• 文献检索
  • 文档翻译
  • 深度研究
  • 学术资讯
  • Suppr Zotero 插件Zotero 插件
  • 邀请有礼
  • 套餐&价格
  • 历史记录
应用&插件
Suppr Zotero 插件Zotero 插件浏览器插件Mac 客户端Windows 客户端微信小程序
定价
高级版会员购买积分包购买API积分包
服务
文献检索文档翻译深度研究API 文档MCP 服务
关于我们
关于 Suppr公司介绍联系我们用户协议隐私条款
关注我们

Suppr 超能文献

核心技术专利:CN118964589B侵权必究
粤ICP备2023148730 号-1Suppr @ 2026

文献检索

告别复杂PubMed语法,用中文像聊天一样搜索,搜遍4000万医学文献。AI智能推荐,让科研检索更轻松。

立即免费搜索

文件翻译

保留排版,准确专业,支持PDF/Word/PPT等文件格式,支持 12+语言互译。

免费翻译文档

深度研究

AI帮你快速写综述,25分钟生成高质量综述,智能提取关键信息,辅助科研写作。

立即免费体验

水俣病病例大脑、小脑、肝脏和肾脏中汞和硒的定位

Mercury and Selenium Localization in the Cerebrum, Cerebellum, Liver, and Kidney of a Minamata Disease Case.

作者信息

Marumoto Masumi, Sakamoto Mineshi, Marumoto Kohji, Tsuruta Shozo, Komohara Yoshihiro

机构信息

National Institute for Minamata Disease, 4058-18, Hama, Minamata, Kumamoto 867-0008, Japan.

Department of Dental Material Science, School of Dentistry, Aichi Gakuin University, 1-100 Kusumoto-cho, Chikusa-ku, Nagoya, Aichi 464-8650, Japan.

出版信息

Acta Histochem Cytochem. 2020 Dec 25;53(6):147-155. doi: 10.1267/ahc.20-00009. Epub 2020 Dec 19.

DOI:10.1267/ahc.20-00009
PMID:33437101
原文链接:https://pmc.ncbi.nlm.nih.gov/articles/PMC7785461/
Abstract

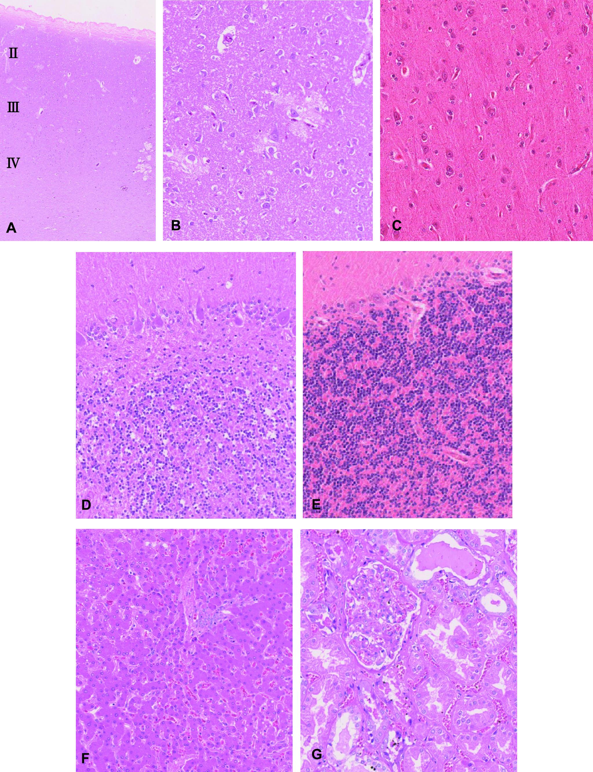
Minamata disease is a methylmercury poisoning caused by consumption of marine food contaminated by man-made methylmercury environmental pollution, and its most prominent feature is marked pathological changes in the central nervous system. Morphological alterations are less pronounced in the liver and the kidney, although their mercury levels are higher than those of the brain. In marine mammals, methylmercury is known to be easily converted to inorganic mercury and it combines with selenium forming mercury selenide, which may counteract the toxicity of mercury. However, little is known about the formation of mercury and selenium complex in human organs. In the present study, we examined the cerebrum, cerebellum, liver, and kidney of a Minamata disease case to study the mercury and selenium localization using electron probe microanalysis. Our results indicated the mercury and selenium localization in the specified tissue of the brain, liver, and kidney such as glial cells, Kupffer cells, and renal tubules.

摘要

水俣病是一种因食用受人为甲基汞环境污染而被污染的海产品所致的甲基汞中毒,其最显著的特征是中枢神经系统出现明显的病理变化。肝脏和肾脏中的形态学改变不太明显,尽管它们的汞含量高于大脑。在海洋哺乳动物中,已知甲基汞很容易转化为无机汞,并与硒结合形成硒化汞,这可能会抵消汞的毒性。然而,关于人体器官中汞和硒复合物的形成知之甚少。在本研究中,我们检查了一例水俣病患者的大脑、小脑、肝脏和肾脏,使用电子探针微量分析来研究汞和硒的定位。我们的结果表明,汞和硒定位于大脑、肝脏和肾脏的特定组织中,如神经胶质细胞、库普弗细胞和肾小管。

https://cdn.ncbi.nlm.nih.gov/pmc/blobs/8487/7785461/c43f7f15bd83/AHC20-00009f04-2.jpg
https://cdn.ncbi.nlm.nih.gov/pmc/blobs/8487/7785461/fd397501378e/AHC20-00009f01.jpg
https://cdn.ncbi.nlm.nih.gov/pmc/blobs/8487/7785461/bc1af631d672/AHC20-00009f02.jpg
https://cdn.ncbi.nlm.nih.gov/pmc/blobs/8487/7785461/cf0aa1362d81/AHC20-00009f03.jpg
https://cdn.ncbi.nlm.nih.gov/pmc/blobs/8487/7785461/9edef8340b7b/AHC20-00009f04-1.jpg
https://cdn.ncbi.nlm.nih.gov/pmc/blobs/8487/7785461/c43f7f15bd83/AHC20-00009f04-2.jpg
https://cdn.ncbi.nlm.nih.gov/pmc/blobs/8487/7785461/fd397501378e/AHC20-00009f01.jpg
https://cdn.ncbi.nlm.nih.gov/pmc/blobs/8487/7785461/bc1af631d672/AHC20-00009f02.jpg
https://cdn.ncbi.nlm.nih.gov/pmc/blobs/8487/7785461/cf0aa1362d81/AHC20-00009f03.jpg
https://cdn.ncbi.nlm.nih.gov/pmc/blobs/8487/7785461/9edef8340b7b/AHC20-00009f04-1.jpg
https://cdn.ncbi.nlm.nih.gov/pmc/blobs/8487/7785461/c43f7f15bd83/AHC20-00009f04-2.jpg

相似文献

1
Mercury and Selenium Localization in the Cerebrum, Cerebellum, Liver, and Kidney of a Minamata Disease Case.水俣病病例大脑、小脑、肝脏和肾脏中汞和硒的定位
Acta Histochem Cytochem. 2020 Dec 25;53(6):147-155. doi: 10.1267/ahc.20-00009. Epub 2020 Dec 19.
2
Organ-specific accumulation of selenium and mercury in Indo-Pacific bottlenose dolphins (Tursiops aduncus).印度洋-太平洋瓶鼻海豚(Tursiops aduncus)组织中硒和汞的特异性积累。
Acta Vet Scand. 2022 Jan 27;64(1):1. doi: 10.1186/s13028-021-00607-w.
3
Health Impacts and Biomarkers of Prenatal Exposure to Methylmercury: Lessons from Minamata, Japan.产前暴露于甲基汞对健康的影响及生物标志物:来自日本水俣病的教训
Toxics. 2018 Aug 3;6(3):45. doi: 10.3390/toxics6030045.
4
[Effects of Prenatal Methylmercury Exposure: From Minamata Disease to Environmental Health Studies].[产前甲基汞暴露的影响:从水俣病到环境卫生研究]
Nihon Eiseigaku Zasshi. 2017;72(3):140-148. doi: 10.1265/jjh.72.140.
5
Effect of selenium on distribution, demethylation, and excretion of methylmercury by the guinea pig.硒对豚鼠甲基汞分布、去甲基化及排泄的影响。
J Toxicol Environ Health. 1983 Oct-Dec;12(4-6):775-85. doi: 10.1080/15287398309530469.
6
[Minamata disease: a neuropathological viewpoint].[水俣病:神经病理学视角]
Seishin Shinkeigaku Zasshi. 2006;108(1):10-23.
7
Rethinking mercury: the role of selenium in the pathophysiology of mercury toxicity.重新思考汞:硒在汞毒性病理生理学中的作用。
Clin Toxicol (Phila). 2018 May;56(5):313-326. doi: 10.1080/15563650.2017.1400555. Epub 2017 Nov 10.
8
Another umbrella murder? - A rare case of Minamata disease.另一起水俣病?——一起罕见的水俣病案例。
Forensic Sci Med Pathol. 2020 Sep;16(3):504-509. doi: 10.1007/s12024-020-00247-y. Epub 2020 Apr 22.
9
[Health effect of long-term diet mercury contaminated tuna. Part II. Accumulation and retention of mercury and selenium in organs and clinical symptoms (author's transl)].长期食用汞污染金枪鱼的健康影响。第二部分。汞和硒在器官中的蓄积与潴留及临床症状(作者译)
Sangyo Igaku. 1976 Mar;18(2):123-35.
10
Reappraisal of the historic 1959 cat experiment in Minamata by the Chisso Factory.对1959年水俣病历史上由智索工厂进行的猫实验的重新评估。
Tohoku J Exp Med. 2001 Aug;194(4):197-203. doi: 10.1620/tjem.194.197.

引用本文的文献

1
A Novel Approach to Estimate Mercury Exposure Risks Through Fish Consumption Based on the Selenium-Mercury Molar Ratio.一种基于硒汞摩尔比通过鱼类消费估算汞暴露风险的新方法。
Toxics. 2025 Jul 25;13(8):621. doi: 10.3390/toxics13080621.
2
Re-thinking the link between exposure to mercury and blood pressure.重新审视汞暴露与血压之间的联系。
Arch Toxicol. 2025 Feb;99(2):481-512. doi: 10.1007/s00204-024-03919-8. Epub 2025 Jan 3.
3
Congenital goiter in an alpaca (Vicugna pacos) fetus concomitant with brain pathology in the dam: composing the puzzle.

本文引用的文献

1
In vivo formation of natural HgSe nanoparticles in the liver and brain of pilot whales.领航鲸肝脏和大脑中天然汞硒纳米颗粒的体内形成。
Sci Rep. 2016 Sep 28;6:34361. doi: 10.1038/srep34361.
2
Mercury speciation and selenium in toothed-whale muscles.齿鲸肌肉中的汞形态与硒
Environ Res. 2015 Nov;143(Pt A):55-61. doi: 10.1016/j.envres.2015.09.010. Epub 2015 Oct 2.
3
Elemental analysis of occupational and environmental lung diseases by electron probe microanalyzer with wavelength dispersive spectrometer.采用带有波长色散光谱仪的电子探针微分析仪对职业性和环境性肺部疾病进行元素分析。
一只羊驼(小羊驼)胎儿的先天性甲状腺肿与母羊的脑部病变并存:拼凑谜团。
Vet Res Commun. 2025 Jan 8;49(2):67. doi: 10.1007/s11259-025-10642-x.
4
50 Years of Organoselenium Chemistry, Biochemistry and Reactivity: Mechanistic Understanding, Successful and Controversial Stories.有机硒化学、生物化学与反应活性的五十年:机理理解、成功与争议故事
Chemistry. 2024 Dec 13;30(70):e202403003. doi: 10.1002/chem.202403003. Epub 2024 Nov 20.
5
Electrochemiluminescence Sensor Based on CeO Nanocrystalline for Hg Detection in Environmental Samples.基于CeO纳米晶的电化学发光传感器用于环境样品中汞的检测。
Molecules. 2023 Dec 19;29(1):1. doi: 10.3390/molecules29010001.
6
Should ebselen be considered for the treatment of mercury intoxication? A minireview.是否应考虑使用依布硒啉治疗汞中毒?一篇小型综述。
Toxicol Mech Methods. 2024 Jan;34(1):1-12. doi: 10.1080/15376516.2023.2258958. Epub 2024 Jan 1.
7
Evaluation of the oxidative stress alleviation in var. orden Dorado by the inoculation of four plant growth-promoting bacteria and their mixtures in mercury-polluted soils.通过在汞污染土壤中接种四种促植物生长细菌及其混合物来评估多拉多品种中氧化应激的缓解情况。
Front Microbiol. 2022 Sep 29;13:907557. doi: 10.3389/fmicb.2022.907557. eCollection 2022.
8
Comparative Metagenomic Study of Rhizospheric and Bulk Mercury-Contaminated Soils in the Mining District of Almadén.阿尔马登矿区根际土壤与大量汞污染土壤的宏基因组比较研究。
Front Microbiol. 2022 Mar 7;13:797444. doi: 10.3389/fmicb.2022.797444. eCollection 2022.
9
Organ-specific accumulation of selenium and mercury in Indo-Pacific bottlenose dolphins (Tursiops aduncus).印度洋-太平洋瓶鼻海豚(Tursiops aduncus)组织中硒和汞的特异性积累。
Acta Vet Scand. 2022 Jan 27;64(1):1. doi: 10.1186/s13028-021-00607-w.
10
Thiolated Polyethyleneimine-Based Polymer Sponge for Selective Removal of Hg from Aqueous Solution.用于从水溶液中选择性去除汞的硫醇化聚乙烯亚胺基聚合物海绵
ACS Omega. 2021 Nov 17;6(47):31955-31963. doi: 10.1021/acsomega.1c04729. eCollection 2021 Nov 30.
Respir Investig. 2014 Jan;52(1):5-13. doi: 10.1016/j.resinv.2013.05.002. Epub 2013 Jul 5.
4
Selenomethionine protects against neuronal degeneration by methylmercury in the developing rat cerebrum.硒代蛋氨酸可预防发育中的大鼠大脑中甲基汞引起的神经元变性。
Environ Sci Technol. 2013 Mar 19;47(6):2862-8. doi: 10.1021/es304226h. Epub 2013 Feb 25.
5
Mercury-selenium relationships in liver of Guiana dolphin: the possible role of Kupffer cells in the detoxification process by tiemannite formation.圭亚那海豚肝脏中的汞-硒关系:Kupffer 细胞在通过 tiemannite 形成解毒过程中的可能作用。
PLoS One. 2012;7(7):e42162. doi: 10.1371/journal.pone.0042162. Epub 2012 Jul 31.
6
The presence of mercury selenide in various tissues of the striped dolphin: evidence from μ-XRF-XRD and XAFS analyses.硒化汞在条纹海豚各种组织中的存在:μ-XRF-XRD 和 XAFS 分析的证据。
Metallomics. 2011 Jul;3(7):719-25. doi: 10.1039/c0mt00106f. Epub 2011 Apr 6.
7
[Pathological and biochemical studies of 30 Niigata autopsy cases related to Minamata disease].[新潟30例与水俣病相关尸检病例的病理及生化研究]
Nihon Eiseigaku Zasshi. 2007 Jan;62(1):70-88.
8
Health assessment for mercury exposure among schoolchildren residing near a gold processing and refining plant in Apokon, Tagum, Davao del Norte, Philippines.菲律宾北达沃省塔古姆市阿波孔的一家黄金加工精炼厂附近学童汞暴露的健康评估。
Sci Total Environ. 2000 Oct 2;259(1-3):31-43. doi: 10.1016/s0048-9697(00)00547-7.
9
Selenium: relation to decreased toxicity of methylmercury added to diets containing tuna.硒:与添加到含金枪鱼饮食中的甲基汞毒性降低的关系。
Science. 1972 Mar 10;175(4026):1122-4. doi: 10.1126/science.175.4026.1122.
10
Silver amplification of mercury sulfide and selenide: a histochemical method for light and electron microscopic localization of mercury in tissue.硫化汞和硒化汞的银增强:一种用于组织中汞的光镜和电镜定位的组织化学方法。
J Histochem Cytochem. 1985 Mar;33(3):219-28. doi: 10.1177/33.3.2579122.