• 文献检索
  • 文档翻译
  • 深度研究
  • 学术资讯
  • Suppr Zotero 插件Zotero 插件
  • 邀请有礼
  • 套餐&价格
  • 历史记录
应用&插件
Suppr Zotero 插件Zotero 插件浏览器插件Mac 客户端Windows 客户端微信小程序
定价
高级版会员购买积分包购买API积分包
服务
文献检索文档翻译深度研究API 文档MCP 服务
关于我们
关于 Suppr公司介绍联系我们用户协议隐私条款
关注我们

Suppr 超能文献

核心技术专利:CN118964589B侵权必究
粤ICP备2023148730 号-1Suppr @ 2026

文献检索

告别复杂PubMed语法,用中文像聊天一样搜索,搜遍4000万医学文献。AI智能推荐,让科研检索更轻松。

立即免费搜索

文件翻译

保留排版,准确专业,支持PDF/Word/PPT等文件格式,支持 12+语言互译。

免费翻译文档

深度研究

AI帮你快速写综述,25分钟生成高质量综述,智能提取关键信息,辅助科研写作。

立即免费体验

阿尔茨海默病和克雅氏病中的细胞外淀粉样沉积物:不同蛋白质的相似行为?

Extracellular Amyloid Deposits in Alzheimer's and Creutzfeldt-Jakob Disease: Similar Behavior of Different Proteins?

机构信息

Department of Pathology and Molecular Medicine, Third Faculty of Medicine, Charles University and Thomayer Hospital, 100 00 Prague, Czech Republic.

Department of Pathology, First Faculty of Medicine, Charles University, and General University Hospital, 100 00 Prague, Czech Republic.

出版信息

Int J Mol Sci. 2020 Dec 22;22(1):7. doi: 10.3390/ijms22010007.

DOI:10.3390/ijms22010007
PMID:33374972
原文链接:https://pmc.ncbi.nlm.nih.gov/articles/PMC7792617/
Abstract

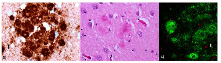
Neurodegenerative diseases are characterized by the deposition of specific protein aggregates, both intracellularly and/or extracellularly, depending on the type of disease. The extracellular occurrence of tridimensional structures formed by amyloidogenic proteins defines Alzheimer's disease, in which plaques are composed of amyloid β-protein, while in prionoses, the same term "amyloid" refers to the amyloid prion protein. In this review, we focused on providing a detailed didactic description and differentiation of diffuse, neuritic, and burnt-out plaques found in Alzheimer's disease and kuru-like, florid, multicentric, and neuritic plaques in human transmissible spongiform encephalopathies, followed by a systematic classification of the morphological similarities and differences between the extracellular amyloid deposits in these disorders. Both conditions are accompanied by the extracellular deposits that share certain signs, including neuritic degeneration, suggesting a particular role for amyloid protein toxicity.

摘要

神经退行性疾病的特征是特定蛋白质聚集物的沉积,无论是细胞内还是细胞外,具体取决于疾病的类型。由淀粉样蛋白形成的三维结构在细胞外的出现定义了阿尔茨海默病,其中斑块由淀粉样 β 蛋白组成,而在朊病毒病中,相同的术语“淀粉样”指的是淀粉样朊病毒蛋白。在这篇综述中,我们重点详细介绍了在阿尔茨海默病中发现的弥漫性、神经突性和耗竭性斑块,以及人类传染性海绵状脑病中的库鲁样、华丽型、多中心和神经突性斑块之间的差异,并对这些疾病中外泌体淀粉样沉积物的形态相似性和差异进行了系统分类。这两种情况都伴随着具有某些特征的细胞外沉积物,包括神经突变性,这表明淀粉样蛋白毒性具有特定作用。

https://cdn.ncbi.nlm.nih.gov/pmc/blobs/1341/7792617/79b40ca84b83/ijms-22-00007-g007.jpg
https://cdn.ncbi.nlm.nih.gov/pmc/blobs/1341/7792617/5c23e01d679a/ijms-22-00007-g001.jpg
https://cdn.ncbi.nlm.nih.gov/pmc/blobs/1341/7792617/e7aac13c7c0a/ijms-22-00007-g002.jpg
https://cdn.ncbi.nlm.nih.gov/pmc/blobs/1341/7792617/83c6f78db03f/ijms-22-00007-g003.jpg
https://cdn.ncbi.nlm.nih.gov/pmc/blobs/1341/7792617/07ec2baa2eae/ijms-22-00007-g004.jpg
https://cdn.ncbi.nlm.nih.gov/pmc/blobs/1341/7792617/0da7dbd9b268/ijms-22-00007-g005.jpg
https://cdn.ncbi.nlm.nih.gov/pmc/blobs/1341/7792617/68a588a2353d/ijms-22-00007-g006.jpg
https://cdn.ncbi.nlm.nih.gov/pmc/blobs/1341/7792617/79b40ca84b83/ijms-22-00007-g007.jpg
https://cdn.ncbi.nlm.nih.gov/pmc/blobs/1341/7792617/5c23e01d679a/ijms-22-00007-g001.jpg
https://cdn.ncbi.nlm.nih.gov/pmc/blobs/1341/7792617/e7aac13c7c0a/ijms-22-00007-g002.jpg
https://cdn.ncbi.nlm.nih.gov/pmc/blobs/1341/7792617/83c6f78db03f/ijms-22-00007-g003.jpg
https://cdn.ncbi.nlm.nih.gov/pmc/blobs/1341/7792617/07ec2baa2eae/ijms-22-00007-g004.jpg
https://cdn.ncbi.nlm.nih.gov/pmc/blobs/1341/7792617/0da7dbd9b268/ijms-22-00007-g005.jpg
https://cdn.ncbi.nlm.nih.gov/pmc/blobs/1341/7792617/68a588a2353d/ijms-22-00007-g006.jpg
https://cdn.ncbi.nlm.nih.gov/pmc/blobs/1341/7792617/79b40ca84b83/ijms-22-00007-g007.jpg

相似文献

1
Extracellular Amyloid Deposits in Alzheimer's and Creutzfeldt-Jakob Disease: Similar Behavior of Different Proteins?阿尔茨海默病和克雅氏病中的细胞外淀粉样沉积物:不同蛋白质的相似行为?
Int J Mol Sci. 2020 Dec 22;22(1):7. doi: 10.3390/ijms22010007.
2
Ultrastructural study of florid plaques in variant Creutzfeldt-Jakob disease: a comparison with amyloid plaques in kuru, sporadic Creutzfeldt-Jakob disease and Gerstmann-Sträussler-Scheinker disease.变异型克雅氏病中显著斑块的超微结构研究:与库鲁病、散发性克雅氏病及格斯特曼-施特劳斯勒-谢因克综合征中的淀粉样斑块比较
Neuropathol Appl Neurobiol. 2009 Feb;35(1):46-59. doi: 10.1111/j.1365-2990.2008.00959.x. Epub 2008 May 30.
3
Immunohistochemical localization of 14.3.3 zeta protein in amyloid plaques in human spongiform encephalopathies.人海绵状脑病淀粉样斑块中14.3.3 ζ蛋白的免疫组织化学定位
Acta Neuropathol. 2003 Mar;105(3):296-302. doi: 10.1007/s00401-002-0642-5. Epub 2002 Nov 22.
4
Ultrastructural analysis of the florid plaque in variant Creutzfeldt-Jakob disease.变异型克雅氏病中显著斑块的超微结构分析。
Folia Neuropathol. 2000;38(4):167-70.
5
A comparative immunohistochemical study of Kuru and senile plaques with a special reference to glial reactions at various stages of amyloid plaque formation.库鲁病与老年斑的免疫组织化学比较研究,特别关注淀粉样斑块形成各阶段的胶质反应。
Am J Pathol. 1991 Sep;139(3):589-98.
6
Creutzfeldt-Jakob disease with Alzheimer-type A beta-reactive amyloid plaques.伴有阿尔茨海默病型β淀粉样蛋白反应性淀粉样斑块的克雅氏病
Histopathology. 1995 May;26(5):445-50. doi: 10.1111/j.1365-2559.1995.tb00252.x.
7
Amyloid plaques in transmissible spongiform encephalopathies (prion diseases).可传播性海绵状脑病(朊病毒病)中的淀粉样斑块。
Folia Neuropathol. 2004;42 Suppl B:109-19.
8
Transmissible cerebral amyloidoses as a model for Alzheimer's disease. An ultrastructural perspective.可传播性脑淀粉样变性作为阿尔茨海默病的模型:超微结构视角
Mol Neurobiol. 1994 Feb;8(1):67-77. doi: 10.1007/BF02778009.
9
Neuroinflammation and common mechanism in Alzheimer's disease and prion amyloidosis: amyloid-associated proteins, neuroinflammation and neurofibrillary degeneration.神经炎症与阿尔茨海默病和朊病毒淀粉样变的共同机制:淀粉样相关蛋白、神经炎症和神经纤维变性。
Neurodegener Dis. 2012;10(1-4):301-4. doi: 10.1159/000335380. Epub 2012 Mar 2.
10
A special report I. Prion protein (PrP)--amyloid plaques in the transmissible spongiform encephalopathies, or prion diseases revisited.特别报告I. 朊病毒蛋白(PrP)——传染性海绵状脑病中的淀粉样斑块,或重新审视朊病毒疾病
Folia Neuropathol. 2001;39(4):217-35.

引用本文的文献

1
Spatial Mapping of Gangliosides and Proteins in Amyloid Beta Plaques at Cellular Resolution Using Mass Spectrometry Imaging and MALDI-IHC.使用质谱成像和基质辅助激光解吸电离免疫组化在细胞分辨率下对淀粉样β斑块中的神经节苷脂和蛋白质进行空间映射。
J Mass Spectrom. 2025 Sep;60(9):e5161. doi: 10.1002/jms.5161.
2
Autophagy-lysosomal pathway impairment and cathepsin dysregulation in Alzheimer's disease.阿尔茨海默病中的自噬-溶酶体途径损伤与组织蛋白酶失调
Front Mol Biosci. 2024 Oct 31;11:1490275. doi: 10.3389/fmolb.2024.1490275. eCollection 2024.
3
Morphological and Molecular Profiling of Amyloid-β Species in Alzheimer's Pathogenesis.

本文引用的文献

1
Different Morphology of Neuritic Plaques in the Archicortex of Alzheimer's Disease with Comorbid Synucleinopathy: A Pilot Study.阿尔茨海默病合并突触核蛋白病的古皮质神经原纤维缠结的不同形态:一项初步研究。
Curr Alzheimer Res. 2020;17(10):948-958. doi: 10.2174/1875692117999201215162043.
2
Expanding the Phenotype of Frontotemporal Lobar Degeneration With FUS-Positive Pathology (FTLD-FUS).伴有 FUS 阳性病理的额颞叶变性(FTLD-FUS)的表型扩展。
J Neuropathol Exp Neurol. 2020 Jul 1;79(7):809-812. doi: 10.1093/jnen/nlaa045.
3
The neuropathological diagnosis of Alzheimer's disease.
阿尔茨海默病发病机制中β淀粉样蛋白种类的形态学和分子特征分析
Mol Neurobiol. 2025 Apr;62(4):4391-4419. doi: 10.1007/s12035-024-04543-4. Epub 2024 Oct 24.
4
The role and mechanism of dapagliflozin in Alzheimer disease: A review.达格列净在阿尔茨海默病中的作用和机制:综述。
Medicine (Baltimore). 2024 Sep 27;103(39):e39687. doi: 10.1097/MD.0000000000039687.
5
A Systematic Review of Sporadic Creutzfeldt-Jakob Disease: Pathogenesis, Diagnosis, and Therapeutic Attempts.散发性克雅氏病的系统评价:发病机制、诊断及治疗尝试
Neurol Int. 2024 Sep 20;16(5):1039-1065. doi: 10.3390/neurolint16050079.
6
Alzheimer's Disease as a Membrane Dysfunction Tauopathy? New Insights into the Amyloid Cascade Hypothesis.阿尔茨海默病作为一种膜功能障碍的 Tau 病?对淀粉样蛋白级联假说的新认识。
Int J Mol Sci. 2024 Sep 7;25(17):9689. doi: 10.3390/ijms25179689.
7
[The new age of neurodegenerative diseases. The basis of the new approaches].[神经退行性疾病的新时代。新方法的基础]
Rev Neurol. 2023 Dec 1;77(11):277-281. doi: 10.33588/rn.7711.2023290.
8
Inflammatory Processes in Alzheimer's Disease-Pathomechanism, Diagnosis and Treatment: A Review.阿尔茨海默病中的炎症过程——发病机制、诊断和治疗:综述。
Int J Mol Sci. 2023 Mar 30;24(7):6518. doi: 10.3390/ijms24076518.
9
Frontal lobe microglia, neurodegenerative protein accumulation, and cognitive function in people with HIV.额叶小胶质细胞、神经退行性蛋白积累与 HIV 感染者的认知功能
Acta Neuropathol Commun. 2022 May 7;10(1):69. doi: 10.1186/s40478-022-01375-y.
10
Mitochondria-Microbiota Interaction in Neurodegeneration.神经退行性变中的线粒体-微生物群相互作用
Front Aging Neurosci. 2021 Dec 23;13:776936. doi: 10.3389/fnagi.2021.776936. eCollection 2021.
阿尔茨海默病的神经病理学诊断。
Mol Neurodegener. 2019 Aug 2;14(1):32. doi: 10.1186/s13024-019-0333-5.
4
An Overview of Primary Dementias as Clinicopathological Entities.作为临床病理实体的原发性痴呆概述。
Semin Neurol. 2019 Apr;39(2):153-166. doi: 10.1055/s-0039-1683445. Epub 2019 Mar 29.
5
Nanoscale structure of amyloid-β plaques in Alzheimer's disease.阿尔茨海默病中淀粉样-β斑块的纳米结构。
Sci Rep. 2019 Mar 26;9(1):5181. doi: 10.1038/s41598-019-41443-3.
6
Kuru, the First Human Prion Disease.库鲁病,首例人类朊病毒病。
Viruses. 2019 Mar 7;11(3):232. doi: 10.3390/v11030232.
7
The genetic Creutzfeldt-Jakob disease with E200K mutation: analysis of clinical, genetic and laboratory features of 30 Chinese patients.携带 E200K 突变的遗传型克雅氏病:30 例中国患者的临床、遗传和实验室特征分析。
Sci Rep. 2019 Feb 12;9(1):1836. doi: 10.1038/s41598-019-38520-y.
8
Questions concerning the role of amyloid-β in the definition, aetiology and diagnosis of Alzheimer's disease.关于淀粉样蛋白-β在阿尔茨海默病的定义、病因和诊断中的作用的问题。
Acta Neuropathol. 2018 Nov;136(5):663-689. doi: 10.1007/s00401-018-1918-8. Epub 2018 Oct 22.
9
Therapeutic implications of how TNF links apolipoprotein E, phosphorylated tau, α-synuclein, amyloid-β and insulin resistance in neurodegenerative diseases.TNF 在神经退行性疾病中如何将载脂蛋白 E、磷酸化 tau、α-突触核蛋白、淀粉样β 和胰岛素抵抗联系起来的治疗意义。
Br J Pharmacol. 2018 Oct;175(20):3859-3875. doi: 10.1111/bph.14471. Epub 2018 Sep 6.
10
Human transmissible spongiform encephalopathies: historic view.人类可传播性海绵状脑病:历史视角
Handb Clin Neurol. 2018;153:1-17. doi: 10.1016/B978-0-444-63945-5.00001-5.