Suppr超能文献

磷酸化的典型组蛋白 H2A 标记疟原虫受损 DNA 的焦点。

Phosphorylation of the Canonical Histone H2A Marks Foci of Damaged DNA in Malaria Parasites.

机构信息

Department of Microbiology & Molecular Genetics, The Kuvin Center for the Study of Infectious and Tropical Diseases, IMRIC, The Hebrew University-Hadassah Medical School, Jerusalem, Israel.

Department of Microbiology & Molecular Genetics, The Kuvin Center for the Study of Infectious and Tropical Diseases, IMRIC, The Hebrew University-Hadassah Medical School, Jerusalem, Israel

出版信息

mSphere. 2021 Jan 13;6(1):e01131-20. doi: 10.1128/mSphere.01131-20.

Abstract

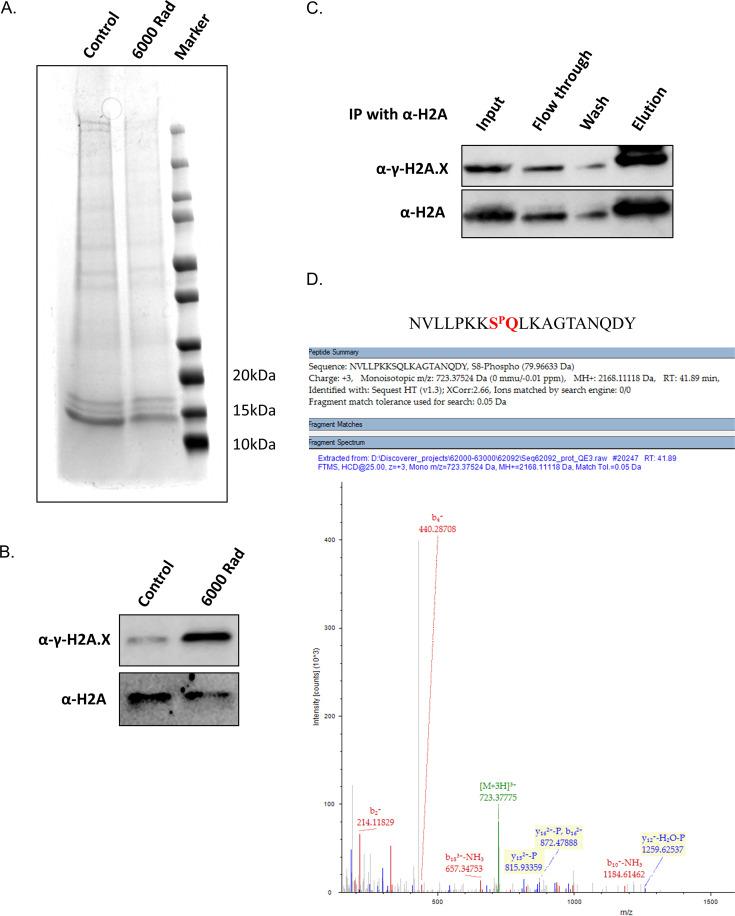
parasites proliferate within circulating red blood cells and are responsible for the deadliest form of human malaria. These parasites are exposed to numerous intrinsic and external sources that could cause DNA damage; therefore, they have evolved efficient mechanisms to protect their genome integrity and allow them to proliferate under such conditions. In higher eukaryotes, double-strand breaks rapidly lead to phosphorylation of the core histone variant H2A.X, which marks the site of damaged DNA. We show that in that lacks the H2A.X variant, the canonical H2A (PfH2A) is phosphorylated on serine 121 upon exposure to sources of DNA damage. We further demonstrate that phosphorylated PfH2A is recruited to foci of damaged chromatin shortly after exposure to sources of damage, while the nonphosphorylated PfH2A remains spread throughout the nucleoplasm. In addition, we found that PfH2A phosphorylation is dynamic and that over time, as the parasite activates the repair machinery, this phosphorylation is removed. Finally, we demonstrate that these phosphorylation dynamics could be used to establish a novel and direct DNA repair assay in is the deadliest human parasite that causes malaria when it reaches the bloodstream and begins proliferating inside red blood cells, where the parasites are particularly prone to DNA damage. The molecular mechanisms that allow these pathogens to maintain their genome integrity under such conditions are also the driving force for acquiring genome plasticity that enables them to create antigenic variation and become resistant to essentially all available drugs. However, mechanisms of DNA damage response and repair have not been extensively studied for these parasites. The paper addresses our recent discovery that that lacks the histone variant H2A.X phosphorylates its canonical core histone PfH2A in response to exposure to DNA damage. The process of DNA repair in was mostly studied indirectly. Our findings enabled us to establish a direct DNA repair assay for similar to assays that are widely used in model organisms.

摘要

疟原虫在循环的红细胞内大量繁殖,是引起人类疟疾的最致命形式的罪魁祸首。这些寄生虫暴露于许多内在和外在的因素下,这些因素可能导致 DNA 损伤;因此,它们已经进化出了有效的机制来保护基因组的完整性,并允许它们在这种情况下增殖。在高等真核生物中,双链断裂迅速导致核心组蛋白变体 H2A.X 的磷酸化,这标志着受损 DNA 的位置。我们表明,在缺乏 H2A.X 变体的情况下,暴露于 DNA 损伤源时,典型的 PfH2A(PfH2A)在丝氨酸 121 上发生磷酸化。我们进一步证明,在暴露于损伤源后,磷酸化的 PfH2A 很快被募集到受损染色质的焦点,而未磷酸化的 PfH2A 仍散布在核质中。此外,我们发现 PfH2A 磷酸化是动态的,随着时间的推移,寄生虫激活修复机制,这种磷酸化被去除。最后,我们证明这些磷酸化动力学可用于建立一种新的直接 DNA 修复测定方法在 是最致命的人类寄生虫,当它到达血液并开始在红细胞内增殖时,它会引起疟疾,而寄生虫在这种情况下特别容易受到 DNA 损伤。允许这些病原体在这种情况下维持其基因组完整性的分子机制也是获得基因组可塑性的驱动力,这使它们能够产生抗原变异并对基本上所有可用药物产生抗性。然而,这些寄生虫的 DNA 损伤反应和修复机制尚未得到广泛研究。本文介绍了我们最近的发现,即缺乏组蛋白变体 H2A.X 的 响应于暴露于 DNA 损伤而磷酸化其典型的核心组蛋白 PfH2A。在 中,DNA 修复的过程主要是间接研究的。我们的发现使我们能够为 建立一种类似于在模式生物中广泛使用的直接 DNA 修复测定方法。

https://cdn.ncbi.nlm.nih.gov/pmc/blobs/0a6f/7845613/804af8a57db1/mSphere.01131-20_f001.jpg

文献AI研究员

20分钟写一篇综述,助力文献阅读效率提升50倍。

立即体验

用中文搜PubMed

大模型驱动的PubMed中文搜索引擎

马上搜索

文档翻译

学术文献翻译模型,支持多种主流文档格式。

立即体验