Suppr超能文献

长链非编码RNA LINC00355通过提高鸟嘌呤核苷酸交换因子T(RNA结合蛋白lin-28同源物A)的表达促进结直肠癌的发生和发展。

Long Non-Coding RNA LINC00355 Promotes the Development and Progression of Colorectal Cancer by Elevating Guanine Nucleotide Exchange Factor T Expression RNA Binding Protein lin-28 Homolog A.

作者信息

Wang Yuanyuan, Zhang Bing, Gao Ge, Zhang Yinping, Xia Qingxin

机构信息

Department of Pathology, Affiliated Cancer Hospital of Zhengzhou University, Henan Cancer Hospital, Zhengzhou, China.

出版信息

Front Oncol. 2020 Dec 14;10:582669. doi: 10.3389/fonc.2020.582669. eCollection 2020.

Abstract

BACKGROUND

Our previous study showed that guanine nucleotide exchange factor T (GEFT) was highly expressed in colorectal cancer (CRC) tissues and CRC patients with high GEFT expression had a poor prognosis, and suggested the close link of GEFT expression and CRC tumorigenesis/metastasis. In this text, the roles and upstream regulatory mechanisms of GEFT in the development and progression of CRC were further investigated.

METHODS

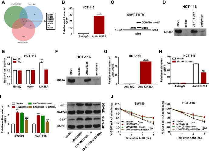
Expression levels of GEFT mRNA and LINC00355 was measured by RT-qPCR assay. Protein levels of lin-28 homologue A (LIN28A) and GEFT were determined by western blot assay. Cell proliferative, migratory, and invasive capacities were assessed by CCK-8, Transwell migration and invasion assays, respectively. The effect of GEFT knockdown on CRC tumorigenesis was examined by mouse xenograft experiments . GEFT mRNA stability was examined by actinomycin D assay. The relationships of LINC000355, LIN28A, and GEFT were explored by RNA pull down and RIP assays.

RESULTS

GEFT was highly expressed in CRC tissues and cell lines. GEFT knockdown inhibited CRC cell proliferation, migration, and invasion, and hindered CRC xenograft tumor growth. GEFT overexpression alleviated the detrimental effects of LINC00355 loss on CRC cell proliferation, migration, and invasion. LINC00355 promoted GEFT expression and enhanced GEFT mRNA stability LIN28A. LIN28A knockdown weakened the promotive effect of LINC00355 on CRC cell proliferation, migration, and invasion.

CONCLUSION

LINC00355 facilitated CRC tumorigenesis and progression by increasing GEFT expression LIN28A, deepening our understanding on roles and upstream regulatory mechanisms of GEFT in CRC development and progression.

摘要

背景

我们之前的研究表明,鸟嘌呤核苷酸交换因子T(GEFT)在结直肠癌(CRC)组织中高表达,GEFT高表达的CRC患者预后较差,并提示GEFT表达与CRC肿瘤发生/转移密切相关。本文进一步研究了GEFT在CRC发生发展中的作用及其上游调控机制。

方法

采用RT-qPCR法检测GEFT mRNA和LINC00355的表达水平。采用蛋白质免疫印迹法检测lin-28同源物A(LIN28A)和GEFT的蛋白水平。分别通过CCK-8法、Transwell迁移和侵袭实验评估细胞的增殖、迁移和侵袭能力。通过小鼠异种移植实验检测GEFT敲低对CRC肿瘤发生的影响。采用放线菌素D实验检测GEFT mRNA稳定性。通过RNA下拉和RIP实验探究LINC000355、LIN28A和GEFT之间的关系。

结果

GEFT在CRC组织和细胞系中高表达。GEFT敲低抑制了CRC细胞的增殖、迁移和侵袭,并阻碍了CRC异种移植肿瘤的生长。GEFT过表达减轻了LINC00355缺失对CRC细胞增殖、迁移和侵袭的不利影响。LINC00355促进GEFT表达并增强GEFT mRNA稳定性。LIN28A敲低减弱了LINC00355对CRC细胞增殖、迁移和侵袭的促进作用。

结论

LINC00355通过增加GEFT表达促进CRC肿瘤发生和进展,加深了我们对GEFT在CRC发生发展中的作用及其上游调控机制的理解。

https://cdn.ncbi.nlm.nih.gov/pmc/blobs/04e7/7769380/ccf171a90cf4/fonc-10-582669-g001.jpg

文献AI研究员

20分钟写一篇综述,助力文献阅读效率提升50倍。

立即体验

用中文搜PubMed

大模型驱动的PubMed中文搜索引擎

马上搜索

文档翻译

学术文献翻译模型,支持多种主流文档格式。

立即体验