Suppr超能文献

肝内胆管囊腺瘤:一例报告。

Intrahepatic biliary cystadenoma: A case report.

作者信息

Xu Ruo-Mei, Li Xiao-Ru, Liu Lin-Han, Zheng Wen-Qiao, Zhou Hui, Wang Xiao-Chun

机构信息

College of Medical Imaging, Shanxi Medical University, Taiyuan 030001, Shanxi Province, China.

Department of Radiology, First Hospital of Shanxi Medical University, Taiyuan 030001, Shanxi Province, China.

出版信息

World J Clin Cases. 2020 Nov 26;8(22):5670-5677. doi: 10.12998/wjcc.v8.i22.5670.

Abstract

BACKGROUND

Biliary cystadenoma (BCA) is a rare benign tumor, accounting for only 5% of reported cystic lesions of the liver. Given its potential for malignancy and high rate of recurrence, surgical resection is the preferred treatment. Therefore, early and accurate preoperative diagnosis is critical to the choice of treatment. We here report the first male case of BCA in our hospital, diagnosed by our team and confirmed by pathological biopsy. This article aims to improve the understanding of this disease and help make a correct diagnosis to better manage it.

CASE SUMMARY

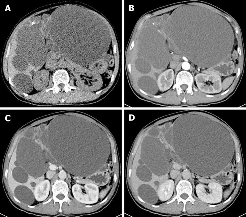
A 58-year-old man with irregular abdominal discomfort came to our clinic and was found to have a distended abdomen during physical examination. Computed tomography and magnetic resonance imaging both showed a huge cystic mass in the liver. The patient underwent left hepatic lobectomy, cholecystectomy, and liver cyst fenestration, and most of the masses had decreased in size as of the 6-mo follow-up. The pathological diagnosis was consistent with BCA, and no recurrence was detected after the surgery. BCA occurred mainly in middle-aged women. To the best of our knowledge, this patient is the 11th male case of BCA reported in the literature.

CONCLUSION

The combination of magnetic resonance imaging and magnetic resonance cholangiopancreatography is of great significance for the early accurate diagnosis of the disease and the choice of surgical methods.

摘要

背景

胆管囊腺瘤(BCA)是一种罕见的良性肿瘤,仅占已报道的肝脏囊性病变的5%。鉴于其恶变潜能和高复发率,手术切除是首选治疗方法。因此,早期准确的术前诊断对于治疗方案的选择至关重要。我们在此报告我院首例经团队诊断并经病理活检证实的男性BCA病例。本文旨在提高对该疾病的认识,并有助于做出正确诊断以更好地进行管理。

病例摘要

一名58岁男性因腹部不规则不适前来我院就诊,体格检查发现腹部膨隆。计算机断层扫描和磁共振成像均显示肝脏有巨大囊性肿块。患者接受了左肝叶切除术、胆囊切除术和肝囊肿开窗术,截至6个月随访时,大部分肿块体积缩小。病理诊断符合BCA,术后未检测到复发。BCA主要发生于中年女性。据我们所知,该患者是文献报道的第11例男性BCA病例。

结论

磁共振成像和磁共振胰胆管造影相结合对于该疾病的早期准确诊断及手术方式的选择具有重要意义。

https://cdn.ncbi.nlm.nih.gov/pmc/blobs/dffe/7716321/301e108f6d44/WJCC-8-5670-g001.jpg

文献检索

告别复杂PubMed语法,用中文像聊天一样搜索,搜遍4000万医学文献。AI智能推荐,让科研检索更轻松。

立即免费搜索

文件翻译

保留排版,准确专业,支持PDF/Word/PPT等文件格式,支持 12+语言互译。

免费翻译文档

深度研究

AI帮你快速写综述,25分钟生成高质量综述,智能提取关键信息,辅助科研写作。

立即免费体验