Suppr超能文献

数字减影血管造影与超声造影在颈动脉狭窄评估中的比较。

Comparison of digital subtraction angiography and contrast-enhanced ultrasound in assessment of carotid stenosis.

机构信息

Department of ultrasound, The Affiliated Hospital of Qingdao University, Qingdao, Shandong Province, China, 266555.

出版信息

Afr Health Sci. 2020 Mar;20(1):509-514. doi: 10.4314/ahs.v20i1.57.

Abstract

INTRODUCTION

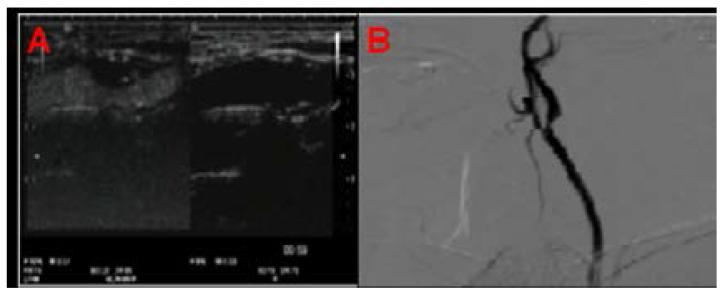
The performances of contrast-enhanced ultrasound (CEUS) and digital subtraction angiography (DSA) were used to establish an efficient as well as non-invasive clinical technique for the diagnosis of extra-cranial internal carotid artery (ICA) stenosis.

MATERIALS AND METHODS

Thirty-six successive patients (11 women and 25 men, mean age: 65.0 ± 9.2, range: 43-78 years) with internal carotid artery (ICA) stenosis were tested by CEUS and DSA. These tests were carried out by means of Hitachi Preirus ultrasound machine for CEUS and Allura Xper FD20 system (Philips Medical Systems, Nederland B.V.) for DSA. 1.2 ml SonoVue (Bracco, Switzerland) was used a s contrast agent.

RESULTS

The results clearly indicated that there were no noteworthy variations among the distributions recorded by CEUS as well as DSA for the four tested groups. The percentage of diameter stenosis calculated by CEUS was clearly in accordance with the DSA images. CEUS showed accurate results with good specificity and sensitivity at 50%, 70%, and 100%. Also, CEUS performance was relatively better than DSA in the diagnosis of ICA and suitability of CEA.

CONCLUSION

CEUS proved to be a precise non-invasive testing method for the diagnosis of carotid artery stenosis which is more feasible and well-tolerated in patients with various stages of carotid stenosis.

摘要

简介

本研究旨在建立一种高效、无创的临床技术,用于诊断颅外颈内动脉(ICA)狭窄,为此使用了对比增强超声(CEUS)和数字减影血管造影(DSA)的检测结果。

材料与方法

对 36 例 ICA 狭窄患者(11 名女性和 25 名男性,平均年龄:65.0±9.2 岁,范围:43-78 岁)分别进行了 CEUS 和 DSA 检查。CEUS 检查使用日立 Preirus 超声机,DSA 检查使用 Allura Xper FD20 系统(荷兰皇家飞利浦电子公司)。采用 1.2ml SonoVue(Bracco,瑞士)作为造影剂。

结果

结果表明,CEUS 和 DSA 对四组狭窄程度的测量值分布无明显差异。CEUS 计算的直径狭窄百分比与 DSA 图像一致。CEUS 在诊断 ICA 狭窄和 CEA 适用性方面具有 50%、70%和 100%的良好特异性和敏感性。CEUS 在诊断 ICA 狭窄和 CEA 适用性方面的性能也优于 DSA。

结论

CEUS 是一种精确的、非侵入性的颈动脉狭窄诊断方法,对于各种程度的颈动脉狭窄患者,具有更好的可行性和可耐受性。

https://cdn.ncbi.nlm.nih.gov/pmc/blobs/99af/7750059/1ffe2ac803b4/AFHS2001-0509Fig1.jpg

文献检索

告别复杂PubMed语法,用中文像聊天一样搜索,搜遍4000万医学文献。AI智能推荐,让科研检索更轻松。

立即免费搜索

文件翻译

保留排版,准确专业,支持PDF/Word/PPT等文件格式,支持 12+语言互译。

免费翻译文档

深度研究

AI帮你快速写综述,25分钟生成高质量综述,智能提取关键信息,辅助科研写作。

立即免费体验