• 文献检索
  • 文档翻译
  • 深度研究
  • 学术资讯
  • Suppr Zotero 插件Zotero 插件
  • 邀请有礼
  • 套餐&价格
  • 历史记录
应用&插件
Suppr Zotero 插件Zotero 插件浏览器插件Mac 客户端Windows 客户端微信小程序
定价
高级版会员购买积分包购买API积分包
服务
文献检索文档翻译深度研究API 文档MCP 服务
关于我们
关于 Suppr公司介绍联系我们用户协议隐私条款
关注我们

Suppr 超能文献

核心技术专利:CN118964589B侵权必究
粤ICP备2023148730 号-1Suppr @ 2026

文献检索

告别复杂PubMed语法,用中文像聊天一样搜索,搜遍4000万医学文献。AI智能推荐,让科研检索更轻松。

立即免费搜索

文件翻译

保留排版,准确专业,支持PDF/Word/PPT等文件格式,支持 12+语言互译。

免费翻译文档

深度研究

AI帮你快速写综述,25分钟生成高质量综述,智能提取关键信息,辅助科研写作。

立即免费体验

环孢素抑制作用可预防实验性急性肾损伤和肾间质纤维化。

Cyclophilin Inhibition Protects Against Experimental Acute Kidney Injury and Renal Interstitial Fibrosis.

机构信息

Monash Medical Centre, Department of Nephrology, Clayton, VIC 3168, Australia.

Centre for Inflammatory Diseases, Monash University, Clayton, VIC 3168, Australia.

出版信息

Int J Mol Sci. 2020 Dec 29;22(1):271. doi: 10.3390/ijms22010271.

DOI:10.3390/ijms22010271
PMID:33383945
原文链接:https://pmc.ncbi.nlm.nih.gov/articles/PMC7795230/
Abstract

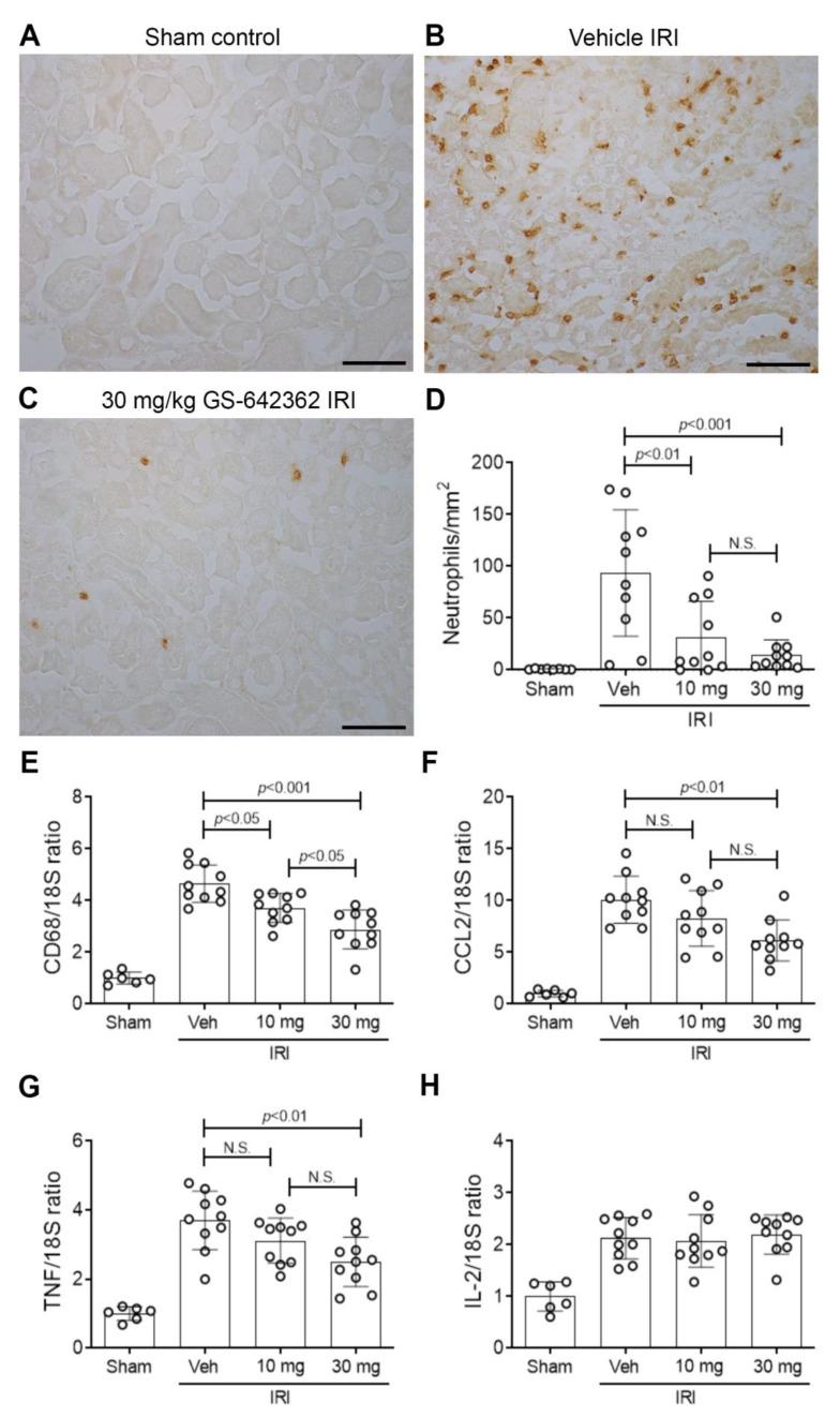
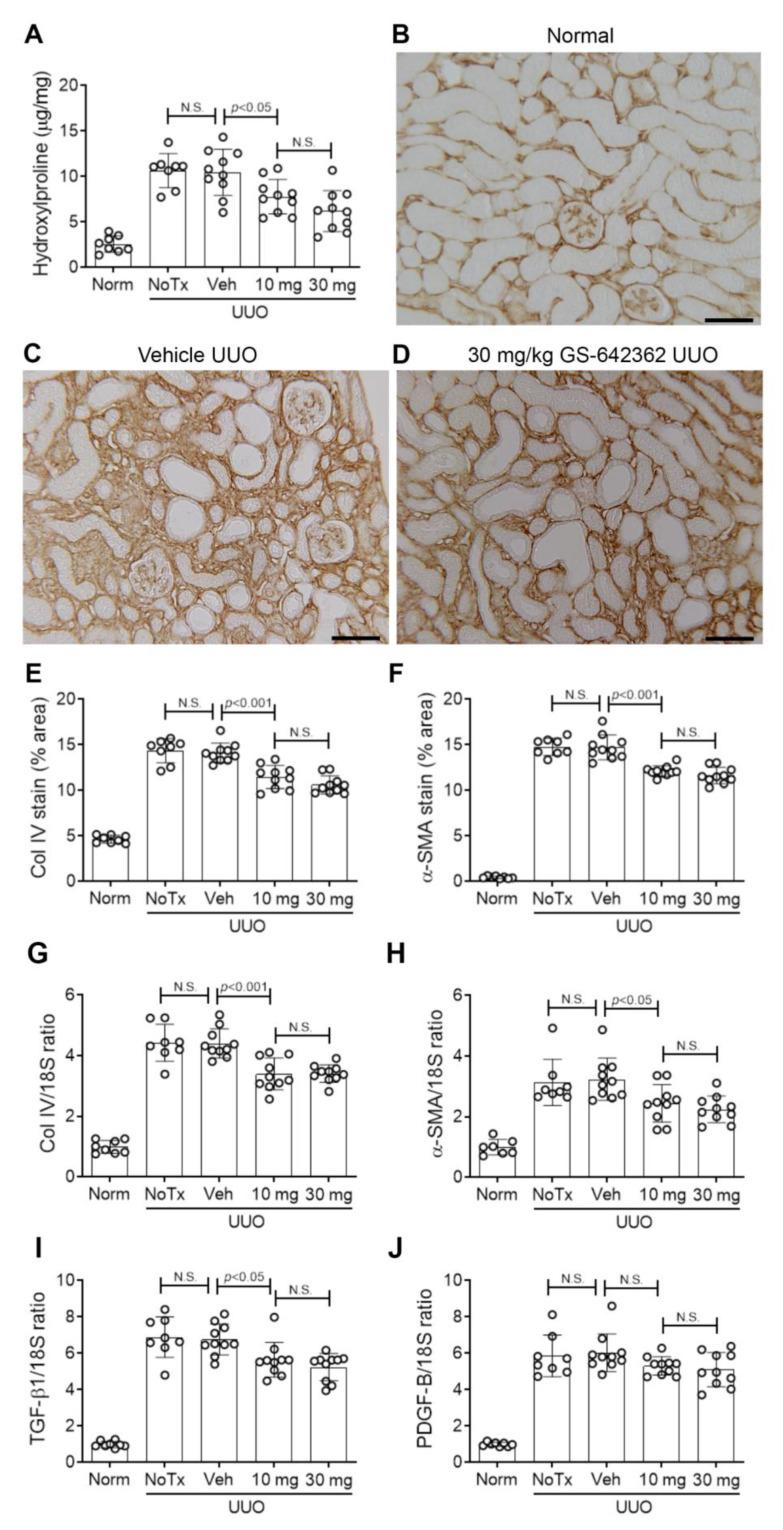
Cyclophilins have important homeostatic roles, but following tissue injury, cyclophilin A (CypA) can promote leukocyte recruitment and inflammation, while CypD can facilitate mitochondrial-dependent cell death. This study investigated the therapeutic potential of a selective cyclophilin inhibitor (GS-642362), which does not block calcineurin function, in mouse models of tubular cell necrosis and renal fibrosis. Mice underwent bilateral renal ischemia/reperfusion injury (IRI) and were killed 24 h later: treatment with 10 or 30 mg/kg/BID GS-642362 (or vehicle) began 1 h before surgery. In the second model, mice underwent unilateral ureteric obstruction (UUO) surgery and were killed 7 days later; treatment with 10 or 30 mg/kg/BID GS-642362 (or vehicle) began 1 h before surgery. GS-642362 treatment gave a profound and dose-dependent protection from acute renal failure in the IRI model. This protection was associated with reduced tubular cell death, including a dramatic reduction in neutrophil infiltration. In the UUO model, GS-642362 treatment significantly reduced tubular cell death, macrophage infiltration, and renal fibrosis. This protective effect was independent of the upregulation of IL-2 and activation of the stress-activated protein kinases (p38 and JNK). In conclusion, GS-642362 was effective in suppressing both acute kidney injury and renal fibrosis. These findings support further investigation of cyclophilin blockade in other types of acute and chronic kidney disease.

摘要

亲环素在维持体内平衡方面发挥着重要作用,但在组织损伤后,亲环素 A(CypA)可促进白细胞募集和炎症,而 CypD 则可促进线粒体依赖性细胞死亡。本研究探讨了一种选择性亲环素抑制剂(GS-642362)在肾小管细胞坏死和肾纤维化小鼠模型中的治疗潜力。该抑制剂不会阻断钙调神经磷酸酶的功能。小鼠接受双侧肾缺血/再灌注损伤(IRI),24 小时后处死:在手术前 1 小时开始给予 10 或 30mg/kg/每天两次(BID)GS-642362(或载体)治疗。在第二个模型中,小鼠接受单侧输尿管梗阻(UUO)手术,7 天后处死;在手术前 1 小时开始给予 10 或 30mg/kg/每天两次(BID)GS-642362(或载体)治疗。GS-642362 治疗在 IRI 模型中对急性肾衰竭有显著且剂量依赖性的保护作用。这种保护与肾小管细胞死亡减少有关,包括中性粒细胞浸润的显著减少。在 UUO 模型中,GS-642362 治疗显著减少肾小管细胞死亡、巨噬细胞浸润和肾纤维化。这种保护作用与 IL-2 的上调和应激激活蛋白激酶(p38 和 JNK)的激活无关。总之,GS-642362 可有效抑制急性肾损伤和肾纤维化。这些发现支持进一步研究亲环素阻断在其他类型的急性和慢性肾病中的作用。

https://cdn.ncbi.nlm.nih.gov/pmc/blobs/2cca/7795230/a840c58bcc1f/ijms-22-00271-g010.jpg
https://cdn.ncbi.nlm.nih.gov/pmc/blobs/2cca/7795230/2eacb1e7f602/ijms-22-00271-g001.jpg
https://cdn.ncbi.nlm.nih.gov/pmc/blobs/2cca/7795230/393b4528a43d/ijms-22-00271-g002.jpg
https://cdn.ncbi.nlm.nih.gov/pmc/blobs/2cca/7795230/02f4f4b26387/ijms-22-00271-g003.jpg
https://cdn.ncbi.nlm.nih.gov/pmc/blobs/2cca/7795230/0522c16cd320/ijms-22-00271-g004.jpg
https://cdn.ncbi.nlm.nih.gov/pmc/blobs/2cca/7795230/534f93477a73/ijms-22-00271-g005.jpg
https://cdn.ncbi.nlm.nih.gov/pmc/blobs/2cca/7795230/be77d4b6d9e0/ijms-22-00271-g006.jpg
https://cdn.ncbi.nlm.nih.gov/pmc/blobs/2cca/7795230/5e6bcc8c1833/ijms-22-00271-g007.jpg
https://cdn.ncbi.nlm.nih.gov/pmc/blobs/2cca/7795230/c3254f6763ed/ijms-22-00271-g008.jpg
https://cdn.ncbi.nlm.nih.gov/pmc/blobs/2cca/7795230/ad3511de4043/ijms-22-00271-g009.jpg
https://cdn.ncbi.nlm.nih.gov/pmc/blobs/2cca/7795230/a840c58bcc1f/ijms-22-00271-g010.jpg
https://cdn.ncbi.nlm.nih.gov/pmc/blobs/2cca/7795230/2eacb1e7f602/ijms-22-00271-g001.jpg
https://cdn.ncbi.nlm.nih.gov/pmc/blobs/2cca/7795230/393b4528a43d/ijms-22-00271-g002.jpg
https://cdn.ncbi.nlm.nih.gov/pmc/blobs/2cca/7795230/02f4f4b26387/ijms-22-00271-g003.jpg
https://cdn.ncbi.nlm.nih.gov/pmc/blobs/2cca/7795230/0522c16cd320/ijms-22-00271-g004.jpg
https://cdn.ncbi.nlm.nih.gov/pmc/blobs/2cca/7795230/534f93477a73/ijms-22-00271-g005.jpg
https://cdn.ncbi.nlm.nih.gov/pmc/blobs/2cca/7795230/be77d4b6d9e0/ijms-22-00271-g006.jpg
https://cdn.ncbi.nlm.nih.gov/pmc/blobs/2cca/7795230/5e6bcc8c1833/ijms-22-00271-g007.jpg
https://cdn.ncbi.nlm.nih.gov/pmc/blobs/2cca/7795230/c3254f6763ed/ijms-22-00271-g008.jpg
https://cdn.ncbi.nlm.nih.gov/pmc/blobs/2cca/7795230/ad3511de4043/ijms-22-00271-g009.jpg
https://cdn.ncbi.nlm.nih.gov/pmc/blobs/2cca/7795230/a840c58bcc1f/ijms-22-00271-g010.jpg

相似文献

1
Cyclophilin Inhibition Protects Against Experimental Acute Kidney Injury and Renal Interstitial Fibrosis.环孢素抑制作用可预防实验性急性肾损伤和肾间质纤维化。
Int J Mol Sci. 2020 Dec 29;22(1):271. doi: 10.3390/ijms22010271.
2
Cyclophilin A Promotes Inflammation in Acute Kidney Injury but Not in Renal Fibrosis.亲环素 A 促进急性肾损伤中的炎症反应,但不促进肾纤维化。
Int J Mol Sci. 2020 May 22;21(10):3667. doi: 10.3390/ijms21103667.
3
Cyclophilin D promotes tubular cell damage and the development of interstitial fibrosis in the obstructed kidney.亲环素 D 促进梗阻肾脏中的管状细胞损伤和间质纤维化的发展。
Clin Exp Pharmacol Physiol. 2018 Mar;45(3):250-260. doi: 10.1111/1440-1681.12881. Epub 2017 Dec 12.
4
Inhibition of IL-18 reduces renal fibrosis after ischemia-reperfusion.抑制白细胞介素-18 可减少缺血再灌注后的肾纤维化。
Biomed Pharmacother. 2018 Oct;106:879-889. doi: 10.1016/j.biopha.2018.07.031. Epub 2018 Jul 11.
5
STAT1 regulates macrophage number and phenotype and prevents renal fibrosis after ischemia-reperfusion injury.STAT1 调节巨噬细胞数量和表型,并防止缺血再灌注损伤后的肾纤维化。
Am J Physiol Renal Physiol. 2019 Feb 1;316(2):F277-F291. doi: 10.1152/ajprenal.00004.2018. Epub 2018 Nov 7.
6
Pharmacological inhibition of Src kinase protects against acute kidney injury in a murine model of renal ischemia/reperfusion.在小鼠肾脏缺血/再灌注模型中,Src激酶的药理学抑制可预防急性肾损伤。
Oncotarget. 2017 May 9;8(19):31238-31253. doi: 10.18632/oncotarget.16114.
7
Cyclophilin D gene ablation protects mice from ischemic renal injury.亲环素D基因敲除可保护小鼠免受缺血性肾损伤。
Am J Physiol Renal Physiol. 2009 Sep;297(3):F749-59. doi: 10.1152/ajprenal.00239.2009. Epub 2009 Jun 24.
8
Blockade of the G-CSF Receptor Is Protective in a Mouse Model of Renal Ischemia-Reperfusion Injury.阻断 G-CSF 受体对肾缺血再灌注损伤的小鼠模型具有保护作用。
J Immunol. 2020 Sep 1;205(5):1433-1440. doi: 10.4049/jimmunol.2000390. Epub 2020 Jul 27.
9
Renal ischemia-reperfusion injury causes hypertension and renal perfusion impairment in the CD1 mice which promotes progressive renal fibrosis.肾缺血再灌注损伤导致 CD1 小鼠发生高血压和肾灌注损害,进而促进进行性肾纤维化。
Am J Physiol Renal Physiol. 2018 May 1;314(5):F881-F892. doi: 10.1152/ajprenal.00519.2016. Epub 2017 Dec 20.
10
Protective effect of lyophilized recombinant human brain natriuretic peptide on renal ischemia/reperfusion injury in mice.冻干重组人脑利钠肽对小鼠肾缺血/再灌注损伤的保护作用。
Genet Mol Res. 2015 Oct 27;14(4):13300-11. doi: 10.4238/2015.October.26.26.

引用本文的文献

1
Regulated cell death in chronic kidney disease: current evidence and future clinical perspectives.慢性肾脏病中的程序性细胞死亡:当前证据与未来临床展望
Front Cell Dev Biol. 2024 Oct 31;12:1497460. doi: 10.3389/fcell.2024.1497460. eCollection 2024.
2
Exploring diagnostic biomarkers of type 2 cardio-renal syndrome based on secreted proteins and bioinformatics analysis.基于分泌蛋白和生物信息学分析探讨 2 型心肾综合征的诊断生物标志物。
Sci Rep. 2024 Oct 19;14(1):24612. doi: 10.1038/s41598-024-75580-1.
3
CC-4066 therapy delivered to kidneys during cold storage and assessed with normothermic reperfusion is feasible and safe.

本文引用的文献

1
Cyclophilin A Promotes Inflammation in Acute Kidney Injury but Not in Renal Fibrosis.亲环素 A 促进急性肾损伤中的炎症反应,但不促进肾纤维化。
Int J Mol Sci. 2020 May 22;21(10):3667. doi: 10.3390/ijms21103667.
2
Cyclophilins A and B oppositely regulate renal tubular epithelial cell phenotype.亲环素 A 和 B 相反调节肾小管上皮细胞表型。
J Mol Cell Biol. 2020 Jul 1;12(7):499-514. doi: 10.1093/jmcb/mjaa005.
3
Delineating a role for the mitochondrial permeability transition pore in diabetic kidney disease by targeting cyclophilin D.
在冷保存期间将CC - 4066疗法应用于肾脏并通过常温再灌注进行评估是可行且安全的。
Front Transplant. 2023 May 11;2:1166661. doi: 10.3389/frtra.2023.1166661. eCollection 2023.
4
Sanglifehrin A mitigates multiorgan fibrosis by targeting the collagen chaperone cyclophilin B.桑吉瑞辛A通过靶向胶原蛋白伴侣亲环素B减轻多器官纤维化。
JCI Insight. 2024 Jun 20;9(15):e171162. doi: 10.1172/jci.insight.171162.
5
Research progress on the mechanism of renal interstitial fibrosis in obstructive nephropathy.梗阻性肾病肾间质纤维化机制的研究进展
Heliyon. 2023 Jul 27;9(8):e18723. doi: 10.1016/j.heliyon.2023.e18723. eCollection 2023 Aug.
6
Inflammation in Health and Disease: New Insights and Therapeutic Avenues.《健康与疾病中的炎症:新见解与治疗新途径》
Int J Mol Sci. 2022 Jul 29;23(15):8392. doi: 10.3390/ijms23158392.
7
Exploratory Investigation of the Plasma Proteome Associated with the Endotheliopathy of Trauma.创伤性内皮病相关血浆蛋白质组学的探索性研究。
Int J Mol Sci. 2022 Jun 1;23(11):6213. doi: 10.3390/ijms23116213.
8
Current update on theranostic roles of cyclophilin A in kidney diseases.环孢素 A 在肾脏疾病中的治疗作用的最新研究进展。
Theranostics. 2022 May 13;12(9):4067-4080. doi: 10.7150/thno.72948. eCollection 2022.
9
C-C Motif Chemokine Ligand-17 as a Novel Biomarker and Regulator of Epithelial Mesenchymal Transition in Renal Fibrogenesis.C-C 基序趋化因子配体 17 作为肾脏纤维化中上皮间质转化的新型生物标志物和调节剂。
Cells. 2021 Nov 29;10(12):3345. doi: 10.3390/cells10123345.
10
Cyclophilin D Promotes Acute, but Not Chronic, Kidney Injury in a Mouse Model of Aristolochic Acid Toxicity.亲环素 D 促进马兜铃酸毒性小鼠模型的急性而非慢性肾损伤。
Toxins (Basel). 2021 Oct 1;13(10):700. doi: 10.3390/toxins13100700.
通过靶向亲环素 D 来描绘线粒体通透性转换孔在糖尿病肾病中的作用。
Clin Sci (Lond). 2020 Jan 31;134(2):239-259. doi: 10.1042/CS20190787.
4
A Pan-Cyclophilin Inhibitor, CRV431, Decreases Fibrosis and Tumor Development in Chronic Liver Disease Models.一种泛环孢素抑制剂 CRV431 可减少慢性肝病模型中的纤维化和肿瘤发展。
J Pharmacol Exp Ther. 2019 Nov;371(2):231-241. doi: 10.1124/jpet.119.261099. Epub 2019 Aug 12.
5
p53-cyclophilin D mediates renal tubular cell apoptosis in ischemia-reperfusion-induced acute kidney injury.p53-细胞周期蛋白 D 介导缺血再灌注诱导的急性肾损伤中的肾小管细胞凋亡。
Am J Physiol Renal Physiol. 2019 Nov 1;317(5):F1311-F1317. doi: 10.1152/ajprenal.00072.2019. Epub 2019 Jul 24.
6
Protease-activated receptor 2 does not contribute to renal inflammation or fibrosis in the obstructed kidney.蛋白酶激活受体 2 不参与梗阻肾脏的炎症或纤维化反应。
Nephrology (Carlton). 2019 Sep;24(9):983-991. doi: 10.1111/nep.13635. Epub 2019 Jul 31.
7
Discovery of a Potent and Orally Bioavailable Cyclophilin Inhibitor Derived from the Sanglifehrin Macrocycle.从桑给巴尔菌素大环中发现一种有效的、口服生物可利用的亲环素抑制剂。
J Med Chem. 2018 Nov 8;61(21):9473-9499. doi: 10.1021/acs.jmedchem.8b00802. Epub 2018 Aug 22.
8
Cyclophilin D promotes tubular cell damage and the development of interstitial fibrosis in the obstructed kidney.亲环素 D 促进梗阻肾脏中的管状细胞损伤和间质纤维化的发展。
Clin Exp Pharmacol Physiol. 2018 Mar;45(3):250-260. doi: 10.1111/1440-1681.12881. Epub 2017 Dec 12.
9
Acute kidney injury is a risk factor for subsequent proteinuria.急性肾损伤是随后发生蛋白尿的一个危险因素。
Kidney Int. 2018 Feb;93(2):460-469. doi: 10.1016/j.kint.2017.07.007. Epub 2017 Sep 18.
10
Acute kidney injury following cardiac surgery: current understanding and future directions.心脏手术后的急性肾损伤:当前认识与未来方向
Crit Care. 2016 Jul 4;20(1):187. doi: 10.1186/s13054-016-1352-z.