• 文献检索
  • 文档翻译
  • 深度研究
  • 学术资讯
  • Suppr Zotero 插件Zotero 插件
  • 邀请有礼
  • 套餐&价格
  • 历史记录
应用&插件
Suppr Zotero 插件Zotero 插件浏览器插件Mac 客户端Windows 客户端微信小程序
定价
高级版会员购买积分包购买API积分包
服务
文献检索文档翻译深度研究API 文档MCP 服务
关于我们
关于 Suppr公司介绍联系我们用户协议隐私条款
关注我们

Suppr 超能文献

核心技术专利:CN118964589B侵权必究
粤ICP备2023148730 号-1Suppr @ 2026

文献检索

告别复杂PubMed语法,用中文像聊天一样搜索,搜遍4000万医学文献。AI智能推荐,让科研检索更轻松。

立即免费搜索

文件翻译

保留排版,准确专业,支持PDF/Word/PPT等文件格式,支持 12+语言互译。

免费翻译文档

深度研究

AI帮你快速写综述,25分钟生成高质量综述,智能提取关键信息,辅助科研写作。

立即免费体验

斜坡骨纤维异常增殖症——病例研究与文献综述

Fibrous dysplasia of the clivus - A case study and literature review.

作者信息

Butt Aqeel, Patel Kunj, Agrawal Kanupriya, Arya Alok, Singh Jaswinder

机构信息

London North West University Healthcare NHS Trust, Ealing Hospital, Uxbridge Road, Southall UB1 3HW, United Kingdom.

Radiology Department, Watford General Hospital, Vicarage Road, Watford WD18 0HB, United Kingdom.

出版信息

Radiol Case Rep. 2020 Nov 28;16(2):230-236. doi: 10.1016/j.radcr.2020.11.019. eCollection 2021 Feb.

DOI:10.1016/j.radcr.2020.11.019
PMID:33304432
原文链接:https://pmc.ncbi.nlm.nih.gov/articles/PMC7708769/
Abstract

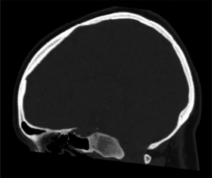
Fibrous dysplasia is a benign, congenital skeletal disorder which leads to the formation of fibro-osseous intramedullary bone lesions. Clival fibrous dysplasia is a rare variant which commonly presents asymptomatically with no findings on examination and is often picked up incidentally on radiological investigation. A 39-year-old female presented with a sudden onset headache of 3 days' duration alongside diplopia and right lower limb weakness upon examination. Computerized tomography head scan revealed an expansile clivus with a ground-glass appearance, magnetic resonance imaging brain scan revealed a predominantly hypointense signal on T1- and T2-weighted images and subsequent whole-body bone imaging confirmed the diagnosis of monostotic clival fibrous dysplasia. This case highlights the importance of considering monostotic clival fibrous dysplasia as a differential diagnosis in patients presenting with sudden onset symptoms of headache alongside cranial and peripheral nerve involvement, when other more sinister causes have been excluded.

摘要

骨纤维异常增殖症是一种良性先天性骨骼疾病,可导致骨髓内纤维性骨病变的形成。斜坡骨纤维异常增殖症是一种罕见的变异类型,通常无症状,检查无异常发现,常在影像学检查时偶然发现。一名39岁女性因突发头痛3天就诊,检查时伴有复视和右下肢无力。头颅计算机断层扫描显示斜坡膨胀,呈磨玻璃样外观,脑部磁共振成像扫描显示在T1加权和T2加权图像上主要为低信号,随后的全身骨成像确诊为单发性斜坡骨纤维异常增殖症。该病例强调,当排除其他更严重病因时,对于出现突发头痛症状并伴有颅神经和周围神经受累的患者,应考虑单发性斜坡骨纤维异常增殖症作为鉴别诊断。

https://cdn.ncbi.nlm.nih.gov/pmc/blobs/8454/7708769/a1c73f357377/gr4.jpg
https://cdn.ncbi.nlm.nih.gov/pmc/blobs/8454/7708769/6fb3150bbe1e/gr2.jpg
https://cdn.ncbi.nlm.nih.gov/pmc/blobs/8454/7708769/a1c73f357377/gr4.jpg
https://cdn.ncbi.nlm.nih.gov/pmc/blobs/8454/7708769/6fb3150bbe1e/gr2.jpg
https://cdn.ncbi.nlm.nih.gov/pmc/blobs/8454/7708769/a1c73f357377/gr4.jpg

相似文献

1
Fibrous dysplasia of the clivus - A case study and literature review.斜坡骨纤维异常增殖症——病例研究与文献综述
Radiol Case Rep. 2020 Nov 28;16(2):230-236. doi: 10.1016/j.radcr.2020.11.019. eCollection 2021 Feb.
2
[Radiographic characteristics of fibrous dysplasia of the clivus: a case report and review of the literature].[斜坡骨纤维异常增殖症的影像学特征:一例报告并文献复习]
No Shinkei Geka. 2007 Sep;35(9):895-9.
3
Fibrous Dysplasia of the Clivus: Case Report and Literature Review.斜坡骨纤维异常增殖症:病例报告及文献综述
Cureus. 2023 Sep 17;15(9):e45417. doi: 10.7759/cureus.45417. eCollection 2023 Sep.
4
Monostotic fibrous dysplasia of the clivus: image-guided endoscopic endonasal transsphenoidal surgery.斜坡单发性骨纤维异常增殖症:影像引导下内镜经鼻蝶窦手术
Minim Invasive Neurosurg. 2010 Feb;53(1):37-9. doi: 10.1055/s-0030-1247553. Epub 2010 Apr 7.
5
Fibrous dysplasia of the clivus.斜坡骨纤维异常增殖症
J Korean Neurosurg Soc. 2010 Nov;48(5):441-4. doi: 10.3340/jkns.2010.48.5.441. Epub 2010 Nov 30.
6
Fibrous dysplasia of the clivus.斜坡骨纤维异常增殖症
Neurosurgery. 2003 Feb;52(2):318-22; discussion 323. doi: 10.1227/01.neu.0000043694.77162.6e.
7
Clival fibrous dysplasia: Case series and review of the literature.斜坡纤维发育不良:病例系列及文献综述
Ear Nose Throat J. 2014 Dec;93(12):E4-9. doi: 10.1177/014556131409301202.
8
Unusual Presentation of Fibrous Dysplasia in an Elderly Patient.老年患者纤维发育不良的罕见表现
J Radiol Case Rep. 2019 Feb 28;13(2):26-33. doi: 10.3941/jrcr.v13i2.3379. eCollection 2019 Feb.
9
A Rare Case of Monostotic Fibrous Dysplasia of the Femoral Neck With Pathological Fracture: A Case Report.一例罕见的伴有病理性骨折的股骨颈单发性骨纤维发育不良病例报告
Cureus. 2023 Nov 20;15(11):e49085. doi: 10.7759/cureus.49085. eCollection 2023 Nov.
10
Fibrous dysplasia of the clivus with a second T8 bone lesion: case report.斜坡骨纤维异常增殖症合并T8椎体骨病变1例:病例报告
Surg Neurol. 2006 Feb;65(2):202-5; discussion 205-6. doi: 10.1016/j.surneu.2005.05.025.

引用本文的文献

1
Clival fibrous dysplasia in which short interval disease progression posed a diagnostic challenge in a skeletally mature patient: a case report.斜坡纤维发育不良,短期内病情进展给一名骨骼成熟患者的诊断带来挑战:病例报告
J Med Case Rep. 2025 Feb 28;19(1):83. doi: 10.1186/s13256-025-05104-6.
2
Fibrous Dysplasia Involving Cranio-Facial Region Treated with Zolendronic Acid: A Single Institutional Experience and Review of Literature.唑来膦酸治疗累及颅面部区域的骨纤维异常增殖症:单机构经验及文献综述
Indian J Otolaryngol Head Neck Surg. 2024 Oct;76(5):4270-4279. doi: 10.1007/s12070-024-04835-0. Epub 2024 Jun 29.
3

本文引用的文献

1
Unusual Presentation of Fibrous Dysplasia in an Elderly Patient.老年患者纤维发育不良的罕见表现
J Radiol Case Rep. 2019 Feb 28;13(2):26-33. doi: 10.3941/jrcr.v13i2.3379. eCollection 2019 Feb.
2
Fibrous dysplasia of bone: craniofacial and dental implications.骨纤维异常增殖症:颅面和牙科方面的影响。
Oral Dis. 2017 Sep;23(6):697-708. doi: 10.1111/odi.12563. Epub 2016 Sep 1.
3
The use of a three-dimensional endoscope for different skull base tumors: results of a preliminary extended endonasal surgical series.三维内窥镜在不同颅底肿瘤中的应用:初步扩大经鼻手术系列结果
Endoscopic Endonasal Surgery for Uncommon Pathologies of the Sellar and Parasellar Regions.
经鼻内镜手术治疗鞍区和鞍旁区域罕见病变
Adv Tech Stand Neurosurg. 2023;48:139-205. doi: 10.1007/978-3-031-36785-4_7.
4
A case of intradiploic epidermoid cyst.一例板障内表皮样囊肿。
Quant Imaging Med Surg. 2023 Aug 1;13(8):5451-5455. doi: 10.21037/qims-22-1338. Epub 2023 Jun 29.
5
A Rare Case of a Primary Leiomyoma of the Clivus in an Immunocompetent Patient and a Review of the Literature Regarding Clival Lesions.免疫功能正常患者中斜坡原发性平滑肌瘤的罕见病例及关于斜坡病变的文献综述
Diagnostics (Basel). 2022 Dec 21;13(1):9. doi: 10.3390/diagnostics13010009.
Acta Neurochir (Wien). 2016 Aug;158(8):1605-16. doi: 10.1007/s00701-016-2847-8. Epub 2016 Jun 8.
4
Fibrous dysplasia: an overview of disease process, indications for surgical management, and a case report.骨纤维异常增殖症:疾病过程概述、手术治疗指征及病例报告
Eplasty. 2015 Feb 26;15:e6. eCollection 2015.
5
Clival fibrous dysplasia: Case series and review of the literature.斜坡纤维发育不良:病例系列及文献综述
Ear Nose Throat J. 2014 Dec;93(12):E4-9. doi: 10.1177/014556131409301202.
6
Benign and malignant diseases of the clivus.斜坡的良性和恶性疾病。
Clin Radiol. 2014 Dec;69(12):1295-303. doi: 10.1016/j.crad.2014.07.010. Epub 2014 Aug 29.
7
Endoscopic transphenoidal approach for fibrous dysplasia of clivus, tuberculum sellae and sphenoid sinus; report of three cases.内镜经蝶入路治疗斜坡、鞍结节及蝶窦骨纤维异常增殖症:三例报告
Turk Neurosurg. 2012;22(5):662-6. doi: 10.5137/1019-5149.JTN.4060-10.0.
8
Fibrous dysplasia of the clivus, a case report.斜坡骨纤维异常增殖症,病例报告。
Libyan J Med. 2007 Dec 1;2(4):216-7. doi: 10.4176/070614.
9
Fibrous dysplasia of the clivus.斜坡骨纤维异常增殖症
J Korean Neurosurg Soc. 2010 Nov;48(5):441-4. doi: 10.3340/jkns.2010.48.5.441. Epub 2010 Nov 30.
10
Monostotic fibrous dysplasia of the clivus: image-guided endoscopic endonasal transsphenoidal surgery.斜坡单发性骨纤维异常增殖症:影像引导下内镜经鼻蝶窦手术
Minim Invasive Neurosurg. 2010 Feb;53(1):37-9. doi: 10.1055/s-0030-1247553. Epub 2010 Apr 7.