Suppr超能文献

孤立性黄斑发育不良的多模态影像学:病例报告。

Multimodal Imaging of Isolated Foveal Hypoplasia: A Case Report.

机构信息

Ege University Faculty of Medicine, Department of Ophthalmology, İzmir, Turkey.

出版信息

Turk J Ophthalmol. 2020 Oct 30;50(5):321-323. doi: 10.4274/tjo.galenos.2020.58638.

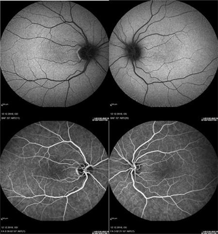
Abstract

Fovea hipoplazisi, normal foveanın gelişmemesi ile karakterizedir. İzole veya başka oküler durumlarda sekonder olarak gelişebilmektedir. Optik koherens tomografi (OKT), floresein anjiyografi, fundus otofloresans ve OKT anjiyografi tanıda kullanılabilir. Bu olgu sunumunda multimodal görüntüleme ile tanı konulan, foveal hipoplazili bir hastayı sunmaktayız.

摘要

黄斑发育不全是指正常黄斑发育不良。它可以是孤立的,也可以继发于其他眼部情况。可使用光学相干断层扫描(OCT)、荧光素血管造影、眼底自发荧光和 OCT 血管造影进行诊断。在本病例报告中,我们介绍了一位经多模态成像诊断为黄斑发育不全的患者。

https://cdn.ncbi.nlm.nih.gov/pmc/blobs/20fa/7610051/364ec1321997/TJO-50-321-g1.jpg

文献检索

告别复杂PubMed语法,用中文像聊天一样搜索,搜遍4000万医学文献。AI智能推荐,让科研检索更轻松。

立即免费搜索

文件翻译

保留排版,准确专业,支持PDF/Word/PPT等文件格式,支持 12+语言互译。

免费翻译文档

深度研究

AI帮你快速写综述,25分钟生成高质量综述,智能提取关键信息,辅助科研写作。

立即免费体验