Suppr超能文献

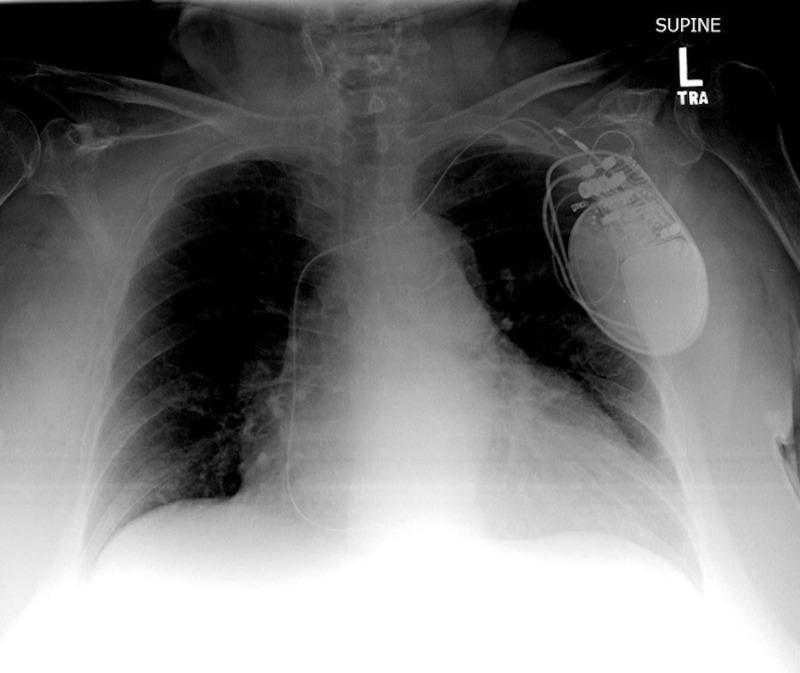
植入式自动心脏复律除颤器/起搏器导线断裂

Automated Implantable Cardioverter Defibrillator/Pacemaker Lead Fracture.

作者信息

Rubero Jose, Ramlatchan Sidhartha R, Solomon Matthew, George Andrew, Ganti Latha

机构信息

Emergency Medicine, University of Central Florida College of Medicine, Orlando, USA.

Emergency Medicine, Envision Physician Services, Plantation, USA.

出版信息

Cureus. 2020 Nov 19;12(11):e11562. doi: 10.7759/cureus.11562.

Abstract

Implanted artificial pacemakers are groundbreaking pieces of technology that have a vast array of medical benefits. However, as with other electronic devices, these implanted cardiac devices are not immune to failure. One of the most common failures are lead fractures, which can lead to conduction issues that result in inappropriate or insufficient electrical stimulation to the myocardium or other myocytes. The authors present a classic example of this type of artificial pacemaker failure, with the hospital course of a female patient presenting with erratic muscle contractions due to improper electrical impulse generation and conduction.

摘要

植入式人工心脏起搏器是具有诸多医学益处的开创性技术。然而,与其他电子设备一样,这些植入式心脏设备也并非不会出现故障。最常见的故障之一是导线断裂,这可能导致传导问题,进而导致对心肌或其他心肌细胞的电刺激不当或不足。作者给出了这类人工心脏起搏器故障的一个典型案例,讲述了一名女性患者的住院过程,该患者因电脉冲产生和传导不当而出现肌肉不规则收缩。

https://cdn.ncbi.nlm.nih.gov/pmc/blobs/fe3c/7749864/a1f12ab2330a/cureus-0012-00000011562-i01.jpg

文献AI研究员

20分钟写一篇综述,助力文献阅读效率提升50倍。

立即体验

用中文搜PubMed

大模型驱动的PubMed中文搜索引擎

马上搜索

文档翻译

学术文献翻译模型,支持多种主流文档格式。

立即体验