Suppr超能文献

罕见的解剖变异:气化的中鼻甲。

Rare Anatomic Variation: Pneumatized Secondary Middle Turbinate.

作者信息

Rusu Mugurel Constantin, Stoenescu Mihai Dragomir

机构信息

Division of Anatomy, Faculty of Dental Medicine, "Carol Davila" University of Medicine and Pharmacy, Bucharest, Romania.

Division of Anatomy, Faculty of Dental Medicine, "Carol Davila" University of Medicine and Pharmacy, "Dr. Carol Davila" Central Military Emergency University Hospital, Bucharest, Romania.

出版信息

Curr Health Sci J. 2020 Jul-Sep;46(3):297-299. doi: 10.12865/CHSJ.46.03.12. Epub 2020 Sep 30.

Abstract

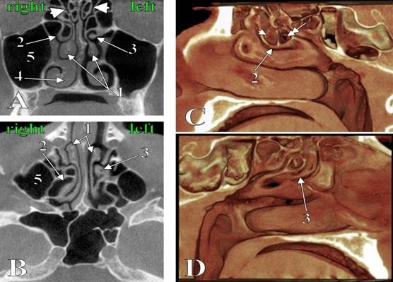
The nasal turbinates adhere to the lateral nasal wall and are subjected to various morphological variations. A common variation is concha bullosa, the pneumatization of a nasal turbinate. Another possible variation is the secondary middle turbinate (SMT) which originates from the lateral wall of the middle nasal meatus. Pneumatized SMTs were previously found only twice in Computed Tomography (CT) studies. It is hereby reported the third such evidence, gathered in a 44 y.o. male patient which was scanned in Cone Beam CT (CBCT) for routine dental medical procedures. In the present case the superior turbinates were pneumatized and were found bilateral SMTs. The left SMT was unpneumatized and projected medially and the right SMT was pneumatized and projected infero-medially. The right pneumatized SMT was communicating through a narrow isthmus with the ethmoidal bulla; beneath these two, a large ethmoidal infundibulum opened medially through a narrow semilunar hiatus. Such extremely rare anatomic variations could impede on the normal drainage of the ostiomeatal unit and could lead to inadvertent surgical corridors if they are not documented in CT or CBCT.

摘要

鼻甲附着于鼻腔外侧壁,形态多样。常见的变异是泡状鼻甲,即鼻甲的气化。另一种可能的变异是继发中鼻甲(SMT),它起源于中鼻道的外侧壁。气化的SMT以前在计算机断层扫描(CT)研究中仅发现过两次。在此报告第三次此类证据,该证据来自一名44岁男性患者,其因常规牙科医疗程序接受了锥形束CT(CBCT)扫描。在本病例中,上鼻甲气化,双侧发现SMT。左侧SMT未气化,向内突出;右侧SMT气化,向内下突出。右侧气化的SMT通过一个狭窄的峡部与筛泡相通;在这两者下方,一个大的筛漏斗通过一个狭窄的半月裂孔向内开口。这种极其罕见的解剖变异可能会阻碍窦口鼻道复合体的正常引流,如果在CT或CBCT中未记录,可能会导致意外的手术通道。

https://cdn.ncbi.nlm.nih.gov/pmc/blobs/e3c7/7716766/7d4203604e0f/CHSJ-46-03-297-fig1.jpg

文献检索

告别复杂PubMed语法,用中文像聊天一样搜索,搜遍4000万医学文献。AI智能推荐,让科研检索更轻松。

立即免费搜索

文件翻译

保留排版,准确专业,支持PDF/Word/PPT等文件格式,支持 12+语言互译。

免费翻译文档

深度研究

AI帮你快速写综述,25分钟生成高质量综述,智能提取关键信息,辅助科研写作。

立即免费体验