• 文献检索
  • 文档翻译
  • 深度研究
  • 学术资讯
  • Suppr Zotero 插件Zotero 插件
  • 邀请有礼
  • 套餐&价格
  • 历史记录
应用&插件
Suppr Zotero 插件Zotero 插件浏览器插件Mac 客户端Windows 客户端微信小程序
定价
高级版会员购买积分包购买API积分包
服务
文献检索文档翻译深度研究API 文档MCP 服务
关于我们
关于 Suppr公司介绍联系我们用户协议隐私条款
关注我们

Suppr 超能文献

核心技术专利:CN118964589B侵权必究
粤ICP备2023148730 号-1Suppr @ 2026

文献检索

告别复杂PubMed语法,用中文像聊天一样搜索,搜遍4000万医学文献。AI智能推荐,让科研检索更轻松。

立即免费搜索

文件翻译

保留排版,准确专业,支持PDF/Word/PPT等文件格式,支持 12+语言互译。

免费翻译文档

深度研究

AI帮你快速写综述,25分钟生成高质量综述,智能提取关键信息,辅助科研写作。

立即免费体验

以胆囊肿块、黄疸和Mirizzi综合征为表现的急性重症胆囊炎伴积脓:一例报告

Acute severe cholecystitis with empyema presenting as a gallbladder mass, jaundice and Mirizzi Syndrome: A case report.

作者信息

Mao Derek, Mekaeil Bishoy, Lyon Matthew, Kandpal Harsh, Pynadath Joseph Varghese, Gupta Shilpi, Chandrasegaram Manju Dashini

机构信息

Faculty of Health Sciences and Medicine, Bond University, Robina, Gold Coast, Queensland, Australia.

Department of General Surgery, The Prince Charles Hospital, Chermside, Brisbane, Queensland, Australia.

出版信息

Int J Surg Case Rep. 2021 Jan;78:223-227. doi: 10.1016/j.ijscr.2020.12.035. Epub 2020 Dec 16.

DOI:10.1016/j.ijscr.2020.12.035
PMID:33360974
原文链接:https://pmc.ncbi.nlm.nih.gov/articles/PMC7772368/
Abstract

INTRODUCTION

Acute severe cholecystitis with empyema presenting as a gallbladder mass, jaundice and Mirizzi Syndrome (MS) is a complex surgical problem both diagnostically and in terms of management as it mimics both xanthogranulomatous cholecystitis (XGC) and gallbladder carcinoma.

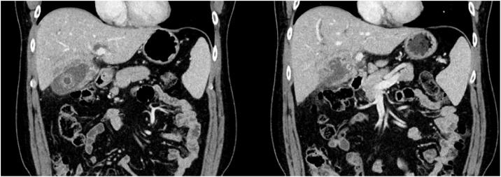
PRESENTATION OF CASE

A 48-year-old gentleman was referred to us with biliary colic and weight loss with ultrasound findings of gallstones. At subsequent follow-up he became deeply jaundiced with deranged liver function and a CT showing a gallbladder mass and dilated biliary tree. Follow-up MRCP suggested XGC and concomitant MS, but a malignant process could not be excluded. Pre-operative fine needle aspiration cytology (FNAC) at the time of percutaneous biliary drainage for his jaundice demonstrated XGC with no evidence of malignancy. Given the dense inflammation and a tense empyema at laparoscopy, he underwent a subtotal fenestrating cholecystectomy. The final histopathological diagnosis was acute cholecystitis.

DISCUSSION

Our patient likely had unrecognised acute cholecystitis which progressed to a complex mass with empyema and type I Mirizzi Syndrome, ultimately resulting in severe obstructive jaundice mimicking gallbladder carcinoma. Given that a laparoscopic total cholecystectomy is dangerous in these cases of severe inflammation, a laparoscopic subtotal cholecystectomy has been shown to be a safe alternative to more invasive strategies and was successfully utilised in our patient.

CONCLUSION

Acute severe cholecystitis with empyema presenting as a gallbladder mass, jaundice and Mirizzi Syndrome is a rare manifestation that requires adequate pre-operative work-up to exclude malignancy. Subtotal fenestrating cholecystectomy is a safe and effective alternative to open surgery in these cases of complex inflammation.

摘要

引言

急性重症胆囊炎合并积脓表现为胆囊肿块、黄疸和Mirizzi综合征(MS),是一个复杂的外科问题,在诊断和治疗方面都很棘手,因为它既类似黄色肉芽肿性胆囊炎(XGC),又类似胆囊癌。

病例介绍

一名48岁男性因胆绞痛和体重减轻前来就诊,超声检查发现有胆结石。在随后的随访中,他出现了深度黄疸,肝功能紊乱,CT显示有胆囊肿块和胆管扩张。后续的磁共振胰胆管造影(MRCP)提示为XGC并伴有MS,但不能排除恶性病变。在为其黄疸进行经皮胆道引流时,术前细针穿刺抽吸细胞学检查(FNAC)显示为XGC,无恶性证据。鉴于腹腔镜检查时炎症严重且积脓张力高,他接受了开窗式胆囊次全切除术。最终的组织病理学诊断为急性胆囊炎。

讨论

我们的患者可能最初患有未被识别的急性胆囊炎,进而发展为伴有积脓和I型Mirizzi综合征的复杂肿块,最终导致类似胆囊癌的严重梗阻性黄疸。鉴于在这些严重炎症病例中进行腹腔镜胆囊全切除术很危险,开窗式胆囊次全切除术已被证明是一种比更具侵入性的手术策略更安全的替代方法,并成功应用于我们的患者。

结论

急性重症胆囊炎合并积脓表现为胆囊肿块、黄疸和Mirizzi综合征是一种罕见的表现,需要进行充分的术前检查以排除恶性病变。在这些复杂炎症病例中,开窗式胆囊次全切除术是开放手术的一种安全有效的替代方法。

https://cdn.ncbi.nlm.nih.gov/pmc/blobs/c75f/7772368/7f00b1c28800/gr5.jpg
https://cdn.ncbi.nlm.nih.gov/pmc/blobs/c75f/7772368/494792e9ee00/gr1.jpg
https://cdn.ncbi.nlm.nih.gov/pmc/blobs/c75f/7772368/763071f53612/gr2.jpg
https://cdn.ncbi.nlm.nih.gov/pmc/blobs/c75f/7772368/e9696fa2240c/gr3.jpg
https://cdn.ncbi.nlm.nih.gov/pmc/blobs/c75f/7772368/3b27d5484d9c/gr4.jpg
https://cdn.ncbi.nlm.nih.gov/pmc/blobs/c75f/7772368/7f00b1c28800/gr5.jpg
https://cdn.ncbi.nlm.nih.gov/pmc/blobs/c75f/7772368/494792e9ee00/gr1.jpg
https://cdn.ncbi.nlm.nih.gov/pmc/blobs/c75f/7772368/763071f53612/gr2.jpg
https://cdn.ncbi.nlm.nih.gov/pmc/blobs/c75f/7772368/e9696fa2240c/gr3.jpg
https://cdn.ncbi.nlm.nih.gov/pmc/blobs/c75f/7772368/3b27d5484d9c/gr4.jpg
https://cdn.ncbi.nlm.nih.gov/pmc/blobs/c75f/7772368/7f00b1c28800/gr5.jpg

相似文献

1
Acute severe cholecystitis with empyema presenting as a gallbladder mass, jaundice and Mirizzi Syndrome: A case report.以胆囊肿块、黄疸和Mirizzi综合征为表现的急性重症胆囊炎伴积脓:一例报告
Int J Surg Case Rep. 2021 Jan;78:223-227. doi: 10.1016/j.ijscr.2020.12.035. Epub 2020 Dec 16.
2
Mirizzi syndrome caused by xanthogranulomatous cholecystitis: report of a case.黄色肉芽肿性胆囊炎所致Mirizzi综合征:一例报告
Surg Today. 1997;27(8):757-61. doi: 10.1007/BF02384992.
3
Xanthogranulomatous cholecystitis: a review of 31 patients.黄色肉芽肿性胆囊炎:31 例患者回顾。
Surg Endosc. 2021 Jul;35(7):3874-3880. doi: 10.1007/s00464-020-07828-6. Epub 2020 Jul 27.
4
Outcomes of Xanthogranulomatous cholecystitis in laparoscopic era: A retrospective Cohort study.腹腔镜时代黄色肉芽肿性胆囊炎的治疗结果:一项回顾性队列研究。
J Minim Access Surg. 2013 Jul;9(3):109-15. doi: 10.4103/0972-9941.115368.
5
Xanthogranulomatous cholecystitis mimicking gallbladder carcinoma: a case report.酷似胆囊癌的黄色肉芽肿性胆囊炎:一例报告
Ann Med Surg (Lond). 2023 Mar 27;85(4):1116-1118. doi: 10.1097/MS9.0000000000000363. eCollection 2023 Apr.
6
Diagnosis and treatment of xanthogranulomatous cholecystitis: a report of 39 cases.诊断和治疗黄色肉芽肿性胆囊炎:39 例报告。
Cell Biochem Biophys. 2012 Nov;64(2):131-5. doi: 10.1007/s12013-012-9381-y.
7
A Case of Gallbladder Adenocarcinoma Presenting as Mirizzi Syndrome in a Non-Jaundiced Patient With Recent Weight Loss.一例胆囊腺癌表现为Mirizzi综合征,患者无黄疸但近期体重减轻
Cureus. 2022 Oct 19;14(10):e30459. doi: 10.7759/cureus.30459. eCollection 2022 Oct.
8
Perfidious gallbladders - a diagnostic dilemma with xanthogranulomatous cholecystitis.坏疽性胆囊炎——黄色肉芽肿性胆囊炎的诊断难题
Ann R Coll Surg Engl. 2007 Mar;89(2):168-72. doi: 10.1308/003588407X155833.
9
Presentation and surgical management of xanthogranulomatous cholecystitis.黄肉芽肿性胆囊炎的临床表现与外科治疗。
Hepatobiliary Pancreat Dis Int. 2021 Apr;20(2):117-127. doi: 10.1016/j.hbpd.2021.01.002. Epub 2021 Jan 22.
10
Xanthogranulomatous cholecystitis: 15 years' experience.黄色肉芽肿性胆囊炎:15年经验
World J Surg. 2004 Mar;28(3):254-7. doi: 10.1007/s00268-003-7161-y. Epub 2004 Feb 17.

引用本文的文献

1
Mirizzi syndrome masquerading as gallbladder carcinoma: a case report on diagnostic challenges and multidisciplinary management.伪装成胆囊癌的Mirizzi综合征:一例关于诊断挑战与多学科管理的病例报告
Front Med (Lausanne). 2025 Jun 2;12:1586112. doi: 10.3389/fmed.2025.1586112. eCollection 2025.