• 文献检索
  • 文档翻译
  • 深度研究
  • 学术资讯
  • Suppr Zotero 插件Zotero 插件
  • 邀请有礼
  • 套餐&价格
  • 历史记录
应用&插件
Suppr Zotero 插件Zotero 插件浏览器插件Mac 客户端Windows 客户端微信小程序
定价
高级版会员购买积分包购买API积分包
服务
文献检索文档翻译深度研究API 文档MCP 服务
关于我们
关于 Suppr公司介绍联系我们用户协议隐私条款
关注我们

Suppr 超能文献

核心技术专利:CN118964589B侵权必究
粤ICP备2023148730 号-1Suppr @ 2026

文献检索

告别复杂PubMed语法,用中文像聊天一样搜索,搜遍4000万医学文献。AI智能推荐,让科研检索更轻松。

立即免费搜索

文件翻译

保留排版,准确专业,支持PDF/Word/PPT等文件格式,支持 12+语言互译。

免费翻译文档

深度研究

AI帮你快速写综述,25分钟生成高质量综述,智能提取关键信息,辅助科研写作。

立即免费体验

RNA 结合蛋白 HuR 通过 Atg7 介导的自噬激活抑制糖尿病性椎间盘退变中的衰老。

RNA-binding protein HuR suppresses senescence through Atg7 mediated autophagy activation in diabetic intervertebral disc degeneration.

机构信息

Department of Orthopaedics, The Second Affiliated Hospital and Yuying Children's Hospital of Wenzhou Medical University, Wenzhou, China.

Key Laboratory of Orthopaedics of Zhejiang Province, Wenzhou, China.

出版信息

Cell Prolif. 2021 Feb;54(2):e12975. doi: 10.1111/cpr.12975. Epub 2020 Dec 28.

DOI:10.1111/cpr.12975
PMID:33372336
原文链接:https://pmc.ncbi.nlm.nih.gov/articles/PMC7848958/
Abstract

OBJECTIVES

Diabetes is a risk factor for intervertebral disc degeneration (IVDD). Studies have demonstrated that diabetes may affect IVDD through transcriptional regulation; however, whether post-transcriptional regulation is involved in diabetic IVDD (DB-IVDD) is still unknown. This study was performed to illustrate the role of HuR, an RNA-binding protein, in DB-IVDD development and its mechanism.

MATERIALS AND METHODS

The expression of HuR was evaluated in nucleus pulposus (NP) tissues from diabetic IVDD patients and in high glucose-treated NP cells. Senescence and autophagy were assessed in HuR over-expressing and downregulation NP cells. The mRNAs that were regulated by HuR were screened, and immunoprecipitation was applied to confirm the regulation of HuR on targeted mRNAs.

RESULTS

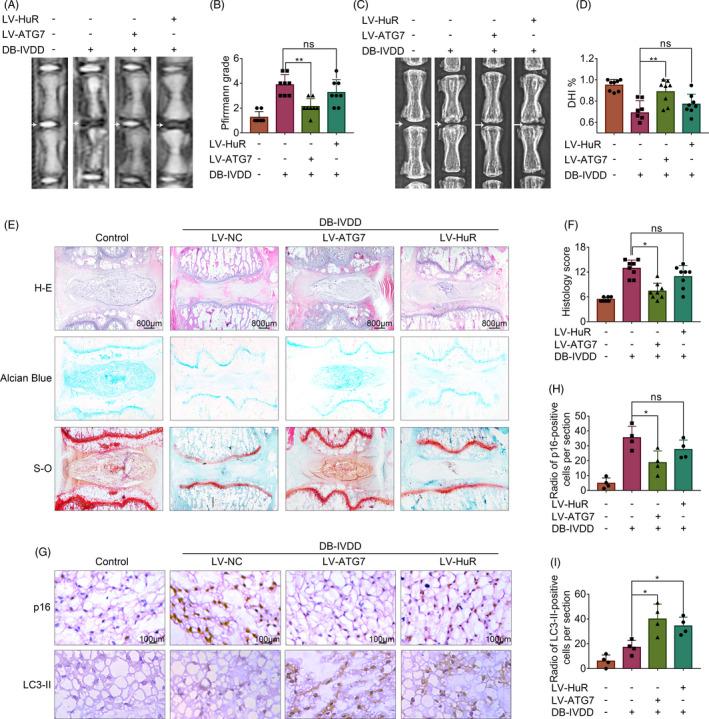
The results showed that the expression of HuR was decreased in diabetic NP tissues and high glucose-treated NP cells. Downregulation of HuR may lead to increased senescence in high glucose-treated NP cells, while autophagy activation attenuates senescence in HuR deficient NP cells. Mechanistic study showed that HuR prompted Atg7 mRNA stability via binding to the AU-rich elements. Furthermore, overexpression of Atg7, but not HuR, may ameliorate DB-IVDD in rats in vivo.

CONCLUSIONS

In conclusion, HuR may suppress senescence through autophagy activation via stabilizing Atg7 in diabetic NP cells; while Atg7, but not HuR, may serve as a potential therapeutic target for DB-IVDD.

摘要

目的

糖尿病是椎间盘退行性变(IVDD)的一个危险因素。研究表明,糖尿病可能通过转录调控影响 IVDD;然而,糖尿病性 IVDD(DB-IVDD)是否涉及转录后调控尚不清楚。本研究旨在阐明 RNA 结合蛋白 HuR 在 DB-IVDD 发病机制中的作用及其机制。

材料和方法

评估糖尿病 IVDD 患者的髓核组织和高糖处理的髓核细胞中 HuR 的表达。在 HuR 过表达和下调的髓核细胞中评估衰老和自噬。筛选受 HuR 调控的 mRNAs,并应用免疫沉淀法证实 HuR 对靶向 mRNAs 的调控。

结果

结果表明,HuR 在糖尿病性 NP 组织和高糖处理的 NP 细胞中的表达降低。HuR 的下调可能导致高糖处理的 NP 细胞中衰老增加,而自噬激活减轻 HuR 缺陷 NP 细胞中的衰老。机制研究表明,HuR 通过与富含 AU 的元件结合来促进 Atg7 mRNA 的稳定性。此外,Atg7 的过表达,而不是 HuR,可能在体内改善大鼠的 DB-IVDD。

结论

总之,HuR 可能通过稳定糖尿病性 NP 细胞中的 Atg7 来通过自噬激活抑制衰老;而 Atg7 而不是 HuR 可能是 DB-IVDD 的潜在治疗靶点。

https://cdn.ncbi.nlm.nih.gov/pmc/blobs/9d33/7848958/350295c6b19d/CPR-54-e12975-g008.jpg
https://cdn.ncbi.nlm.nih.gov/pmc/blobs/9d33/7848958/3cb8b042e9ed/CPR-54-e12975-g001.jpg
https://cdn.ncbi.nlm.nih.gov/pmc/blobs/9d33/7848958/76ccc6edfcd3/CPR-54-e12975-g002.jpg
https://cdn.ncbi.nlm.nih.gov/pmc/blobs/9d33/7848958/40026be8a6ce/CPR-54-e12975-g003.jpg
https://cdn.ncbi.nlm.nih.gov/pmc/blobs/9d33/7848958/1647ca31248b/CPR-54-e12975-g004.jpg
https://cdn.ncbi.nlm.nih.gov/pmc/blobs/9d33/7848958/2c850e47b0ab/CPR-54-e12975-g005.jpg
https://cdn.ncbi.nlm.nih.gov/pmc/blobs/9d33/7848958/7b9a47ff3290/CPR-54-e12975-g006.jpg
https://cdn.ncbi.nlm.nih.gov/pmc/blobs/9d33/7848958/b41e886069f1/CPR-54-e12975-g007.jpg
https://cdn.ncbi.nlm.nih.gov/pmc/blobs/9d33/7848958/350295c6b19d/CPR-54-e12975-g008.jpg
https://cdn.ncbi.nlm.nih.gov/pmc/blobs/9d33/7848958/3cb8b042e9ed/CPR-54-e12975-g001.jpg
https://cdn.ncbi.nlm.nih.gov/pmc/blobs/9d33/7848958/76ccc6edfcd3/CPR-54-e12975-g002.jpg
https://cdn.ncbi.nlm.nih.gov/pmc/blobs/9d33/7848958/40026be8a6ce/CPR-54-e12975-g003.jpg
https://cdn.ncbi.nlm.nih.gov/pmc/blobs/9d33/7848958/1647ca31248b/CPR-54-e12975-g004.jpg
https://cdn.ncbi.nlm.nih.gov/pmc/blobs/9d33/7848958/2c850e47b0ab/CPR-54-e12975-g005.jpg
https://cdn.ncbi.nlm.nih.gov/pmc/blobs/9d33/7848958/7b9a47ff3290/CPR-54-e12975-g006.jpg
https://cdn.ncbi.nlm.nih.gov/pmc/blobs/9d33/7848958/b41e886069f1/CPR-54-e12975-g007.jpg
https://cdn.ncbi.nlm.nih.gov/pmc/blobs/9d33/7848958/350295c6b19d/CPR-54-e12975-g008.jpg

相似文献

1
RNA-binding protein HuR suppresses senescence through Atg7 mediated autophagy activation in diabetic intervertebral disc degeneration.RNA 结合蛋白 HuR 通过 Atg7 介导的自噬激活抑制糖尿病性椎间盘退变中的衰老。
Cell Prolif. 2021 Feb;54(2):e12975. doi: 10.1111/cpr.12975. Epub 2020 Dec 28.
2
TFEB protects nucleus pulposus cells against apoptosis and senescence via restoring autophagic flux.TFEB 通过恢复自噬流来保护髓核细胞免受细胞凋亡和衰老。
Osteoarthritis Cartilage. 2019 Feb;27(2):347-357. doi: 10.1016/j.joca.2018.10.011. Epub 2018 Nov 8.
3
The therapeutic effect of TBK1 in intervertebral disc degeneration via coordinating selective autophagy and autophagic functions.通过协调选择性自噬和自噬功能,TBK1 在椎间盘退变中的治疗效果。
J Adv Res. 2020 Aug 24;30:1-13. doi: 10.1016/j.jare.2020.08.011. eCollection 2021 May.
4
Tbxt alleviates senescence and apoptosis of nucleus pulposus cells through Atg7-mediated autophagy activation during intervertebral disk degeneration.Tbxt 通过 Atg7 介导的自噬激活缓解椎间盘退变过程中髓核细胞的衰老和凋亡。
Am J Physiol Cell Physiol. 2024 Aug 1;327(2):C237-C253. doi: 10.1152/ajpcell.00126.2024. Epub 2024 Jun 10.
5
RNA-Binding Protein HuR Suppresses Inflammation and Promotes Extracellular Matrix Homeostasis via NKRF in Intervertebral Disc Degeneration.RNA结合蛋白HuR通过NKRF抑制椎间盘退变中的炎症并促进细胞外基质稳态
Front Cell Dev Biol. 2020 Nov 25;8:611234. doi: 10.3389/fcell.2020.611234. eCollection 2020.
6
RNA binding protein HuR regulates extracellular matrix gene expression and pH homeostasis independent of controlling HIF-1α signaling in nucleus pulposus cells.RNA 结合蛋白 HuR 通过调控细胞外基质基因表达和 pH 值平衡,独立于核内体细胞中 HIF-1α 信号调控。
Matrix Biol. 2019 Apr;77:23-40. doi: 10.1016/j.matbio.2018.08.003. Epub 2018 Aug 7.
7
Autophagy attenuates compression-induced apoptosis of human nucleus pulposus cells via MEK/ERK/NRF1/Atg7 signaling pathways during intervertebral disc degeneration.自噬通过 MEK/ERK/NRF1/Atg7 信号通路减轻椎间盘退变过程中压迫诱导的人髓核细胞凋亡。
Exp Cell Res. 2018 Sep 1;370(1):87-97. doi: 10.1016/j.yexcr.2018.06.012. Epub 2018 Jun 14.
8
Effect of miR-202-5p-mediated ATG7 on autophagy and apoptosis of degenerative nucleus pulposus cells.miR-202-5p 调控 ATG7 对退变髓核细胞自噬和凋亡的影响。
Eur Rev Med Pharmacol Sci. 2020 Jan;24(2):517-525. doi: 10.26355/eurrev_202001_20027.
9
ARRB1 inhibits extracellular matrix degradation and apoptosis of nucleus pulposus cells by promoting autophagy and attenuates intervertebral disc degeneration.ARRB1 通过促进自噬抑制核髓核细胞细胞外基质降解和凋亡,从而减轻椎间盘退变。
Biochim Biophys Acta Mol Cell Res. 2024 Oct;1871(7):119769. doi: 10.1016/j.bbamcr.2024.119769. Epub 2024 Jun 4.
10
POSTN promotes nucleus pulposus cell senescence and extracellular matrix metabolism via activing Wnt/β-catenin and NF-κB signal pathway in intervertebral disc degeneration.POSTN 通过激活 Wnt/β-catenin 和 NF-κB 信号通路促进椎间盘退变中髓核细胞衰老和细胞外基质代谢。
Cell Signal. 2024 Sep;121:111277. doi: 10.1016/j.cellsig.2024.111277. Epub 2024 Jun 27.

引用本文的文献

1
Ipriflavone ameliorates intervertebral disc degeneration by inhibiting osteoporosis of vertebral body and pyroptosis of the nucleus pulposus in instability of lumbar spine and diabetic mice.依普黄酮通过抑制腰椎不稳和糖尿病小鼠椎体骨质疏松及髓核细胞焦亡来改善椎间盘退变。
Front Bioeng Biotechnol. 2025 Aug 5;13:1639117. doi: 10.3389/fbioe.2025.1639117. eCollection 2025.
2
CXCL12-targeting siRNA nanoparticles alleviate immunosuppression and inhibit tumor progression in esophageal squamous cell carcinoma.靶向CXCL12的小干扰RNA纳米颗粒可减轻食管鳞状细胞癌的免疫抑制并抑制肿瘤进展。
J Nanobiotechnology. 2025 Jul 16;23(1):519. doi: 10.1186/s12951-025-03476-x.
3

本文引用的文献

1
New insights into the interplay between miRNAs and autophagy in the aging of intervertebral discs.微小RNA(miRNA)与自噬在椎间盘退变中的相互作用新见解。
Ageing Res Rev. 2021 Jan;65:101227. doi: 10.1016/j.arr.2020.101227. Epub 2020 Nov 22.
2
p16 deficiency attenuates intervertebral disc degeneration by adjusting oxidative stress and nucleus pulposus cell cycle.p16 缺乏通过调节氧化应激和髓核细胞周期来减轻椎间盘退变。
Elife. 2020 Mar 3;9:e52570. doi: 10.7554/eLife.52570.
3
Interaction between HuR and Modulates Autophagy in the Intestinal Epithelium by Altering ATG16L1 Translation.
MANF overexpression ameliorates oxidative stress-induced apoptosis of human nucleus pulposus cells by facilitating mitophagy through promoting MFN2 expression.
MANF过表达通过促进MFN2表达来促进线粒体自噬,从而改善氧化应激诱导的人髓核细胞凋亡。
Sci Rep. 2025 Jan 2;15(1):476. doi: 10.1038/s41598-024-84167-9.
4
Hepatocyte-Specific HuR Protects Against Acetaminophen-Induced Liver Injury in Mice.肝细胞特异性 HuR 可保护小鼠免受对乙酰氨基酚诱导的肝损伤。
J Cell Mol Med. 2024 Nov;28(22):e70246. doi: 10.1111/jcmm.70246.
5
Aging and Autophagy: Roles in Musculoskeletal System Injury.衰老与自噬:在肌肉骨骼系统损伤中的作用
Aging Dis. 2024 Jun 3;16(3):1438-1451. doi: 10.14336/AD.2024.0362.
6
Insights on E1-like enzyme ATG7: functional regulation and relationships with aging-related diseases.E1 样酶 ATG7 的作用机制及其与衰老相关疾病的关系研究进展。
Commun Biol. 2024 Mar 29;7(1):382. doi: 10.1038/s42003-024-06080-1.
7
From hyperglycemia to intervertebral disc damage: exploring diabetic-induced disc degeneration.从高血糖到椎间盘损伤:探索糖尿病引起的椎间盘退变。
Front Immunol. 2024 Feb 20;15:1355503. doi: 10.3389/fimmu.2024.1355503. eCollection 2024.
8
HuR-positive stress granules: Potential targets for age-related osteoporosis.HuR阳性应激颗粒:与年龄相关骨质疏松症的潜在靶点。
Aging Cell. 2024 Mar;23(3):e14053. doi: 10.1111/acel.14053. Epub 2024 Feb 20.
9
The effect of diabetes mellitus on lumbar disc degeneration: an MRI-based study.糖尿病对腰椎间盘退变的影响:一项基于 MRI 的研究。
Eur Spine J. 2024 May;33(5):1999-2006. doi: 10.1007/s00586-024-08150-8. Epub 2024 Feb 15.
10
Emerging roles of RNA binding proteins in intervertebral disc degeneration and osteoarthritis.RNA 结合蛋白在椎间盘退变和骨关节炎中的新兴作用。
Orthop Surg. 2023 Dec;15(12):3015-3025. doi: 10.1111/os.13851. Epub 2023 Oct 6.
HuR 与 相互作用通过改变 ATG16L1 翻译来调节肠道上皮细胞中的自噬。
Mol Cell Biol. 2020 Feb 27;40(6). doi: 10.1128/MCB.00492-19.
4
Mfn2 is involved in intervertebral disc degeneration through autophagy modulation.Mfn2 通过自噬调节参与椎间盘退变。
Osteoarthritis Cartilage. 2020 Mar;28(3):363-374. doi: 10.1016/j.joca.2019.12.009. Epub 2020 Jan 8.
5
Autophagy Activation is Associated with Neuroprotection in Diabetes-associated Cognitive Decline.自噬激活与糖尿病相关认知功能下降中的神经保护作用有关。
Aging Dis. 2019 Dec 1;10(6):1233-1245. doi: 10.14336/AD.2018.1024. eCollection 2019 Dec.
6
The Sirt1/P53 Axis in Diabetic Intervertebral Disc Degeneration Pathogenesis and Therapeutics.Sirt1/P53 轴在糖尿病性椎间盘退变发病机制和治疗中的作用。
Oxid Med Cell Longev. 2019 Sep 9;2019:7959573. doi: 10.1155/2019/7959573. eCollection 2019.
7
BRD4 inhibition regulates MAPK, NF-κB signals, and autophagy to suppress MMP-13 expression in diabetic intervertebral disc degeneration.BRD4 抑制调节 MAPK、NF-κB 信号和自噬,以抑制糖尿病性椎间盘退变中 MMP-13 的表达。
FASEB J. 2019 Oct;33(10):11555-11566. doi: 10.1096/fj.201900703R. Epub 2019 Jul 22.
8
The RNA binding protein HuR influences skeletal muscle metabolic flexibility in rodents and humans.RNA 结合蛋白 HuR 影响啮齿动物和人类的骨骼肌代谢灵活性。
Metabolism. 2019 Aug;97:40-49. doi: 10.1016/j.metabol.2019.05.010. Epub 2019 May 23.
9
Systemic clearance of p16 -positive senescent cells mitigates age-associated intervertebral disc degeneration.p16 阳性衰老细胞的系统性清除可减轻与年龄相关的椎间盘退变。
Aging Cell. 2019 Jun;18(3):e12927. doi: 10.1111/acel.12927. Epub 2019 Mar 21.
10
p16 deletion in cells of the intervertebral disc affects their matrix homeostasis and senescence associated secretory phenotype without altering onset of senescence.p16 缺失会影响椎间盘细胞的基质稳态和衰老相关分泌表型,而不会改变衰老的发生。
Matrix Biol. 2019 Sep;82:54-70. doi: 10.1016/j.matbio.2019.02.004. Epub 2019 Feb 24.