• 文献检索
  • 文档翻译
  • 深度研究
  • 学术资讯
  • Suppr Zotero 插件Zotero 插件
  • 邀请有礼
  • 套餐&价格
  • 历史记录
应用&插件
Suppr Zotero 插件Zotero 插件浏览器插件Mac 客户端Windows 客户端微信小程序
定价
高级版会员购买积分包购买API积分包
服务
文献检索文档翻译深度研究API 文档MCP 服务
关于我们
关于 Suppr公司介绍联系我们用户协议隐私条款
关注我们

Suppr 超能文献

核心技术专利:CN118964589B侵权必究
粤ICP备2023148730 号-1Suppr @ 2026

文献检索

告别复杂PubMed语法,用中文像聊天一样搜索,搜遍4000万医学文献。AI智能推荐,让科研检索更轻松。

立即免费搜索

文件翻译

保留排版,准确专业,支持PDF/Word/PPT等文件格式,支持 12+语言互译。

免费翻译文档

深度研究

AI帮你快速写综述,25分钟生成高质量综述,智能提取关键信息,辅助科研写作。

立即免费体验

新冠肺炎患者射血分数保留型心力衰竭:利尿剂治疗在危重症患者中的潜在作用。

Heart failure with preserved ejection fraction in coronavirus disease 2019 patients: the promising role of diuretic therapy in critically ill patients.

机构信息

Rajaie Cardiovascular, Medical and Research Center, Iran University of Medical Sciences, Tehran, Iran.

Division of Cardiovascular Medicine, Department of Medicine, Beth Israel Deaconess Medical Center, Harvard Medical School, Boston, MA, USA.

出版信息

ESC Heart Fail. 2021 Apr;8(2):1610-1614. doi: 10.1002/ehf2.13175. Epub 2021 Jan 14.

DOI:10.1002/ehf2.13175
PMID:33442925
原文链接:https://pmc.ncbi.nlm.nih.gov/articles/PMC8006669/
Abstract

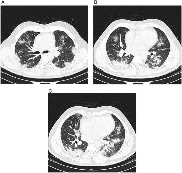
The impact of severe acute respiratory syndrome coronavirus 2 (SARS-CoV-2) on diastolic function is less known. We describe a 46-year-old man with a history of mild hypertension who presented to the emergency department with fever, cough, and myalgia for 2 days. The patient was tested positive for SARS-CoV-2. He was admitted and started on a combination of antiviral and antimicrobial therapy. He developed respiratory distress 2 days later, and O saturation declined. Blood tests showed an increased N-terminal pro-B type natriuretic peptide (NT-proBNP) level, and echocardiography showed normal left ventricular ejection fraction and E/e' ratio of 16. Computed tomography scan showed interstitial pulmonary oedema and prominent peripheral pulmonary vascular markings. Given these findings, heart failure with preserved ejection fraction (HFpEF) was considered. Low-dose diuretic was started, and fluid administration was restricted, resulting in a decrease in NT-proBNP level, clinical and haemodynamic stabilization, and improved oxygenation. This case highlights the occurrence of HFpEF in coronavirus disease 2019.

摘要

严重急性呼吸综合征冠状病毒 2(SARS-CoV-2)对舒张功能的影响知之甚少。我们描述了一位 46 岁的男性患者,有轻度高血压病史,因发热、咳嗽和肌肉疼痛 2 天就诊于急诊科。该患者 SARS-CoV-2 检测呈阳性。他被收治入院,并开始接受抗病毒和抗菌药物联合治疗。2 天后,他出现呼吸窘迫,血氧饱和度下降。血液检查显示 N 末端脑利钠肽前体(NT-proBNP)水平升高,超声心动图显示左心室射血分数正常,E/e' 比值为 16。计算机断层扫描显示间质性肺水肿和明显的外周肺血管标记。鉴于这些发现,考虑心力衰竭伴射血分数保留(HFpEF)。开始给予小剂量利尿剂,并限制液体输入,导致 NT-proBNP 水平下降,临床和血液动力学稳定,以及氧合改善。本病例强调了 COVID-19 中 HFpEF 的发生。

https://cdn.ncbi.nlm.nih.gov/pmc/blobs/c967/8006669/789364a249c6/EHF2-8-1610-g001.jpg
https://cdn.ncbi.nlm.nih.gov/pmc/blobs/c967/8006669/789364a249c6/EHF2-8-1610-g001.jpg
https://cdn.ncbi.nlm.nih.gov/pmc/blobs/c967/8006669/789364a249c6/EHF2-8-1610-g001.jpg

相似文献

1
Heart failure with preserved ejection fraction in coronavirus disease 2019 patients: the promising role of diuretic therapy in critically ill patients.新冠肺炎患者射血分数保留型心力衰竭:利尿剂治疗在危重症患者中的潜在作用。
ESC Heart Fail. 2021 Apr;8(2):1610-1614. doi: 10.1002/ehf2.13175. Epub 2021 Jan 14.
2
Association of Diastolic Dysfunction with N-terminal Pro-B-type Natriuretic Peptide Level in Heart Failure Patients with Preserved Ejection Fraction.射血分数保留的心力衰竭患者舒张功能障碍与N末端B型利钠肽原水平的关联
Mymensingh Med J. 2019 Apr;28(2):333-346.
3
Investigating a biomarker-driven approach to target collagen turnover in diabetic heart failure with preserved ejection fraction patients. Effect of torasemide versus furosemide on serum C-terminal propeptide of procollagen type I (DROP-PIP trial).研究一种基于生物标志物的方法,以针对射血分数保留的糖尿病心力衰竭患者的胶原转化。托拉塞米与呋塞米对血清 I 型前胶原羧基端肽(DROP-PIP 试验)的影响。
Eur J Heart Fail. 2018 Mar;20(3):460-470. doi: 10.1002/ejhf.960. Epub 2017 Sep 11.
4
[Prognostic value of N-terminal B-type natriuretic peptide on all-cause mortality in heart failure patients with preserved ejection fraction].N末端B型利钠肽对射血分数保留的心力衰竭患者全因死亡率的预后价值
Zhonghua Xin Xue Guan Bing Za Zhi. 2019 Nov 24;47(11):875-881. doi: 10.3760/cma.j.issn.0253-3758.2019.11.005.
5
Diastolic stress test echocardiography in patients with suspected heart failure with preserved ejection fraction: a pilot study.疑似射血分数保留型心力衰竭患者的舒张期负荷超声心动图:一项初步研究。
ESC Heart Fail. 2019 Feb;6(1):146-153. doi: 10.1002/ehf2.12375. Epub 2018 Nov 19.
6
Severe acute respiratory syndrome coronavirus-2- or pregnancy-related cardiomyopathy, a differential to be considered in the current pandemic: a case report.严重急性呼吸综合征冠状病毒 2 型或与妊娠相关的心肌病,是当前大流行中需要考虑的鉴别诊断:病例报告。
J Med Case Rep. 2021 Mar 19;15(1):143. doi: 10.1186/s13256-021-02751-3.
7
The level of NT-proBNP in ambulatory patients with chronic heart failure with preserved ejection fraction of the left ventricle.左心室射血分数保留的慢性心力衰竭门诊患者的NT-脑钠肽水平
Ter Arkh. 2018 Sep 20;90(9):68-72. doi: 10.26442/terarkh201890968-72.
8
Reductions in N-Terminal Pro-Brain Natriuretic Peptide Levels Are Associated With Lower Mortality and Heart Failure Hospitalization Rates in Patients With Heart Failure With Mid-Range and Preserved Ejection Fraction.N末端前脑钠肽水平降低与射血分数中度降低和保留的心力衰竭患者死亡率降低及心力衰竭住院率降低相关。
Circ Heart Fail. 2016 Nov;9(11). doi: 10.1161/CIRCHEARTFAILURE.116.003105.
9
Prevalence and prognosis of heart failure with preserved ejection fraction and elevated N-terminal pro brain natriuretic peptide: a 10-year analysis from the Copenhagen Hospital Heart Failure Study.射血分数保留的心力衰竭伴氨基末端脑利钠肽前体升高的患病率和预后:哥本哈根心力衰竭研究的 10 年分析。
Eur J Heart Fail. 2012 Mar;14(3):240-7. doi: 10.1093/eurjhf/hfs003. Epub 2012 Feb 7.
10
Randomized Evaluation of Heart Failure With Preserved Ejection Fraction Patients With Acute Heart Failure and Dopamine: The ROPA-DOP Trial.随机评价射血分数保留的心力衰竭急性心力衰竭和多巴胺患者:ROPA-DOP 试验。
JACC Heart Fail. 2018 Oct;6(10):859-870. doi: 10.1016/j.jchf.2018.04.008. Epub 2018 Aug 8.

引用本文的文献

1
The relationship between N-terminal pro-brain natriuretic peptide (NT-proBNP) levels and diastolic heart failure in patients with COVID-19.新型冠状病毒肺炎(COVID-19)患者N末端脑钠肽前体(NT-proBNP)水平与舒张性心力衰竭的关系
Int J Cardiovasc Imaging. 2022;38(6):1289-1296. doi: 10.1007/s10554-021-02513-8. Epub 2022 Mar 24.
2
Heart failure during the COVID-19 pandemic: clinical, diagnostic, management, and organizational dilemmas.COVID-19 大流行期间的心力衰竭:临床、诊断、管理和组织方面的困境。
ESC Heart Fail. 2022 Dec;9(6):3713-3736. doi: 10.1002/ehf2.14118. Epub 2022 Sep 16.
3
Post-COVID-19 Syndrome: Involvement and Interactions between Respiratory, Cardiovascular and Nervous Systems.

本文引用的文献

1
Angiotensin-converting enzyme 2 (ACE2), SARS-CoV-2 and the pathophysiology of coronavirus disease 2019 (COVID-19).血管紧张素转化酶 2(ACE2)、严重急性呼吸综合征冠状病毒 2(SARS-CoV-2)与 2019 冠状病毒病(COVID-19)的病理生理学。
J Pathol. 2020 Jul;251(3):228-248. doi: 10.1002/path.5471. Epub 2020 Jun 10.
2
COVID-19 Illness and Heart Failure: A Missing Link?新冠病毒疾病与心力衰竭:一个缺失的环节?
JACC Heart Fail. 2020 Jun;8(6):512-514. doi: 10.1016/j.jchf.2020.03.004. Epub 2020 Apr 10.
3
Interactions of coronaviruses with ACE2, angiotensin II, and RAS inhibitors-lessons from available evidence and insights into COVID-19.
新冠后综合征:呼吸、心血管和神经系统之间的关联与相互作用
J Clin Med. 2022 Jan 20;11(3):524. doi: 10.3390/jcm11030524.
4
Cardiovascular Magnetic Resonance for Patients With COVID-19.COVID-19 患者的心血管磁共振成像
JACC Cardiovasc Imaging. 2022 Apr;15(4):685-699. doi: 10.1016/j.jcmg.2021.08.021. Epub 2021 Oct 13.
5
History of heart failure in patients with coronavirus disease 2019: Insights from a French registry.2019 年冠状病毒病患者心力衰竭的历史:来自法国登记处的见解。
Arch Cardiovasc Dis. 2021 May;114(5):415-425. doi: 10.1016/j.acvd.2021.04.003. Epub 2021 May 24.
冠状病毒与 ACE2、血管紧张素 II 和 RAS 抑制剂的相互作用——来自现有证据的教训和对 COVID-19 的深入了解。
Hypertens Res. 2020 Jul;43(7):648-654. doi: 10.1038/s41440-020-0455-8. Epub 2020 Apr 27.
4
Difference of coagulation features between severe pneumonia induced by SARS-CoV2 and non-SARS-CoV2.严重新型冠状病毒肺炎与非新型冠状病毒肺炎患者凝血功能特征的差异。
J Thromb Thrombolysis. 2021 May;51(4):1107-1110. doi: 10.1007/s11239-020-02105-8.
5
Renin-Angiotensin-Aldosterone System Inhibitors in Patients with Covid-19.新冠病毒病患者中的肾素-血管紧张素-醛固酮系统抑制剂
N Engl J Med. 2020 Apr 23;382(17):1653-1659. doi: 10.1056/NEJMsr2005760. Epub 2020 Mar 30.
6
Cardiac Involvement in a Patient With Coronavirus Disease 2019 (COVID-19).新冠肺炎(COVID-19)患者的心脏受累。
JAMA Cardiol. 2020 Jul 1;5(7):819-824. doi: 10.1001/jamacardio.2020.1096.
7
Cardiovascular Implications of Fatal Outcomes of Patients With Coronavirus Disease 2019 (COVID-19).COVID-19 患者的致命结局对心血管的影响。
JAMA Cardiol. 2020 Jul 1;5(7):811-818. doi: 10.1001/jamacardio.2020.1017.
8
Association of Cardiac Injury With Mortality in Hospitalized Patients With COVID-19 in Wuhan, China.新冠肺炎住院患者中心脏损伤与死亡的相关性研究:中国武汉。
JAMA Cardiol. 2020 Jul 1;5(7):802-810. doi: 10.1001/jamacardio.2020.0950.
9
Structure, Function, and Antigenicity of the SARS-CoV-2 Spike Glycoprotein.严重急性呼吸系统综合征冠状病毒 2 刺突糖蛋白的结构、功能和抗原性。
Cell. 2020 Apr 16;181(2):281-292.e6. doi: 10.1016/j.cell.2020.02.058. Epub 2020 Mar 9.
10
Clinical Characteristics of Coronavirus Disease 2019 in China.《中国 2019 年冠状病毒病临床特征》
N Engl J Med. 2020 Apr 30;382(18):1708-1720. doi: 10.1056/NEJMoa2002032. Epub 2020 Feb 28.