Suppr超能文献

Double drainage of total anomalous pulmonary venous connection revealed after surgical repair of a supracardiac total anomalous pulmonary venous connection.

作者信息

Nagao Hiroyuki, Tominaga Kenta, Kamei Naoya, Tanaka Toshikatsu

机构信息

Department of Cardiology Hyogo prefectural Kobe children's hospital Kobe Japan.

出版信息

Clin Case Rep. 2020 Sep 15;8(12):3013-3017. doi: 10.1002/ccr3.3352. eCollection 2020 Dec.

Abstract

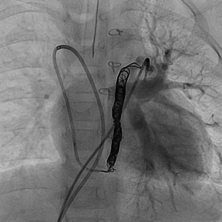
Mixed type TAPVC with double drainage, where the second vertical vein enlarged rather than atrophied after surgery. If we did not recognize left-to-right shunting before surgery, it can be treated with catheterization as demonstrated by our case.

摘要
https://cdn.ncbi.nlm.nih.gov/pmc/blobs/07d3/7752448/d708d1cdc079/CCR3-8-3013-g001.jpg

文献AI研究员

20分钟写一篇综述,助力文献阅读效率提升50倍。

立即体验

用中文搜PubMed

大模型驱动的PubMed中文搜索引擎

马上搜索

文档翻译

学术文献翻译模型,支持多种主流文档格式。

立即体验