• 文献检索
  • 文档翻译
  • 深度研究
  • 学术资讯
  • Suppr Zotero 插件Zotero 插件
  • 邀请有礼
  • 套餐&价格
  • 历史记录
应用&插件
Suppr Zotero 插件Zotero 插件浏览器插件Mac 客户端Windows 客户端微信小程序
定价
高级版会员购买积分包购买API积分包
服务
文献检索文档翻译深度研究API 文档MCP 服务
关于我们
关于 Suppr公司介绍联系我们用户协议隐私条款
关注我们

Suppr 超能文献

核心技术专利:CN118964589B侵权必究
粤ICP备2023148730 号-1Suppr @ 2026

文献检索

告别复杂PubMed语法,用中文像聊天一样搜索,搜遍4000万医学文献。AI智能推荐,让科研检索更轻松。

立即免费搜索

文件翻译

保留排版,准确专业,支持PDF/Word/PPT等文件格式,支持 12+语言互译。

免费翻译文档

深度研究

AI帮你快速写综述,25分钟生成高质量综述,智能提取关键信息,辅助科研写作。

立即免费体验

头皮针刺增强急性缺血性中风患者视觉与认知运动功能网络的功能连接性。

Scalp Acupuncture Enhances the Functional Connectivity of Visual and Cognitive-Motor Function Network of Patients with Acute Ischemic Stroke.

作者信息

Liu Huacong, Chen Lanpin, Zhang Guifeng, Jiang Yijing, Qu Shanshan, Liu Songyan, Huang Yong, Chen Junqi

机构信息

School of Traditional Chinese Medicine, Southern Medical University, Guangzhou, Guangdong, China.

Zhaoqing Medical College, Zhaoqing, Guangdong, China.

出版信息

Evid Based Complement Alternat Med. 2020 Dec 2;2020:8836794. doi: 10.1155/2020/8836794. eCollection 2020.

DOI:10.1155/2020/8836794
PMID:33376500
原文链接:https://pmc.ncbi.nlm.nih.gov/articles/PMC7744176/
Abstract

DESIGN

A parallel-group randomized controlled trial. . 30 hemiplegic patients with middle cerebral artery acute infarction of the dominant hemisphere. . 30 patients were divided into 2 groups randomly. 15 patients in the treatment group (TG) were treated with ISSA, needling at the parietal midline (MS5) and left anterior/posterior parietal-temporal oblique lines (MS6 and MS7), combined with western routine treatment. While another 15 patients in the control group (CG) received routine treatment only. . (1) Functional connectivity (FC): patients received brain scan using 3.0 T MRI after the treatment for 1 week. Based on the Matlab2012a platform, SPM12 software and DPABI software were used to process the scanning data and finally the functional connectivity of the brain was obtained. (2) National Institute of Health Stroke Scale (NIHSS) score.

RESULTS

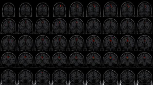
The difference in the NIHSS score between the two groups of patients before and after treatment was statistically significant (tNIHSS = 2.225; PNIHSS = 0.038), indicating that TG had a better effect. Centered to the seed region of the left supplementary motor area (SMA) (-5.32, 4.85, 61.38), FC increased at the left middle cerebellar peduncle, left cerebellum posterior lobe (uvula and declive), vermis, fusiform gyrus, lingual gyrus, inferior occipital gyrus, calcarine, cuneus, precuneus, BA7, BA18 and BA19, etc. Centered to the seed region of the left parahippocampal gyrus (PG) (-21.17, -15.95, -20.70), FC increased at the left precuneus, inside-paracingulate, inferior parietal gyrus, paracentral lobule, BA5, BA6, BA7, and BA40, right median cingulate, precuneus, BA19, BA23, and BA31, etc.

CONCLUSIONS

It is indicated that ISSA can regulate the brain functional connection in patients with middle cerebral artery acute infarction in the dominant hemisphere and specifically strengthen the connections between visual, cognitive, motor control, and planning-related brain regions, which may be related to the recovery of movement in the mechanism. This trial is registered with ChiCTR-IOR-15007672.

摘要

设计

一项平行组随机对照试验。纳入30例优势半球大脑中动脉急性梗死的偏瘫患者。将30例患者随机分为2组。治疗组(TG)15例患者采用靳三针疗法,针刺顶中线(MS5)及左侧顶颞前斜线、顶颞后斜线(MS6和MS7),并结合西医常规治疗。而对照组(CG)的另外15例患者仅接受常规治疗。(1)功能连接(FC):治疗1周后,患者接受3.0 T磁共振成像脑部扫描。基于Matlab2012a平台,使用SPM12软件和DPABI软件处理扫描数据,最终获得大脑的功能连接。(2)美国国立卫生研究院卒中量表(NIHSS)评分。

结果

两组患者治疗前后NIHSS评分差异有统计学意义(tNIHSS = 2.225;PNIHSS = 0.038),表明治疗组效果更佳。以左侧辅助运动区(SMA)的种子区(-5.32, 4.85, 61.38)为中心,左侧小脑中脚、左侧小脑后叶(蚓垂和蚓部)、蚓部、梭状回、舌回、枕下回、距状裂、楔叶、楔前叶、BA7、BA18和BA19等区域的功能连接增加。以左侧海马旁回(PG)的种子区(-21.17, -15.95, -20.70)为中心,左侧楔前叶、内侧扣带回、顶下小叶、中央旁小叶、BA5、BA6、BA7和BA40、右侧正中扣带回、楔前叶、BA19、BA23和BA31等区域的功能连接增加。

结论

表明靳三针疗法可调节优势半球大脑中动脉急性梗死患者的脑功能连接,特异性加强视觉、认知、运动控制及计划相关脑区之间的连接,这可能在机制上与运动功能恢复有关。本试验已在中国临床试验注册中心注册,注册号为ChiCTR-IOR-15007672。

https://cdn.ncbi.nlm.nih.gov/pmc/blobs/8ddf/7744176/8ba70cc6a72f/ECAM2020-8836794.007.jpg
https://cdn.ncbi.nlm.nih.gov/pmc/blobs/8ddf/7744176/49ad902bdcfa/ECAM2020-8836794.001.jpg
https://cdn.ncbi.nlm.nih.gov/pmc/blobs/8ddf/7744176/c84eeae76159/ECAM2020-8836794.002.jpg
https://cdn.ncbi.nlm.nih.gov/pmc/blobs/8ddf/7744176/d37ba720bc21/ECAM2020-8836794.003.jpg
https://cdn.ncbi.nlm.nih.gov/pmc/blobs/8ddf/7744176/b644f33a09be/ECAM2020-8836794.004.jpg
https://cdn.ncbi.nlm.nih.gov/pmc/blobs/8ddf/7744176/87063d664f19/ECAM2020-8836794.005.jpg
https://cdn.ncbi.nlm.nih.gov/pmc/blobs/8ddf/7744176/d2765ee96afc/ECAM2020-8836794.006.jpg
https://cdn.ncbi.nlm.nih.gov/pmc/blobs/8ddf/7744176/8ba70cc6a72f/ECAM2020-8836794.007.jpg
https://cdn.ncbi.nlm.nih.gov/pmc/blobs/8ddf/7744176/49ad902bdcfa/ECAM2020-8836794.001.jpg
https://cdn.ncbi.nlm.nih.gov/pmc/blobs/8ddf/7744176/c84eeae76159/ECAM2020-8836794.002.jpg
https://cdn.ncbi.nlm.nih.gov/pmc/blobs/8ddf/7744176/d37ba720bc21/ECAM2020-8836794.003.jpg
https://cdn.ncbi.nlm.nih.gov/pmc/blobs/8ddf/7744176/b644f33a09be/ECAM2020-8836794.004.jpg
https://cdn.ncbi.nlm.nih.gov/pmc/blobs/8ddf/7744176/87063d664f19/ECAM2020-8836794.005.jpg
https://cdn.ncbi.nlm.nih.gov/pmc/blobs/8ddf/7744176/d2765ee96afc/ECAM2020-8836794.006.jpg
https://cdn.ncbi.nlm.nih.gov/pmc/blobs/8ddf/7744176/8ba70cc6a72f/ECAM2020-8836794.007.jpg

相似文献

1
Scalp Acupuncture Enhances the Functional Connectivity of Visual and Cognitive-Motor Function Network of Patients with Acute Ischemic Stroke.头皮针刺增强急性缺血性中风患者视觉与认知运动功能网络的功能连接性。
Evid Based Complement Alternat Med. 2020 Dec 2;2020:8836794. doi: 10.1155/2020/8836794. eCollection 2020.
2
Scalp acupuncture enhances local brain regions functional activities and functional connections between cerebral hemispheres in acute ischemic stroke patients.头皮针刺增强急性缺血性脑卒中患者局部脑区的功能活动和大脑两半球之间的功能连接。
Anat Rec (Hoboken). 2021 Nov;304(11):2538-2551. doi: 10.1002/ar.24746. Epub 2021 Aug 25.
3
[Mind-regulating and spleen-strengthening needling technique improves abdominal hypersensitivity and emotion by enhancing functional connectivity between hippocampus and brain regions in diarrhea-predominant irritable bowel syndrome patients].[调神健脾针法通过增强腹泻型肠易激综合征患者海马与脑区之间的功能连接来改善腹部超敏反应和情绪]
Zhen Ci Yan Jiu. 2021 Apr 25;46(4):318-25. doi: 10.13702/j.1000-0607.200569.
4
[Effect of needling at waiguan (SJ5) on brain glucose metabolism in patients with cerebral infarction].[针刺外关穴(SJ5)对脑梗死患者脑葡萄糖代谢的影响]
Zhongguo Zhong Xi Yi Jie He Za Zhi. 2013 Oct;33(10):1345-51.
5
Scalp acupuncture regulates functional connectivity of cerebral hemispheres in patients with hemiplegia after stroke.头皮针调节中风后偏瘫患者大脑半球的功能连接。
Front Neurol. 2023 May 25;14:1083066. doi: 10.3389/fneur.2023.1083066. eCollection 2023.
6
Brain functional connectivity during storage based on resting state functional magnetic resonance imaging with synchronous urodynamic testing in healthy volunteers.基于静息态功能磁共振成像和健康志愿者同步尿动力学测试的储存期脑功能连接。
Brain Imaging Behav. 2021 Jun;15(3):1676-1684. doi: 10.1007/s11682-020-00362-y.
7
[Imaging Observation of Scalp Acupuncture on Brain Gray Matter Injury in Stroke Patients with Cerebral Infarction].[头皮针刺治疗脑梗死性脑卒中患者脑灰质损伤的影像学观察]
Zhongguo Zhong Xi Yi Jie He Za Zhi. 2016 Mar;36(3):294-9.
8
[Correlation between the liver meridian and the frontal lobe in depression by needling at taichong (LV3): a resting-state fMRI study].针刺太冲(LV3)对抑郁症肝经络与额叶相关性的静息态功能磁共振成像研究
Zhongguo Zhong Xi Yi Jie He Za Zhi. 2011 Aug;31(8):1044-50.
9
[Study of fraction amplitude of low frequency fluctuation on resting-state functional magnetic resonance imaging in adultperipheral facial paralysis].[成人周围性面神经麻痹静息态功能磁共振成像低频振幅分数研究]
Zhonghua Yi Xue Za Zhi. 2017 Jul 18;97(27):2081-2086. doi: 10.3760/cma.j.issn.0376-2491.2017.27.001.
10
Differences Changes in Cerebellar Functional Connectivity Between Mild Cognitive Impairment and Alzheimer's Disease: A Seed-Based Approach.轻度认知障碍与阿尔茨海默病之间小脑功能连接的差异变化:基于种子点的方法。
Front Neurol. 2021 Jun 17;12:645171. doi: 10.3389/fneur.2021.645171. eCollection 2021.

引用本文的文献

1
Content Analysis of Assessment Tools Used in Post-Stroke Rehabilitation: A Scoping Review with Linkage to the International Classification of Functioning.中风后康复评估工具的内容分析:与国际功能分类相关联的范围综述
Int J Environ Res Public Health. 2025 Aug 15;22(8):1277. doi: 10.3390/ijerph22081277.
2
A neural regulation mechanism of head electroacupuncture on brain network of patients with stroke related sleep disorders.头电针对中风相关性睡眠障碍患者脑网络的神经调节机制
J Tradit Chin Med. 2024 Dec;44(6):1268-1276. doi: 10.19852/j.cnki.jtcm.2024.06.011.
3
Immediate and long-term brain activation of acupuncture on ischemic stroke patients: an ALE meta-analysis of fMRI studies.

本文引用的文献

1
Does the Acupoint Specificity Exist? Evidence from Functional Neuroimaging Studies.穴位特异性是否存在?来自功能神经影像学研究的证据。
Curr Med Imaging. 2020;16(6):629-638. doi: 10.2174/1573405615666190220113111.
2
Meta-analysis on randomized controlled trials for scalp acupuncture treatment of stroke: A systematic review.头皮针治疗中风的随机对照试验的Meta分析:一项系统评价。
J Tradit Chin Med. 2018 Aug;38(4):465-479.
3
Somatosensory Stimulation With XNKQ Acupuncture Modulates Functional Connectivity of Motor Areas.醒脑开窍针刺体感刺激调节运动区功能连接
针刺对缺血性中风患者的即刻和长期脑激活:一项基于功能磁共振成像研究的ALE元分析
Front Neurosci. 2024 Jul 19;18:1392002. doi: 10.3389/fnins.2024.1392002. eCollection 2024.
4
The dose-effect relationship of acupuncture on limb dysfunction after acute stroke: a systematic review and meta-analysis.针刺对急性脑卒中后肢体功能障碍的剂量效应关系:一项系统评价和荟萃分析。
Front Neurol. 2024 Feb 28;15:1341560. doi: 10.3389/fneur.2024.1341560. eCollection 2024.
5
Efficacy of acupuncture and rehabilitation therapy on brain function activation area and neurological function in ischemic stroke: A systematic review and meta-analysis.针刺和康复疗法对缺血性脑卒中患者脑功能激活区和神经功能的疗效:系统评价和荟萃分析。
PLoS One. 2024 Feb 23;19(2):e0298547. doi: 10.1371/journal.pone.0298547. eCollection 2024.
6
Neural control of cerebral blood flow: scientific basis of scalp acupuncture in treating brain diseases.脑血流的神经控制:头皮针治疗脑部疾病的科学基础。
Front Neurosci. 2023 Aug 15;17:1210537. doi: 10.3389/fnins.2023.1210537. eCollection 2023.
7
Influence of Acupuncture and Other Clinical Factors on the Recovery of Limb Motor Function in Patients After Stroke: A Retrospective Study.针刺及其他临床因素对脑卒中患者肢体运动功能恢复的影响:一项回顾性研究
J Multidiscip Healthc. 2023 Feb 21;16:463-474. doi: 10.2147/JMDH.S398202. eCollection 2023.
8
Neuroimaging studies of acupuncture on Alzheimer's disease: a systematic review.针刺治疗阿尔茨海默病的神经影像学研究:系统评价。
BMC Complement Med Ther. 2023 Feb 23;23(1):63. doi: 10.1186/s12906-023-03888-y.
9
The impact of acupuncture on neuroplasticity after ischemic stroke: a literature review and perspectives.针刺对缺血性中风后神经可塑性的影响:文献综述与展望
Front Cell Neurosci. 2022 Nov 10;16:817732. doi: 10.3389/fncel.2022.817732. eCollection 2022.
10
Altered Effective Connectivity of the Primary Motor Cortex in Transient Ischemic Attack.短暂性脑缺血发作患者初级运动皮层功能连接改变。
Neural Plast. 2022 Nov 18;2022:2219993. doi: 10.1155/2022/2219993. eCollection 2022.
Front Neurosci. 2019 Mar 11;13:147. doi: 10.3389/fnins.2019.00147. eCollection 2019.
4
The supplementary motor area modulates interhemispheric interactions during movement preparation.辅助运动区调节运动准备期间的大脑两半球间相互作用。
Hum Brain Mapp. 2019 May;40(7):2125-2142. doi: 10.1002/hbm.24512. Epub 2019 Jan 17.
5
Cytoarchitecture, probability maps, and functions of the human supplementary and pre-supplementary motor areas.人脑补充运动区和预备运动区的细胞构筑、概率图和功能。
Brain Struct Funct. 2018 Dec;223(9):4169-4186. doi: 10.1007/s00429-018-1738-6. Epub 2018 Sep 5.
6
[Relativity and integrality of the acupoint effect specificity].
Zhongguo Zhen Jiu. 2018 Jul 12;38(7):729-33. doi: 10.13703/j.0255-2930.2018.07.013.
7
Structural Changes Induced by Acupuncture in the Recovering Brain after Ischemic Stroke.针刺对缺血性脑卒中后恢复中脑结构的影响
Evid Based Complement Alternat Med. 2018 May 23;2018:5179689. doi: 10.1155/2018/5179689. eCollection 2018.
8
Acupuncture for acute stroke.针灸治疗急性中风。
Cochrane Database Syst Rev. 2018 Mar 30;3(3):CD003317. doi: 10.1002/14651858.CD003317.pub3.
9
Changes in network connectivity during motor imagery and execution.运动想象和执行过程中网络连通性的变化。
PLoS One. 2018 Jan 11;13(1):e0190715. doi: 10.1371/journal.pone.0190715. eCollection 2018.
10
Altered connectivity patterns among resting state networks in patients with ischemic white matter lesions.缺血性脑白质病变患者静息态网络连接模式的改变。
Brain Imaging Behav. 2018 Oct;12(5):1239-1250. doi: 10.1007/s11682-017-9793-9.