• 文献检索
  • 文档翻译
  • 深度研究
  • 学术资讯
  • Suppr Zotero 插件Zotero 插件
  • 邀请有礼
  • 套餐&价格
  • 历史记录
应用&插件
Suppr Zotero 插件Zotero 插件浏览器插件Mac 客户端Windows 客户端微信小程序
定价
高级版会员购买积分包购买API积分包
服务
文献检索文档翻译深度研究API 文档MCP 服务
关于我们
关于 Suppr公司介绍联系我们用户协议隐私条款
关注我们

Suppr 超能文献

核心技术专利:CN118964589B侵权必究
粤ICP备2023148730 号-1Suppr @ 2026

文献检索

告别复杂PubMed语法,用中文像聊天一样搜索,搜遍4000万医学文献。AI智能推荐,让科研检索更轻松。

立即免费搜索

文件翻译

保留排版,准确专业,支持PDF/Word/PPT等文件格式,支持 12+语言互译。

免费翻译文档

深度研究

AI帮你快速写综述,25分钟生成高质量综述,智能提取关键信息,辅助科研写作。

立即免费体验

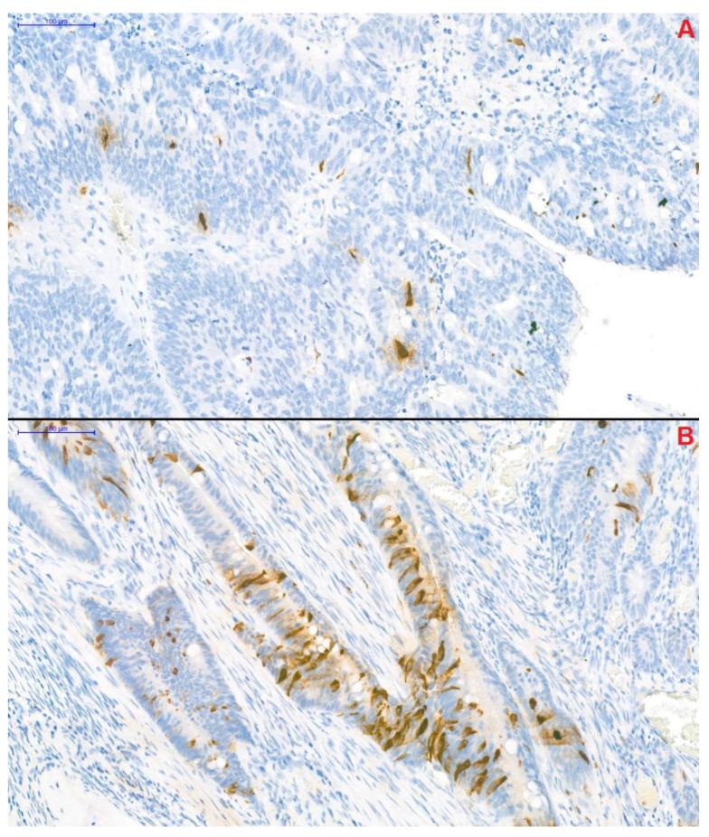
组织病理学嗜铬粒蛋白A阳性与右半结肠癌及较差预后相关。

Histopathological Chromogranin A-Positivity Is Associated with Right-Sided Colorectal Cancers and Worse Prognosis.

作者信息

Herold Zoltan, Dank Magdolna, Herold Magdolna, Nagy Peter, Rosta Klara, Somogyi Aniko

机构信息

Department of Internal Medicine and Oncology, Semmelweis University, Tomo u. 25-29., H-1083 Budapest, Hungary.

Department of Internal Medicine and Hematology, Semmelweis University, Szentkiralyi u. 46., H-1088 Budapest, Hungary.

出版信息

Cancers (Basel). 2020 Dec 29;13(1):67. doi: 10.3390/cancers13010067.

DOI:10.3390/cancers13010067
PMID:33383764
原文链接:https://pmc.ncbi.nlm.nih.gov/articles/PMC7796394/
Abstract

BACKGROUND

Colorectal cancer (CRC) is known to be affected by paraneoplastic thrombocytosis and chromogranin A-positive neuroendocrine-cell differentiation (CgA). Their combined effect has never been previously investigated.

METHODS

A prospective cohort pilot study of 42 CRC patients and 42 age- and sex-matched controls was carried out. Plasma interleukin-6, thrombopoietin, and serum chromogranin A and -B were measured; furthermore, tumor tissue was immunohistochemically stained for CgA.

RESULTS

Twenty-seven and 15 patients were assigned to the chromogranin A-negative (CgA) and CgA groups, respectively. Within the CgA group, right-sided tumors were more frequent (18.5% vs. 53.3%), no stage I cancer was found, and patients of this group were in worse general condition. Compared to control subjects, chromogranin A level was higher in the CgA group ( = 0.0086), thrombopoietin ( = 0.0040) and chromogranin B ( = 0.0070) in the CgA group, while interleukin-6 was high in both tumor groups ( ≤ 0.0090). Survival was significantly worse in the CgA group (hazard ratio: 5.73; = 0.0378).

CONCLUSIONS

Different thrombopoietin levels indicated distinct thrombocytosis types. Within the two CRC groups, serum levels of chromogranins changed in different directions suggesting two well-distinguishable pathophysiologies. Based on these observations we propose a new subtype of CRC, which can be characterized by chromogranin A-positive neuroendocrine-cell differentiation.

摘要

背景

已知结直肠癌(CRC)会受到副肿瘤性血小板增多症和嗜铬粒蛋白A阳性神经内分泌细胞分化(CgA)的影响。此前从未对它们的联合作用进行过研究。

方法

对42例CRC患者和42例年龄及性别匹配的对照进行了一项前瞻性队列试点研究。检测了血浆白细胞介素-6、血小板生成素以及血清嗜铬粒蛋白A和B;此外,对肿瘤组织进行了嗜铬粒蛋白A的免疫组织化学染色。

结果

分别有27例和15例患者被归入嗜铬粒蛋白A阴性(CgA)组和CgA组。在CgA组中,右侧肿瘤更为常见(18.5%对53.3%),未发现I期癌症,且该组患者的一般状况较差。与对照受试者相比,CgA组的嗜铬粒蛋白A水平较高(=0.0086),CgA组的血小板生成素(=0.0040)和嗜铬粒蛋白B(=0.0070)较高,而两个肿瘤组的白细胞介素-6均较高(≤0.0090)。CgA组的生存率明显较差(风险比:5.73;=0.0378)。

结论

不同的血小板生成素水平表明存在不同类型的血小板增多症。在两个CRC组中,嗜铬粒蛋白的血清水平变化方向不同,提示两种明显可区分的病理生理学。基于这些观察结果,我们提出了一种新的CRC亚型,其特征为嗜铬粒蛋白A阳性神经内分泌细胞分化。

https://cdn.ncbi.nlm.nih.gov/pmc/blobs/6571/7796394/6c0cfd9e3e70/cancers-13-00067-g003.jpg
https://cdn.ncbi.nlm.nih.gov/pmc/blobs/6571/7796394/2fea89cb14b1/cancers-13-00067-g0A1.jpg
https://cdn.ncbi.nlm.nih.gov/pmc/blobs/6571/7796394/f5acf1614dc4/cancers-13-00067-g0A2.jpg
https://cdn.ncbi.nlm.nih.gov/pmc/blobs/6571/7796394/4e5d08632d98/cancers-13-00067-g001.jpg
https://cdn.ncbi.nlm.nih.gov/pmc/blobs/6571/7796394/109944fe7ce0/cancers-13-00067-g002.jpg
https://cdn.ncbi.nlm.nih.gov/pmc/blobs/6571/7796394/6c0cfd9e3e70/cancers-13-00067-g003.jpg
https://cdn.ncbi.nlm.nih.gov/pmc/blobs/6571/7796394/2fea89cb14b1/cancers-13-00067-g0A1.jpg
https://cdn.ncbi.nlm.nih.gov/pmc/blobs/6571/7796394/f5acf1614dc4/cancers-13-00067-g0A2.jpg
https://cdn.ncbi.nlm.nih.gov/pmc/blobs/6571/7796394/4e5d08632d98/cancers-13-00067-g001.jpg
https://cdn.ncbi.nlm.nih.gov/pmc/blobs/6571/7796394/109944fe7ce0/cancers-13-00067-g002.jpg
https://cdn.ncbi.nlm.nih.gov/pmc/blobs/6571/7796394/6c0cfd9e3e70/cancers-13-00067-g003.jpg

相似文献

1
Histopathological Chromogranin A-Positivity Is Associated with Right-Sided Colorectal Cancers and Worse Prognosis.组织病理学嗜铬粒蛋白A阳性与右半结肠癌及较差预后相关。
Cancers (Basel). 2020 Dec 29;13(1):67. doi: 10.3390/cancers13010067.
2
Neuroendocrine differentiation in colorectal carcinomas.结直肠癌中的神经内分泌分化
Eur J Gastroenterol Hepatol. 1995 Jul;7(7):667-74.
3
Neuroendocrine differentiation in stage D2 prostate cancers.D2期前列腺癌中的神经内分泌分化
Int J Urol. 2008 May;15(5):423-8. doi: 10.1111/j.1442-2042.2008.02015.x.
4
The prognostic significance of circulating neuroendocrine markers chromogranin a, pro-gastrin-releasing peptide and neuron-specific enolase in patients with advanced non-small-cell lung cancer.循环神经内分泌标志物嗜铬粒蛋白A、胃泌素释放肽前体和神经元特异性烯醇化酶在晚期非小细胞肺癌患者中的预后意义。
Tumour Biol. 2006;27(1):8-16. doi: 10.1159/000090151. Epub 2005 Dec 8.
5
Somatostatin receptor scintigraphy versus chromogranin A assay in the management of patients with neuroendocrine tumors of different types: clinical role.生长抑素受体闪烁扫描术与嗜铬粒蛋白A检测在不同类型神经内分泌肿瘤患者管理中的应用:临床作用
Ann Oncol. 2003 Jul;14(7):1135-41. doi: 10.1093/annonc/mdg279.
6
Does diabetes affect paraneoplastic thrombocytosis in colorectal cancer?糖尿病是否会影响结直肠癌中的副肿瘤性血小板增多症?
Open Med (Wars). 2022 Jan 13;17(1):160-173. doi: 10.1515/med-2021-0407. eCollection 2022.
7
P53, Somatostatin receptor 2a and Chromogranin A immunostaining as prognostic markers in high grade gastroenteropancreatic neuroendocrine neoplasms.P53、生长抑素受体 2a 和嗜铬粒蛋白 A 免疫染色作为高级胃肠胰神经内分泌肿瘤的预后标志物。
BMC Cancer. 2020 Jan 10;20(1):27. doi: 10.1186/s12885-019-6498-z.
8
Chromogranin A as serum marker for neuroendocrine neoplasia: comparison with neuron-specific enolase and the alpha-subunit of glycoprotein hormones.嗜铬粒蛋白A作为神经内分泌肿瘤的血清标志物:与神经元特异性烯醇化酶及糖蛋白激素α亚基的比较
J Clin Endocrinol Metab. 1997 Aug;82(8):2622-8. doi: 10.1210/jcem.82.8.4145.
9
Prognostic value of circulating chromogranin A and soluble tumor necrosis factor receptors in advanced nonsmall cell lung cancer.循环嗜铬粒蛋白A和可溶性肿瘤坏死因子受体在晚期非小细胞肺癌中的预后价值
Cancer. 2007 Aug 15;110(4):845-53. doi: 10.1002/cncr.22856.
10
Validation of serum versus plasma measurements of chromogranin a levels in patients with carcinoid tumors: lack of correlation between absolute chromogranin a levels and symptom frequency.类癌肿瘤患者血清与血浆嗜铬粒蛋白A水平测量的验证:嗜铬粒蛋白A绝对水平与症状频率之间缺乏相关性。
Pancreas. 2006 Oct;33(3):250-4. doi: 10.1097/01.mpa.0000235302.73615.d4.

引用本文的文献

1
Neuroendocrine differentiation and serotonin expression in oesophageal adenocarcinomas after neoadjuvant therapy: correlation with clinicopathological features and outcome.新辅助治疗后食管腺癌的神经内分泌分化与5-羟色胺表达:与临床病理特征及预后的相关性
Histopathology. 2025 Mar;86(4):559-570. doi: 10.1111/his.15364. Epub 2024 Nov 11.
2
Holistic exploration of and hsa-miR-137 in colorectal cancer via multi-omic data Integration.通过多组学数据整合对结直肠癌中的[具体内容]和hsa-miR-137进行全面探索。 (注:原文中“Holistic exploration of and”这里“of”后面似乎缺失了关键信息)
Heliyon. 2024 Mar 3;10(5):e27046. doi: 10.1016/j.heliyon.2024.e27046. eCollection 2024 Mar 15.
3

本文引用的文献

1
Personalized Indicator Thrombocytosis Shows Connection to Staging and Indicates Shorter Survival in Colorectal Cancer Patients with or without Type 2 Diabetes.个性化指标血小板增多症与分期相关,提示2型糖尿病患者和非2型糖尿病患者的结直肠癌患者生存期缩短。
Cancers (Basel). 2020 Feb 28;12(3):556. doi: 10.3390/cancers12030556.
2
Management of Gastrointestinal Neuroendocrine Tumors.胃肠道神经内分泌肿瘤的管理
Clin Med Insights Endocrinol Diabetes. 2019 Oct 24;12:1179551419884058. doi: 10.1177/1179551419884058. eCollection 2019.
3
Difference in survival between right- versus left-sided colorectal neuroendocrine neoplasms.
Neuroendocrine differentiation: a risk fellow in colorectal cancer.
神经内分泌分化:结直肠癌的一个危险因素。
World J Surg Oncol. 2023 Mar 10;21(1):89. doi: 10.1186/s12957-023-02952-8.
4
Prediction of hereditary nonpolyposis colorectal cancer using mRNA quantitative and the correlation with nonmodifiable factor.利用mRNA定量预测遗传性非息肉病性结直肠癌及其与不可改变因素的相关性。
World J Gastrointest Pathophysiol. 2021 Nov 22;12(6):134-146. doi: 10.4291/wjgp.v12.i6.134.
5
Prognostic significance of the aberrant expression of neuroendocrine markers in melanomas.神经内分泌标志物在黑色素瘤中异常表达的预后意义。
Diagn Pathol. 2021 Aug 28;16(1):78. doi: 10.1186/s13000-021-01135-x.
左右侧结直肠神经内分泌肿瘤患者生存差异。
J Zhejiang Univ Sci B. 2019;20(11):933-939. doi: 10.1631/jzus.B1900210.
4
Distribution of Neuroendocrine Marker-Positive Cells in Colorectal Cancer Tissue and Normal Mucosal Tissue: Consideration of Histogenesis of Neuroendocrine Cancer.结直肠癌组织和正常黏膜组织中神经内分泌标记阳性细胞的分布:神经内分泌癌发生的组织发生学思考。
Oncology. 2019;97(5):294-300. doi: 10.1159/000501521. Epub 2019 Aug 7.
5
Chromogranin-A Expression as a Novel Biomarker for Early Diagnosis of Colon Cancer Patients.嗜铬粒蛋白 A 表达作为结肠癌患者早期诊断的新型生物标志物。
Int J Mol Sci. 2019 Jun 14;20(12):2919. doi: 10.3390/ijms20122919.
6
The role of cholesterol metabolism in cancer.胆固醇代谢在癌症中的作用。
Am J Cancer Res. 2019 Feb 1;9(2):219-227. eCollection 2019.
7
Global cancer statistics 2018: GLOBOCAN estimates of incidence and mortality worldwide for 36 cancers in 185 countries.全球癌症统计数据 2018:GLOBOCAN 对全球 185 个国家/地区 36 种癌症的发病率和死亡率的估计。
CA Cancer J Clin. 2018 Nov;68(6):394-424. doi: 10.3322/caac.21492. Epub 2018 Sep 12.
8
Difference Between Left-Sided and Right-Sided Colorectal Cancer: A Focused Review of Literature.左半结肠癌与右半结肠癌的差异:文献综述
Gastroenterology Res. 2018 Aug;11(4):264-273. doi: 10.14740/gr1062w. Epub 2018 Feb 8.
9
Primary Tumor Location in Colorectal Cancer: Comparison of Right- and Left-Sided Colorectal Cancer Characteristics for the Interventional Radiologist.结直肠癌的原发肿瘤位置:介入放射科医生对右半结肠癌和左半结肠癌特征的比较
Cardiovasc Intervent Radiol. 2018 Dec;41(12):1819-1825. doi: 10.1007/s00270-018-2014-0. Epub 2018 Jun 26.
10
Circulating chromogranin A and its fragments as diagnostic and prognostic disease markers.循环嗜铬粒蛋白 A 及其片段作为诊断和预后疾病标志物。
Pflugers Arch. 2018 Jan;470(1):199-210. doi: 10.1007/s00424-017-2030-y. Epub 2017 Oct 10.