Suppr超能文献

下颌侧切牙双根骨折的42个月随访

A 42-Month Follow-Up of Double Root Fracture of a Lateral Mandibular Incisor.

作者信息

Benoist Fatou Leye, Seck Anta, Benoist Henri Michel

机构信息

Department of Conservative Dentistry and Endodontics, University Cheikh Anta Diop of Dakar, Dakar, Senegal.

Department of Periodontics, University Cheikh Anta Diop of Dakar, Dakar, Senegal.

出版信息

Eur Endod J. 2017 Oct 13;2(1):1-5. doi: 10.5152/eej.2017.17021. eCollection 2017.

Abstract

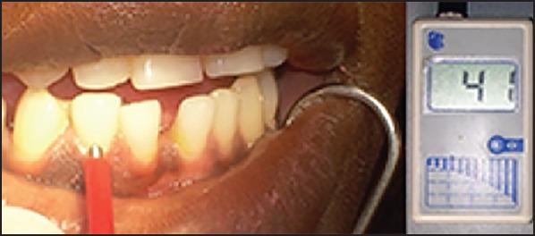
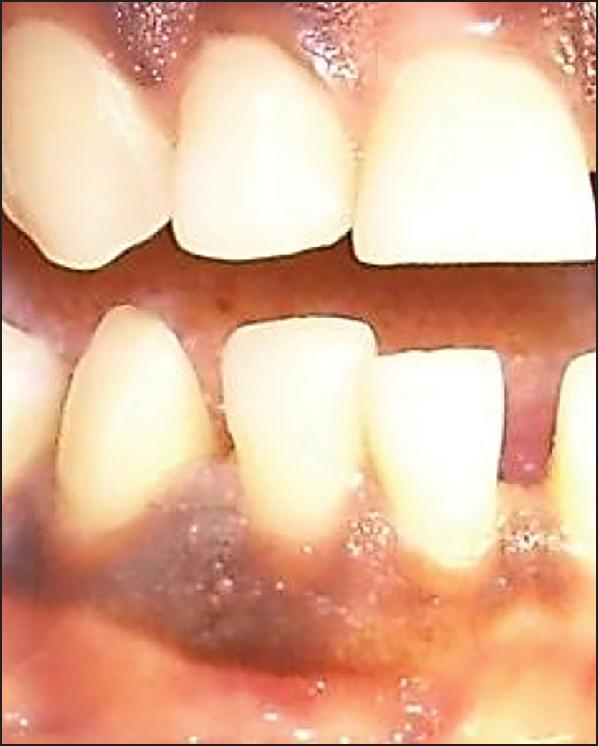
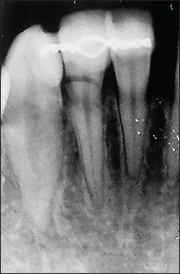
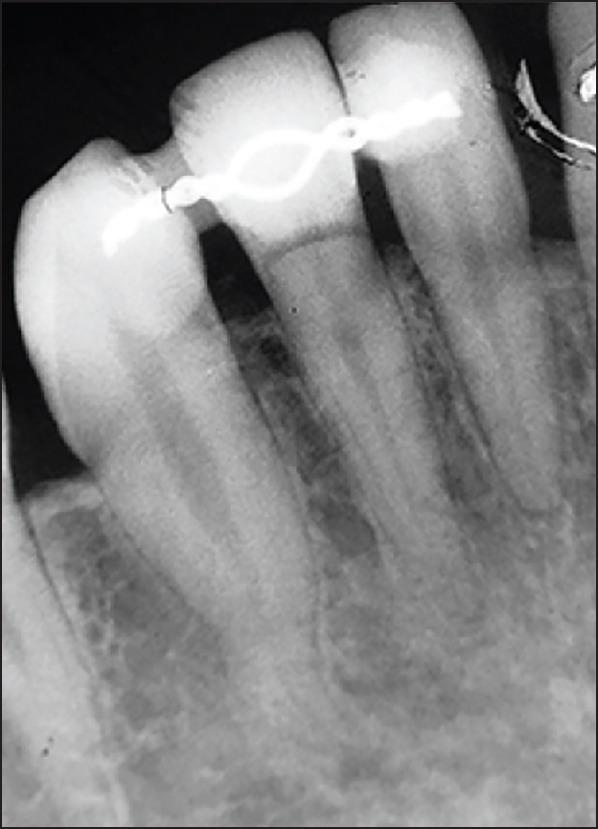
This case report describes the treatment of a double root fracture of a lateral mandibular incisor and its follow- up over 3.5 years. The reason for the consultation was a tooth mobility following a fall that had occurred 2 days earlier. A test of pulp vitality for tooth 42 was positive. Periodontal probing at the level of the gingival sulcus confirmed the intactness of the epithelial attachment. Retro-alveolar radiographic examination revealed a double root fracture of tooth 42. A semi-rigid extra-coronal splinting was performed and a light grinding of the incisal edge of tooth 42 was then carried out in light of the dislocation of the coronal fragment, and the occlusion was checked with a strip of articulating paper. The outcomes at 6 months revealed that pulp vitality was still preserved, consolidation of the apical fracture had occurred, and the coronal root fracture was starting to heal. The 1-year, 2-year and 3-year follow ups revealed preserved pulp vitality, an absence of a fracture line in apical images, and no root resorption. This case report provides evidence for the preservation of vitality in the setting of a double root fracture.

摘要

本病例报告描述了一例下颌侧切牙双根骨折的治疗及其3.5年的随访情况。会诊原因是2天前摔倒后牙齿松动。对42号牙的牙髓活力测试呈阳性。在龈沟水平进行牙周探诊证实上皮附着完整。牙槽后位X线检查显示42号牙双根骨折。进行了半刚性冠外夹板固定,然后根据冠部骨折块的移位情况对42号牙的切缘进行了轻度打磨,并用一条咬合纸检查了咬合情况。6个月时的结果显示牙髓活力仍然保留,根尖骨折已愈合,冠根骨折开始愈合。1年、2年和3年的随访显示牙髓活力保留,根尖影像中无骨折线,且无牙根吸收。本病例报告为双根骨折情况下保留牙髓活力提供了证据。

https://cdn.ncbi.nlm.nih.gov/pmc/blobs/bc2d/7757962/85a947ff292a/EEJ-2-26-g001.jpg

文献检索

告别复杂PubMed语法,用中文像聊天一样搜索,搜遍4000万医学文献。AI智能推荐,让科研检索更轻松。

立即免费搜索

文件翻译

保留排版,准确专业,支持PDF/Word/PPT等文件格式,支持 12+语言互译。

免费翻译文档

深度研究

AI帮你快速写综述,25分钟生成高质量综述,智能提取关键信息,辅助科研写作。

立即免费体验