-Vita Salute San Raffaele University, 20132 Milan, Italy.

出版信息

Cells. 2020 Nov 30;9(12):2561. doi: 10.3390/cells9122561.

DOI:10.3390/cells9122561
PMID:33266052
原文链接:https://pmc.ncbi.nlm.nih.gov/articles/PMC7761443/
Abstract

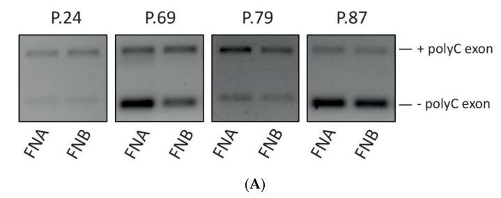
Transcriptome analyses allow the distinguishing of pancreatic ductal adenocarcinoma (PDAC) subtypes, exhibiting different prognoses and chemotherapy responses. However, RNA extraction from pancreatic tissue is cumbersome and has been performed mainly from surgical samples, which are representative of < 20% of cases. The majority of PDAC patients undergo endoscopic ultrasound (EUS)-guided tissue acquisition (EUS-TA), but RNA has been rarely extracted from EUS-TA with scanty results. Herein, we aimed to determine the best conditions for RNA extraction and analysis from PDAC EUS-TA samples in order to carry out molecular analyses. PDAC cases underwent diagnostic EUS-TA, with needles being a 25G fine needle aspiration (FNA) in all patients and then either a 20G lateral core-trap fine needle biopsy (FNB) or a 25G Franseen FNB; the conservation methods were either snap freezing, RNALater or Trizol. RNA concentration and quality (RNA integrity index; RIN) were analyzed and a panel of genes was investigated for tissue contamination and markers of molecular subtype and aggressivity through qRT-PCR. Seventy-four samples from 37 patients were collected. The median RNA concentration was significantly higher in Trizol samples (10.33 ng/uL) compared with snap frozen (0.64 ng/uL; < 0.0001) and RNALater (0.19 ng/uL; < 0.0001). The RIN was similar between Trizol (5.15) and snap frozen samples (5.85), while for both methods it was higher compared with RNALater (2.7). Among the needles, no substantial difference was seen in terms of RNA concentration and quality. qRT-PCR analyses revealed that samples from all needles were suitable for the detection of PDAC subtype markers (GATA6 and ZEB1) and splice variants associated with mutational status (GAP17) as well as for the detection of contaminating tissue around PDAC cells. This is the first study that specifically investigates the best methodology for RNA extraction from EUS-TA. A higher amount of good quality RNA is obtainable with conservation in Trizol with a clear superiority of neither FNA nor FNB needles. RNA samples from EUS-TA are suitable for transcriptome analysis including the investigation of molecular subtype and splice variants expression.

摘要

转录组分析能够区分胰腺导管腺癌(PDAC)的不同亚型,这些亚型具有不同的预后和化疗反应。然而,从胰腺组织中提取RNA很麻烦,且主要是从手术样本中提取,而手术样本仅代表不到20%的病例。大多数PDAC患者接受内镜超声(EUS)引导下的组织获取(EUS-TA),但从EUS-TA中提取RNA的情况很少,结果也很有限。在此,我们旨在确定从PDAC的EUS-TA样本中提取和分析RNA的最佳条件,以便进行分子分析。PDAC病例接受诊断性EUS-TA,所有患者均使用25G细针穿刺抽吸(FNA)针,然后要么使用20G侧向芯吸式细针活检(FNB)针,要么使用25G Franseen FNB针;保存方法为速冻、RNA Later或Trizol。分析RNA浓度和质量(RNA完整性指数;RIN),并通过qRT-PCR研究一组基因,以检测组织污染以及分子亚型和侵袭性的标志物。收集了37例患者的74个样本。与速冻样本(0.64 ng/μL;<0.0001)和RNA Later样本(0.19 ng/μL;<0.0001)相比,Trizol样本中的RNA浓度中位数显著更高(10.33 ng/μL)。Trizol样本(5.15)和速冻样本(5.85)的RIN相似,而这两种方法的RIN均高于RNA Later样本(2.7)。在不同的针之间,RNA浓度和质量方面未见实质性差异。qRT-PCR分析显示,所有针获取的样本均适用于检测PDAC亚型标志物(GATA6和ZEB1)以及与突变状态相关的剪接变体(GAP17),也适用于检测PDAC细胞周围的污染组织。这是第一项专门研究从EUS-TA中提取RNA的最佳方法的研究。使用Trizol保存可获得更高质量的RNA,且FNA针和FNB针均无明显优势。EUS-TA获取的RNA样本适用于转录组分析,包括分子亚型和剪接变体表达的研究。

https://cdn.ncbi.nlm.nih.gov/pmc/blobs/b41f/7761443/4aedd262a399/cells-09-02561-g006a.jpg
https://cdn.ncbi.nlm.nih.gov/pmc/blobs/b41f/7761443/257a6afe8866/cells-09-02561-g001.jpg
https://cdn.ncbi.nlm.nih.gov/pmc/blobs/b41f/7761443/7a32d2e260d6/cells-09-02561-g002a.jpg
https://cdn.ncbi.nlm.nih.gov/pmc/blobs/b41f/7761443/d4e1e2c8fa1c/cells-09-02561-g003.jpg
https://cdn.ncbi.nlm.nih.gov/pmc/blobs/b41f/7761443/a6644ac0086a/cells-09-02561-g004.jpg
https://cdn.ncbi.nlm.nih.gov/pmc/blobs/b41f/7761443/b9e4e8e9982c/cells-09-02561-g005.jpg
https://cdn.ncbi.nlm.nih.gov/pmc/blobs/b41f/7761443/4aedd262a399/cells-09-02561-g006a.jpg
https://cdn.ncbi.nlm.nih.gov/pmc/blobs/b41f/7761443/257a6afe8866/cells-09-02561-g001.jpg
https://cdn.ncbi.nlm.nih.gov/pmc/blobs/b41f/7761443/7a32d2e260d6/cells-09-02561-g002a.jpg
https://cdn.ncbi.nlm.nih.gov/pmc/blobs/b41f/7761443/d4e1e2c8fa1c/cells-09-02561-g003.jpg
https://cdn.ncbi.nlm.nih.gov/pmc/blobs/b41f/7761443/a6644ac0086a/cells-09-02561-g004.jpg
https://cdn.ncbi.nlm.nih.gov/pmc/blobs/b41f/7761443/b9e4e8e9982c/cells-09-02561-g005.jpg
https://cdn.ncbi.nlm.nih.gov/pmc/blobs/b41f/7761443/4aedd262a399/cells-09-02561-g006a.jpg

相似文献

1
RNA Extraction from Endoscopic Ultrasound-Acquired Tissue of Pancreatic Cancer Is Feasible and Allows Investigation of Molecular Features.从胰腺癌内镜超声获取的组织中提取RNA是可行的,并能够对分子特征进行研究。
Cells. 2020 Nov 30;9(12):2561. doi: 10.3390/cells9122561.
2
Adequacy evaluation and use of pancreatic adenocarcinoma specimens for next-generation sequencing acquired by endoscopic ultrasound-guided FNA and FNB.超声内镜引导下 FNA 和 FNB 获取的胰腺腺癌标本进行下一代测序的充分性评估和应用。
Cancer Cytopathol. 2022 Apr;130(4):275-283. doi: 10.1002/cncy.22533. Epub 2021 Dec 14.
3
Endoscopic ultrasound-guided sampling of solid pancreatic masses: 22-gauge aspiration versus 25-gauge biopsy needles.内镜超声引导下实性胰腺肿块采样:22号穿刺针抽吸与25号活检针活检的比较
BMC Gastroenterol. 2015 Sep 29;15:122. doi: 10.1186/s12876-015-0352-9.
4
Factors of Endoscopic Ultrasound-Guided Tissue Acquisition for Successful Next-Generation Sequencing in Pancreatic Ductal Adenocarcinoma.影响胰腺导管腺癌行超声内镜引导下组织获取用于下一代测序成功率的因素。
Gut Liver. 2020 May 15;14(3):387-394. doi: 10.5009/gnl19011.
5
Comparison of endoscopic ultrasound-guided fine-needle biopsy versus fine-needle aspiration for genomic profiling and DNA yield in pancreatic cancer: a randomized crossover trial.对比内镜超声引导下细针活检与细针抽吸在胰腺癌基因谱分析和 DNA 产量方面的效果:一项随机交叉试验。
Endoscopy. 2021 Apr;53(4):376-382. doi: 10.1055/a-1223-2171. Epub 2020 Aug 6.
6
Comparison of 22-gauge standard fine needle versus core biopsy needle for endoscopic ultrasound-guided sampling of suspected pancreatic cancer: a randomized crossover trial.22号标准细针与粗针活检针用于内镜超声引导下疑似胰腺癌取样的比较:一项随机交叉试验
Scand J Gastroenterol. 2018 Jan;53(1):94-99. doi: 10.1080/00365521.2017.1390597. Epub 2017 Oct 24.
7
Comparison of 22G standard and Franseen needles in endoscopic ultrasound-guided fine-needle aspiration for diagnosing pancreatic mass lesions: Study protocol for a controlled trial.对比 22G 标准与 Franseen 针在超声内镜引导下细针抽吸活检诊断胰腺肿块病变中的应用:一项对照试验的研究方案。
Trials. 2019 Dec 30;20(1):816. doi: 10.1186/s13063-019-3946-7.
8
EUS-guided reverse bevel fine-needle biopsy sampling and open tip fine-needle aspiration in solid pancreatic lesions - a prospective, comparative study.超声内镜引导下反向斜面细针活检采样及实心胰腺病变开放式细针抽吸术——一项前瞻性比较研究
Scand J Gastroenterol. 2018 Feb;53(2):231-237. doi: 10.1080/00365521.2017.1421704. Epub 2018 Jan 4.
9
EUS-guided tissue acquisition in patients with solid pseudopapillary neoplasms of the pancreas.EUS 引导下胰腺实性假乳头状瘤患者的组织获取。
Postgrad Med. 2024 Jan;136(1):78-83. doi: 10.1080/00325481.2024.2313446. Epub 2024 Feb 6.
10
Endoscopic Ultrasound-guided Sampling of Solid Pancreatic Lesions: A Comparative Analysis of 25 Gauge 22 Gauge Core Biopsy Needles.内镜超声引导下胰腺实性病变穿刺活检:25G 与 22G 切割式活检针的对比分析。
Anticancer Res. 2020 Oct;40(10):5845-5851. doi: 10.21873/anticanres.14603.

引用本文的文献

1
Adequacy of EUS-guided fine-needle aspiration and fine-needle biopsy for next-generation sequencing in pancreatic malignancies: A systematic review and meta-analysis.超声内镜引导下细针穿刺抽吸术和细针活检术用于胰腺恶性肿瘤下一代测序的充分性:一项系统评价和荟萃分析。
Endosc Ultrasound. 2024 Nov-Dec;13(6):366-375. doi: 10.1097/eus.0000000000000097. Epub 2024 Dec 30.
2
Evaluation of Needles in Endoscopic Ultrasound-Guided Tissue Acquisition of Pancreatic Cancer for Genetic Yield and Quality.评估用于胰腺癌内镜超声引导下组织获取的针具的基因获取率和质量
Cureus. 2024 Sep 2;16(9):e68431. doi: 10.7759/cureus.68431. eCollection 2024 Sep.
3

本文引用的文献

1
The RNA-binding protein MEX3A is a prognostic factor and regulator of resistance to gemcitabine in pancreatic ductal adenocarcinoma.RNA 结合蛋白 MEX3A 是胰腺导管腺癌对吉西他滨耐药的预后因素和调节因子。
Mol Oncol. 2021 Feb;15(2):579-595. doi: 10.1002/1878-0261.12847. Epub 2020 Nov 24.
2
EZH2 Regulates Pancreatic Cancer Subtype Identity and Tumor Progression via Transcriptional Repression of .EZH2 通过转录抑制 调节胰腺癌亚型特征和肿瘤进展。
Cancer Res. 2020 Nov 1;80(21):4620-4632. doi: 10.1158/0008-5472.CAN-20-0672. Epub 2020 Sep 9.
3
Musashi2 promotes the progression of pancreatic cancer through a novel ISYNA1-p21/ZEB-1 pathway.
Fine-needle aspiration technique under endoscopic ultrasound guidance: A technical approach for RNA profiling of pancreatic neoplasms.
内镜超声引导下细针穿刺技术:一种用于胰腺肿瘤RNA分析的技术方法。
World J Gastrointest Oncol. 2024 Jun 15;16(6):2663-2672. doi: 10.4251/wjgo.v16.i6.2663.
4
An alternative splicing signature defines the basal-like phenotype and predicts worse clinical outcome in pancreatic cancer.一个可变剪接特征定义了基底样表型,并预测胰腺癌的临床预后更差。
Cell Rep Med. 2024 Feb 20;5(2):101411. doi: 10.1016/j.xcrm.2024.101411. Epub 2024 Feb 6.
5
Targeted transcriptomic analysis of pancreatic adenocarcinoma in EUS-FNA samples by NanoString technology.通过NanoString技术对超声内镜引导下细针穿刺活检(EUS-FNA)样本中的胰腺腺癌进行靶向转录组分析。
Front Mol Biosci. 2023 May 17;10:1161893. doi: 10.3389/fmolb.2023.1161893. eCollection 2023.
6
Association of Matrix Metalloproteinase 7 Expression With Pathologic Response After Neoadjuvant Treatment in Patients With Resected Pancreatic Ductal Adenocarcinoma.基质金属蛋白酶 7 表达与接受新辅助治疗的胰腺导管腺癌患者术后病理缓解的相关性。
JAMA Surg. 2022 Jul 1;157(7):e221362. doi: 10.1001/jamasurg.2022.1362. Epub 2022 Jul 13.
7
Patient Reported Experience Measure in Endoscopic Ultrasonography: The PREUS Study Protocol.内镜超声检查中患者报告的体验测量:PREUS研究方案。
Nurs Rep. 2022 Feb 8;12(1):59-64. doi: 10.3390/nursrep12010007.
8
Endoscopic Ultrasound-Guided Sampling for Personalized Pancreatic Cancer Treatment.内镜超声引导下采样用于胰腺癌个体化治疗
Diagnostics (Basel). 2021 Mar 8;11(3):469. doi: 10.3390/diagnostics11030469.
Musashi2 通过一种 novel ISYNA1-p21/ZEB-1 通路促进胰腺癌的进展。
J Cell Mol Med. 2020 Sep;24(18):10560-10572. doi: 10.1111/jcmm.15676. Epub 2020 Aug 11.
4
Metastatic Pancreatic Cancer: ASCO Guideline Update.转移性胰腺癌:美国临床肿瘤学会(ASCO)指南更新
J Clin Oncol. 2020 Sep 20;38(27):3217-3230. doi: 10.1200/JCO.20.01364. Epub 2020 Aug 5.
5
Basal-like and classical cells coexist in pancreatic cancer revealed by single-cell analysis on biopsy-derived pancreatic cancer organoids from the classical subtype.单细胞分析揭示来源于经典亚型的胰腺癌类器官活检样本中的胰腺癌中存在基底样细胞和经典细胞。
FASEB J. 2020 Sep;34(9):12214-12228. doi: 10.1096/fj.202000363RR. Epub 2020 Jul 20.
6
Adverse events and mortality: comparative analysis between diagnostic and interventional endoscopic ultrasound.不良事件和死亡率:诊断性和介入性内镜超声比较分析。
Scand J Gastroenterol. 2020 Aug;55(8):995-1001. doi: 10.1080/00365521.2020.1792975. Epub 2020 Jul 14.
7
Comparing Needles and Methods of Endoscopic Ultrasound-Guided Fine-Needle Biopsy to Optimize Specimen Quality and Diagnostic Accuracy for Patients With Pancreatic Masses in a Randomized Trial.比较内镜超声引导下细针活检的针具和方法,以优化胰腺肿块患者的标本质量和诊断准确性:一项随机试验。
Clin Gastroenterol Hepatol. 2021 Apr;19(4):825-835.e7. doi: 10.1016/j.cgh.2020.06.042. Epub 2020 Jul 8.
8
Side-by-side comparison of next-generation sequencing, cytology, and histology in diagnosing locally advanced pancreatic adenocarcinoma.对比下一代测序、细胞学和组织学在诊断局部进展期胰腺腺癌中的应用。
Gastrointest Endosc. 2021 Mar;93(3):597-604.e5. doi: 10.1016/j.gie.2020.06.069. Epub 2020 Jul 5.
9
Altered RNA Splicing by Mutant p53 Activates Oncogenic RAS Signaling in Pancreatic Cancer.突变型 p53 通过改变 RNA 剪接激活胰腺癌中的致癌 RAS 信号通路。
Cancer Cell. 2020 Aug 10;38(2):198-211.e8. doi: 10.1016/j.ccell.2020.05.010. Epub 2020 Jun 18.
10
Glutamine depletion regulates Slug to promote EMT and metastasis in pancreatic cancer.谷氨酰胺耗竭调控 Slug 促进胰腺癌中的 EMT 和转移。
J Exp Med. 2020 Sep 7;217(9). doi: 10.1084/jem.20200388.