Suppr超能文献

成人肘部钙化性肌腱炎——病例报告及文献综述

Calcific Tendonitis of the Elbow in an Adult - A Case Report and Review of the Literature.

作者信息

Vaishya Raju, Siddalingeshwara G I, Vaishya Abhishek

机构信息

Department of Orthopaedics, Indraprastha Apollo Hospital, New Delhi, India.

出版信息

J Orthop Case Rep. 2020 Aug-Sep;10(5):57-60. doi: 10.13107/jocr.2020.v10.i05.1838.

Abstract

INTRODUCTION

Calcific tendonitis occurs most commonly in the shoulder, and it is a rare entity in other parts including the elbow. We report a symptomatic case of calcific tendonitis of common extensor origin of the non-dominant elbow in a young female.

CASE PRESENTATION

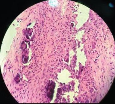
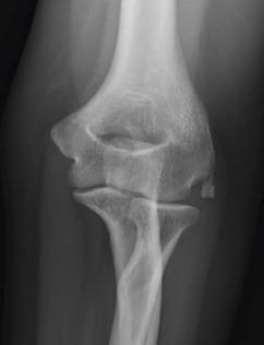
A 39-year-old female (right hand dominant) presented with the left elbow pain for the past 1 year. The diagnosis was achieved by radiography and confirmed by histopathology. Her pain did not respond to conservative treatment of analgesics, physiotherapy, and elbow support and a local steroid injection. She, therefore, underwent surgical exploration of the elbow, under general anesthesia. There was white-colored paste like a collection within the common extensor tendon origin, with dystrophic calcification of the tendon. The histology of the excised tissue revealed focal nodular aggregates of plump fibroblasts and osteoclastic giant cells around microcalcific foci. Large areas of fibrosis and calcific nodular deposits seen suggestive of calcific tendonitis.

CONCLUSION

Calcific tendonitis is not a common condition around elbow joint. The diagnosis may be delayed due to its rarity. Hence, a high degree of suspicion in the absence of trauma, along with relevant investigations, leads to a definitive diagnosis and treatment. A review of literature also becomes important since it is not a day-to-day case.

摘要

引言

钙化性肌腱炎最常发生于肩部,在包括肘部在内的其他部位较为罕见。我们报告一例年轻女性非优势侧肘部伸肌总腱起点钙化性肌腱炎的症状性病例。

病例介绍

一名39岁女性(右手为优势手),过去1年出现左肘疼痛。通过X线摄影确诊,并经组织病理学证实。她的疼痛对镇痛药、物理治疗、肘部支撑以及局部类固醇注射等保守治疗均无反应。因此,她在全身麻醉下接受了肘部手术探查。在伸肌总腱起点处有白色膏状物质聚集,肌腱存在营养不良性钙化。切除组织的组织学检查显示,微钙化灶周围有丰满的成纤维细胞和破骨巨细胞形成的局灶性结节状聚集。可见大片纤维化和钙化结节沉积,提示钙化性肌腱炎。

结论

钙化性肌腱炎在肘关节周围并不常见。由于其罕见性,诊断可能会延迟。因此,在无外伤的情况下保持高度怀疑,并进行相关检查,可得出明确诊断并进行治疗。鉴于这并非常见病例,文献复习也很重要。

https://cdn.ncbi.nlm.nih.gov/pmc/blobs/334c/7706431/e70e442e8734/JOCR-10-57-g001.jpg

文献AI研究员

20分钟写一篇综述,助力文献阅读效率提升50倍。

立即体验

用中文搜PubMed

大模型驱动的PubMed中文搜索引擎

马上搜索

文档翻译

学术文献翻译模型,支持多种主流文档格式。

立即体验