Suppr超能文献

1 型神经纤维瘤病合并危及生命的血管病变时发生的十二指肠神经内分泌肿瘤伴发胃肠道间质瘤 1 例

A Case of Duodenal Neuroendocrine Tumor Accompanied by Gastrointestinal Stromal Tumors in Type 1 Neurofibromatosis Complicated by Life-Threatening Vascular Lesions.

机构信息

Department of Surgery, National Hospital Organization Kanazawa Medical Center, Kanazawa, Ishikawa, Japan.

Department of Medical Laboratory, National Hospital Organization Kanazawa Medical Center, Kanazawa, Ishikawa, Japan.

出版信息

Am J Case Rep. 2021 Jan 11;22:e927562. doi: 10.12659/AJCR.927562.

Abstract

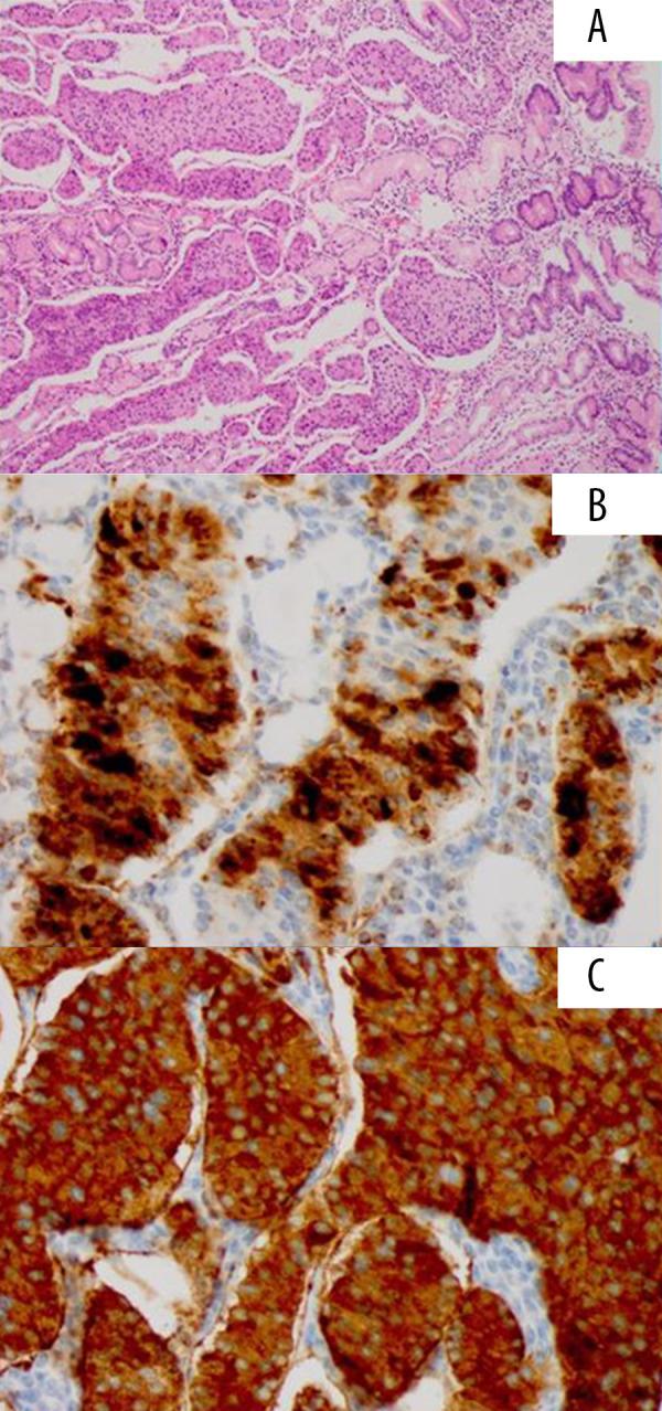
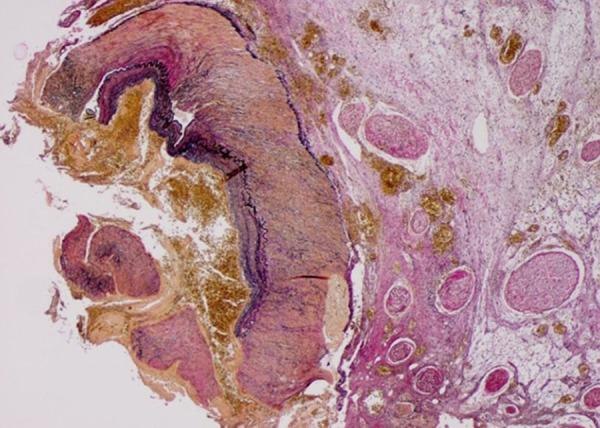
BACKGROUND Type 1 neurofibromatosis (NF1) is known to be associated with not only neurogenic tumors but also gastrointestinal (GI) neoplasms. However, there are few reports on vascular lesions and the incidence is unknown. CASE REPORT We report here the case of a 45-year-old woman with a history of NF1 referred to our hospital for the purpose of detailed examination for positive fecal occult blood test. On the basis of the investigation reports, she was diagnosed with a neuroendocrine tumor (NET)-G1. We planned a subtotal stomach-preserving pancreaticoduodenectomy. The abdominal structures, including the vascular system, were abnormally fragile, and it was very difficult to achieve satisfactory hemostasis. The total amount of intraoperative blood loss was 7580 mL. Fulminant intra-abdominal bleeding occurred on postoperative day (POD) 3. Urgent angiography showed a rupture of the gastroduodenal artery. Transarterial embolization was performed, but the patient died of multiorgan failure on POD5. On histological examination, neurofibroma cells proliferating into the surrounding blood vessels were seen; moreover, immunohistochemistry staining with S-100 antibody showed positive neurofibroma cells surrounding the vascular wall. The pathological diagnosis was duodenal NET-G1 with multinodal involvement. CONCLUSIONS This case is a rare presentation of a NET with multiple gastrointestinal stromal tumors associated with NF1, which led to a fatal outcome due to the extreme fragility of the vessel walls. Since patients with NF1 might have vulnerable vessel walls, adequate surgical preparation for major surgical treatment is necessary.

摘要

背景

1 型神经纤维瘤病(NF1)不仅与神经源性肿瘤有关,还与胃肠道(GI)肿瘤有关。然而,关于血管病变的报道很少,其发病率也不清楚。

病例报告

我们报告了一例 45 岁女性的病例,该患者有 NF1 病史,因粪便潜血试验阳性而被转至我院进行详细检查。根据调查报告,她被诊断为神经内分泌肿瘤(NET)-G1。我们计划进行部分胃保留胰十二指肠切除术。腹部结构,包括血管系统,异常脆弱,很难达到满意的止血效果。术中总失血量为 7580 毫升。术后第 3 天发生暴发性腹腔内出血。紧急血管造影显示胃十二指肠动脉破裂。进行了经动脉栓塞术,但患者在术后第 5 天死于多器官衰竭。组织学检查可见神经纤维瘤细胞增生进入周围血管;此外,用 S-100 抗体进行免疫组织化学染色显示血管壁周围有阳性神经纤维瘤细胞。病理诊断为十二指肠 NET-G1 伴多灶性累及。

结论

本例为罕见的伴有 NF1 的多发性胃肠道间质瘤 NET 病例,由于血管壁极度脆弱,导致致命结局。由于 NF1 患者可能存在脆弱的血管壁,因此需要为主要手术治疗做好充分的手术准备。

https://cdn.ncbi.nlm.nih.gov/pmc/blobs/b5e9/7810287/bc9c886bbc3c/amjcaserep-22-e927562-g001.jpg

文献检索

告别复杂PubMed语法,用中文像聊天一样搜索,搜遍4000万医学文献。AI智能推荐,让科研检索更轻松。

立即免费搜索

文件翻译

保留排版,准确专业,支持PDF/Word/PPT等文件格式,支持 12+语言互译。

免费翻译文档

深度研究

AI帮你快速写综述,25分钟生成高质量综述,智能提取关键信息,辅助科研写作。

立即免费体验