• 文献检索
  • 文档翻译
  • 深度研究
  • 学术资讯
  • Suppr Zotero 插件Zotero 插件
  • 邀请有礼
  • 套餐&价格
  • 历史记录
应用&插件
Suppr Zotero 插件Zotero 插件浏览器插件Mac 客户端Windows 客户端微信小程序
定价
高级版会员购买积分包购买API积分包
服务
文献检索文档翻译深度研究API 文档MCP 服务
关于我们
关于 Suppr公司介绍联系我们用户协议隐私条款
关注我们

Suppr 超能文献

核心技术专利:CN118964589B侵权必究
粤ICP备2023148730 号-1Suppr @ 2026

文献检索

告别复杂PubMed语法,用中文像聊天一样搜索,搜遍4000万医学文献。AI智能推荐,让科研检索更轻松。

立即免费搜索

文件翻译

保留排版,准确专业,支持PDF/Word/PPT等文件格式,支持 12+语言互译。

免费翻译文档

深度研究

AI帮你快速写综述,25分钟生成高质量综述,智能提取关键信息,辅助科研写作。

立即免费体验

以心脏压塞为表现的急性乙型流感感染:一例报告

Acute Influenza B Infection Presenting as Cardiac Tamponade: A Case Report.

作者信息

Arfaras-Melainis Angelos, Cordero Hernando, Goyal Aditya, Benes Linda, Salgunan Reka

机构信息

Internal Medicine, Albert Einstein College of Medicine, Jacobi Medical Center, Bronx, USA.

Cardiology, Attikon University Hospital, Athens, GRC.

出版信息

Cureus. 2020 Nov 30;12(11):e11799. doi: 10.7759/cureus.11799.

DOI:10.7759/cureus.11799
PMID:33409044
原文链接:https://pmc.ncbi.nlm.nih.gov/articles/PMC7779153/
Abstract

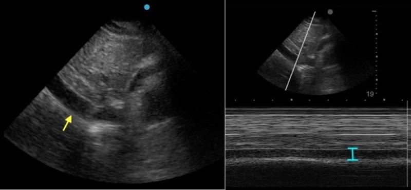
Influenza A and B acute infections usually affect primarily the respiratory system. In rare cases, however, the cardiovascular system is also compromised either via the direct effect of the virus or via the worsening of preexisting cardiac conditions. We present a rare case of acute Influenza B infection presenting as pericardial effusion and cardiac tamponade. A healthy 32-year-old female was presented to the emergency room with influenza-like symptoms for four days, where she was monitored for a few hours and was subsequently discharged to home after testing positive for Influenza B by polymerase chain reaction (PCR). On the fifth day, she returned to the emergency room with worsening symptoms, primarily exertional dyspnea. She was hypotensive and tachycardic and temporarily improved with fluid administration. She was transferred to the intensive care unit, where a bedside point of care ultrasound (POCUS) and later a formal transthoracic echocardiogram revealed that she had pericardial effusion with sonographic signs of cardiac tamponade. Emergent pericardiocentesis was performed and resulted in hemodynamic and symptomatic improvement. The pericardial drain that was initially left in place and continued to drain pericardial fluid (700 ccs in total), was removed 3 days later, after echocardiographic confirmation of the resolution of the pericardial effusion. She completed a five-day course of Oseltamivir and was subsequently discharged home safely. In summary, our case describes an acute Influenza B infection that was complicated by pericardial effusion and cardiac tamponade. It also highlights the importance of bedside POCUS and echocardiography in the early diagnosis and treatment of cardiac tamponade cases, frequently with pericardiocentesis as in our case.

摘要

甲型和乙型流感急性感染通常主要影响呼吸系统。然而,在罕见情况下,心血管系统也会因病毒的直接作用或既往心脏疾病的恶化而受到损害。我们报告一例罕见的以心包积液和心脏压塞为表现的急性乙型流感感染病例。一名32岁健康女性因流感样症状在急诊室就诊4天,在那里她接受了数小时监测,随后经聚合酶链反应(PCR)检测乙型流感呈阳性后出院回家。第5天,她因症状加重返回急诊室,主要是劳力性呼吸困难。她血压低、心动过速,补液后暂时好转。她被转入重症监护病房,床边即时超声心动图(POCUS)检查以及后来正式的经胸超声心动图检查显示她有心包积液并有心脏压塞的超声征象。紧急进行了心包穿刺术,血流动力学和症状均有改善。最初留置的心包引流管持续引流心包积液(总量700毫升),在超声心动图确认心包积液消退后3天拔除。她完成了为期5天的奥司他韦疗程,随后安全出院回家。总之,我们的病例描述了一例并发心包积液和心脏压塞的急性乙型流感感染。它还强调了床边POCUS和超声心动图在心脏压塞病例早期诊断和治疗中的重要性,如我们的病例中经常需要进行心包穿刺术。

https://cdn.ncbi.nlm.nih.gov/pmc/blobs/5cbf/7779153/4858f68da8d7/cureus-0012-00000011799-i04.jpg
https://cdn.ncbi.nlm.nih.gov/pmc/blobs/5cbf/7779153/1680f3f26a3a/cureus-0012-00000011799-i01.jpg
https://cdn.ncbi.nlm.nih.gov/pmc/blobs/5cbf/7779153/855db1ebc2c7/cureus-0012-00000011799-i02.jpg
https://cdn.ncbi.nlm.nih.gov/pmc/blobs/5cbf/7779153/243e2cb140c0/cureus-0012-00000011799-i03.jpg
https://cdn.ncbi.nlm.nih.gov/pmc/blobs/5cbf/7779153/4858f68da8d7/cureus-0012-00000011799-i04.jpg
https://cdn.ncbi.nlm.nih.gov/pmc/blobs/5cbf/7779153/1680f3f26a3a/cureus-0012-00000011799-i01.jpg
https://cdn.ncbi.nlm.nih.gov/pmc/blobs/5cbf/7779153/855db1ebc2c7/cureus-0012-00000011799-i02.jpg
https://cdn.ncbi.nlm.nih.gov/pmc/blobs/5cbf/7779153/243e2cb140c0/cureus-0012-00000011799-i03.jpg
https://cdn.ncbi.nlm.nih.gov/pmc/blobs/5cbf/7779153/4858f68da8d7/cureus-0012-00000011799-i04.jpg

相似文献

1
Acute Influenza B Infection Presenting as Cardiac Tamponade: A Case Report.以心脏压塞为表现的急性乙型流感感染:一例报告
Cureus. 2020 Nov 30;12(11):e11799. doi: 10.7759/cureus.11799.
2
Acute Influenza Infection Presenting with Cardiac Tamponade: A Case Report and Review of Literature.以心脏压塞为表现的急性流感感染:一例病例报告及文献复习
Perm J. 2019;23:18-104. doi: 10.7812/TPP/18-104.
3
A rare presentation of a patient with COVID-19: Cardiac tamponade.一名新冠肺炎患者的罕见表现:心脏压塞。
Turk Kardiyol Dern Ars. 2020 Oct;48(7):703-706. doi: 10.5543/tkda.2020.56727.
4
Unveiling the Shadows: A Rare Encounter With Cardiac Tamponade Following Influenza B in a Young Female.揭开阴影:一名年轻女性感染乙型流感后罕见地遭遇心脏压塞
Cureus. 2024 Jun 7;16(6):e61876. doi: 10.7759/cureus.61876. eCollection 2024 Jun.
5
Takotsubo cardiomyopathy complicated by cardiac tamponade due to non-hemorrhagic pericardial effusion: a case report.因非出血性心包积液并发心脏压塞的 Takotsubo 心肌病:一例报告。
BMC Cardiovasc Disord. 2020 Feb 6;20(1):67. doi: 10.1186/s12872-020-01377-5.
6
Acute Myopericarditis with Pericardial Effusion and Cardiac Tamponade in a Patient with COVID-19.一名新冠肺炎患者出现急性心肌心包炎伴心包积液和心脏压塞
Am J Case Rep. 2020 Jul 1;21:e925554. doi: 10.12659/AJCR.925554.
7
Case report: CAR-T cell therapy-induced cardiac tamponade.病例报告:嵌合抗原受体T细胞疗法诱发的心包填塞。
Front Cardiovasc Med. 2023 Mar 20;10:1132503. doi: 10.3389/fcvm.2023.1132503. eCollection 2023.
8
Recurrent Hemorrhagic Pericardial Effusion and Tamponade due to Filariasis Successfully Treated with Ivermectin and Albendazole.伊维菌素和阿苯达唑成功治疗丝虫病所致复发性出血性心包积液和心包填塞
Heart Views. 2015 Apr-Jun;16(2):53-5. doi: 10.4103/1995-705X.159220.
9
Acute Cardiac Tamponade as a Complication of Pulmonary Vein Isolation Ablation.急性心脏压塞作为肺静脉隔离消融术的一种并发症
Cureus. 2021 Nov 14;13(11):e19572. doi: 10.7759/cureus.19572. eCollection 2021 Nov.
10
Malignant pericardial effusion with cardiac tamponade in ovarian adenocarcinoma.卵巢腺癌合并恶性心包积液并心脏压塞。
Arch Gynecol Obstet. 2009 Oct;280(4):675-8. doi: 10.1007/s00404-009-0976-5. Epub 2009 Feb 19.

引用本文的文献

1
Cardiac tamponade due to influenza B infection in a young immunocompetent female: A case report and review of literature.一名免疫功能正常的年轻女性因乙型流感感染导致心脏压塞:病例报告及文献复习
Qatar Med J. 2025 Jan 30;2025(1):26. doi: 10.5339/qmj.2025.26. eCollection 2025.
2
Unveiling the Shadows: A Rare Encounter With Cardiac Tamponade Following Influenza B in a Young Female.揭开阴影:一名年轻女性感染乙型流感后罕见地遭遇心脏压塞
Cureus. 2024 Jun 7;16(6):e61876. doi: 10.7759/cureus.61876. eCollection 2024 Jun.
3
Postinfluenza Cardiac Tamponade: A Review of Published Case Reports.

本文引用的文献

1
Influenza B virus infection complicated by life-threatening pericarditis: a unique case-report and literature review.乙型流感病毒感染并发威胁生命的心包炎:一例独特的病例报告并文献复习。
BMC Infect Dis. 2019 Jan 10;19(1):40. doi: 10.1186/s12879-018-3606-7.
2
Fatal Influenza B Myocarditis in a 34-Year-Old Female.一名34岁女性的致命性乙型流感病毒心肌炎
Clin Pract Cases Emerg Med. 2018 May 29;2(3):219-222. doi: 10.5811/cpcem.2018.3.37718. eCollection 2018 Aug.
3
The hidden burden of influenza: A review of the extra-pulmonary complications of influenza infection.
流感后心脏压塞:已发表病例报告综述
SN Compr Clin Med. 2023;5(1):64. doi: 10.1007/s42399-023-01412-4. Epub 2023 Jan 27.
4
Influenza Myopericarditis and Pericarditis: A Literature Review.流感性心肌心包炎和心包炎:文献综述
J Clin Med. 2022 Jul 15;11(14):4123. doi: 10.3390/jcm11144123.
5
Cardiac Tamponade Secondary to Influenza B Infection.乙型流感感染继发的心包填塞
Cureus. 2021 May 7;13(5):e14888. doi: 10.7759/cureus.14888.
流感的隐性负担:流感感染的肺外并发症综述。
Influenza Other Respir Viruses. 2017 Sep;11(5):372-393. doi: 10.1111/irv.12470.
4
Influenza H1N1 Infection Leading To Cardiac Tamponade in a Previously Healthy Patient: A Case Report.甲型H1N1流感感染导致一名既往健康患者发生心脏压塞:一例报告
Res Cardiovasc Med. 2016 Jul 16;5(3):e31546. doi: 10.5812/cardiovascmed.31546. eCollection 2016 Aug.
5
2015 ESC Guidelines for the diagnosis and management of pericardial diseases: The Task Force for the Diagnosis and Management of Pericardial Diseases of the European Society of Cardiology (ESC)Endorsed by: The European Association for Cardio-Thoracic Surgery (EACTS).2015年欧洲心脏病学会(ESC)心包疾病诊断和管理指南:欧洲心脏病学会(ESC)心包疾病诊断和管理工作组 认可机构:欧洲心胸外科学会(EACTS)
Eur Heart J. 2015 Nov 7;36(42):2921-2964. doi: 10.1093/eurheartj/ehv318. Epub 2015 Aug 29.
6
Influenza myocarditis and myositis: case presentation and review of the literature.流感性心肌炎和肌炎:病例报告及文献复习。
Can J Cardiol. 2011 Jul-Aug;27(4):514-22. doi: 10.1016/j.cjca.2011.03.005. Epub 2011 Jun 8.
7
Fulminant myocarditis due to H1N1 influenza.甲型H1N1流感所致暴发性心肌炎
Circ Heart Fail. 2010 May;3(3):e7-9. doi: 10.1161/CIRCHEARTFAILURE.110.938506.
8
Seasonal influenza in adults and children--diagnosis, treatment, chemoprophylaxis, and institutional outbreak management: clinical practice guidelines of the Infectious Diseases Society of America.成人及儿童季节性流感——诊断、治疗、化学预防及机构性疫情管理:美国传染病学会临床实践指南
Clin Infect Dis. 2009 Apr 15;48(8):1003-32. doi: 10.1086/598513.
9
Cardiovascular manifestations associated with influenza virus infection.与流感病毒感染相关的心血管表现。
Int J Cardiol. 2008 Nov 28;130(3):304-9. doi: 10.1016/j.ijcard.2008.04.044. Epub 2008 Jul 14.
10
Pericardial disease.心包疾病。
Circulation. 2006 Mar 28;113(12):1622-32. doi: 10.1161/CIRCULATIONAHA.105.561514.