Suppr超能文献

青光眼的 24-2 联合和 10-2 视野同步检查。

Simultaneously performed combined 24-2 and 10-2 visual field tests in glaucoma.

机构信息

College of Medicine, The Catholic University of Korea, Seoul, Korea.

Department of Ophthalmology, Seoul St. Mary's Hospital, College of Medicine, The Catholic University of Korea, 222 Banpo-daero, Seocho-ku, Seoul, 137-701, Korea.

出版信息

Sci Rep. 2021 Jan 13;11(1):1227. doi: 10.1038/s41598-020-80318-w.

Abstract

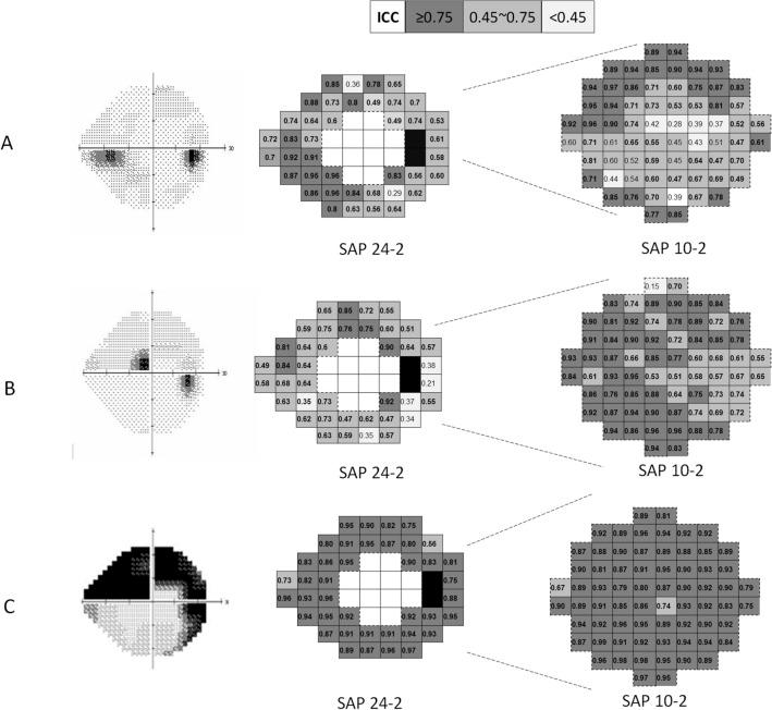
Using either 24-2 or 10-2 visual field (VF) testing only is not enough to cover all the various types of glaucomatous VF defects. We investigated the performance of the combined 24-2 and 10-2 perimetry when conducted together and separately using the structure-function relationship. A total of 30 glaucoma patients with isolated peripheral nasal step, 37 patients with isolated paracentral scotoma, and 38 patients with both paracentral and nasal scotoma were included. To create the combined Humphrey VF test, a custom test pattern was established using the built-in custom point options, an example of the X, Y coordinate system. In glaucoma patients with peripheral nasal step, the superotemporal topographic structure-function relationship with peripapillary retinal nerve fiber layer (RNFL) thickness was superior in relation to the combined or 24-2 perimetry relative to the 10-2 perimetry (both P < 0.05). The combined VF test showed more favorable inferotemporal or inferonasal structure-function correlation with the corresponding ganglion cell-inner plexiform layer (GCIPL) thickness when compared with results gleaned using the 24-2 VF test (P < 0.05). Simultaneously performed 24-2 and 10-2 VF tests demonstrated a superior topographic structure-function relationship when compared with them separately performed in some sectors.

摘要

仅使用 24-2 或 10-2 视野 (VF) 测试不足以涵盖所有类型的青光眼 VF 缺损。我们研究了联合使用 24-2 和 10-2 视野测试时的性能,以及分别使用结构-功能关系进行测试时的性能。共有 30 例孤立性鼻侧周边神经节缺损的青光眼患者、37 例孤立性旁中心暗点患者和 38 例同时存在旁中心和鼻侧暗点的患者。为了创建联合 Humphrey VF 测试,使用内置的自定义点选项创建了一个自定义测试模式,这是 X、Y 坐标系的一个示例。在有周边鼻侧神经节缺损的青光眼患者中,与单独的 24-2 视野或 10-2 视野测试相比,视盘周围视网膜神经纤维层 (RNFL) 厚度与上颞侧拓扑结构-功能关系相关性更好(均 P < 0.05)。与单独使用 24-2 VF 测试相比,联合 VF 测试显示出与相应的节细胞-内丛状层 (GCIPL) 厚度更有利的下颞侧或下鼻侧结构-功能相关性(均 P < 0.05)。同时进行的 24-2 和 10-2 VF 测试在某些区域的表现优于分别进行的测试。

https://cdn.ncbi.nlm.nih.gov/pmc/blobs/1d5f/7806904/ef4d31a416f0/41598_2020_80318_Fig1_HTML.jpg

文献检索

告别复杂PubMed语法,用中文像聊天一样搜索,搜遍4000万医学文献。AI智能推荐,让科研检索更轻松。

立即免费搜索

文件翻译

保留排版,准确专业,支持PDF/Word/PPT等文件格式,支持 12+语言互译。

免费翻译文档

深度研究

AI帮你快速写综述,25分钟生成高质量综述,智能提取关键信息,辅助科研写作。

立即免费体验