• 文献检索
  • 文档翻译
  • 深度研究
  • 学术资讯
  • Suppr Zotero 插件Zotero 插件
  • 邀请有礼
  • 套餐&价格
  • 历史记录
应用&插件
Suppr Zotero 插件Zotero 插件浏览器插件Mac 客户端Windows 客户端微信小程序
定价
高级版会员购买积分包购买API积分包
服务
文献检索文档翻译深度研究API 文档MCP 服务
关于我们
关于 Suppr公司介绍联系我们用户协议隐私条款
关注我们

Suppr 超能文献

核心技术专利:CN118964589B侵权必究
粤ICP备2023148730 号-1Suppr @ 2026

文献检索

告别复杂PubMed语法,用中文像聊天一样搜索,搜遍4000万医学文献。AI智能推荐,让科研检索更轻松。

立即免费搜索

文件翻译

保留排版,准确专业,支持PDF/Word/PPT等文件格式,支持 12+语言互译。

免费翻译文档

深度研究

AI帮你快速写综述,25分钟生成高质量综述,智能提取关键信息,辅助科研写作。

立即免费体验

术前诊断为良性息肉的胆囊透明细胞神经内分泌肿瘤:一例报告

Clear cell neuroendocrine tumor in the gallbladder diagnosed as a benign polyp preoperatively: a case report.

作者信息

Sumiya Ryusuke, Shimizu Atsushi, Nagai Takeshi, Ono Hayato, Kumazawa Keigo, Endo Daisuke, Oide Takashi, Aoyanagi Nobuyoshi

机构信息

Department of Surgery, Kohnodai Hospital, National Center for Global Health and Medicine, 1-7-1 Kohnodai, Ichikawa-shi, Chiba, 272-8156, Japan.

Department of Pathology and Laboratory Medicine, Kohnodai Hospital, National Center for Global Health and Medicine, Ichikawa, Japan.

出版信息

World J Surg Oncol. 2021 Jan 2;19(1):3. doi: 10.1186/s12957-020-02104-2.

DOI:10.1186/s12957-020-02104-2
PMID:33388069
原文链接:https://pmc.ncbi.nlm.nih.gov/articles/PMC7778816/
Abstract

BACKGROUND

Gallbladder neuroendocrine neoplasm is a rare disease that is divided into neuroendocrine tumors (NETs) and neuroendocrine carcinomas (NECs). Clear cell NETs of the gallbladder are extremely rare. We report the case of a patient with polypoid clear cell NET G1 of the gallbladder who underwent laparoscopic cholecystectomy.

CASE PRESENTATION

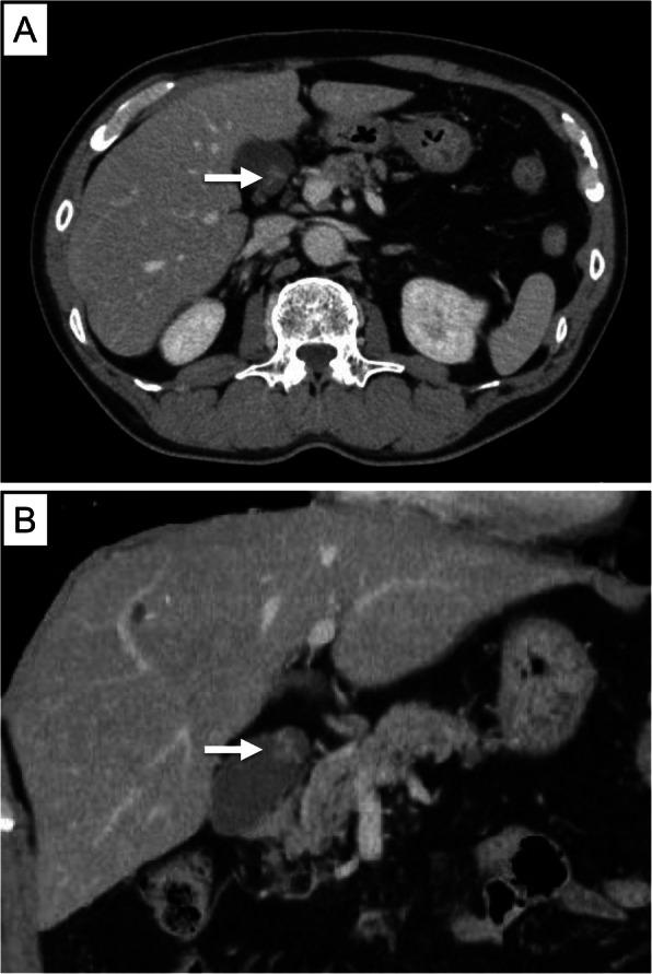
A 10-mm pedunculated polyp in the gallbladder neck was detected on a follow-up abdominal ultrasound in a 60-year-old man with chronic hepatitis and hepatitis B without medication. Six months later, an abdominal ultrasound revealed that the tumor had enlarged to 12 mm in size. He was asymptomatic and had no abnormalities in other laboratory examinations, including the tumor markers, carcinoembryonic antigen and CA19-9. Abdominal ultrasound showed a 12-mm polyp in the neck of the gallbladder with perfusion and focal thickening of the gallbladder wall. A gallbladder stone was also seen in the fundus. An enhanced computed tomography scan and magnetic resonance imaging revealed a polypoid lesion and gallbladder stone located at the neck of the gallbladder and the fundus, respectively. Malignancy could not be excluded, and hence, a laparoscopic cholecystectomy was performed. Pathologically, a pedunculated polyp (14 × 11 × 15 mm) was observed in the neck of the gallbladder, and the polypoid lesion comprised nests or trabecular growths of clear NET cells in the lamina propria (ENETS: T1N0M0; AJCC: T1aN0M0). Immunohistochemical staining with synaptophysin, chromogranin A, and CD56 was confined to the tumor. The pathological diagnosis was clear cell NET G1 of the gallbladder. Although clear cell NET is often described as a distinct manifestation of von Hippel-Lindau disease (VHL), the patient had no past medical or family history of VHL. Until his one-and-a-half-year follow-up, the patient was doing well and without any signs of recurrence.

CONCLUSION

We report an extremely rare case of gallbladder clear cell NET G1. When NET G1 is incidentally identified in a gallbladder surgical specimen, clinical information and pathological findings should be considered as references.

摘要

背景

胆囊神经内分泌肿瘤是一种罕见疾病,分为神经内分泌瘤(NETs)和神经内分泌癌(NECs)。胆囊透明细胞NETs极为罕见。我们报告一例接受腹腔镜胆囊切除术的胆囊息肉样透明细胞NET G1患者的病例。

病例介绍

一名60岁患有慢性肝炎和乙肝且未接受药物治疗的男性,在腹部超声随访检查中发现胆囊颈部有一个10毫米带蒂息肉。六个月后,腹部超声显示肿瘤增大至12毫米。他没有症状,其他实验室检查包括肿瘤标志物癌胚抗原和CA19-9均无异常。腹部超声显示胆囊颈部有一个12毫米息肉,伴有胆囊壁灌注和局部增厚。在胆囊底部还发现了一枚胆囊结石。增强计算机断层扫描和磁共振成像显示,息肉样病变和胆囊结石分别位于胆囊颈部和底部。无法排除恶性可能,因此进行了腹腔镜胆囊切除术。病理检查发现,在胆囊颈部观察到一个带蒂息肉(14×11×15毫米),息肉样病变由固有层中透明NET细胞的巢状或小梁状生长构成(ENETS:T1N0M0;AJCC:T1aN0M0)。突触素、嗜铬粒蛋白A和CD56的免疫组化染色局限于肿瘤。病理诊断为胆囊透明细胞NET G1。尽管透明细胞NET常被描述为冯·希佩尔-林道病(VHL)的一种独特表现,但该患者既往无VHL病史或家族史。截至他的一年半随访时,患者情况良好,无任何复发迹象。

结论

我们报告了一例极为罕见的胆囊透明细胞NET G1病例。当在胆囊手术标本中偶然发现NET G1时,临床信息和病理结果应作为参考。

https://cdn.ncbi.nlm.nih.gov/pmc/blobs/5588/7778816/33ef6cf43fc1/12957_2020_2104_Fig4_HTML.jpg
https://cdn.ncbi.nlm.nih.gov/pmc/blobs/5588/7778816/4377efd49188/12957_2020_2104_Fig1_HTML.jpg
https://cdn.ncbi.nlm.nih.gov/pmc/blobs/5588/7778816/0c28d4ce2183/12957_2020_2104_Fig2_HTML.jpg
https://cdn.ncbi.nlm.nih.gov/pmc/blobs/5588/7778816/2c300c70bb98/12957_2020_2104_Fig3_HTML.jpg
https://cdn.ncbi.nlm.nih.gov/pmc/blobs/5588/7778816/33ef6cf43fc1/12957_2020_2104_Fig4_HTML.jpg
https://cdn.ncbi.nlm.nih.gov/pmc/blobs/5588/7778816/4377efd49188/12957_2020_2104_Fig1_HTML.jpg
https://cdn.ncbi.nlm.nih.gov/pmc/blobs/5588/7778816/0c28d4ce2183/12957_2020_2104_Fig2_HTML.jpg
https://cdn.ncbi.nlm.nih.gov/pmc/blobs/5588/7778816/2c300c70bb98/12957_2020_2104_Fig3_HTML.jpg
https://cdn.ncbi.nlm.nih.gov/pmc/blobs/5588/7778816/33ef6cf43fc1/12957_2020_2104_Fig4_HTML.jpg

相似文献

1
Clear cell neuroendocrine tumor in the gallbladder diagnosed as a benign polyp preoperatively: a case report.术前诊断为良性息肉的胆囊透明细胞神经内分泌肿瘤:一例报告
World J Surg Oncol. 2021 Jan 2;19(1):3. doi: 10.1186/s12957-020-02104-2.
2
A 0.8-cm clear cell neuroendocrine tumor G1 of the gallbladder with lymph node metastasis: a case report.胆囊 0.8cm 透明细胞神经内分泌肿瘤 G1 伴淋巴结转移:病例报告。
World J Surg Oncol. 2018 Jul 23;16(1):150. doi: 10.1186/s12957-018-1454-y.
3
Clear cell neuroendocrine tumor G1 of the gallbladder without von Hippel-Lindau disease.胆囊透明细胞神经内分泌肿瘤G1,不伴有冯·希佩尔-林道病。
Oncol Lett. 2012 Dec;4(6):1174-1176. doi: 10.3892/ol.2012.899. Epub 2012 Sep 6.
4
Polypoid gallbladder neuroendocrine tumor diagnosed as benign polyp before surgery: A case report.术前诊断为良性息肉的胆囊息肉样神经内分泌肿瘤:一例报告
Mol Clin Oncol. 2020 Mar;12(3):225-229. doi: 10.3892/mco.2019.1971. Epub 2019 Dec 24.
5
[Surgical treatment of polypoid lesions of gallbladder].[胆囊息肉样病变的外科治疗]
Srp Arh Celok Lek. 2003 Jul-Aug;131(7-8):319-24. doi: 10.2298/sarh0308319p.
6
Rare case of a gallbladder neuroendocrine carcinoma.胆囊神经内分泌癌罕见病例。
Clin J Gastroenterol. 2019 Feb;12(1):38-45. doi: 10.1007/s12328-018-0883-z. Epub 2018 Jul 12.
7
Carcinoid tumor of the gallbladder: report of two cases.胆囊类癌肿瘤:两例报告。
Clin J Gastroenterol. 2011 Oct;4(5):323-330. doi: 10.1007/s12328-011-0242-9. Epub 2011 Jul 23.
8
[Poorly differentiated neuroendocrine small-cell carcinoma of the gallbladder].[胆囊低分化神经内分泌小细胞癌]
Zentralbl Chir. 2012 Feb;137(1):71-2. doi: 10.1055/s-0030-1262764. Epub 2011 Mar 1.
9
Mixed Intraepithelial Neoplasia-Well-Differentiated Neuroendocrine Tumor of the Gallbladder: A Hitherto Unreported Combination.胆囊混合上皮内瘤-高分化神经内分泌肿瘤:一种迄今尚未报道的组合。
Int J Surg Pathol. 2021 Sep;29(6):685-689. doi: 10.1177/1066896920986987. Epub 2021 Jan 9.
10
Successful resection of a neuroendocrine tumor in the gallbladder: a case report.胆囊神经内分泌肿瘤的成功切除:一例报告
Surg Case Rep. 2020 Oct 27;6(1):274. doi: 10.1186/s40792-020-01055-w.

本文引用的文献

1
Polypoid gallbladder neuroendocrine tumor diagnosed as benign polyp before surgery: A case report.术前诊断为良性息肉的胆囊息肉样神经内分泌肿瘤:一例报告
Mol Clin Oncol. 2020 Mar;12(3):225-229. doi: 10.3892/mco.2019.1971. Epub 2019 Dec 24.
2
Neuroendocrine carcinoma of gallbladder: a case series and literature review.胆囊神经内分泌癌:病例系列及文献复习。
Eur J Med Res. 2019 Feb 4;24(1):8. doi: 10.1186/s40001-019-0363-z.
3
A common classification framework for neuroendocrine neoplasms: an International Agency for Research on Cancer (IARC) and World Health Organization (WHO) expert consensus proposal.
神经内分泌肿瘤的通用分类框架:国际癌症研究机构(IARC)和世界卫生组织(WHO)专家共识建议。
Mod Pathol. 2018 Dec;31(12):1770-1786. doi: 10.1038/s41379-018-0110-y. Epub 2018 Aug 23.
4
A 0.8-cm clear cell neuroendocrine tumor G1 of the gallbladder with lymph node metastasis: a case report.胆囊 0.8cm 透明细胞神经内分泌肿瘤 G1 伴淋巴结转移:病例报告。
World J Surg Oncol. 2018 Jul 23;16(1):150. doi: 10.1186/s12957-018-1454-y.
5
Neuroendocrine tumor of the gallbladder.胆囊神经内分泌肿瘤
Pol J Radiol. 2015 Jan 5;80:228-31. doi: 10.12659/PJR.893705. eCollection 2015.
6
Clear cell neuroendocrine tumor G1 of the gallbladder without von Hippel-Lindau disease.胆囊透明细胞神经内分泌肿瘤G1,不伴有冯·希佩尔-林道病。
Oncol Lett. 2012 Dec;4(6):1174-1176. doi: 10.3892/ol.2012.899. Epub 2012 Sep 6.
7
Neuroendocrine tumors of the gallbladder: an evaluation and reassessment of management strategy.胆囊神经内分泌肿瘤:一种评估和重新评估治疗策略的方法。
J Clin Gastroenterol. 2010 Nov-Dec;44(10):687-95. doi: 10.1097/MCG.0b013e3181d7a6d4.
8
[Pedunculated carcinoid tumor of the gallbladder--analysis of the relationship between location and morphology in carcinoid tumor of the gallbladder].[胆囊带蒂类癌肿瘤——胆囊类癌肿瘤位置与形态关系分析]
Nihon Shokakibyo Gakkai Zasshi. 2008 Mar;105(3):397-403.
9
Clear cell carcinoid tumor of the gallbladder. A case without von Hippel-Lindau disease.胆囊透明细胞类癌肿瘤。一例无冯·希佩尔-林道病的病例。
Arch Pathol Lab Med. 2003 Jun;127(6):745-7. doi: 10.5858/2003-127-745-CCCTOT.
10
Clear cell carcinoid tumor of the gallbladder: another distinctive manifestation of von Hippel-Lindau disease.胆囊透明细胞类癌肿瘤:冯·希佩尔-林道病的另一种独特表现。
Am J Surg Pathol. 2001 Oct;25(10):1334-9. doi: 10.1097/00000478-200110000-00017.