Al Hassan Mohamed S, El Ansari Walid, Elshafeey Abdallah, Petkar Mahir, Abdelaal Abdelrahman
Department of General Surgery, Hamad General Hospital, Doha, Qatar.
Department of Surgery, Hamad General Hospital, Doha, Qatar; College of Medicine, Qatar University, Doha, Qatar; School of Health and Education, University of Skövde, Skövde, Sweden.
Int J Surg Case Rep. 2021 Jan;78:411-416. doi: 10.1016/j.ijscr.2020.11.159. Epub 2020 Dec 2.
Non-invasive follicular thyroid neoplasm with papillary-like features (NIFTP) is a recently characterized lesion with very low malignant potential. This has allowed for less aggressive management of this tumor subtype. Papillary thyroid carcinoma (PTC) has malignant potential and requires different considerations in management.
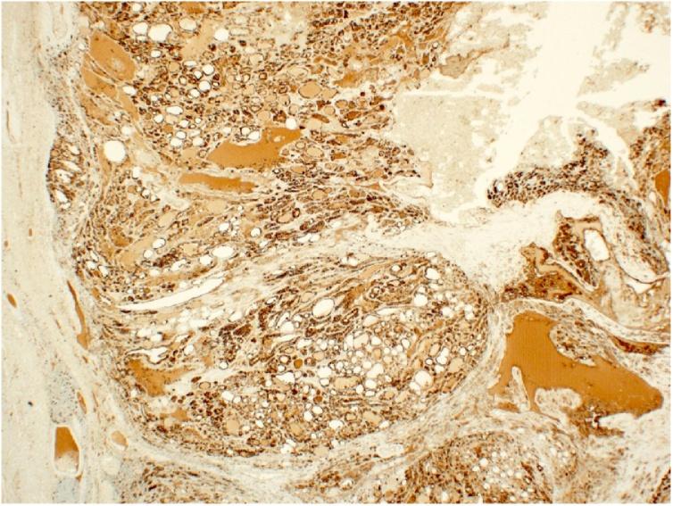
A 33-year-old woman presented to our Thyroid Surgery Clinic with a left neck swelling slowly enlarging over 4 years, and recent right-sided neck pain. Neck ultrasound and fine needle aspiration for cytology found bilateral thyroid nodules, labelled as 'follicular lesion of undetermined significance' (FLUS). Final pathology report after total thyroidectomy identified four distinct tumors: bilateral NIFTP lesions and bilateral papillary microcarcinomas.
Management of NIFTP comprises partial or total thyroidectomy without further intervention. Management of PTC is the same but with the possible addition of radioactive ablation due to the increased malignant potential. This is the first report of bilateral NIFTP lesions and bilateral papillary microcarcinomas co-occurring together in the same patient, so management was challenging. The decision was made to give the patient low dose radioactive iodine ablation and continue monitoring. Ultrasound of the neck follow up 6 months later showed no residual thyroid tissue or local recurrence.
Although rare, NIFTP can co-occur with PTC. Bilateral NIFTP with bilateral PTC is extremely rare. Surgeons and pathologists need to be aware of this rare entity that can co-occur in both thyroid lobes. Total thyroidectomy is the definitive treatment. Post-surgery surveillance is important and follow up needs to be watchful for any recurrence or metastasis.
具有乳头状特征的非侵袭性滤泡性甲状腺肿瘤(NIFTP)是一种最近被明确的病变,其恶性潜能非常低。这使得对这种肿瘤亚型的治疗可以采取不太激进的方式。乳头状甲状腺癌(PTC)具有恶性潜能,在治疗上需要不同的考量。
一名33岁女性因左侧颈部肿物4年缓慢增大且近期出现右侧颈部疼痛就诊于我们的甲状腺外科门诊。颈部超声及细针穿刺细胞学检查发现双侧甲状腺结节,标记为“意义未明的滤泡性病变”(FLUS)。全甲状腺切除术后的最终病理报告显示有四种不同的肿瘤:双侧NIFTP病变和双侧乳头状微小癌。
NIFTP的治疗包括甲状腺部分或全切除术,无需进一步干预。PTC的治疗相同,但由于恶性潜能增加,可能需要加用放射性消融治疗。这是首例同一患者双侧NIFTP病变与双侧乳头状微小癌同时存在的报告,因此治疗颇具挑战性。决定给予患者低剂量放射性碘消融治疗并继续监测。6个月后的颈部超声随访显示无残留甲状腺组织或局部复发。
尽管罕见,但NIFTP可与PTC同时发生。双侧NIFTP合并双侧PTC极为罕见。外科医生和病理学家需要认识到这种可同时出现在双侧甲状腺叶的罕见情况。全甲状腺切除术是确定性治疗方法。术后监测很重要,随访时需要密切留意任何复发或转移情况。